• 文献检索
  • 文档翻译
  • 深度研究
  • 学术资讯
  • Suppr Zotero 插件Zotero 插件
  • 邀请有礼
  • 套餐&价格
  • 历史记录
应用&插件
Suppr Zotero 插件Zotero 插件浏览器插件Mac 客户端Windows 客户端微信小程序
定价
高级版会员购买积分包购买API积分包
服务
文献检索文档翻译深度研究API 文档MCP 服务
关于我们
关于 Suppr公司介绍联系我们用户协议隐私条款
关注我们

Suppr 超能文献

核心技术专利:CN118964589B侵权必究
粤ICP备2023148730 号-1Suppr @ 2026

文献检索

告别复杂PubMed语法,用中文像聊天一样搜索,搜遍4000万医学文献。AI智能推荐,让科研检索更轻松。

立即免费搜索

文件翻译

保留排版,准确专业,支持PDF/Word/PPT等文件格式,支持 12+语言互译。

免费翻译文档

深度研究

AI帮你快速写综述,25分钟生成高质量综述,智能提取关键信息,辅助科研写作。

立即免费体验

异常 Cullin1 连接酶介导的 p21 积累通过调节滋养细胞增殖和分化参与复发性自然流产的发病机制。

Abnormal Cullin1 neddylation-mediated p21 accumulation participates in the pathogenesis of recurrent spontaneous abortion by regulating trophoblast cell proliferation and differentiation.

机构信息

Assisted Reproduction Unit, Department of Obstetrics and Gynecology, Sir Run Run Shaw Hospital, Zhejiang University School of Medicine, Key Laboratory of Reproductive Dysfunction Management of Zhejiang Province, Hangzhou, China.

出版信息

Mol Hum Reprod. 2020 May 15;26(5):327-339. doi: 10.1093/molehr/gaaa021.

DOI:10.1093/molehr/gaaa021
PMID:32186736
原文链接:https://pmc.ncbi.nlm.nih.gov/articles/PMC7227182/
Abstract

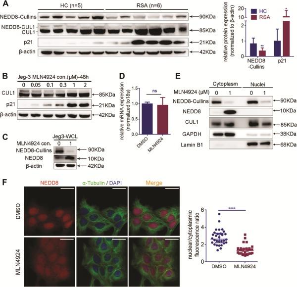
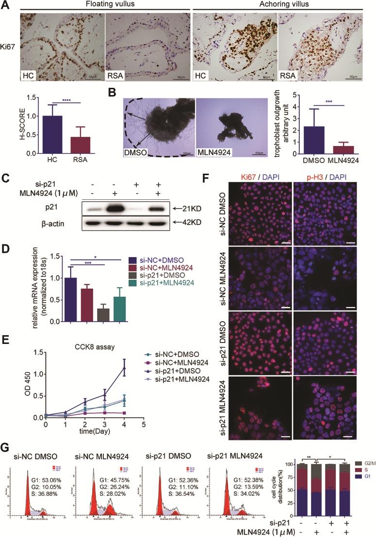
The study explores the role of neddylation in early trophoblast development and its alteration during the pathogenesis of recurrent spontaneous abortion (RSA). Immunofluorescence and western blot were conducted to evaluate the expression pattern of NEDD8 protein in the first-trimester placentas of healthy control and RSA patients. Neddylated-cullins, especially neddylated-cullin1, were downregulated and their substrate, p21, was accumulated in RSA samples. NEDD8 cytoplasmic recruitment was observed in extravillous trophoblast (EVT) progenitors of RSA placentas. Consistent with the results of clinical samples, neddylation inhibition using MLN4924 in trophoblast cell lines caused obvious p21 accumulation and free NEDD8 cytoplasmic recruitment. Further in vitro study demonstrated neddylation inhibition attenuated proliferation of Jeg-3 cells via p21 accumulation. Moreover, when trophoblast stem (TS) cells derived from first-trimester placentas were cultured for differentiation analyses. MLN4924 impaired the differentiation of TS cells towards EVTs by downregulating HLA-G and GATA3. p21 knockdown could partly rescue MLN4924-suppressed HLA-G and GATA3 expression. In conclusion, cullin1 neddylation-mediated p21 degradation is required for trophoblast proliferation and can affect trophoblast plasticity by affecting HLA-G and GATA3 expression. The results provide insights into the pathological mechanism of RSA and the biological regulation of trophoblast development.

