• 文献检索
  • 文档翻译
  • 深度研究
  • 学术资讯
  • Suppr Zotero 插件Zotero 插件
  • 邀请有礼
  • 套餐&价格
  • 历史记录
应用&插件
Suppr Zotero 插件Zotero 插件浏览器插件Mac 客户端Windows 客户端微信小程序
定价
高级版会员购买积分包购买API积分包
服务
文献检索文档翻译深度研究API 文档MCP 服务
关于我们
关于 Suppr公司介绍联系我们用户协议隐私条款
关注我们

Suppr 超能文献

核心技术专利:CN118964589B侵权必究
粤ICP备2023148730 号-1Suppr @ 2026

文献检索

告别复杂PubMed语法,用中文像聊天一样搜索,搜遍4000万医学文献。AI智能推荐,让科研检索更轻松。

立即免费搜索

文件翻译

保留排版,准确专业,支持PDF/Word/PPT等文件格式,支持 12+语言互译。

免费翻译文档

深度研究

AI帮你快速写综述,25分钟生成高质量综述,智能提取关键信息,辅助科研写作。

立即免费体验

早期肺癌立体定向体部放疗(SBRT)后正常肺密度变化与剂量的相关性。

Correlation of normal lung density changes with dose after stereotactic body radiotherapy (SBRT) for early stage lung cancer.

作者信息

Al Feghali Karine A, Wu Qixue Charles, Devpura Suneetha, Liu Chang, Ghanem Ahmed I, Wen Ning Winston, Ajlouni Munther, Simoff Michael J, Movsas Benjamin, Chetty Indrin J

机构信息

Department of Radiation Oncology, Henry Ford Hospital, 2799 W. Grand Boulevard, Detroit, MI, USA.

Department of Clinical Oncology, Alexandria University, Alexandria, Egypt.

出版信息

Clin Transl Radiat Oncol. 2020 Feb 11;22:1-8. doi: 10.1016/j.ctro.2020.02.004. eCollection 2020 May.

DOI:10.1016/j.ctro.2020.02.004
PMID:32140574
原文链接:https://pmc.ncbi.nlm.nih.gov/articles/PMC7047141/
Abstract

BACKGROUND AND PURPOSE

To investigate the correlation between normal lung CT density changes with dose accuracy and outcome after stereotactic body radiation therapy (SBRT) for patients with early stage non-small-cell lung cancer (NSCLC).

MATERIALS AND METHODS

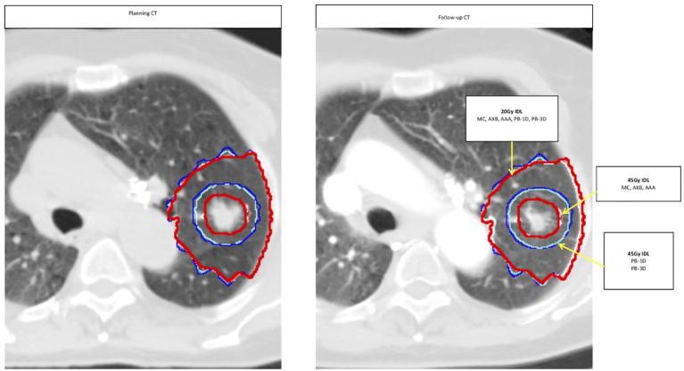
Thirty-one patients (with a total of 33 lesions) with non-small cell lung cancer were selected out of 270 patients treated with SBRT at a single institution between 2003 and 2009. Out of these 31 patients, 10 patients had developed radiation pneumonitis (RP). Dose distributions originally planned using a 1-D pencil beam-based dose algorithm were retrospectively recomputed using different algorithms. Prescription dose was 48 Gy in 4 fractions in most patients. Planning CT images were rigidly registered to follow-up CT datasets at 3-9 months after treatment. Corresponding dose distributions were mapped from planning to follow-up CT images. Hounsfield Unit (HU) changes in lung density in individual, 5 Gy, dose bins from 5 to 45 Gy were assessed in the peri-tumoral region. Correlations between HU changes in various normal lung regions, dose indices (V20, MLD, generalized equivalent uniform dose (gEUD)), and RP grade were investigated.

