Suppr超能文献

多发伤包括骨盆骨折伴多处动脉栓塞:一例尸检病例报告

Multiple trauma including pelvic fracture with multiple arterial embolization: an autopsy case report.

作者信息

Miyake Takahito, Okada Hideshi, Kanda Norihide, Yamaji Fuminori, Okamoto Haruka, Ushikoshi Hiroaki, Noguchi Kei, Tomita Hiroyuki, Yoshida Shozo, Ogura Shinji

机构信息

1Advanced Critical Care Center, Gifu University Hospital, 1-1 Yanagido, Gifu, 501-1194 Japan.

2Department of Tumor Pathology, Gifu University School of Medicine, 1-1 Yanagido, Gifu, 501-1194 Japan.

出版信息

Thromb J. 2020 Mar 2;18:3. doi: 10.1186/s12959-020-00217-y. eCollection 2020.

Abstract

BACKGROUND

Pelvic fracture with high energy trauma has a high mortality rate, especially in men. In addition, severe multiple trauma, major hemorrhage, and administration of red blood cells predict mortality in elderly patients with pelvic fracture. We herein report a rare case in which multiple arterial embolization occurred after pelvic fracture.

CASE PRESENTATION

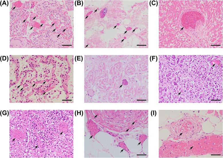
An 83-year-old male cyclist was transported to our hospital after being struck by a car. On arrival, he was diagnosed with multiple trauma, including rib fractures with hemothorax, lumbar fractures of the transverse process, and injuries in the right acetabulum, left adrenal gland, and liver. He underwent massive transfusion and transcatheter arterial embolization due to extravasation from the right superior gluteal artery and left adrenal gland. On the second day, owing to right lower leg ischemia, serum creatinine kinase and myoglobin levels were markedly elevated from the reference value; hence, a right above-knee amputation was performed 12 h after the accident. However, both protein levels remained high after amputation, resulting in acute renal injury, which was treated via hemodiafiltration on hospital day 3. In addition, sustained low efficiency hemodialysis and plasma exchange were performed on hospital day 4. Despite these treatments, the patient's hemodynamics did not improve, and he died on hospital day 8. The autopsy revealed necropsy of the iliopsoas muscles and the digestive tract.

CONCLUSIONS

The causes of the patient's death were considered to be persistent rhabdomyolysis and severe hypotension due to iliopsoas necrosis and peritonitis due to digestive tract necrosis. Multiple arterial embolization caused by consumption coagulopathy associated with multiple trauma may account for severe outcomes in this case.

摘要

背景

高能量创伤导致的骨盆骨折死亡率很高,尤其是在男性患者中。此外,严重多发伤、大出血以及红细胞输注可预测老年骨盆骨折患者的死亡率。我们在此报告一例骨盆骨折后发生多处动脉栓塞的罕见病例。

病例介绍

一名83岁男性骑自行车者被汽车撞击后被送往我院。入院时,他被诊断为多发伤,包括肋骨骨折伴血胸、腰椎横突骨折以及右髋臼、左肾上腺和肝脏损伤。由于右臀上动脉和左肾上腺出血,他接受了大量输血和经导管动脉栓塞治疗。第二天,由于右小腿缺血,血清肌酐激酶和肌红蛋白水平较参考值显著升高;因此,在事故发生12小时后进行了右大腿截肢术。然而,截肢后这两种蛋白水平仍居高不下,导致急性肾损伤,于住院第3天通过血液透析滤过进行治疗。此外,在住院第4天进行了持续低效血液透析和血浆置换。尽管采取了这些治疗措施,患者的血流动力学仍未改善,于住院第8天死亡。尸检显示髂腰肌和消化道坏死。

结论

患者死亡原因被认为是持续性横纹肌溶解、髂腰肌坏死导致的严重低血压以及消化道坏死导致的腹膜炎。多发伤相关的消耗性凝血病引起的多处动脉栓塞可能是该病例出现严重后果的原因。

https://cdn.ncbi.nlm.nih.gov/pmc/blobs/79d6/7050116/5f7ee637cba9/12959_2020_217_Fig1_HTML.jpg

文献AI研究员

20分钟写一篇综述,助力文献阅读效率提升50倍。

立即体验

用中文搜PubMed

大模型驱动的PubMed中文搜索引擎

马上搜索

文档翻译

学术文献翻译模型,支持多种主流文档格式。

立即体验