摘要

这项研究探讨了 neddylation 在早期滋养层发育中的作用及其在复发性自然流产(RSA)发病机制中的改变。免疫荧光和 Western blot 用于评估健康对照组和 RSA 患者的早期胎盘 NEDD8 蛋白的表达模式。Neddylated-cullins,特别是 neddylated-cullin1,在 RSA 样本中下调,其底物 p21 积累。在 RSA 胎盘的绒毛外滋养层(EVT)祖细胞中观察到 NEDD8 细胞质募集。与临床样本的结果一致,使用 MLN4924 在滋养层细胞系中抑制 neddylation 导致明显的 p21 积累和游离 NEDD8 细胞质募集。进一步的体外研究表明,neddylation 抑制通过 p21 积累抑制 Jeg-3 细胞的增殖。此外,当从早期胎盘培养的滋养层干细胞(TS)细胞进行分化分析时。MLN4924 通过下调 HLA-G 和 GATA3 来损害 TS 细胞向 EVT 的分化。p21 敲低可部分挽救 MLN4924 抑制的 HLA-G 和 GATA3 表达。总之,cullin1 neddylation 介导的 p21 降解对于滋养层增殖是必需的,并且可以通过影响 HLA-G 和 GATA3 表达来影响滋养层的可塑性。这些结果为 RSA 的病理机制和滋养层发育的生物学调节提供了新的见解。

https://cdn.ncbi.nlm.nih.gov/pmc/blobs/7203/7227182/d7b934e12daf/gaaa021f6.jpg
https://cdn.ncbi.nlm.nih.gov/pmc/blobs/7203/7227182/bb59fe1e4713/gaaa021f1.jpg
https://cdn.ncbi.nlm.nih.gov/pmc/blobs/7203/7227182/0e7881523425/gaaa021f2.jpg
https://cdn.ncbi.nlm.nih.gov/pmc/blobs/7203/7227182/07109e3223ad/gaaa021f3.jpg
https://cdn.ncbi.nlm.nih.gov/pmc/blobs/7203/7227182/9ac017db1c95/gaaa021f4.jpg
https://cdn.ncbi.nlm.nih.gov/pmc/blobs/7203/7227182/634596e4f7e6/gaaa021f5.jpg
https://cdn.ncbi.nlm.nih.gov/pmc/blobs/7203/7227182/d7b934e12daf/gaaa021f6.jpg
https://cdn.ncbi.nlm.nih.gov/pmc/blobs/7203/7227182/bb59fe1e4713/gaaa021f1.jpg
https://cdn.ncbi.nlm.nih.gov/pmc/blobs/7203/7227182/0e7881523425/gaaa021f2.jpg
https://cdn.ncbi.nlm.nih.gov/pmc/blobs/7203/7227182/07109e3223ad/gaaa021f3.jpg
https://cdn.ncbi.nlm.nih.gov/pmc/blobs/7203/7227182/9ac017db1c95/gaaa021f4.jpg
https://cdn.ncbi.nlm.nih.gov/pmc/blobs/7203/7227182/634596e4f7e6/gaaa021f5.jpg
https://cdn.ncbi.nlm.nih.gov/pmc/blobs/7203/7227182/d7b934e12daf/gaaa021f6.jpg