RESULTS

Strong positive correlation was found between HU changes in the peri-tumoral region and RP grade (Spearman's r = 0.760;  < 0.001). Positive correlation was also observed between RP and HU changes in the region covered by V20 for all algorithms (Spearman's r ≥ 0.738;  < 0.001). Additionally, V20, MLD, and gEUD were significantly correlated with RP grade ( < 0.01). MLD in the peri-tumoral region computed with model-based algorithms was 5-7% lower than the PB-based methods.

CONCLUSION

Changes of lung density in the peri-tumoral lung and in the region covered by V20 were strongly associated with RP grade. Relative to model-based methods, PB algorithms over-estimated mean peri-tumoral dose and showed displacement of the high-dose region, which correlated with HU changes on follow-up CT scans.

摘要

背景与目的

探讨早期非小细胞肺癌(NSCLC)患者立体定向体部放射治疗(SBRT)后正常肺组织CT密度变化与剂量准确性及治疗结果之间的相关性。

材料与方法

从2003年至2009年在单一机构接受SBRT治疗的270例患者中选出31例(共33个病灶)非小细胞肺癌患者。这31例患者中,10例发生了放射性肺炎(RP)。最初使用基于一维铅笔束的剂量算法规划的剂量分布,采用不同算法进行回顾性重新计算。大多数患者的处方剂量为48 Gy,分4次给予。将治疗前的计划CT图像与治疗后3至9个月的随访CT数据集进行刚性配准。将相应的剂量分布从计划CT图像映射到随访CT图像。在肿瘤周围区域评估5至45 Gy的单个5 Gy剂量区间内肺密度的Hounsfield单位(HU)变化。研究不同正常肺区域的HU变化、剂量指数(V20、平均肺剂量(MLD)、广义等效均匀剂量(gEUD))与RP分级之间的相关性。

结果

肿瘤周围区域的HU变化与RP分级之间存在强正相关(Spearman秩相关系数r = 0.760;P < 0.001)。对于所有算法,RP与V20覆盖区域的HU变化之间也观察到正相关(Spearman秩相关系数r≥0.738;P < 0.001)。此外,V20、MLD和gEUD与RP分级显著相关(P < 0.01)。基于模型算法计算的肿瘤周围区域的MLD比基于铅笔束的方法低5%至7%。

结论

肿瘤周围肺组织及V20覆盖区域的肺密度变化与RP分级密切相关。相对于基于模型的方法,铅笔束算法高估了肿瘤周围平均剂量,并显示出高剂量区域的位移,这与随访CT扫描上的HU变化相关。

https://cdn.ncbi.nlm.nih.gov/pmc/blobs/d3e2/7047141/90cbea299d47/gr2.jpg
https://cdn.ncbi.nlm.nih.gov/pmc/blobs/d3e2/7047141/51eae012e7ea/gr1a.jpg
https://cdn.ncbi.nlm.nih.gov/pmc/blobs/d3e2/7047141/ef9e4d37bedc/gr1b.jpg
https://cdn.ncbi.nlm.nih.gov/pmc/blobs/d3e2/7047141/90cbea299d47/gr2.jpg
https://cdn.ncbi.nlm.nih.gov/pmc/blobs/d3e2/7047141/51eae012e7ea/gr1a.jpg
https://cdn.ncbi.nlm.nih.gov/pmc/blobs/d3e2/7047141/ef9e4d37bedc/gr1b.jpg
https://cdn.ncbi.nlm.nih.gov/pmc/blobs/d3e2/7047141/90cbea299d47/gr2.jpg

