Okano Ichiro, Omata Joe, Hoshino Yushi, Usui Yuki, Toyone Tomoaki, Inagaki Katsunori
Department of Orthopaedic Surgery, Ohta-Nishinouchi Hospital, 2-5-20 Nishinouchi, Koriyama, Fukushima, 963-8558, Japan.
Department of Orthopaedic Surgery, Showa University School of Medicine, Tokyo, Japan.
BMC Musculoskelet Disord. 2020 Mar 4;21(1):143. doi: 10.1186/s12891-020-3152-5.
Anterior cervical spine surgery is often associated with postoperative dysphagia, but chronic dysphagia caused by laryngo-vertebral synostosis is extremely rare. We report a case of chronic dysphagia caused by synostosis between the cricoid cartilage and cervical spine after anterior surgery for cervical spine trauma.
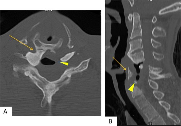
We present a case of a 39-year-old man who had sustained complex spine trauma at C5-6 associated with complete spinal cord injury at the age of 22; the patient presented with a 5-year history of chronic dysphagia. Computed tomography demonstrated posterior shift of the esophagus as well as calcification of the cricoid cartilage and its fusion to the right anterior tubercle of the C5 vertebra. A barium swallow study demonstrated significant barium aspiration into the airway and no laryngeal elevation. The patient underwent resection of the bony bridge and omohyoid muscle flap insertion. His symptoms ameliorated after surgery.
Synostosis between the cricoid cartilage and cervical spine may occur associated with cervical spine trauma and causes chronic dysphagia. Resection of the fused part can improve dysphagia caused by this rare condition and omohyoid muscle flap might be a good option to prevent recurrence.
颈椎前路手术常伴有术后吞咽困难,但由喉椎体融合导致的慢性吞咽困难极为罕见。我们报告一例颈椎创伤前路手术后环状软骨与颈椎融合导致慢性吞咽困难的病例。
我们呈现一名39岁男性病例,其在22岁时遭受C5 - 6复杂脊柱创伤并伴有完全性脊髓损伤;患者有5年慢性吞咽困难病史。计算机断层扫描显示食管后移以及环状软骨钙化及其与C5椎体右前结节融合。钡餐吞咽研究显示大量钡剂误吸入气道且无喉部抬高。患者接受了骨桥切除及肩胛舌骨肌瓣植入术。术后其症状有所改善。
环状软骨与颈椎之间的融合可能与颈椎创伤相关并导致慢性吞咽困难。切除融合部位可改善由这种罕见情况引起的吞咽困难,肩胛舌骨肌瓣可能是预防复发的良好选择。