• 文献检索
  • 文档翻译
  • 深度研究
  • 学术资讯
  • Suppr Zotero 插件Zotero 插件
  • 邀请有礼
  • 套餐&价格
  • 历史记录
应用&插件
Suppr Zotero 插件Zotero 插件浏览器插件Mac 客户端Windows 客户端微信小程序
定价
高级版会员购买积分包购买API积分包
服务
文献检索文档翻译深度研究API 文档MCP 服务
关于我们
关于 Suppr公司介绍联系我们用户协议隐私条款
关注我们

Suppr 超能文献

核心技术专利:CN118964589B侵权必究
粤ICP备2023148730 号-1Suppr @ 2026

文献检索

告别复杂PubMed语法,用中文像聊天一样搜索,搜遍4000万医学文献。AI智能推荐,让科研检索更轻松。

立即免费搜索

文件翻译

保留排版,准确专业,支持PDF/Word/PPT等文件格式,支持 12+语言互译。

免费翻译文档

深度研究

AI帮你快速写综述,25分钟生成高质量综述,智能提取关键信息,辅助科研写作。

立即免费体验

生物可降解聚合物西罗莫司洗脱支架反复再狭窄伴超敏反应:一例报告

Repetitive restenosis in a biodegradable polymer sirolimus-eluting stent with hypersensitivity reaction: a case report.

作者信息

Jimba Takahiro, Hashikata Takehiro, Matsushita Masashiro, Yamasaki Masao

机构信息

Department of Cardiovascular Medicine, NTT Medical Center Tokyo, Higashigotanda 5-9-22, Shinagawa-ku, Tokyo 141-0022, Japan.

出版信息

Eur Heart J Case Rep. 2020 Feb 4;4(1):1-5. doi: 10.1093/ehjcr/ytaa001. eCollection 2020 Feb.

DOI:10.1093/ehjcr/ytaa001
PMID:32128478
原文链接:https://pmc.ncbi.nlm.nih.gov/articles/PMC7047045/
Abstract

BACKGROUND

Hypersensitivity reaction is a classic cause of in-stent restenosis (ISR) in coronary stents, typically reported in bare-metal stents and first-generation drug-eluting stents. Biodegradable polymer sirolimus-eluting stent (BP-SES) was developed with the concept of biocompatibility, and there has been no report of ISR of BP-SES with hypersensitivity reaction.

CASE SUMMARY

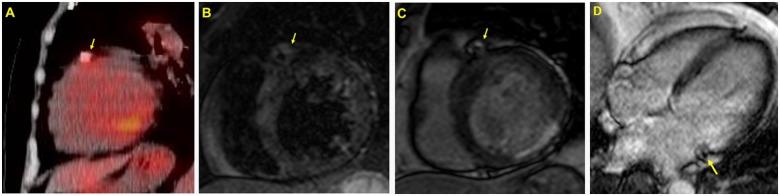
An 81-year-old woman presented with ST-elevation acute inferior myocardial infarction. Primary percutaneous coronary intervention was performed for the culprit lesion in the left circumflex artery with a permanent polymer everolimus-eluting stent (PP-EES), followed by BP-SES implantation in the left anterior descending artery. Eight months later, coronary angiography showed total occlusion of the PP-EES and diffuse ISR in the BP-SES, treated with a paclitaxel-eluting balloon. Fluorodeoxyglucose with positron emission tomography showed increased uptake around the BP-SES, and cardiac magnetic resonance imaging revealed a late gadolinium-enhanced area around both stents. Four months later, she developed re-ISR in the BP-SES, and optical coherence tomography demonstrated diffuse-layered neointimal hyperplasia with microvascularization and peri-strut low-intensity area. She was successfully treated with coronary artery bypass grafting.

DISCUSSION

Our case demonstrated repetitive short-term ISR of the BP-SES. Observation by both intravascular and non-invasive imaging modalities suggested the presence of hypersensitivity reaction localized in the stent. Hypersensitivity to the metal may be a possible mechanism because both stents are composed of L605 cobalt-chromium alloy. This is the first report of ISR of a BP-SES with hypersensitivity reaction. Non-invasive imaging can be useful to assess this critical condition.