相似文献

1
Correlation of normal lung density changes with dose after stereotactic body radiotherapy (SBRT) for early stage lung cancer.早期肺癌立体定向体部放疗(SBRT)后正常肺密度变化与剂量的相关性。
Clin Transl Radiat Oncol. 2020 Feb 11;22:1-8. doi: 10.1016/j.ctro.2020.02.004. eCollection 2020 May.
2
Assessment of Monte Carlo algorithm for compliance with RTOG 0915 dosimetric criteria in peripheral lung cancer patients treated with stereotactic body radiotherapy.评估蒙特卡罗算法在接受立体定向体部放射治疗的周围型肺癌患者中符合 RTOG 0915 剂量学标准的应用。
J Appl Clin Med Phys. 2016 May 8;17(3):277-293. doi: 10.1120/jacmp.v17i3.6077.
3
Still equivalent for dose calculation in the Monte Carlo era? A comparison of free breathing and average intensity projection CT datasets for lung SBRT using three generations of dose calculation algorithms.在蒙特卡罗时代仍等效用于剂量计算吗?使用三代剂量计算算法对肺部 SBRT 进行自由呼吸和平均强度投影 CT 数据集的比较。
Med Phys. 2017 May;44(5):1939-1947. doi: 10.1002/mp.12193. Epub 2017 Apr 17.
4
Evaluation of Acuros XB algorithm based on RTOG 0813 dosimetric criteria for SBRT lung treatment with RapidArc.基于 RTOG0813 剂量学标准评价 Acuros XB 算法在立体定向体部放疗(SBRT)治疗肺部肿瘤中的 RapidArc 应用
J Appl Clin Med Phys. 2014 Jan 6;15(1):4474. doi: 10.1120/jacmp.v15i1.4474.
5
Dosimetric comparison of lung stereotactic body radiotherapy treatment plans using averaged computed tomography and end-exhalation computed tomography images: Evaluation of the effect of different dose-calculation algorithms and prescription methods.使用平均计算机断层扫描和呼气末计算机断层扫描图像的肺部立体定向体部放射治疗计划的剂量学比较:不同剂量计算算法和处方方法的效果评估
Med Dosim. 2016;41(4):305-309. doi: 10.1016/j.meddos.2016.07.003. Epub 2016 Sep 10.
6
Performance of dose calculation algorithms from three generations in lung SBRT: comparison with full Monte Carlo-based dose distributions.三代剂量计算算法在肺部 SBRT 中的性能:与基于全蒙特卡罗剂量分布的比较。
J Appl Clin Med Phys. 2014 Mar 6;15(2):4662. doi: 10.1120/jacmp.v15i2.4662.
7
Correlation of dosimetric factors with the development of symptomatic radiation pneumonitis in stereotactic body radiotherapy.剂量学因素与立体定向体部放射治疗中症状性放射性肺炎发展的相关性。
Radiat Oncol. 2020 Feb 13;15(1):33. doi: 10.1186/s13014-020-1479-6.
8
A dose-volume analysis of radiation pneumonitis in non-small cell lung cancer patients treated with stereotactic body radiation therapy.立体定向体部放射治疗非小细胞肺癌患者放射性肺炎的剂量-体积分析。
Int J Radiat Oncol Biol Phys. 2012 Jan 1;82(1):457-62. doi: 10.1016/j.ijrobp.2010.08.056. Epub 2010 Oct 29.
9
Radiobiological impact of dose calculation algorithms on biologically optimized IMRT lung stereotactic body radiation therapy plans.剂量计算算法对生物优化的IMRT肺部立体定向体部放射治疗计划的放射生物学影响。
Radiat Oncol. 2016 Jan 22;11:10. doi: 10.1186/s13014-015-0578-2.
10
Prognostic Value of Radiation Pneumonitis After Stereotactic Body Radiotherapy: Effect of Pulmonary Emphysema Quantitated Using CT Images.立体定向体部放射治疗后放射性肺炎的预后价值:使用 CT 图像定量分析肺气肿的影响。
Clin Lung Cancer. 2018 Jan;19(1):e85-e90. doi: 10.1016/j.cllc.2017.05.022. Epub 2017 Jun 8.

