• 文献检索
  • 文档翻译
  • 深度研究
  • 学术资讯
  • Suppr Zotero 插件Zotero 插件
  • 邀请有礼
  • 套餐&价格
  • 历史记录
应用&插件
Suppr Zotero 插件Zotero 插件浏览器插件Mac 客户端Windows 客户端微信小程序
定价
高级版会员购买积分包购买API积分包
服务
文献检索文档翻译深度研究API 文档MCP 服务
关于我们
关于 Suppr公司介绍联系我们用户协议隐私条款
关注我们

Suppr 超能文献

核心技术专利:CN118964589B侵权必究
粤ICP备2023148730 号-1Suppr @ 2026

文献检索

告别复杂PubMed语法,用中文像聊天一样搜索,搜遍4000万医学文献。AI智能推荐,让科研检索更轻松。

立即免费搜索

文件翻译

保留排版,准确专业,支持PDF/Word/PPT等文件格式,支持 12+语言互译。

免费翻译文档

深度研究

AI帮你快速写综述,25分钟生成高质量综述,智能提取关键信息,辅助科研写作。

立即免费体验

怀疑一只雄性恒河猴患有吉兰-巴雷综合征()。

Suspect Guillain-Barré syndrome in a male rhesus macaque ().

作者信息

Becker Tamara, Pieper Florian, Liebetanz David, Bleyer Martina, Schrod Annette, Maetz-Rensing Kerstin, Treue Stefan

机构信息

German Primate Center, 37077 Göttingen, Germany.

Georg August University, University Hospital, 37075 Göttingen, Germany.

出版信息

Primate Biol. 2017 Mar 7;4(1):27-32. doi: 10.5194/pb-4-27-2017. eCollection 2017.

DOI:10.5194/pb-4-27-2017
PMID:32110689
原文链接:https://pmc.ncbi.nlm.nih.gov/articles/PMC7041522/
Abstract

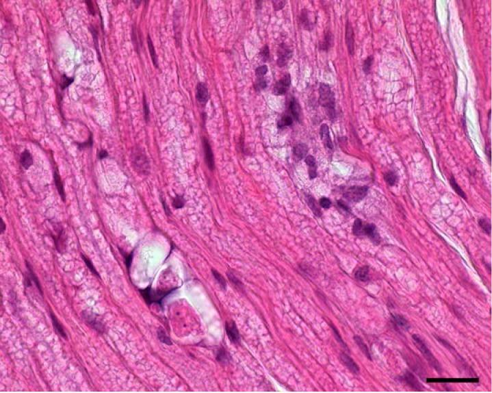
Guillain-Barré syndrome (GBS) is a rare, mainly acute inflammatory polyneuropathy in humans. It is frequently post-infectious with auto antibodies being formed against myelin sheaths, resulting in a progressive and more-or-less severe paralysis of the motor neuron and cranial nerves. Mortality is low and 60 % of the patients recover completely from the disease after intensive treatment. In animals, there are a few diseases that closely resemble GBS, but cases of GBS in monkeys seem to be scarce. In this case report, the clinical course of a progressive tetraplegia in a male rhesus macaque is described. Clinical, cerebrospinal fluid (CSF), electroneurography (ENG) and electromyography (EMG), and pathological findings revealed symptoms very similar to human GBS.

摘要

吉兰-巴雷综合征(GBS)是一种罕见的、主要发生在人类的急性炎症性多发性神经病。它常继发于感染后,机体产生针对髓鞘的自身抗体,导致运动神经元和颅神经进行性、轻重不一的麻痹。死亡率较低,60%的患者经强化治疗后可完全康复。在动物中,有几种疾病与GBS非常相似,但猴子患GBS的病例似乎很少。在本病例报告中,描述了一只雄性恒河猴进行性四肢瘫痪的临床过程。临床、脑脊液(CSF)、神经电图(ENG)和肌电图(EMG)以及病理检查结果显示,其症状与人类GBS非常相似。

https://cdn.ncbi.nlm.nih.gov/pmc/blobs/b601/7041522/309433e9aa01/pb-4-27-g02.jpg
https://cdn.ncbi.nlm.nih.gov/pmc/blobs/b601/7041522/6cf8ee605eff/pb-4-27-g01.jpg
https://cdn.ncbi.nlm.nih.gov/pmc/blobs/b601/7041522/309433e9aa01/pb-4-27-g02.jpg
https://cdn.ncbi.nlm.nih.gov/pmc/blobs/b601/7041522/6cf8ee605eff/pb-4-27-g01.jpg
https://cdn.ncbi.nlm.nih.gov/pmc/blobs/b601/7041522/309433e9aa01/pb-4-27-g02.jpg