相似文献

1
Abnormal Cullin1 neddylation-mediated p21 accumulation participates in the pathogenesis of recurrent spontaneous abortion by regulating trophoblast cell proliferation and differentiation.异常 Cullin1 连接酶介导的 p21 积累通过调节滋养细胞增殖和分化参与复发性自然流产的发病机制。
Mol Hum Reprod. 2020 May 15;26(5):327-339. doi: 10.1093/molehr/gaaa021.
2
Extravillous trophoblast invasion of venous as well as lymphatic vessels is altered in idiopathic, recurrent, spontaneous abortions.在特发性、复发性、自然流产中,绒毛外滋养层细胞对静脉和淋巴管的侵袭发生改变。
Hum Reprod. 2017 Jun 1;32(6):1208-1217. doi: 10.1093/humrep/dex058.
3
Neddylation inhibitor MLN4924 suppresses growth and migration of human gastric cancer cells.Neddylation抑制剂MLN4924抑制人胃癌细胞的生长和迁移。
Sci Rep. 2016 Apr 11;6:24218. doi: 10.1038/srep24218.
4
NEDD8-mediated neddylation is required for human endometrial stromal proliferation and decidualization.人子宫内膜基质增殖和蜕膜化需要NEDD8介导的NEDD化。
Hum Reprod. 2015 Jul;30(7):1665-76. doi: 10.1093/humrep/dev117. Epub 2015 May 23.
5
Validation of NEDD8-conjugating enzyme UBC12 as a new therapeutic target in lung cancer.验证 NEDD8 连接酶 UBC12 作为肺癌的一个新治疗靶点。
EBioMedicine. 2019 Jul;45:81-91. doi: 10.1016/j.ebiom.2019.06.005. Epub 2019 Jun 14.
6
Inhibition of neddylation causes meiotic arrest in mouse oocyte.抑制 neddylation 会导致小鼠卵母细胞减数分裂停滞。
Cell Cycle. 2019 Jun;18(11):1254-1267. doi: 10.1080/15384101.2019.1617453. Epub 2019 May 21.
7
MLN4924 (Pevonedistat), a protein neddylation inhibitor, suppresses proliferation and migration of human clear cell renal cell carcinoma.MLN4924(培维索他汀),一种蛋白类泛素化抑制剂,可抑制人肾透明细胞癌细胞的增殖和迁移。
Sci Rep. 2017 Jul 17;7(1):5599. doi: 10.1038/s41598-017-06098-y.
8
Targeting protein neddylation with an NEDD8-activating enzyme inhibitor MLN4924 induced apoptosis or senescence in human lymphoma cells.使用NEDD8激活酶抑制剂MLN4924靶向蛋白质NEDD化可诱导人淋巴瘤细胞凋亡或衰老。
Cancer Biol Ther. 2015;16(3):420-9. doi: 10.1080/15384047.2014.1003003.
9
Induction of p21-dependent senescence by an NAE inhibitor, MLN4924, as a mechanism of growth suppression.NAE 抑制剂 MLN4924 通过诱导 p21 依赖性衰老来抑制细胞生长的机制研究。
Neoplasia. 2011 Jun;13(6):561-9. doi: 10.1593/neo.11420.
10
Quantitative analyses for effects of neddylation on CRL2 substrate ubiquitination and degradation.定量分析泛素化和降解对 CRL2 底物的影响。
Protein Sci. 2021 Nov;30(11):2338-2345. doi: 10.1002/pro.4176. Epub 2021 Sep 13.

引用本文的文献

1
Dysregulation of MYBL2 impairs extravillous trophoblast lineage development and function, contributing to recurrent spontaneous abortion.MYBL2的失调会损害绒毛外滋养层细胞谱系的发育和功能,导致复发性自然流产。
Proc Natl Acad Sci U S A. 2025 May 6;122(18):e2421653122. doi: 10.1073/pnas.2421653122. Epub 2025 Apr 28.
2
Inhibition of BCAT1 expression improves recurrent miscarriage by regulating cellular dysfunction and inflammation of trophoblasts.抑制 BCAT1 表达通过调节滋养层细胞的功能障碍和炎症改善复发性流产。
Cell Tissue Res. 2024 Nov;398(2):111-121. doi: 10.1007/s00441-024-03921-7. Epub 2024 Oct 2.
3