引用本文的文献

1
Effects of electron density force to 1.0 and fill to 1.0 on VMAT treatment plans for lung SBRT.电子密度效应为 1.0 和填充效应为 1.0 对肺部 SBRT 的 VMAT 治疗计划的影响。
J Appl Clin Med Phys. 2024 Oct;25(10):e14488. doi: 10.1002/acm2.14488. Epub 2024 Sep 3.
2
Factors associated with cavity formation after stereotactic body radiation therapy for peripheral early-stage lung cancer.立体定向体部放疗治疗外周早期肺癌后与空洞形成相关的因素。
Radiol Med. 2024 Mar;129(3):507-514. doi: 10.1007/s11547-024-01766-2. Epub 2024 Jan 29.
3
Clinicoradiological outcomes after radical radiotherapy for lung cancer in patients with interstitial lung disease.

本文引用的文献

1
Stereotactic body radiation therapy for stage I non-small cell lung cancer: The importance of treatment planning algorithm and evaluation of a tumor control probability model.立体定向体部放射治疗Ⅰ期非小细胞肺癌:治疗计划算法的重要性和肿瘤控制概率模型的评估。
Pract Radiat Oncol. 2018 Mar-Apr;8(2):e33-e39. doi: 10.1016/j.prro.2017.10.002. Epub 2017 Oct 7.
2
Phase II Trial of SBRT for Stage I NSCLC: Survival, Local Control, and Lung Function at 36 Months.Ⅰ期非小细胞肺癌 SBRT 的Ⅱ期临床试验:36 个月时的生存率、局部控制率和肺功能。
J Thorac Oncol. 2016 Jul;11(7):1101-11. doi: 10.1016/j.jtho.2016.03.021. Epub 2016 Apr 18.
3
间质性肺疾病患者肺癌根治性放疗后的临床影像学结果
BJR Open. 2023 Apr 19;5(1):20220049. doi: 10.1259/bjro.20220049. eCollection 2023.
4
Radiation-induced lung injury - what do we know in the era of modern radiotherapy?放射性肺损伤——在现代放射治疗时代我们了解多少?
Rep Pract Oncol Radiother. 2022 Jul 29;27(3):552-565. doi: 10.5603/RPOR.a2022.0046. eCollection 2022.
5
Dosimetric differences between intensity-modulated radiotherapy based on equivalent uniform dose and dose-volume optimization in stage III non-small cell lung cancer.基于等效均匀剂量的调强放疗与剂量体积优化在Ⅲ期非小细胞肺癌中的剂量学差异
Am J Transl Res. 2022 Jul 15;14(7):5195-5200. eCollection 2022.
6
Normal Lung Tissue CT Density Changes after Volumetric-Arc Radiotherapy (VMAT) for Lung Cancer.肺癌容积弧形调强放疗(VMAT)后正常肺组织的CT密度变化
J Pers Med. 2022 Mar 17;12(3):485. doi: 10.3390/jpm12030485.
7
A Novel and Automated Approach to Classify Radiation Induced Lung Tissue Damage on CT Scans.一种用于在CT扫描上对放射性肺组织损伤进行分类的新型自动化方法。
Cancers (Basel). 2022 Mar 5;14(5):1341. doi: 10.3390/cancers14051341.
8
Quantitative Analysis of Radiation-Associated Parenchymal Lung Change.辐射相关肺实质改变的定量分析
Cancers (Basel). 2022 Feb 14;14(4):946. doi: 10.3390/cancers14040946.
9
Radiation-induced Hounsfield unit change correlates with dynamic CT perfusion better than 4DCT-based ventilation measures in a novel-swine model.在一种新型猪模型中,辐射引起的亨斯菲尔德单位变化与动态 CT 灌注的相关性优于基于 4DCT 的通气测量。
Sci Rep. 2021 Jun 23;11(1):13156. doi: 10.1038/s41598-021-92609-x.
10
