• 文献检索
  • 文档翻译
  • 深度研究
  • 学术资讯
  • Suppr Zotero 插件Zotero 插件
  • 邀请有礼
  • 套餐&价格
  • 历史记录
应用&插件
Suppr Zotero 插件Zotero 插件浏览器插件Mac 客户端Windows 客户端微信小程序
定价
高级版会员购买积分包购买API积分包
服务
文献检索文档翻译深度研究API 文档MCP 服务
关于我们
关于 Suppr公司介绍联系我们用户协议隐私条款
关注我们

Suppr 超能文献

核心技术专利:CN118964589B侵权必究
粤ICP备2023148730 号-1Suppr @ 2026

文献检索

告别复杂PubMed语法,用中文像聊天一样搜索,搜遍4000万医学文献。AI智能推荐,让科研检索更轻松。

立即免费搜索

文件翻译

保留排版,准确专业,支持PDF/Word/PPT等文件格式,支持 12+语言互译。

免费翻译文档

深度研究

AI帮你快速写综述,25分钟生成高质量综述,智能提取关键信息,辅助科研写作。

立即免费体验

偶然发现的伴有肝动脉闭塞的孤立性腹腔干夹层的自然病程。

Natural course of incidentally detected isolated Celiac Artery Dissection with hepatic artery occlusion.

作者信息

Duraikannu Chary, Karunakaran Parthasarathy, Haithrous Shamim Ahamed, Pulupula Venkata Narasimha Kumar

机构信息

Countess of Chester Hospital NHS Foundation Trust. Liverpool Road, Chester, CH2 1UL. United Kingdom.

出版信息

Radiol Case Rep. 2020 Feb 24;15(5):479-483. doi: 10.1016/j.radcr.2020.01.028. eCollection 2020 May.

DOI:10.1016/j.radcr.2020.01.028
PMID:32140191
原文链接:https://pmc.ncbi.nlm.nih.gov/articles/PMC7044499/
Abstract

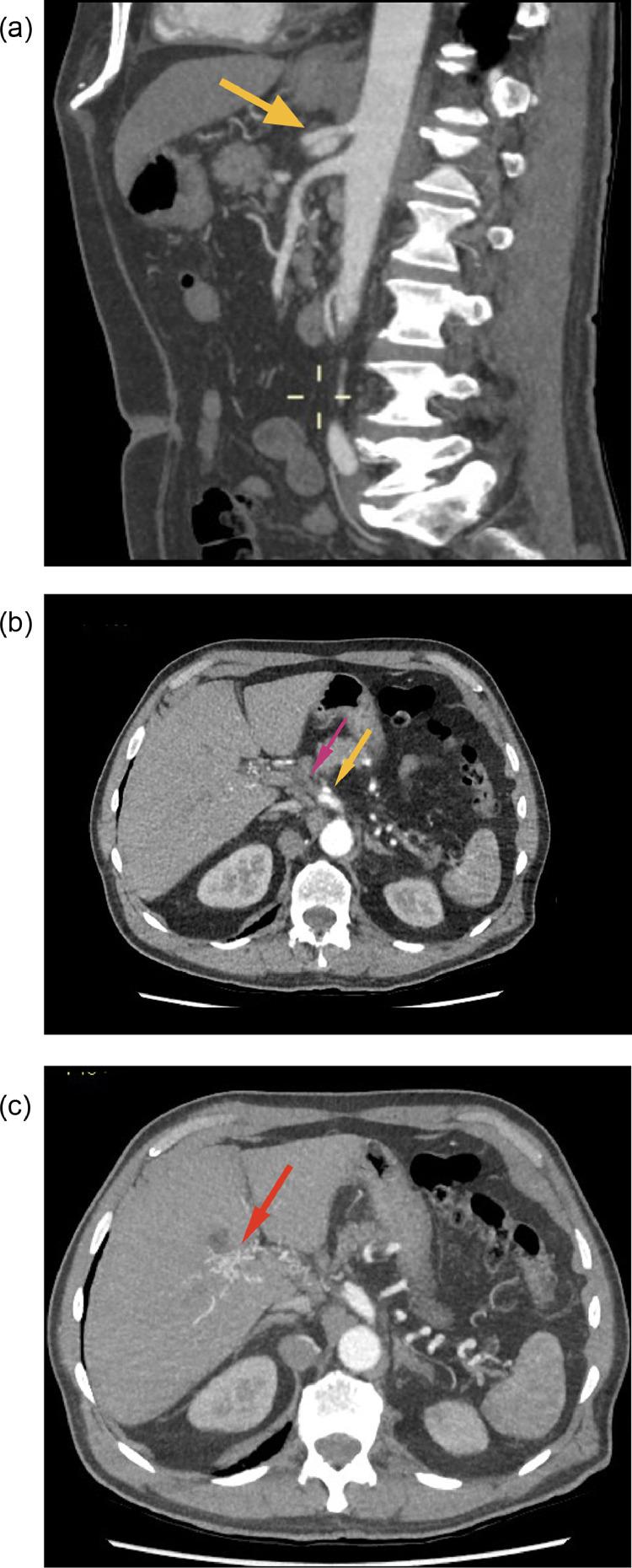
Isolated celiac artery dissection (ICAD) is a rare entity with over 160 cases described in literature. We report a case of incidentally detected isolated celiac artery dissection during computed tomography evaluation for occult gastrointestinal bleeding. Though most cases of isolated celiac artery dissection are initially managed conservatively with antiplatelet and anticoagulants, some patients may require endovascular or occasionally surgical treatment. In our case, the celiac artery dissection had already progressed to cause hepatic artery occlusion and secondary collateral formation in the porta hepatis region. We retrospectively analyze the natural course of celiac artery dissection with hepatic artery occlusion in an asymptomatic patient for over 3 years.

