• 文献检索
  • 文档翻译
  • 深度研究
  • 学术资讯
  • Suppr Zotero 插件Zotero 插件
  • 邀请有礼
  • 套餐&价格
  • 历史记录
应用&插件
Suppr Zotero 插件Zotero 插件浏览器插件Mac 客户端Windows 客户端微信小程序
定价
高级版会员购买积分包购买API积分包
服务
文献检索文档翻译深度研究API 文档MCP 服务
关于我们
关于 Suppr公司介绍联系我们用户协议隐私条款
关注我们

Suppr 超能文献

核心技术专利:CN118964589B侵权必究
粤ICP备2023148730 号-1Suppr @ 2026

文献检索

告别复杂PubMed语法,用中文像聊天一样搜索,搜遍4000万医学文献。AI智能推荐,让科研检索更轻松。

立即免费搜索

文件翻译

保留排版,准确专业,支持PDF/Word/PPT等文件格式,支持 12+语言互译。

免费翻译文档

深度研究

AI帮你快速写综述,25分钟生成高质量综述,智能提取关键信息,辅助科研写作。

立即免费体验

辛伐他汀纳米脂质体由于其在小鼠体内吸收增强而诱发心肌和肝脏毒性。

Simvastatin nanoliposome induces myocardial and hepatic toxicities due to its absorption enhancement in mice.

作者信息

Tuerdi Nuerbiye, Anwaier Gulinigaer, Zhang Xing, Liu Shu, Shen Wanli, Liu Wen, Shen Qiang, Qi Rong

机构信息

School of Basic Medical Science, Shihezi University, Shihezi 832008, China.

Peking University Health Science Center, Institute of Cardiovascular Sciences, Peking University, Beijing 100191, China.

出版信息

Asian J Pharm Sci. 2020 Jan;15(1):112-120. doi: 10.1016/j.ajps.2019.02.002. Epub 2019 May 25.

DOI:10.1016/j.ajps.2019.02.002
PMID:32175023
原文链接:https://pmc.ncbi.nlm.nih.gov/articles/PMC7066038/
Abstract

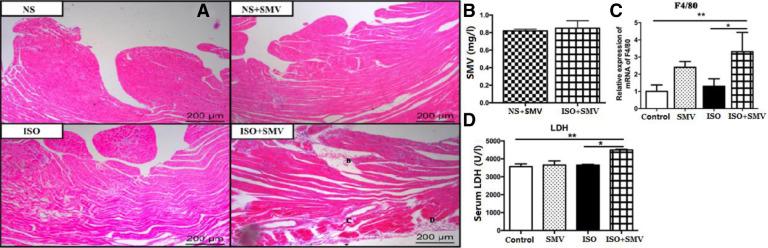
Nanoliposome is a useful dosage form to increase solubility and absorption of simvastatin (SMV), and consequently improves its therapeutic effects. However, toxicity of SMV could also be elevated accompanied by the absorption enhancement, which is a decisive factor for the clinical application of SMV nanoliposome (SMV-Lipo), but has not been studied systematically and reported so far. In this study, organ toxicity of SMV-Lipo was evaluated in mice in the presence and absence of isoproterenol and compared to those of free SMV. Results demonstrated that compared to free SMV, the SMV-Lipo administrated at an equal dose of 25 mg/kg/d led to severe myocardiotoxicity, hepatotoxicity at baseline and more pronounced liver injury with elevation of alanine aminotransferase. In addition, muscular adverse effect was also observed in SMV-Lipo treated group but not in SMV group. Pharmacokinetic studies revealed that compared to free SMV, the SMV-Lipo administration significantly improved the plasma SMV concentration, and the oral bioavailability was 6.5 times of free SMV. Notably, when the dosage of free SMV increased to 50 mg/kg/d, yielding the comparable plasma concentration as SMV-Lipo given at 25 mg/kg/d, the myocardiotoxicity was observed in free SMV treated mice as well, which further confirmed that the enhanced absorption of SMV by the nanoliposomal formulation resulted in more severe myocardiotoxicity than the equal dose of free SMV.

