Suppr超能文献

一名年轻成年人的吞咽困难:巨大颈椎骨赘的罕见病例。

Dysphagia in a Young Adult: Rare Case of Giant Cervical Osteophyte.

作者信息

Mallepally Abhinandan Reddy, Tandon Vikas, Chhabra Harvinder Singh

机构信息

Department of Spine Services, Indian Spinal Injuries Centre, New Delhi, India.

出版信息

Asian J Neurosurg. 2020 Feb 25;15(1):218-221. doi: 10.4103/ajns.AJNS_181_19. eCollection 2020 Jan-Mar.

Abstract

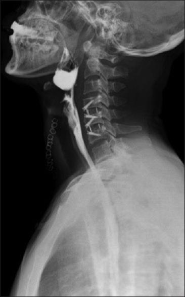
Cervical osteophytes may be seen in diffuse idiopathic skeletal hyperostosis, ankylosing spondylitis, posttraumatic, postoperative, degenerative causes, cervical spondylosis, and infectious spondylitis. A cervical osteophyte is very rarely considered among the differentials for symptoms of dysphagia. C5-C6 as well as C6-C7 being a site of greater load-bearing and mobility, the propensity to form osteophytes is high, with a small osteophyte leading to local mass effect. A 42-year-old male patient presented with mild dyspnea and significant dysphagia since 8 months, accompanied by dysphonia, weight loss, and intermittent aspiration. Clinical examination including neurological examination was normal. A barium swallow showed that osteophytes were severely protruding and displacing the lower pharynx and the proximal esophagus anterosuperiorly. The patient underwent surgical removal of the osteophyte through Smith-Robinson approach. Complaints of dysphagia were significantly decreased in postoperative period. A thorough evaluation is necessary to rule out other causes of dysphagia. Surgical management of this uncommon condition might be considered after confirmation of the osteophyte to be the offending lesion as it has favorable clinical outcomes.

摘要

颈椎骨赘可见于弥漫性特发性骨肥厚、强直性脊柱炎、创伤后、术后、退行性病因、颈椎病和感染性脊柱炎。在吞咽困难症状的鉴别诊断中,颈椎骨赘很少被考虑。C5-C6以及C6-C7是负重和活动度较大的部位,形成骨赘的倾向较高,小的骨赘会导致局部肿块效应。一名42岁男性患者自8个月以来出现轻度呼吸困难和明显的吞咽困难,伴有声音嘶哑、体重减轻和间歇性误吸。包括神经系统检查在内的临床检查均正常。吞钡检查显示骨赘严重突出并将下咽和食管近端向前上方推移。患者通过Smith-Robinson入路接受了骨赘切除术。术后吞咽困难的主诉明显减轻。有必要进行全面评估以排除吞咽困难的其他原因。在确认骨赘为致病病变后,可考虑对这种罕见情况进行手术治疗,因为其临床效果良好。

https://cdn.ncbi.nlm.nih.gov/pmc/blobs/f8bf/7057907/c9f2b86868a4/AJNS-15-218-g001.jpg

文献AI研究员

20分钟写一篇综述,助力文献阅读效率提升50倍。

立即体验

用中文搜PubMed

大模型驱动的PubMed中文搜索引擎

马上搜索

文档翻译

学术文献翻译模型,支持多种主流文档格式。

立即体验