相似文献

1
Suspect Guillain-Barré syndrome in a male rhesus macaque ().怀疑一只雄性恒河猴患有吉兰-巴雷综合征()。
Primate Biol. 2017 Mar 7;4(1):27-32. doi: 10.5194/pb-4-27-2017. eCollection 2017.
2
Study on Electrophysiological Findings of Guillain Barre Syndrome Patients Attending the Department of Neurology in BSMMU.孟加拉国谢赫穆吉布医学大学神经病学系格林-巴利综合征患者的电生理检查结果研究
Mymensingh Med J. 2018 Jul;27(3):631-640.
3
Clinical variants of Guillain-Barre syndrome: some aspects of differential diagnosis.吉兰-巴雷综合征的临床变异型:鉴别诊断的若干方面
Georgian Med News. 2009 Jan(166):48-51.
4
Increased cerebrospinal fluid protein and motor conduction studies as prognostic markers of outcome and nerve ultrasound changes in Guillain-Barré syndrome.脑脊液蛋白增加及运动传导研究作为吉兰-巴雷综合征预后和神经超声变化的预后标志物。
J Neurol Sci. 2014 May 15;340(1-2):37-43. doi: 10.1016/j.jns.2014.02.019. Epub 2014 Feb 24.
5
[History of Guillain-Barré Syndrome].[吉兰-巴雷综合征病史]
Brain Nerve. 2015 Nov;67(11):1295-303. doi: 10.11477/mf.1416200299.
6
Guillain-Barré syndrome: epidemiology, pathophysiology and management.吉兰-巴雷综合征:流行病学、病理生理学与管理
Drugs. 2004;64(6):597-610. doi: 10.2165/00003495-200464060-00003.
7
Cerebrospinal fluid findings in Guillain-Barré syndrome and chronic inflammatory demyelinating polyneuropathies.吉兰-巴雷综合征和慢性炎症性脱髓鞘性多发性神经病的脑脊液检查结果
Handb Clin Neurol. 2017;146:125-138. doi: 10.1016/B978-0-12-804279-3.00009-5.
8
An unusual case of recurrent Guillain-Barré syndrome with normal cerebrospinal fluid protein levels: a case report.脑脊液蛋白水平正常的复发性吉兰-巴雷综合征罕见病例:一例报告
BMC Neurol. 2016 Sep 5;16(1):161. doi: 10.1186/s12883-016-0687-z.
9
Clinical, electrophysiological findings and evaluation of prognosis of patients with Guillain-Barré syndrome.吉兰-巴雷综合征患者的临床、电生理表现及预后评估
Turk J Pediatr. 2019;61(2):200-208. doi: 10.24953/turkjped.2019.02.008.
10
Post-Traumatic brain injury (TBI) presenting with Guillain-Barré syndrome and elevated anti-ganglioside antibodies: a case report and review of the literature.创伤性脑损伤后出现吉兰-巴雷综合征及抗神经节苷脂抗体升高:一例报告并文献复习
Int J Neurosci. 2015;125(7):486-92. doi: 10.3109/00207454.2014.957760. Epub 2014 Oct 22.

本文引用的文献

1
Knowledge-base for interpretation of cerebrospinal fluid data patterns. Essentials in neurology and psychiatry.脑脊液数据模式解读知识库。神经学与精神病学要点。
Arq Neuropsiquiatr. 2016 Jun;74(6):501-12. doi: 10.1590/0004-282X20160066.
2
Guillain-Barré Syndrome outbreak associated with Zika virus infection in French Polynesia: a case-control study.法属波利尼西亚与寨卡病毒感染相关的吉兰-巴雷综合征疫情:一项病例对照研究
Lancet. 2016 Apr 9;387(10027):1531-1539. doi: 10.1016/S0140-6736(16)00562-6. Epub 2016 Mar 2.
3
Mild form of Guillain-Barré syndrome in a patient with primary Epstein-Barr virus infection.
一名原发性爱泼斯坦-巴尔病毒感染患者的轻度吉兰-巴雷综合征
Korean J Intern Med. 2016 Nov;31(6):1191-1193. doi: 10.3904/kjim.2015.033. Epub 2016 Feb 2.
4
Guillain-Barré syndrome and influenza vaccines: A meta-analysis.格林-巴利综合征与流感疫苗:一项荟萃分析。
Vaccine. 2015 Jul 17;33(31):3773-8. doi: 10.1016/j.vaccine.2015.05.013. Epub 2015 May 18.
5
Guillain-Barré Syndrome due to CMV Reactivation after Cardiac Transplantation.心脏移植后巨细胞病毒再激活所致格林-巴利综合征
Case Rep Cardiol. 2012;2012:506290. doi: 10.1155/2012/506290. Epub 2012 Feb 14.
6
HIV seroconversion manifesting as Guillian-Barre syndrome.表现为吉兰-巴雷综合征的HIV血清转化
Chin Med J (Engl). 2014;127(2):396.
7
The Guillain-Barré syndrome.吉兰-巴雷综合征
Handb Clin Neurol. 2013;115:383-402. doi: 10.1016/B978-0-444-52902-2.00021-7.
8
Coexistence of myositis, transverse myelitis, and Guillain Barré syndrome following Mycoplasma pneumoniae infection in an adolescent.一名青少年肺炎支原体感染后出现肌炎、横贯性脊髓炎和吉兰-巴雷综合征并存的情况。
J Pediatr Neurosci. 2013 Jan;8(1):59-63. doi: 10.4103/1817-1745.111428.
9
Guillain-Barré syndrome.吉兰-巴雷综合征
N Engl J Med. 2012 Jun 14;366(24):2294-304. doi: 10.1056/NEJMra1114525.
10
Pain in Guillain-Barre syndrome: a long-term follow-up study.格林-巴利综合征疼痛:一项长期随访研究。
Neurology. 2010 Oct 19;75(16):1439-47. doi: 10.1212/WNL.0b013e3181f88345. Epub 2010 Sep 22.