摘要

纳米脂质体是一种可提高辛伐他汀(SMV)溶解度和吸收度的有用剂型,从而改善其治疗效果。然而,随着吸收增强,SMV的毒性也可能升高,这是SMV纳米脂质体(SMV-Lipo)临床应用的决定性因素,但迄今为止尚未进行系统研究和报道。在本研究中,评估了在有和没有异丙肾上腺素的情况下SMV-Lipo对小鼠的器官毒性,并与游离SMV的毒性进行了比较。结果表明,与游离SMV相比,以25mg/kg/d的等剂量给予SMV-Lipo会导致严重的心肌毒性、基线时的肝毒性以及丙氨酸转氨酶升高导致更明显的肝损伤。此外,在SMV-Lipo治疗组中也观察到肌肉不良反应,而在SMV组中未观察到。药代动力学研究表明,与游离SMV相比,给予SMV-Lipo可显著提高血浆SMV浓度,口服生物利用度是游离SMV的6.5倍。值得注意的是,当游离SMV的剂量增加到50mg/kg/d,产生与以25mg/kg/d给予的SMV-Lipo相当的血浆浓度时,在游离SMV治疗的小鼠中也观察到了心肌毒性,这进一步证实了纳米脂质体制剂增强的SMV吸收导致比等剂量游离SMV更严重的心肌毒性。

https://cdn.ncbi.nlm.nih.gov/pmc/blobs/c8be/7066038/0f5a4d272399/gr6.jpg
https://cdn.ncbi.nlm.nih.gov/pmc/blobs/c8be/7066038/1682e20edb12/fx1.jpg
https://cdn.ncbi.nlm.nih.gov/pmc/blobs/c8be/7066038/c220370ebf61/gr1.jpg
https://cdn.ncbi.nlm.nih.gov/pmc/blobs/c8be/7066038/ece5a6c2a094/gr2.jpg
https://cdn.ncbi.nlm.nih.gov/pmc/blobs/c8be/7066038/da4b1781b97f/gr3.jpg
https://cdn.ncbi.nlm.nih.gov/pmc/blobs/c8be/7066038/b293eefa19e1/gr4.jpg
https://cdn.ncbi.nlm.nih.gov/pmc/blobs/c8be/7066038/3e026ea23842/gr5.jpg
https://cdn.ncbi.nlm.nih.gov/pmc/blobs/c8be/7066038/0f5a4d272399/gr6.jpg
https://cdn.ncbi.nlm.nih.gov/pmc/blobs/c8be/7066038/1682e20edb12/fx1.jpg
https://cdn.ncbi.nlm.nih.gov/pmc/blobs/c8be/7066038/c220370ebf61/gr1.jpg
https://cdn.ncbi.nlm.nih.gov/pmc/blobs/c8be/7066038/ece5a6c2a094/gr2.jpg
https://cdn.ncbi.nlm.nih.gov/pmc/blobs/c8be/7066038/da4b1781b97f/gr3.jpg
https://cdn.ncbi.nlm.nih.gov/pmc/blobs/c8be/7066038/b293eefa19e1/gr4.jpg
https://cdn.ncbi.nlm.nih.gov/pmc/blobs/c8be/7066038/3e026ea23842/gr5.jpg
https://cdn.ncbi.nlm.nih.gov/pmc/blobs/c8be/7066038/0f5a4d272399/gr6.jpg

