Suppr超能文献

CACNB4 基因编码辅助钙通道β4 亚基的纯合错义变异导致严重的神经发育障碍,并损害通道和非通道功能。

A homozygous missense variant in CACNB4 encoding the auxiliary calcium channel beta4 subunit causes a severe neurodevelopmental disorder and impairs channel and non-channel functions.

机构信息

Department of Physiology and Medical Physics, Medical University Innsbruck, Innsbruck, Austria.

Institute of Human Genetics, University Medical Center Hamburg-Eppendorf, Hamburg, Germany.

出版信息

PLoS Genet. 2020 Mar 16;16(3):e1008625. doi: 10.1371/journal.pgen.1008625. eCollection 2020 Mar.

Abstract

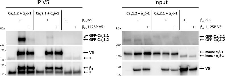
P/Q-type channels are the principal presynaptic calcium channels in brain functioning in neurotransmitter release. They are composed of the pore-forming CaV2.1 α1 subunit and the auxiliary α2δ-2 and β4 subunits. β4 is encoded by CACNB4, and its multiple splice variants serve isoform-specific functions as channel subunits and transcriptional regulators in the nucleus. In two siblings with intellectual disability, psychomotor retardation, blindness, epilepsy, movement disorder and cerebellar atrophy we identified rare homozygous variants in the genes LTBP1, EMILIN1, CACNB4, MINAR1, DHX38 and MYO15 by whole-exome sequencing. In silico tools, animal model, clinical, and genetic data suggest the p.(Leu126Pro) CACNB4 variant to be likely pathogenic. To investigate the functional consequences of the CACNB4 variant, we introduced the corresponding mutation L125P into rat β4b cDNA. Heterologously expressed wild-type β4b associated with GFP-CaV1.2 and accumulated in presynaptic boutons of cultured hippocampal neurons. In contrast, the β4b-L125P mutant failed to incorporate into calcium channel complexes and to cluster presynaptically. When co-expressed with CaV2.1 in tsA201 cells, β4b and β4b-L125P augmented the calcium current amplitudes, however, β4b-L125P failed to stably complex with α1 subunits. These results indicate that p.Leu125Pro disrupts the stable association of β4b with native calcium channel complexes, whereas membrane incorporation, modulation of current density and activation properties of heterologously expressed channels remained intact. Wildtype β4b was specifically targeted to the nuclei of quiescent excitatory cells. Importantly, the p.Leu125Pro mutation abolished nuclear targeting of β4b in cultured myotubes and hippocampal neurons. While binding of β4b to the known interaction partner PPP2R5D (B56δ) was not affected by the mutation, complex formation between β4b-L125P and the neuronal TRAF2 and NCK interacting kinase (TNIK) seemed to be disturbed. In summary, our data suggest that the homozygous CACNB4 p.(Leu126Pro) variant underlies the severe neurological phenotype in the two siblings, most likely by impairing both channel and non-channel functions of β4b.

摘要

P/Q 型通道是脑内参与神经递质释放的主要突触前钙通道。它们由孔形成 CaV2.1α1 亚基和辅助α2δ-2 和β4 亚基组成。β4 由 CACNB4 编码,其多个剪接变体作为通道亚基和核内转录调节剂发挥同工型特异性功能。在两名患有智力残疾、精神运动发育迟缓、失明、癫痫、运动障碍和小脑萎缩的同胞中,我们通过全外显子组测序鉴定了 LTBP1、EMILIN1、CACNB4、MINAR1、DHX38 和 MYO15 基因中的罕见纯合变异。基于计算机的工具、动物模型、临床和遗传数据表明,CACNB4 基因中的 p.(Leu126Pro) 变异可能是致病性的。为了研究 CACNB4 变异的功能后果,我们将相应的突变 L125P 引入大鼠β4b cDNA 中。异源表达的野生型β4b 与 GFP-CaV1.2 结合,并在培养的海马神经元的突触前末梢聚集。相比之下,β4b-L125P 突变体未能掺入钙通道复合物并在突触前聚集。当在 tsA201 细胞中与 CaV2.1 共表达时,β4b 和β4b-L125P 均能增强钙电流幅度,然而,β4b-L125P 不能与α1 亚基稳定复合。这些结果表明,p.Leu125Pro 破坏了β4b 与天然钙通道复合物的稳定结合,而膜插入、异源表达通道的电流密度和激活特性仍然完整。野生型β4b 特异性靶向静止兴奋性细胞的核。重要的是,p.Leu125Pro 突变消除了培养的肌管和海马神经元中β4b 的核靶向。虽然β4b 与已知相互作用伙伴 PPP2R5D(B56δ)的结合不受突变影响,但β4b-L125P 与神经元 TRAF2 和 NCK 相互作用激酶(TNIK)之间的复合物形成似乎受到干扰。总之,我们的数据表明,纯合性 CACNB4 p.(Leu126Pro) 变异可能是这对同胞中严重神经表型的基础,最可能是通过损害β4b 的通道和非通道功能。

https://cdn.ncbi.nlm.nih.gov/pmc/blobs/ab33/7176149/5935c45f53ca/pgen.1008625.g001.jpg

文献AI研究员

20分钟写一篇综述,助力文献阅读效率提升50倍。

立即体验

用中文搜PubMed

大模型驱动的PubMed中文搜索引擎

马上搜索

文档翻译

学术文献翻译模型,支持多种主流文档格式。

立即体验