• 文献检索
  • 文档翻译
  • 深度研究
  • 学术资讯
  • Suppr Zotero 插件Zotero 插件
  • 邀请有礼
  • 套餐&价格
  • 历史记录
应用&插件
Suppr Zotero 插件Zotero 插件浏览器插件Mac 客户端Windows 客户端微信小程序
定价
高级版会员购买积分包购买API积分包
服务
文献检索文档翻译深度研究API 文档MCP 服务
关于我们
关于 Suppr公司介绍联系我们用户协议隐私条款
关注我们

Suppr 超能文献

核心技术专利:CN118964589B侵权必究
粤ICP备2023148730 号-1Suppr @ 2026

文献检索

告别复杂PubMed语法,用中文像聊天一样搜索,搜遍4000万医学文献。AI智能推荐,让科研检索更轻松。

立即免费搜索

文件翻译

保留排版,准确专业,支持PDF/Word/PPT等文件格式,支持 12+语言互译。

免费翻译文档

深度研究

AI帮你快速写综述,25分钟生成高质量综述,智能提取关键信息,辅助科研写作。

立即免费体验

胎儿 15q24.3-25.3 区新发四体综合征的产前诊断:病例报告及文献复习。

Prenatal diagnosis of a de novo tetrasomy 15q24.3-25.3: Case report and literature review.

机构信息

Reproductive Medicine & Prenatal Diagnosis Center, First Hospital of Jilin University, Changchun, China.

Jilin Engineering Research Center for Reproductive Medicine and Genetics, Jilin University, Changchun, China.

出版信息

J Clin Lab Anal. 2020 Jul;34(7):e23288. doi: 10.1002/jcla.23288. Epub 2020 Mar 17.

DOI:10.1002/jcla.23288
PMID:32185823
原文链接:https://pmc.ncbi.nlm.nih.gov/articles/PMC7370735/
Abstract

BACKGROUND

Terminal duplication on chromosome 15q is a rare chromosomal variation. Affected individuals show similar features such as growth dysplasia or the development of frontal bossing, body deformities, facial abnormalities, and genitourinary or cardiovascular disorders. However, it is not yet clear whether such 15q repeats lead to identifiable patterns of clinical abnormalities. Therefore, the purpose of this study was to analyze the prenatal diagnostic results and clinical manifestations of a fetus with 15q duplication and to summarize the literature.

METHODS

The case was a fetus at 28 weeks of gestation. The risk of Down syndrome from second-trimester screening was 1/140. Prenatal ultrasound and amniocentesis were performed, and chromosomal microarray analysis (CMA) was used for genetic analysis.

RESULTS

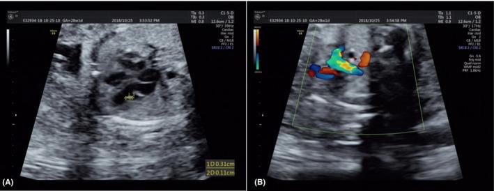
The fetus had abnormal clinical features, including intracardiac echogenic focus in the left ventricle, an aberrant right subclavian artery, and growth delay. The fetal chromosomal karyotype was 46,XX,15q?,12q?,21pstk+, and CMA revealed a 10.163 Mb duplication at 15q24.3-q25.3. The couple chose to terminate the pregnancy after careful consideration.

CONCLUSIONS

The combination and rational application of cytogenetics technology and molecular genetics technology such as CMA will open up the field of clinical application and provide useful genetic counseling for parents of fetuses carrying such chromosomal duplications.

摘要

背景

15q 末端重复是一种罕见的染色体变异。受影响的个体表现出相似的特征,如生长发育不良或出现额骨突出、身体畸形、面部异常以及泌尿生殖或心血管疾病。然而,目前尚不清楚这种 15q 重复是否会导致可识别的临床异常模式。因此,本研究的目的是分析 15q 重复胎儿的产前诊断结果和临床表现,并对文献进行总结。

方法

该病例为 28 孕周胎儿。唐氏综合征的二联筛查风险为 1/140。进行了产前超声和羊膜穿刺术,并进行了染色体微阵列分析(CMA)进行遗传分析。

结果

胎儿具有异常的临床特征,包括左心室心内点状强回声、右锁骨下动脉异常和生长迟缓。胎儿染色体核型为 46,XX,15q?,12q?,21pstk+,CMA 显示 15q24.3-q25.3 处存在 10.163Mb 的重复。经过慎重考虑,夫妇选择终止妊娠。