相似文献

1
Simvastatin nanoliposome induces myocardial and hepatic toxicities due to its absorption enhancement in mice.辛伐他汀纳米脂质体由于其在小鼠体内吸收增强而诱发心肌和肝脏毒性。
Asian J Pharm Sci. 2020 Jan;15(1):112-120. doi: 10.1016/j.ajps.2019.02.002. Epub 2019 May 25.
2
Preventive effects of simvastatin nanoliposome on isoproterenol-induced cardiac remodeling in mice.辛伐他汀纳米脂质体对异丙肾上腺素诱导的小鼠心脏重塑的预防作用。
Nanomedicine. 2016 Oct;12(7):1899-1907. doi: 10.1016/j.nano.2016.05.002. Epub 2016 May 16.
3
Optimization of caseinate-coated simvastatin-zein nanoparticles: improved bioavailability and modified release characteristics.酪蛋白酸盐包被的辛伐他汀-玉米醇溶蛋白纳米粒的优化:提高生物利用度及改善释放特性
Drug Des Devel Ther. 2015 Jan 23;9:655-62. doi: 10.2147/DDDT.S76194. eCollection 2015.
4
Montelukast modifies simvastatin-induced myopathy and hepatotoxicity.孟鲁司特可修饰辛伐他汀引起的肌病和肝毒性。
Drug Dev Res. 2019 Nov;80(7):1000-1009. doi: 10.1002/ddr.21581. Epub 2019 Aug 6.
5
[Effects of simvastatin nano-liposomes on osteogenic differentiation of bone marrow stromal cells].
Beijing Da Xue Xue Bao Yi Xue Ban. 2014 Dec 18;46(6):883-8.
6
Pharmacokinetic and pharmacodynamic studies of poly(amidoamine) dendrimer based simvastatin oral formulations for the treatment of hypercholesterolemia.基于聚(酰胺胺)树枝状大分子的辛伐他汀口服制剂治疗高胆固醇血症的药代动力学和药效学研究。
Mol Pharm. 2013 Jul 1;10(7):2528-33. doi: 10.1021/mp300650y. Epub 2013 Jun 4.
7
Simvastatin therapy in adolescent mice attenuates HFD-induced depression-like behavior by reducing hippocampal neuroinflammation.辛伐他汀治疗青少年小鼠可通过减少海马神经炎症来减轻 HFD 诱导的抑郁样行为。
J Affect Disord. 2019 Jan 15;243:83-95. doi: 10.1016/j.jad.2018.09.022. Epub 2018 Sep 11.
8
Development of a Rapidly Dissolvable Oral Pediatric Formulation for Mefloquine Using Liposomes.使用脂质体制备甲氟喹快速溶解口服儿科制剂
Mol Pharm. 2017 Jun 5;14(6):1969-1979. doi: 10.1021/acs.molpharmaceut.7b00077. Epub 2017 May 9.
9
Enhanced permeation parameters of optimized nanostructured simvastatin transdermal films: ex vivo and in vivo evaluation.优化的纳米结构辛伐他汀透皮贴剂的增强渗透参数:体外和体内评价
Pharm Dev Technol. 2015 Dec;20(8):919-926. doi: 10.3109/10837450.2014.938859. Epub 2014 Jul 14.
10
Guided tissue regeneration of intrabony defects with perforated barrier membranes, simvastatin, and EDTA root surface modification: A clinical and biochemical study.采用多孔屏障膜、辛伐他汀和 EDTA 进行引导组织再生治疗骨内缺损:一项临床和生化研究。
J Periodontal Res. 2020 Jan;55(1):85-95. doi: 10.1111/jre.12692. Epub 2019 Aug 26.

引用本文的文献

1
Establishment and Validation of a Risk Prediction Model for Sepsis-Associated Liver Injury in ICU Patients: A Retrospective Cohort Study.ICU患者脓毒症相关性肝损伤风险预测模型的建立与验证:一项回顾性队列研究
Infect Drug Resist. 2025 Jan 1;18:1-13. doi: 10.2147/IDR.S489196. eCollection 2025.
2
Cardioprotective Effects of Phlorizin on Hyperlipidemia-induced Myocardial Injury: Involvement of Suppression in Pyroptosis via Regulating HK1/NLRP3/Caspase-1 Signaling Pathway.根皮苷对高脂血症诱导的心肌损伤的心脏保护作用:通过调节HK1/NLRP3/半胱天冬酶-1信号通路抑制细胞焦亡的参与。
Appl Biochem Biotechnol. 2025 Feb;197(2):754-770. doi: 10.1007/s12010-024-05056-5. Epub 2024 Sep 3.
3