摘要

孤立性腹腔干动脉夹层(ICAD)是一种罕见疾病,文献中描述的病例超过160例。我们报告了1例在针对隐匿性胃肠道出血进行计算机断层扫描评估时偶然发现的孤立性腹腔干动脉夹层。虽然大多数孤立性腹腔干动脉夹层病例最初采用抗血小板和抗凝药物进行保守治疗,但一些患者可能需要血管内治疗或偶尔进行手术治疗。在我们的病例中,腹腔干动脉夹层已经进展,导致肝动脉闭塞和肝门区继发性侧支形成。我们回顾性分析了1例无症状患者腹腔干动脉夹层伴肝动脉闭塞超过3年的自然病程。

https://cdn.ncbi.nlm.nih.gov/pmc/blobs/0b2d/7044499/0eef34f6d35d/gr2.jpg
https://cdn.ncbi.nlm.nih.gov/pmc/blobs/0b2d/7044499/923fe130aa06/gr1.jpg
https://cdn.ncbi.nlm.nih.gov/pmc/blobs/0b2d/7044499/0eef34f6d35d/gr2.jpg
https://cdn.ncbi.nlm.nih.gov/pmc/blobs/0b2d/7044499/923fe130aa06/gr1.jpg
https://cdn.ncbi.nlm.nih.gov/pmc/blobs/0b2d/7044499/0eef34f6d35d/gr2.jpg

相似文献

1
Natural course of incidentally detected isolated Celiac Artery Dissection with hepatic artery occlusion.偶然发现的伴有肝动脉闭塞的孤立性腹腔干夹层的自然病程。
Radiol Case Rep. 2020 Feb 24;15(5):479-483. doi: 10.1016/j.radcr.2020.01.028. eCollection 2020 May.
2
Hypertensive emergency presenting with an isolated celiac artery dissection: A rare case study.以孤立性腹腔动脉夹层为表现的高血压急症:一例罕见病例研究。
Int J Surg Case Rep. 2016;27:147-151. doi: 10.1016/j.ijscr.2016.08.034. Epub 2016 Aug 28.
3
A Case of Spontaneous Isolated Celiac Artery Dissection with Pseudoaneurysm Formation.一例自发性孤立性腹腔干夹层伴假性动脉瘤形成
Cureus. 2017 Aug 27;9(8):e1616. doi: 10.7759/cureus.1616.
4
Isolated dissection of the celiac artery--a case report.腹腔干孤立性夹层分离——一例报告
Angiology. 2000 Jul;51(7):603-7. doi: 10.1177/000331970005100710.
5
Intravascular Ultrasound-Guided Stenting of the Celiac Artery for Hepatic Hypoperfusion After Acute Type A Aortic Dissection: A Case Report.血管内超声引导下腹腔干动脉支架置入术治疗急性A型主动脉夹层后肝脏低灌注:1例报告
Cureus. 2024 May 18;16(5):e60566. doi: 10.7759/cureus.60566. eCollection 2024 May.
6
Spontaneous celiac artery dissection and its management.自发性腹腔干夹层及其处理
J Radiol Case Rep. 2010;4(4):30-3. doi: 10.3941/jrcr.v4i4.408. Epub 2010 Apr 1.
7
Variations of the celiac trunk and its branches associated with the shift of vascular hilum (porta hepatis) of the liver.腹腔干及其分支的变异与肝脏血管门(肝门)移位相关。
Bratisl Lek Listy. 2012;113(2):120-2. doi: 10.4149/bll_2012_028.
8
Spontaneous Celiac Artery Dissection with Splenic Infarction: A Report of Two Cases.自发性腹腔干夹层伴脾梗死:两例报告
Vasc Specialist Int. 2023 Sep 4;39:24. doi: 10.5758/vsi.230067.
9
Giant Bilobed Hepatic Artery Aneurysm with Occlusion of the Celiac Axis: Repair Using a Bifurcated Graft.巨大双叶肝动脉瘤伴腹腔干闭塞:使用分叉移植物进行修复
Ann Vasc Surg. 2017 Jul;42:62.e5-62.e8. doi: 10.1016/j.avsg.2016.10.039. Epub 2017 Mar 7.
10
Spontaneous isolated celiac and splenic artery dissection with splenic infarction.自发性孤立性腹腔干和脾动脉夹层伴脾梗死
Radiol Case Rep. 2022 Apr 12;17(6):2085-2091. doi: 10.1016/j.radcr.2022.03.060. eCollection 2022 Jun.

