Suppr超能文献

I 型肺胸膜胚细胞瘤可能通过获得 Dicer 1 突变而在 4 型先天性肺气道畸形中发生。

Pleuropulmonary blastoma type I might arise in congenital pulmonary airway malformation type 4 by acquiring a Dicer 1 mutation.

机构信息

Diagnostic and Research Institute of Pathology, Medical University of Graz, Neue Stiftingtalstrasse 6, 8036, Graz, Austria.

Second Department of Pathology, Semmelweis University Budapest, Budapest, Hungary.

出版信息

Virchows Arch. 2020 Sep;477(3):375-382. doi: 10.1007/s00428-020-02789-6. Epub 2020 Mar 19.

Abstract

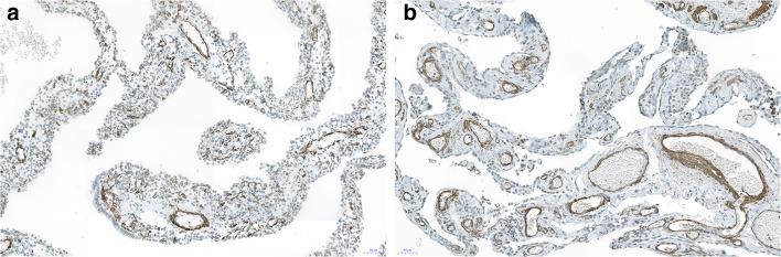
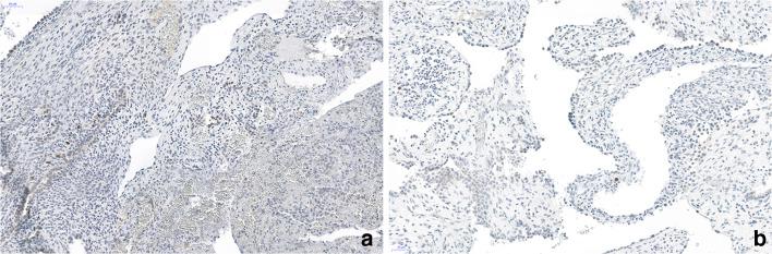
Congenital pulmonary airway malformation (CPAM) occurs most commonly in infants. It is divided into 5 types. The most common types 1 and 2 are cystic, type 0 presents as bronchial buds without alveolar tissue, most likely corresponding to alveolar dysgenesis, while type 3 is composed of branching bronchioles and appears as a solid lesion. A defect in the epithelial-mesenchymal crosstalk might be the underlying mechanism for all. Type 4 is a peripheral cystic lesion with a thin cyst wall covered by pneumocytes. CPAM 4 has been mixed up with pleuropulmonary blastoma (PPB) type I and some authors question its existence. We investigated five cases of CPAM type 4 for the presence or absence of rhabdomyoblasts, and for markers associated with CPAM development. In addition, all cases were evaluated for mutations within the Dicer gene and for mutations of the RAS family of oncogenes. All five cases showed smooth muscle actin and desmin-positive cells; however, only one case showed a few cells positive for MyoD. The same case showed a mutation of Dicer 1. All cases were negative for mutations of the RAS family of genes. Fibroblast growth factor 10 was similarly expressed in all cases, and thus cannot be used to differentiate CPAM4 from PPB-I. Low expression of the proliferation marker Ki67 was seen in our CPAM 4 cases and the probable PPB-I case. YingYang-1 protein seems to play an active role in the development of PPB-I. CPAM 4 can be separated from PPB-I based on the presence of rhabdomyoblasts and mutations in Dicer 1 gene. These cells might not be numerous; therefore, all available tissue has to be evaluated. As CPAM 4 morphologically looks very similar to PPB-I, it might be speculated, that there exists a potential for progression from CPAM 4 to PPB-I, by acquiring somatic mutations in Dicer 1.

摘要

先天性肺气道畸形(CPAM)最常发生于婴儿。它可分为 5 型。最常见的 1 型和 2 型为囊肿型,0 型表现为无肺泡组织的支气管芽,最可能对应肺泡发育不全,而 3 型由分支细支气管组成,表现为实性病变。上皮-间充质细胞相互作用的缺陷可能是所有这些的潜在机制。4 型为薄壁含气囊肿,由肺泡细胞覆盖。CPAM 4 曾与肺胚细胞瘤(PPB)I 型相混淆,一些作者质疑其存在。我们研究了 5 例 CPAM 4 型,观察有无横纹肌母细胞及与 CPAM 发生相关的标志物。此外,所有病例均评估 Dicer 基因突变及 RAS 家族癌基因突变情况。所有 5 例均显示平滑肌肌动蛋白和结蛋白阳性细胞,但仅有 1 例可见少量肌源性分化蛋白(MyoD)阳性细胞。同 1 例存在 Dicer1 基因突变。所有病例均未见 RAS 家族基因突变。所有病例的成纤维细胞生长因子 10 表达相似,因此不能用于区分 CPAM4 与 PPB-I。Ki67 增殖标志物在我们的 CPAM 4 病例和可能的 PPB-I 病例中低表达。YingYang-1 蛋白似乎在 PPB-I 的发生中发挥积极作用。CPAM 4 可根据横纹肌母细胞的存在及 Dicer 1 基因突变与 PPB-I 区分。这些细胞可能数量不多,因此需要评估所有可用组织。由于 CPAM 4 在形态上与 PPB-I 非常相似,可以推测,通过获得 Dicer 1 体细胞突变,CPAM 4 可能有向 PPB-I 进展的潜能。

https://cdn.ncbi.nlm.nih.gov/pmc/blobs/5b64/7443180/10c9c397ac4a/428_2020_2789_Fig1_HTML.jpg

文献检索

告别复杂PubMed语法,用中文像聊天一样搜索,搜遍4000万医学文献。AI智能推荐,让科研检索更轻松。

立即免费搜索

文件翻译

保留排版,准确专业,支持PDF/Word/PPT等文件格式,支持 12+语言互译。

免费翻译文档

深度研究

AI帮你快速写综述,25分钟生成高质量综述,智能提取关键信息,辅助科研写作。

立即免费体验