摘要

背景

超敏反应是冠状动脉支架内再狭窄(ISR)的经典原因,在裸金属支架和第一代药物洗脱支架中较为常见。可生物降解聚合物西罗莫司洗脱支架(BP-SES)是基于生物相容性概念研发的,目前尚无BP-SES发生伴有超敏反应的ISR的报道。

病例摘要

一名81岁女性因ST段抬高型急性下壁心肌梗死就诊。对左旋支罪犯病变行急诊经皮冠状动脉介入治疗,植入永久聚合物依维莫司洗脱支架(PP-EES),随后在左前降支植入BP-SES。8个月后,冠状动脉造影显示PP-EES完全闭塞,BP-SES出现弥漫性ISR,遂采用紫杉醇洗脱球囊治疗。正电子发射断层扫描氟脱氧葡萄糖显示BP-SES周围摄取增加,心脏磁共振成像显示两个支架周围均有延迟钆增强区域。4个月后,她的BP-SES再次出现ISR,光学相干断层扫描显示弥漫性分层内膜增生伴微血管化和支架周围低强度区域。她最终成功接受了冠状动脉旁路移植术治疗。

讨论

我们的病例显示了BP-SES反复出现的短期ISR。血管内和非侵入性成像方式的观察均提示支架部位存在超敏反应。对金属的超敏反应可能是一种潜在机制,因为两种支架均由L605钴铬合金制成。这是首例关于BP-SES发生伴有超敏反应的ISR的报道。非侵入性成像有助于评估这一危急情况。

https://cdn.ncbi.nlm.nih.gov/pmc/blobs/ca46/7047045/3be016a3c391/ytaa001f4.jpg
https://cdn.ncbi.nlm.nih.gov/pmc/blobs/ca46/7047045/410a06cafe70/ytaa001f1.jpg
https://cdn.ncbi.nlm.nih.gov/pmc/blobs/ca46/7047045/d44172b739d6/ytaa001f2.jpg
https://cdn.ncbi.nlm.nih.gov/pmc/blobs/ca46/7047045/78c33583bc83/ytaa001f3.jpg
https://cdn.ncbi.nlm.nih.gov/pmc/blobs/ca46/7047045/3be016a3c391/ytaa001f4.jpg
https://cdn.ncbi.nlm.nih.gov/pmc/blobs/ca46/7047045/410a06cafe70/ytaa001f1.jpg
https://cdn.ncbi.nlm.nih.gov/pmc/blobs/ca46/7047045/d44172b739d6/ytaa001f2.jpg
https://cdn.ncbi.nlm.nih.gov/pmc/blobs/ca46/7047045/78c33583bc83/ytaa001f3.jpg
https://cdn.ncbi.nlm.nih.gov/pmc/blobs/ca46/7047045/3be016a3c391/ytaa001f4.jpg