引用本文的文献

1
Spontaneous Celiac Artery Dissection With Severe Pain Disproportionate to Lack of Prominent Tenderness and Limited Diagnostic Value of D-dimer and C-reactive Protein: A Case Report and Literature Review.自发性腹腔干夹层伴严重疼痛与压痛不明显及D-二聚体和C反应蛋白诊断价值有限不符:一例报告及文献复习
Cureus. 2025 Jul 15;17(7):e88022. doi: 10.7759/cureus.88022. eCollection 2025 Jul.

本文引用的文献

1
Mid- to Long-Term Outcomes in Management of Spontaneous Isolated Coeliac Artery Dissection (SICAD).自发性孤立性腹腔动脉夹层(SICAD)治疗的中远期结果。
Eur J Vasc Endovasc Surg. 2020 Feb;59(2):247-253. doi: 10.1016/j.ejvs.2019.09.510. Epub 2019 Dec 5.
2
Natural course and outcomes of spontaneous isolated celiac artery dissection according to morphological findings on computed tomography angiography: STROBE compliant article.根据计算机断层血管造影的形态学表现探讨自发性孤立性腹腔干夹层的自然病程及预后:STROBE规范文章
Medicine (Baltimore). 2018 Feb;97(5):e9705. doi: 10.1097/MD.0000000000009705.
3
Effectiveness of the Conservative Therapy for Symptomatic Isolated Celiac Artery Dissection.
Cardiovasc Intervent Radiol. 2017 Jul;40(7):994-1002. doi: 10.1007/s00270-017-1680-7. Epub 2017 May 10.
4
Outcomes of conservative management of spontaneous celiac artery dissection.自发性腹腔干夹层保守治疗的结果
J Vasc Surg. 2017 Mar;65(3):760-765.e1. doi: 10.1016/j.jvs.2016.09.058. Epub 2016 Dec 22.
5
Impact of Noninvasive Conservative Medical Treatment for Symptomatic Isolated Celiac Artery Dissection.
Circ J. 2016 May 25;80(6):1445-51. doi: 10.1253/circj.CJ-16-0132. Epub 2016 Apr 14.
6
Morphologic findings and management strategy of spontaneous isolated dissection of the celiac artery.
J Vasc Surg. 2016 Aug;64(2):389-394. doi: 10.1016/j.jvs.2015.12.050. Epub 2016 Feb 28.
7
Evaluation and management of symptomatic isolated spontaneous celiac trunk dissection.症状性孤立性自发性腹腔干夹层的评估与处理
Vasc Med. 2015 Aug;20(4):358-63. doi: 10.1177/1358863X15581447. Epub 2015 Apr 24.
8
Isolated celiac artery dissection.孤立性腹腔干夹层
J Vasc Surg. 2015 Apr;61(4):972-6. doi: 10.1016/j.jvs.2014.10.108. Epub 2015 Jan 15.
9
A major pain in the … Back and epigastrium: an unusual case of spontaneous celiac artery dissection.……背部和上腹部剧痛:一例罕见的自发性腹腔干夹层病例
J Community Hosp Intern Med Perspect. 2014 Nov 25;4(5):23840. doi: 10.3402/jchimp.v4.23840. eCollection 2014.
10
The evidence for nonoperative management of visceral artery dissections: a single-center experience.内脏动脉夹层非手术治疗的证据:单中心经验
Ann Vasc Surg. 2015 Jan;29(1):103-8. doi: 10.1016/j.avsg.2014.09.004. Epub 2014 Sep 30.