Suppr超能文献

小儿胸膜肺母细胞瘤:4 例分析。

Pediatric pleuropulmonary blastoma: analysis of four cases.

机构信息

Lecturer of Cardiothoracic Surgery, Alexandria Faculty of Medicine, Alexandria, Egypt.

Lecturer of Pathology, Alexandria Faculty of Medicine, Alexandria, Egypt.

出版信息

BMC Cancer. 2024 Oct 11;24(1):1268. doi: 10.1186/s12885-024-12977-1.

Abstract

BACKGROUND

Pleuropulmonary Blastoma (PPB) is an extremely uncommon, highly aggressive tumor that arises from either the lungs or pleura. According to Dehner, PPB was classified into three groups: type I (cystic), type II (mixed), and type III (solid). Type I tends to occur more commonly in infants and has a more favorable prognosis compared to types II and III. This tumor is very rare in pediatric age group; hence, there is no consensus on the optimal treatment regimen for it to date. Type I tumors, which resemble congenital lung cysts, can eventually progress to more aggressive type II and type III tumors. This article aims to increase general awareness of this pathology, clinical presentation, and differential diagnosis in order to identify this rare entity early in its course. By presenting 4 such cases, we highlight that PPB can be missed early in diagnosis and it is important to be alert when putting this rare tumor in differential diagnosis of cystic lung lesions.

METHODS

A retrospective study was conducted between 2015 and 2020 involving patients who had a definitive diagnosis of PPB with emphasis on clinical presentation, preoperative imaging studies, intra-operative findings, pathological reports, ancillary treatment, and outcomes. All patients were followed up every 6 months to monitor local recurrence and distant metastasis by undergoing physical exam and non-contrast enhanced CT of the chest. The primary outcome is to identify the mortality and morbidity (recurrence and distant metastasis) of PPB for cases admitted in our institute.

RESULTS

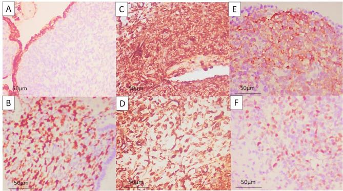
Four children were diagnosed with PPB during the study period. Clinically, patients presented with manifestations ranging from respiratory distress, fever to obstructive shock and radiologically, 2 cases were presented with mediastinal mass and the other 2 presented with pneumothorax. Regrettably, none of the cases were diagnosed pre-operatively. One lesion proved to be type I, 2 were type II and one was type III. All cases underwent chemotherapy using the combination of vincristine, Adriamycin and cyclophosphamide (VAC regimen). Recurrence was detected in a type II case, around 2 years after operation, and the other type II case developed brain metastasis that was discovered 3 years after operation. Type I case showed no local or distant metastasis.

CONCLUSION

A prompt preoperative diagnosis and workup of cases of PPB is crucial to enable optimal intervention intraoperatively and early postoperative treatment. Though it is uncommon, PPB should be considered in the differential diagnosis of cystic lung lesions.

摘要

背景

胸膜肺胚细胞瘤(PPB)是一种非常罕见的高度侵袭性肿瘤,起源于肺部或胸膜。根据 Dehner 的分类,PPB 分为三型:I 型(囊性)、II 型(混合性)和 III 型(实质性)。I 型倾向于更常见于婴儿,与 II 型和 III 型相比,预后更好。这种肿瘤在儿科人群中非常罕见;因此,迄今为止,对于其最佳治疗方案尚未达成共识。I 型肿瘤类似于先天性肺囊肿,最终可能进展为更具侵袭性的 II 型和 III 型肿瘤。本文旨在提高对这种病理学、临床表现和鉴别诊断的认识,以便在其病程早期识别这种罕见实体。通过介绍 4 个这样的病例,我们强调 PPB 在诊断早期可能被遗漏,在鉴别诊断囊性肺病变时,对这种罕见肿瘤保持警惕非常重要。

方法

回顾性研究 2015 年至 2020 年间在我院确诊为 PPB 的患者,重点关注临床表现、术前影像学研究、术中发现、病理报告、辅助治疗和结果。所有患者均每 6 个月进行一次随访,通过体格检查和非增强胸部 CT 监测局部复发和远处转移。主要结局是确定我院收治的 PPB 患者的死亡率和发病率(复发和远处转移)。

结果

研究期间有 4 名儿童被诊断为 PPB。临床上,患者表现为呼吸困难、发热、阻塞性休克等症状,影像学上,2 例表现为纵隔肿块,另 2 例表现为气胸。遗憾的是,没有一个病例在术前得到诊断。一个病变被证实为 I 型,2 个为 II 型,1 个为 III 型。所有病例均采用长春新碱、阿霉素和环磷酰胺(VAC 方案)联合化疗。术后 2 年,1 例 II 型病例出现复发,另 1 例 II 型病例术后 3 年出现脑转移。I 型病例无局部或远处转移。

结论

及时对 PPB 患者进行术前诊断和检查对于术中进行最佳干预和早期术后治疗至关重要。虽然它并不常见,但在鉴别诊断囊性肺病变时应考虑到 PPB。

https://cdn.ncbi.nlm.nih.gov/pmc/blobs/4f6c/11468276/3de7ad7047b0/12885_2024_12977_Fig1_HTML.jpg

文献检索

告别复杂PubMed语法,用中文像聊天一样搜索,搜遍4000万医学文献。AI智能推荐,让科研检索更轻松。

立即免费搜索

文件翻译

保留排版,准确专业,支持PDF/Word/PPT等文件格式,支持 12+语言互译。

免费翻译文档

深度研究

AI帮你快速写综述,25分钟生成高质量综述,智能提取关键信息,辅助科研写作。

立即免费体验