相似文献

1
Repetitive restenosis in a biodegradable polymer sirolimus-eluting stent with hypersensitivity reaction: a case report.生物可降解聚合物西罗莫司洗脱支架反复再狭窄伴超敏反应:一例报告
Eur Heart J Case Rep. 2020 Feb 4;4(1):1-5. doi: 10.1093/ehjcr/ytaa001. eCollection 2020 Feb.
2
Ultrathin Strut Biodegradable Polymer Sirolimus-Eluting Stent Versus Durable-Polymer Everolimus-Eluting Stent for Percutaneous Coronary Revascularization: 2-Year Results of the BIOSCIENCE Trial.用于经皮冠状动脉血运重建的超薄支柱可生物降解聚合物西罗莫司洗脱支架与耐用聚合物依维莫司洗脱支架对比:BIOSCIENCE试验的2年结果
J Am Heart Assoc. 2016 Mar 15;5(3):e003255. doi: 10.1161/JAHA.116.003255.
3
Five-Year Outcomes in Patients With Diabetes Mellitus Treated With Biodegradable Polymer Sirolimus-Eluting Stents Versus Durable Polymer Everolimus-Eluting Stents.糖尿病患者经生物可降解聚合物西罗莫司洗脱支架与持久性聚合物依维莫司洗脱支架治疗的 5 年结果。
J Am Heart Assoc. 2019 Nov 19;8(22):e013607. doi: 10.1161/JAHA.119.013607. Epub 2019 Nov 7.
4
Comparable vascular response of a new generation sirolimus eluting stents when compared to fluoropolymer everolimus eluting stents in the porcine coronary restenosis model.在猪冠状动脉再狭窄模型中,新一代西罗莫司洗脱支架与氟聚合物依维莫司洗脱支架相比的类似血管反应。
Cardiol J. 2016;23(6):657-666. doi: 10.5603/CJ.2016.0108.
5
Ten-Year Clinical Outcomes From a Trial of Three Limus-Eluting Stents With Different Polymer Coatings in Patients With Coronary Artery Disease.冠状动脉疾病患者中三种不同聚合物涂层雷帕霉素洗脱支架的十年临床结果研究。
Circulation. 2019 Jan 15;139(3):325-333. doi: 10.1161/CIRCULATIONAHA.118.038065.
6
Vascular response to bioresorbable polymer sirolimus-eluting stent vs. permanent polymer everolimus-eluting stent at 9-month follow-up: an optical coherence tomography sub-study from the CENTURY II trial.生物可吸收聚合物西罗莫司洗脱支架与永久性聚合物依维莫司洗脱支架9个月随访时的血管反应:来自CENTURY II试验的光学相干断层扫描子研究
Eur Heart J Cardiovasc Imaging. 2016 Jan;17(1):34-40. doi: 10.1093/ehjci/jev203. Epub 2015 Sep 1.
7
Ultrathin Bioresorbable-Polymer Sirolimus-Eluting Stents Versus Thin Durable-Polymer Everolimus-Eluting Stents for Coronary Revascularization: 3-Year Outcomes From the Randomized BIOFLOW V Trial.超薄生物可吸收聚合物西罗莫司洗脱支架与薄型持久聚合物依维莫司洗脱支架在冠状动脉血运重建中的比较:随机 BIOFLOW V 试验 3 年结果。
JACC Cardiovasc Interv. 2020 Jun 8;13(11):1343-1353. doi: 10.1016/j.jcin.2020.02.019.
8
Biodegradable polymer-coated thin strut sirolimus- -eluting stent versus durable polymer-coated everolimus-eluting stent in the diabetic population.生物可降解聚合物涂层薄支架西罗莫司洗脱支架与耐用聚合物涂层依维莫司洗脱支架在糖尿病患者中的比较。
Cardiol J. 2021;28(2):235-243. doi: 10.5603/CJ.a2019.0111. Epub 2020 Jan 7.
9
Randomised comparison of vascular response to biodegradable polymer sirolimus eluting and permanent polymer everolimus eluting stents: An optical coherence tomography study.随机比较生物可降解聚合物西罗莫司洗脱和永久性聚合物依维莫司洗脱支架的血管反应:一项光学相干断层扫描研究。
Int J Cardiol. 2018 May 1;258:42-49. doi: 10.1016/j.ijcard.2018.01.011.
10
Randomized Multicenter Trial Investigating Angiographic Outcomes of Hybrid Sirolimus-Eluting Stents With Biodegradable Polymer Compared With Everolimus-Eluting Stents With Durable Polymer in Chronic Total Occlusions: The PRISON IV Trial.随机多中心试验研究比较在慢性完全闭塞病变中应用可降解聚合物载紫杉醇药物洗脱支架与应用不可降解聚合物载依维莫司药物洗脱支架的血管造影结果:PRISON IV 试验。
JACC Cardiovasc Interv. 2017 Jan 23;10(2):133-143. doi: 10.1016/j.jcin.2016.10.017.

引用本文的文献

1
Stent-induced hypersensitivity leading to refractory in-stent restenosis: a case report.支架诱导的超敏反应导致难治性支架内再狭窄:一例病例报告。
J Med Case Rep. 2025 Mar 4;19(1):96. doi: 10.1186/s13256-025-05122-4.
2
Stentless percutaneous coronary intervention with directional coronary atherectomy and drug-coated balloon angioplasty in worsening angina patients with metal allergies.在金属过敏的恶化型心绞痛患者中采用定向冠状动脉斑块旋切术和药物涂层球囊血管成形术进行无支架经皮冠状动脉介入治疗。
J Cardiol Cases. 2022 Oct 13;27(1):32-35. doi: 10.1016/j.jccase.2022.09.014. eCollection 2023 Jan.
3
Hypersensitivity and in-stent restenosis in coronary stent materials.

