Suppr超能文献

原发性和转移性肺内非上皮性肿瘤中明显的呼吸道上皮内陷:一种常模仿腺纤维瘤和其他肺内双相性病变的形态学模式。

Prominent entrapment of respiratory epithelium in primary and metastatic intrapulmonary non-epithelial neoplasms: a frequent morphological pattern closely mimicking adenofibroma and other biphasic pulmonary lesions.

机构信息

Institute of Pathology, Friedrich-Alexander University Erlangen-Nürnberg (FAU), University Hospital, Krankenhausstrasse 8-10, 91054, Erlangen, Germany.

出版信息

Virchows Arch. 2020 Aug;477(2):195-205. doi: 10.1007/s00428-020-02796-7. Epub 2020 Mar 19.

Abstract

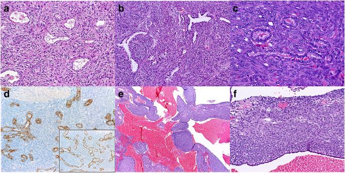
As one of the most common target organs for hematogenous spread from diverse cancers, biopsy interpretation of lung tumors is complicated by the challenging question of primary versus metastatic and by frequent entrapment of native respiratory glands. Nevertheless, the literature dealing with this issue is surprisingly sparse and no single study has been devoted to this topic. We reviewed 47 surgical lung specimens of non-epithelial neoplasms (38 metastases, mainly from sarcomas and 9 primary lesions) for frequency and pattern of intralesional epithelial entrapment. Respiratory epithelium entrapment was noted in 23/47 (49%) cases (diffuse in 15 and peripheral in 8). Entrapped glands frequently showed prominent regenerative and reactive changes mimicking neoplastic glands. Based on cellularity of the mesenchymal component and the extent, distribution and shape of entrapped respiratory glands, four morphological patterns were recognized: paucicellular sclerosing low-grade neoplasms containing leaflet-like glands indistinguishable from adenofibroma and fibroepithelial hamartomas (n = 11), and biphasic cellular lesions mimicking adenomyoepithelioma (n = 1), biphasic synovial sarcoma (n = 2), and pleuropulmonary blastoma (n = 1). Only a single genuine pulmonary adenofibroma was identified. This study highlights frequent respiratory epithelium entrapment in diverse non-epithelial lung tumors, both primary and metastatic. Recognition of this finding and use of adjunct IHC combined with clinical history should help to avoid misinterpretation as primary pulmonary biphasic neoplasm or as harmless adenofibroma. The vast majority of morphologically defined lung adenofibromas represent adenofibroma-like variants of histogenetically diverse entities so that a diagnosis of adenofibroma should be rendered only very restrictively and then as a diagnosis by exclusion.

摘要

作为血液传播的多种癌症最常见的靶器官之一,肺部肿瘤的活检解释受到原发性与转移性以及经常捕获原生呼吸腺的挑战性问题的影响。尽管如此,涉及这个问题的文献却出奇地稀少,没有一项研究专门针对这个主题。我们回顾了 47 例非上皮性肿瘤(38 例转移瘤,主要来自肉瘤,9 例原发性病变)的外科肺标本,以了解肿瘤内上皮捕获的频率和模式。在 47 例中有 23 例(49%)存在上皮捕获(15 例弥漫性,8 例周边性)。捕获的腺体经常表现出明显的再生和反应性改变,类似于肿瘤性腺体。基于间质成分的细胞性、捕获的呼吸腺的程度、分布和形状,我们识别出了四种形态模式:细胞稀少的硬化性低度肿瘤,含有与腺纤维瘤和纤维上皮错构瘤无法区分的小叶状腺体(n=11),以及模拟腺肌上皮瘤(n=1)、双相细胞性滑膜肉瘤(n=2)和胸膜肺胚细胞瘤(n=1)的双相细胞性病变。仅发现了 1 例真正的肺腺纤维瘤。本研究强调了在多种原发性和转移性非上皮性肺肿瘤中经常发生呼吸上皮捕获。认识到这一发现并使用辅助 IHC 结合临床病史,应该有助于避免将其误诊为原发性肺双相性肿瘤或良性腺纤维瘤。绝大多数形态学定义的肺腺纤维瘤代表组织发生多样化实体的腺纤维瘤样变体,因此,腺纤维瘤的诊断应非常严格,并作为排除诊断。

https://cdn.ncbi.nlm.nih.gov/pmc/blobs/b889/7371666/7b0451679cff/428_2020_2796_Fig1_HTML.jpg

文献检索

告别复杂PubMed语法,用中文像聊天一样搜索,搜遍4000万医学文献。AI智能推荐,让科研检索更轻松。

立即免费搜索

文件翻译

保留排版,准确专业,支持PDF/Word/PPT等文件格式,支持 12+语言互译。

免费翻译文档

深度研究

AI帮你快速写综述,25分钟生成高质量综述,智能提取关键信息,辅助科研写作。

立即免费体验