Correlation Between Lung Density Changes Under Different Dose Gradients and Radiation Pneumonitis-Based on an Analysis of Computed Tomography Scans During Esophageal Cancer Radiotherapy.基于食管癌放疗期间计算机断层扫描分析的不同剂量梯度下肺密度变化与放射性肺炎的相关性
Front Oncol. 2021 May 26;11:650764. doi: 10.3389/fonc.2021.650764. eCollection 2021.
Radiobiological impact of dose calculation algorithms on biologically optimized IMRT lung stereotactic body radiation therapy plans.
剂量计算算法对生物优化的IMRT肺部立体定向体部放射治疗计划的放射生物学影响。
Radiat Oncol. 2016 Jan 22;11:10. doi: 10.1186/s13014-015-0578-2.
4
Prospective Trial of Stereotactic Body Radiation Therapy for Both Operable and Inoperable T1N0M0 Non-Small Cell Lung Cancer: Japan Clinical Oncology Group Study JCOG0403.立体定向体部放疗治疗可手术和不可手术 T1N0M0 期非小细胞肺癌的前瞻性研究:日本临床肿瘤学组研究 JCOG0403。
Int J Radiat Oncol Biol Phys. 2015 Dec 1;93(5):989-96. doi: 10.1016/j.ijrobp.2015.07.2278. Epub 2015 Nov 11.
5
Stereotactic body radiation therapy versus no treatment for early stage non-small cell lung cancer in medically inoperable elderly patients: A National Cancer Data Base analysis.立体定向体部放疗与非治疗在不能手术的老年早期非小细胞肺癌患者中的比较:国家癌症数据库分析。
Cancer. 2015 Dec 1;121(23):4222-30. doi: 10.1002/cncr.29640. Epub 2015 Sep 8.
6
CT characteristics allow identification of patient-specific susceptibility for radiation-induced lung damage.CT特征有助于识别患者个体对辐射诱发肺损伤的易感性。
Radiother Oncol. 2015 Oct;117(1):29-35. doi: 10.1016/j.radonc.2015.07.033. Epub 2015 Aug 6.
7
Stereotactic ablative radiotherapy versus lobectomy for operable stage I non-small-cell lung cancer: a pooled analysis of two randomised trials.立体定向消融放疗与肺叶切除术治疗可手术的Ⅰ期非小细胞肺癌:两项随机试验的汇总分析
Lancet Oncol. 2015 Jun;16(6):630-7. doi: 10.1016/S1470-2045(15)70168-3. Epub 2015 May 13.
8
Clinical impact of dose overestimation by effective path length calculation in stereotactic ablative radiation therapy of lung tumors.立体定向消融放疗治疗肺部肿瘤时有效路径长度计算导致剂量高估的临床影响。
Pract Radiat Oncol. 2013 Oct-Dec;3(4):294-300. doi: 10.1016/j.prro.2012.09.003. Epub 2012 Oct 24.
9
Study of 201 non-small cell lung cancer patients given stereotactic ablative radiation therapy shows local control dependence on dose calculation algorithm.201 例非小细胞肺癌患者接受立体定向消融放射治疗的研究表明,局部控制与剂量计算算法有关。
Int J Radiat Oncol Biol Phys. 2014 Apr 1;88(5):1108-13. doi: 10.1016/j.ijrobp.2013.12.047. Epub 2014 Feb 12.
10
Correlation of dose computed using different algorithms with local control following stereotactic ablative radiotherapy (SABR)-based treatment of non-small-cell lung cancer.使用不同算法计算的剂量与立体定向消融放疗(SABR)治疗非小细胞肺癌后的局部控制的相关性。
Radiother Oncol. 2013 Dec;109(3):498-504. doi: 10.1016/j.radonc.2013.10.012. Epub 2013 Nov 11.