本文引用的文献

1
Localized Inflammation and Aneurysm Formation 10 Years After Sirolimus-Eluting Stent Implantation.西罗莫司洗脱支架植入术后10年的局部炎症与动脉瘤形成
Circ J. 2017 Jun 23;81(7):1054-1055. doi: 10.1253/circj.CJ-16-1064. Epub 2017 Jan 27.
2
Histopathological Differential Diagnosis of Optical Coherence Tomographic Image Interpretation After Stenting.光学相干断层扫描图像解读后支架置入的组织病理学鉴别诊断。
JACC Cardiovasc Interv. 2016 Dec 26;9(24):2511-2523. doi: 10.1016/j.jcin.2016.09.016. Epub 2016 Nov 23.
3
The Ultimaster Biodegradable-Polymer Sirolimus-Eluting Stent: An Updated Review of Clinical Evidence.
冠状动脉支架材料中的超敏反应和支架内再狭窄。
Front Bioeng Biotechnol. 2022 Sep 15;10:1003322. doi: 10.3389/fbioe.2022.1003322. eCollection 2022.
4
Histopathological findings of late-phase restenosis after directional coronary atherectomy with drug-coated balloon angioplasty: a case report.药物涂层球囊血管成形术引导下冠状动脉旋切术后晚期再狭窄的组织病理学发现:一例报告
Eur Heart J Case Rep. 2022 Jun 28;6(7):ytac259. doi: 10.1093/ehjcr/ytac259. eCollection 2022 Jul.
5
In-stent restenosis due to delayed healing of abluminal bioresorbable polymer everolimus-eluting stent: insight from histopathological evaluation with directional coronary atherectomy.腔内生物可吸收聚合物依维莫司洗脱支架延迟愈合导致的支架内再狭窄:冠状动脉定向旋切术组织病理学评估的见解
Eur Heart J Case Rep. 2021 Sep 15;5(9):ytab370. doi: 10.1093/ehjcr/ytab370. eCollection 2021 Sep.
6
Severe chronic aortic regurgitation after percutaneous coronary intervention: a case report and literature review.经皮冠状动脉介入治疗后发生严重慢性主动脉瓣反流:一例病例报告及文献综述
Eur Heart J Case Rep. 2021 Mar 3;5(3):ytab044. doi: 10.1093/ehjcr/ytab044. eCollection 2021 Mar.
7
Clinical outcome of biodegradable polymer sirolimus-eluting stent and durable polymer everolimus-eluting stent in patients with diabetes.糖尿病患者应用可生物降解聚合物西罗莫司洗脱支架和持久性聚合物依维莫司洗脱支架的临床转归。
Cardiovasc Diabetol. 2020 Oct 1;19(1):162. doi: 10.1186/s12933-020-01145-x.
Ultimaster生物可降解聚合物西罗莫司洗脱支架:临床证据的最新综述
Int J Mol Sci. 2016 Sep 6;17(9):1490. doi: 10.3390/ijms17091490.
4
Metal allergy to everolimus-eluting cobalt chromium stents confirmed by positive skin testing as a cause of recurrent multivessel in-stent restenosis.通过阳性皮肤试验证实对依维莫司洗脱钴铬支架的金属过敏是复发性多支血管支架内再狭窄的一个原因。
Catheter Cardiovasc Interv. 2016 Mar;87(4):E137-42. doi: 10.1002/ccd.26017. Epub 2015 May 22.
5
Hypersensitivity reaction in the US Food and Drug Administration-approved second-generation drug-eluting stents: histopathological assessment with ex vivo optical coherence tomography.美国食品药品监督管理局批准的第二代药物洗脱支架中的超敏反应:采用离体光学相干断层扫描的组织病理学评估
Circulation. 2015 Jan 20;131(3):322-4. doi: 10.1161/CIRCULATIONAHA.114.012658.
6
Peri-strut low-intensity areas in optical coherence tomography correlate with peri-strut inflammation and neointimal proliferation: an in-vivo correlation study in the familial hypercholesterolemic coronary swine model of in-stent restenosis.光学相干断层扫描中支架周围低强度区域与支架周围炎症和新生内膜增殖相关:家族性高胆固醇血症冠状动脉猪支架内再狭窄模型的体内相关性研究
Coron Artery Dis. 2014 Nov;25(7):595-601. doi: 10.1097/MCA.0000000000000134.
7
A randomized, prospective, intercontinental evaluation of a bioresorbable polymer sirolimus-eluting coronary stent system: the CENTURY II (Clinical Evaluation of New Terumo Drug-Eluting Coronary Stent System in the Treatment of Patients with Coronary Artery Disease) trial.一种生物可吸收聚合物西罗莫司洗脱冠状动脉支架系统的随机、前瞻性、洲际评估:CENTURY II(新型泰尔茂药物洗脱冠状动脉支架系统治疗冠状动脉疾病患者的临床评估)试验。
Eur Heart J. 2014 Aug 7;35(30):2021-31. doi: 10.1093/eurheartj/ehu210. Epub 2014 May 19.
8
Neointimal patterns obtained by optical coherence tomography correlate with specific histological components and neointimal proliferation in a swine model of restenosis.光学相干断层扫描获得的新生内膜模式与猪再狭窄模型中的特定组织学成分和新生内膜增殖相关。
Eur Heart J Cardiovasc Imaging. 2014 Mar;15(3):292-8. doi: 10.1093/ehjci/jet162. Epub 2013 Sep 9.
9
In-stent restenosis in the drug-eluting stent era.药物洗脱支架时代的支架内再狭窄。
J Am Coll Cardiol. 2010 Nov 30;56(23):1897-907. doi: 10.1016/j.jacc.2010.07.028.
10
Imaging atherosclerotic plaque inflammation by fluorodeoxyglucose with positron emission tomography: ready for prime time?正电子发射断层扫描用氟脱氧葡萄糖成像检测动脉粥样硬化斑块炎症:是否已准备好投入使用?
J Am Coll Cardiol. 2010 Jun 8;55(23):2527-35. doi: 10.1016/j.jacc.2009.12.061.