Suppr超能文献

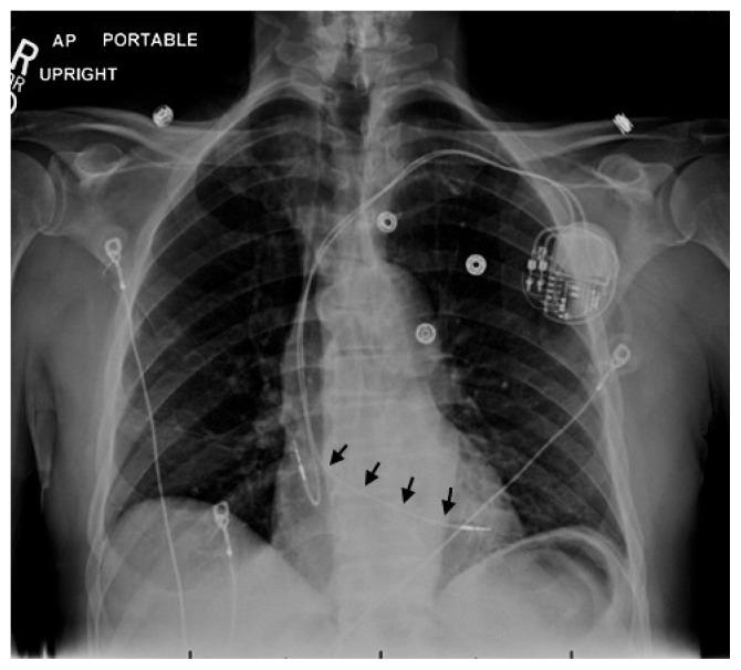
Incidental Detection of Inadvertent Pacing Lead Placement in the Left Ventricle by Myocardial Perfusion Imaging Study.

作者信息

Tung Robert T

机构信息

U.S. Department of Veterans Affairs, Eastern Kansas Health- Care System, Topeka, KS.

出版信息

Kans J Med. 2020 Feb 28;13:43-45. eCollection 2020.

Abstract
摘要
https://cdn.ncbi.nlm.nih.gov/pmc/blobs/8341/7053412/e51b1211f364/13-43f1.jpg

文献AI研究员

20分钟写一篇综述,助力文献阅读效率提升50倍。

立即体验

用中文搜PubMed

大模型驱动的PubMed中文搜索引擎

马上搜索

文档翻译

学术文献翻译模型,支持多种主流文档格式。

立即体验