Suppr超能文献

附子理中汤治疗胃溃疡的转录组学分析

Transcriptomic Analysis of Fuzi Lizhong Decoction for the Treatment of Stomach Ulcers.

作者信息

Xin Yang, Wang Haijun, Xu Lei

机构信息

College of Chemistry and Chemical Engineering, Qiqihar University, Qiqihar 161006, China.

Heilongjiang Provincial Key Laboratory of Catalytic Synthesis for Fine Chemicals, Qiqihar University, Qiqihar 161006, China.

出版信息

Evid Based Complement Alternat Med. 2020 Feb 21;2020:3291853. doi: 10.1155/2020/3291853. eCollection 2020.

Abstract

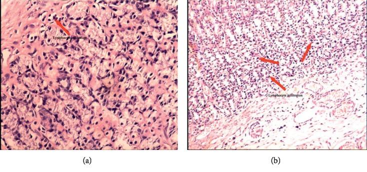
This study aims to understand the treatment of stomach ulcers with FLD and to identify its potential target genes as well as related pathways by transcriptomic analysis. Rat stomach mRNA from a blank group (BG), a model group (MG), an untreated-model group (u-MG), and a treated group (TG) was sequenced. A partial least-squares discriminant analysis (PLS-DA) was used to differentiate the MG from the BG, and the Deseq2 R Package was used to identify differentially expressed genes between these groups. Furthermore, -tests based on transcripts per million (TPM) were used to select different genes between MG and BG and significantly retrieved genes in TG, except for self-retrieved genes in u-MG. Finally, pathways regulated by retrieved genes were analyzed with KEGG database. Results showed that 327 of the 32,623 total detected genes were different ( < 0.05) between the MG and BG. Among these genes, eighteen genes were significantly retrieved after rats were treated with FLD in TG, and they were considered as target genes on which FLD acted. In conclusion, FLD was deduced to cure stomach ulcers by affecting glycerolipid metabolism, fatty acid degradation, circadian entrainment, circadian rhythm, and dopaminergic synapse.

摘要

本研究旨在了解FLD对胃溃疡的治疗作用,并通过转录组分析确定其潜在的靶基因以及相关途径。对空白组(BG)、模型组(MG)、未治疗模型组(u-MG)和治疗组(TG)的大鼠胃mRNA进行测序。使用偏最小二乘判别分析(PLS-DA)区分MG和BG,并使用Deseq2 R软件包鉴定这些组之间的差异表达基因。此外,基于每百万转录本(TPM)的t检验用于选择MG和BG之间的不同基因,并显著检索TG中的基因,但u-MG中自身检索到的基因除外。最后,利用KEGG数据库分析检索到的基因所调控的途径。结果显示,在总共检测到的32623个基因中,有327个基因在MG和BG之间存在差异(P<0.05)。在这些基因中,18个基因在TG中用FLD处理大鼠后被显著检索到,它们被认为是FLD作用的靶基因。总之,推断FLD通过影响甘油酯代谢、脂肪酸降解、昼夜节律调节、昼夜节律和多巴胺能突触来治疗胃溃疡。

https://cdn.ncbi.nlm.nih.gov/pmc/blobs/ed07/7054793/866d56969ac9/ECAM2020-3291853.001.jpg

文献检索

告别复杂PubMed语法,用中文像聊天一样搜索,搜遍4000万医学文献。AI智能推荐,让科研检索更轻松。

立即免费搜索

文件翻译

保留排版,准确专业,支持PDF/Word/PPT等文件格式,支持 12+语言互译。

免费翻译文档

深度研究

AI帮你快速写综述,25分钟生成高质量综述,智能提取关键信息,辅助科研写作。

立即免费体验