本文引用的文献

1
Downregulation of CCNA2 disturbs trophoblast migration, proliferation, and apoptosis during the pathogenesis of recurrent miscarriage.CCNA2 的下调扰乱了复发性流产发病过程中滋养细胞的迁移、增殖和凋亡。
Am J Reprod Immunol. 2019 Jul;82(1):e13144. doi: 10.1111/aji.13144. Epub 2019 May 23.
2
Neddylation: a novel modulator of the tumor microenvironment.泛素化:肿瘤微环境的一种新型调节剂。
Mol Cancer. 2019 Apr 3;18(1):77. doi: 10.1186/s12943-019-0979-1.
3
The Attenuation of Trophoblast Invasion Caused by the Downregulation of EZH2 Is Involved in the Pathogenesis of Human Recurrent Miscarriage.
Dysregulation of Histone Deacetylases Inhibits Trophoblast Growth during Early Placental Development Partially through TFEB-Dependent Autophagy-Lysosomal Pathway.
组蛋白去乙酰化酶的失调抑制了早期胎盘发育过程中的滋养层生长,部分是通过 TFEB 依赖性自噬溶酶体途径。
Int J Mol Sci. 2023 Jul 25;24(15):11899. doi: 10.3390/ijms241511899.
4
Research progress of E3 ubiquitin ligase regulating biological behavior of human placental trophoblast cells.E3 泛素连接酶调控人胎盘滋养层细胞生物学行为的研究进展。
Front Endocrinol (Lausanne). 2023 Apr 14;14:1124041. doi: 10.3389/fendo.2023.1124041. eCollection 2023.
5
S100P promotes trophoblast syncytialization during early placenta development by regulating YAP1.S100P 通过调节 YAP1 促进早期胎盘发育中的滋养细胞融合。
Front Endocrinol (Lausanne). 2022 Sep 14;13:860261. doi: 10.3389/fendo.2022.860261. eCollection 2022.
6
Stem Cell-Based Trophoblast Models to Unravel the Genetic Causes of Human Miscarriages.基于干细胞的滋养层细胞模型,以揭示人类流产的遗传原因。
Cells. 2022 Jun 14;11(12):1923. doi: 10.3390/cells11121923.
7
Ubiquitin ligases: guardians of mammalian development.泛素连接酶:哺乳动物发育的守护者。
Nat Rev Mol Cell Biol. 2022 May;23(5):350-367. doi: 10.1038/s41580-021-00448-5. Epub 2022 Jan 25.
8
SCF Ligases and Their Functions in Oogenesis and Embryogenesis-Summary of the Most Important Findings throughout the Animal Kingdom.SCF 连接酶及其在卵子发生和胚胎发生中的功能——动物界最重要发现综述。
Cells. 2022 Jan 11;11(2):234. doi: 10.3390/cells11020234.
9
FPR2 serves a role in recurrent spontaneous abortion by regulating trophoblast function via the PI3K/AKT signaling pathway.FPR2 通过调节滋养细胞功能,通过 PI3K/AKT 信号通路在复发性自然流产中发挥作用。
Mol Med Rep. 2021 Dec;24(6). doi: 10.3892/mmr.2021.12478. Epub 2021 Oct 5.
10
Lnc-HZ08 regulates BPDE-induced trophoblast cell dysfunctions by promoting PI3K ubiquitin degradation and is associated with miscarriage.长链非编码 RNA-HZ08 通过促进 PI3K 泛素降解调控 BPDE 诱导的滋养层细胞功能障碍,与流产有关。
Cell Biol Toxicol. 2022 Apr;38(2):291-310. doi: 10.1007/s10565-021-09606-z. Epub 2021 Apr 16.
EZH2下调导致的滋养层细胞侵袭减弱参与人类复发性流产的发病机制。
Mol Ther Nucleic Acids. 2019 Mar 1;14:377-387. doi: 10.1016/j.omtn.2018.12.011. Epub 2018 Dec 22.
4
The Nedd8-activating enzyme inhibitor MLN4924 (TAK-924/Pevonedistat) induces apoptosis via c-Myc-Noxa axis in head and neck squamous cell carcinoma.Nedd8-激活酶抑制剂 MLN4924(TAK-924/Pevonedistat)通过 c-Myc-Noxa 轴诱导头颈部鳞状细胞癌细胞凋亡。
Cell Prolif. 2019 Mar;52(2):e12536. doi: 10.1111/cpr.12536. Epub 2018 Oct 19.
5
Genome amplification and cellular senescence are hallmarks of human placenta development.基因组扩增和细胞衰老为人胎盘发育的特征。
PLoS Genet. 2018 Oct 12;14(10):e1007698. doi: 10.1371/journal.pgen.1007698. eCollection 2018 Oct.
6
Single-cell RNA-seq reveals the diversity of trophoblast subtypes and patterns of differentiation in the human placenta.单细胞 RNA 测序揭示了人类胎盘滋养层亚型的多样性和分化模式。
Cell Res. 2018 Aug;28(8):819-832. doi: 10.1038/s41422-018-0066-y. Epub 2018 Jul 24.
7
Protein neddylation and its alterations in human cancers for targeted therapy.蛋白质类泛素化及其在人类癌症中的改变用于靶向治疗。
Cell Signal. 2018 Apr;44:92-102. doi: 10.1016/j.cellsig.2018.01.009. Epub 2018 Jan 10.
8
Derivation of Human Trophoblast Stem Cells.人滋养层干细胞的来源。
Cell Stem Cell. 2018 Jan 4;22(1):50-63.e6. doi: 10.1016/j.stem.2017.11.004. Epub 2017 Dec 14.
9
The HLA-G 14-bp polymorphism and recurrent implantation failure: a meta-analysis.HLA-G 14-bp 多态性与反复着床失败:一项荟萃分析。
J Assist Reprod Genet. 2017 Nov;34(11):1559-1565. doi: 10.1007/s10815-017-0994-3. Epub 2017 Jul 13.
10
Role of peroxiredoxin2 downregulation in recurrent miscarriage through regulation of trophoblast proliferation and apoptosis.过氧化物还原酶2下调通过调节滋养层细胞增殖和凋亡在复发性流产中的作用。
Cell Death Dis. 2017 Jun 29;8(6):e2908. doi: 10.1038/cddis.2017.301.