本文引用的文献

1
IL-18 cleavage triggers cardiac inflammation and fibrosis upon β-adrenergic insult.白细胞介素-18 的切割在β-肾上腺素刺激下引发心脏炎症和纤维化。
Eur Heart J. 2018 Jan 1;39(1):60-69. doi: 10.1093/eurheartj/ehx261.
2
Effect of Three Statins on Glucose Uptake of Cardiomyocytes and its Mechanism.三种他汀类药物对心肌细胞葡萄糖摄取的影响及其机制
Med Sci Monit. 2016 Aug 11;22:2825-30. doi: 10.12659/msm.897047.
3
Preventive effects of simvastatin nanoliposome on isoproterenol-induced cardiac remodeling in mice.辛伐他汀纳米脂质体对异丙肾上腺素诱导的小鼠心脏重塑的预防作用。
Zinc-Loaded Black Phosphorus Multifunctional Nanodelivery System Combined With Photothermal Therapy Have the Potential to Treat Prostate Cancer Patients Infected With COVID-19.
载锌黑磷多功能纳米递药系统联合光热疗法有望治疗 COVID-19 感染的前列腺癌患者。
Front Endocrinol (Lausanne). 2022 Mar 31;13:872411. doi: 10.3389/fendo.2022.872411. eCollection 2022.
4
Active Tumor-Targeting Nano-formulations Containing Simvastatin and Doxorubicin Inhibit Melanoma Growth and Angiogenesis.含有辛伐他汀和阿霉素的主动肿瘤靶向纳米制剂可抑制黑色素瘤生长和血管生成。
Front Pharmacol. 2022 Apr 5;13:870347. doi: 10.3389/fphar.2022.870347. eCollection 2022.
5
Insight Into Nanoliposomes as Smart Nanocarriers for Greening the Twenty-First Century Biomedical Settings.深入了解纳米脂质体作为智能纳米载体在二十一世纪生物医学环境绿色化中的应用。
Front Bioeng Biotechnol. 2020 Dec 15;8:579536. doi: 10.3389/fbioe.2020.579536. eCollection 2020.
Nanomedicine. 2016 Oct;12(7):1899-1907. doi: 10.1016/j.nano.2016.05.002. Epub 2016 May 16.
4
Simvastatin prevents isoproterenol-induced cardiac hypertrophy through modulation of the JAK/STAT pathway.辛伐他汀通过调节JAK/STAT信号通路预防异丙肾上腺素诱导的心肌肥大。
Drug Des Devel Ther. 2015 Jun 23;9:3217-29. doi: 10.2147/DDDT.S86431. eCollection 2015.
5
G5 PAMAM dendrimer versus liposome: a comparison study on the in vitro transepithelial transport and in vivo oral absorption of simvastatin.G5聚酰胺-胺型树枝状大分子与脂质体:辛伐他汀体外跨上皮转运及体内口服吸收的比较研究
Nanomedicine. 2015 Jul;11(5):1141-51. doi: 10.1016/j.nano.2015.02.011. Epub 2015 Mar 16.
6
Preparation and characterization of flexible nanoliposomes loaded with daptomycin, a novel antibiotic, for topical skin therapy.载有新型抗生素达托霉素的柔性纳米脂质体的制备及特性研究,用于局部皮肤治疗。
Int J Nanomedicine. 2013;8:1285-92. doi: 10.2147/IJN.S41695. Epub 2013 Mar 24.
7
Discontinuation of statins in routine care settings: a cohort study.常规护理环境中停止使用他汀类药物:一项队列研究。
Ann Intern Med. 2013 Apr 2;158(7):526-34. doi: 10.7326/0003-4819-158-7-201304020-00004.
8
Protective effects of l-carnitine and piracetam against mitochondrial permeability transition and PC3 cell necrosis induced by simvastatin.左旋肉碱和吡拉西坦对辛伐他汀诱导的线粒体通透性转换和 PC3 细胞坏死的保护作用。
Eur J Pharmacol. 2013 Feb 15;701(1-3):82-6. doi: 10.1016/j.ejphar.2013.01.001. Epub 2013 Jan 17.
9
Ferri-liposomes as an MRI-visible drug-delivery system for targeting tumours and their microenvironment.载亚铁脂质体作为一种 MRI 可见的药物输送系统,用于靶向肿瘤及其微环境。
Nat Nanotechnol. 2011 Aug 7;6(9):594-602. doi: 10.1038/nnano.2011.112.
10
Liposomes: from a clinically established drug delivery system to a nanoparticle platform for theranostic nanomedicine.脂质体:从临床确立的药物传递系统到治疗诊断纳米医学的纳米颗粒平台。
Acc Chem Res. 2011 Oct 18;44(10):1094-104. doi: 10.1021/ar200105p. Epub 2011 Aug 3.