结论

细胞遗传学技术和 CMA 等分子遗传学技术的组合和合理应用将开拓临床应用领域,并为携带此类染色体重复的胎儿的父母提供有用的遗传咨询。

https://cdn.ncbi.nlm.nih.gov/pmc/blobs/9e76/7370735/b44f8584bc8b/JCLA-34-e23288-g004.jpg
https://cdn.ncbi.nlm.nih.gov/pmc/blobs/9e76/7370735/ee2282a54c23/JCLA-34-e23288-g001.jpg
https://cdn.ncbi.nlm.nih.gov/pmc/blobs/9e76/7370735/4bc67e5466ba/JCLA-34-e23288-g002.jpg
https://cdn.ncbi.nlm.nih.gov/pmc/blobs/9e76/7370735/35b2b0e81858/JCLA-34-e23288-g003.jpg
https://cdn.ncbi.nlm.nih.gov/pmc/blobs/9e76/7370735/b44f8584bc8b/JCLA-34-e23288-g004.jpg
https://cdn.ncbi.nlm.nih.gov/pmc/blobs/9e76/7370735/ee2282a54c23/JCLA-34-e23288-g001.jpg
https://cdn.ncbi.nlm.nih.gov/pmc/blobs/9e76/7370735/4bc67e5466ba/JCLA-34-e23288-g002.jpg
https://cdn.ncbi.nlm.nih.gov/pmc/blobs/9e76/7370735/35b2b0e81858/JCLA-34-e23288-g003.jpg
https://cdn.ncbi.nlm.nih.gov/pmc/blobs/9e76/7370735/b44f8584bc8b/JCLA-34-e23288-g004.jpg

相似文献

1
Prenatal diagnosis of a de novo tetrasomy 15q24.3-25.3: Case report and literature review.胎儿 15q24.3-25.3 区新发四体综合征的产前诊断:病例报告及文献复习。
J Clin Lab Anal. 2020 Jul;34(7):e23288. doi: 10.1002/jcla.23288. Epub 2020 Mar 17.
2
Clinical, cytogenetic, and molecular analyses of prenatally diagnosed mosaic tetrasomy for distal chromosome 15q and review of the literature.15号染色体长臂远端产前诊断嵌合性四体综合征的临床、细胞遗传学及分子分析并文献复习
Prenat Diagn. 2004 Oct;24(10):767-73. doi: 10.1002/pd.977.
3
Chromosomal microarray analysis in fetuses with aberrant right subclavian artery.右锁骨下动脉异常胎儿的染色体微阵列分析
Ultrasound Obstet Gynecol. 2017 Mar;49(3):337-341. doi: 10.1002/uog.15935.
4
[ABERRANT RIGHT SUBCLAVIAN ARTERY (ARSA)--A NEW ULTRASOUND MARKER FOR CHROMOSOMAL FETAL ABNORMALITIES].[迷走右锁骨下动脉(ARSA)——一种用于胎儿染色体异常的新型超声标志物]
Akush Ginekol (Sofiia). 2015;54(4):12-7.
5
Prenatal diagnosis and molecular cytogenetic characterization of a chromosome 15q24 microdeletion.15q24 微缺失的产前诊断和分子细胞遗传学特征。
Taiwan J Obstet Gynecol. 2020 May;59(3):432-436. doi: 10.1016/j.tjog.2020.03.017.
6
Molecular cytogenetic characterization of 2q deletion and Xq duplication associated with nasal bone dysplasia in prenatal diagnosis: A case report and literature review.2q 缺失和 Xq 重复与产前诊断中鼻骨发育不良相关的分子细胞遗传学特征:病例报告及文献复习。
Taiwan J Obstet Gynecol. 2022 Jan;61(1):163-169. doi: 10.1016/j.tjog.2021.11.029.
7
Prenatal diagnosis and molecular cytogenetic characterization of a small supernumerary marker chromosome (sSMC) inherited from her mosaic sSMC(15) mother and a literature review.从镶嵌型 sSMC(15)母亲遗传的小额外标记染色体 (sSMC) 的产前诊断和分子细胞遗传学特征,并进行文献复习。
Taiwan J Obstet Gynecol. 2020 Nov;59(6):963-967. doi: 10.1016/j.tjog.2020.09.030.
8
Microarray analysis has no additional value in fetal aberrant right subclavian artery: description of 268 pregnancies and systematic literature review.微阵列分析在胎儿异常右锁骨下动脉中没有额外价值:268 例妊娠的描述和系统文献复习。
Ultrasound Obstet Gynecol. 2019 Jun;53(6):810-815. doi: 10.1002/uog.20208.
9
Cytogenetic analysis in fetuses with late onset abnormal sonographic findings.对超声检查结果出现较晚异常的胎儿进行细胞遗传学分析。
J Perinat Med. 2018 Nov 27;46(9):975-982. doi: 10.1515/jpm-2017-0071.
10
Mosaic complete tetrasomy 21 in a fetus with complete atrioventricular septal defect and minor morphological variations.胎儿完全性房室间隔缺损并伴有轻微形态学变异的镶嵌性完全 21 三体。
Mol Genet Genomic Med. 2019 Nov;7(11):e00895. doi: 10.1002/mgg3.895. Epub 2019 Sep 7.

引用本文的文献

1
Novel autopsy and genetic findings in an acardiac twin: case report and literature review.无心双胎的新型尸检及遗传学发现:病例报告与文献综述
Autops Case Rep. 2024 Mar 5;14:e2024477. doi: 10.4322/acr.2024.477. eCollection 2024.
2
The Application of Optical Genome Mapping (OGM) in Severe Short Stature Caused by Duplication of 15q14q21.3.光学基因组图谱(OGM)在 15q14q21.3 重复引起的严重矮小症中的应用。
Genes (Basel). 2023 Apr 29;14(5):1016. doi: 10.3390/genes14051016.

本文引用的文献

1
Copy number variation of in familial dystonic tremor.家族性肌张力障碍性震颤中[具体内容]的拷贝数变异 。 (你提供的原文“Copy number variation of in familial dystonic tremor.”中“of ”后面缺少具体内容)
Neurol Genet. 2019 Feb 4;5(1):e307. doi: 10.1212/NXG.0000000000000307. eCollection 2019 Feb.
2
Prenatal diagnosis and molecular cytogenetic characterization of a de novo duplication of 15q24.3-q26.1.15q24.3-q26.1 新发重复的产前诊断及分子细胞遗传学特征分析
Appl Clin Genet. 2018 Jul 3;11:77-80. doi: 10.2147/TACG.S159377. eCollection 2018.
3
15q24.1 BP4-BP1 microdeletion unmasking paternally inherited functional polymorphisms combined with distal 15q24.2q24.3 duplication in a patient with epilepsy, psychomotor delay, overweight, ventricular arrhythmia.
一名患有癫痫、精神运动发育迟缓、超重和室性心律失常的患者存在15q24.1 BP4 - BP1微缺失,该微缺失揭示了父系遗传的功能性多态性,并伴有15q24.2q24.3远端重复。
Eur J Med Genet. 2018 Aug;61(8):459-464. doi: 10.1016/j.ejmg.2018.03.005. Epub 2018 Mar 14.
4
Prenatal diagnosis by chromosomal microarray analysis.染色体微阵列分析的产前诊断。
Fertil Steril. 2018 Feb;109(2):201-212. doi: 10.1016/j.fertnstert.2018.01.005.
5
Rare partial octosomy and hexasomy of 15q11-q13 associated with intellectual impairment and development delay: report of two cases and review of literature.与智力障碍和发育迟缓相关的罕见的15q11 - q13部分八体性和六体性:两例报告及文献复习
Mol Cytogenet. 2018 Feb 5;11:15. doi: 10.1186/s13039-018-0365-5. eCollection 2018.
6
Chromosome 15 structural abnormalities: effect on gene expression and function.15号染色体结构异常:对基因表达和功能的影响
Endocr Connect. 2017 Oct;6(7):528-539. doi: 10.1530/EC-17-0158.
7
Molecular cytogenetic characterization of a duplication of 15q24.2-q26.2 associated with anencephaly and neural tube defect.与无脑儿和神经管缺陷相关的15q24.2-q26.2重复的分子细胞遗传学特征
Taiwan J Obstet Gynecol. 2017 Aug;56(4):550-553. doi: 10.1016/j.tjog.2017.06.003.
8
Large cryptic genomic rearrangements with apparently normal karyotypes detected by array-CGH.通过比较基因组杂交芯片检测到核型看似正常的大型隐匿性基因组重排。
Mol Cytogenet. 2014 Nov 19;7(1):82. doi: 10.1186/s13039-014-0082-7. eCollection 2014.
9
Nonmosaic tetrasomy 15q25.2 → qter identified with SNP microarray in a patient with characteristic facial appearance and review of the literature.在一名具有特征性面部外观的患者中通过单核苷酸多态性微阵列鉴定出非镶嵌性15号染色体长臂2区5带2亚带到末端三体,并进行文献复习。
Eur J Med Genet. 2014 Jul;57(7):329-33. doi: 10.1016/j.ejmg.2014.04.011. Epub 2014 Apr 30.
10
Fetal size charts for a population from Cali, Colombia: sonographic measurements of biparietal diameter, head circumference, abdominal circumference, and femur length.哥伦比亚卡利人群的胎儿大小图表:双顶径、头围、腹围和股骨长度的超声测量值。
J Ultrasound Med. 2013 Jul;32(7):1215-25. doi: 10.7863/ultra.32.7.1215.