Suppr超能文献

单肺战士:全肺切除术后综合征合并急性呼吸窘迫综合征中的通气难题

One Lung Soldier: A Ventilation Conundrum in a Postpneumonectomy Syndrome Complicated by Acute Respiratory Syndrome.

作者信息

Purewal Jaskaran K, Sakul N F N, Balabbigari Nikhita R, Nenninger Alberto, Kotecha Nisha

机构信息

Department of Medicine, Overlook Medical Center, Summit, NJ 07901, USA.

Department of Pulmonary Critical Care, Overlook Medical Center, Summit, NJ 07901, USA.

出版信息

Case Rep Pulmonol. 2020 Mar 11;2020:5476794. doi: 10.1155/2020/5476794. eCollection 2020.

Abstract

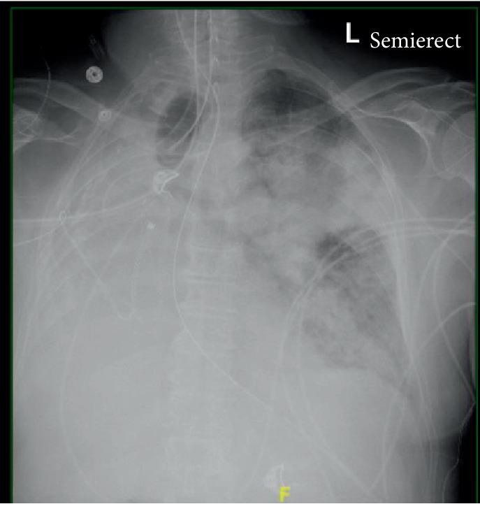
Postpneumonectomy syndrome involves mediastinal shift causing dynamic airway obstruction via compression of the main bronchus and distal trachea. A few case reports describe the development of ARDS in patients with postpneumonectomy syndrome. Reeb et al. (2017) describe the mortality of postpneumonectomy ARDS anywhere from 33% to 88%. One may encounter difficulty in intubation and ventilation as parameters based on ideal body weight may not apply. Prone positioning ventilation and ECMO have been successfully used in isolated cases. We present such a case and highlight challenges in management. A 70-year-old male Vietnam veteran with remote history of right pneumonectomy thirty years prior presented with fever, cough, and dyspnea. Physical exam was significant for T 36.3°C, BP 162/73, heart rate 145 BPM, RR 22 breaths/minute, ht. 1.72 m, and wt. 78 kg, with transmitted right lung sounds and rhonchi on the left. Labs showed WBC 23.92/nL and procalcitonin 0.84 ng/mL. CXR showed left infiltrate and opacification of right hemithorax with right mediastinal shift. EKG showed atrial fibrillation. He was started on broad spectrum antibiotics for pneumonia, but deteriorated, and was intubated for respiratory distress from ARDS. Vasopressors were initiated for shock. Given the history of pneumonectomy, he was initially ventilated with lower tidal volumes (320 mL). However, incremental changes were made to tidal volumes, and ETT was repositioned several times for hypoxia. Epoprostenol and cisatracurium were also initiated. Positional changes would lead to sudden desaturation; hence, prone positioning ventilation was not done. He was not considered for ECMO due to his pneumonectomy status. Unfortunately, his condition worsened progressively and he expired. The guidelines for ARDS are well established. However, postpneumonectomy patients are unique as seen in our patient. It is unclear whether an endobronchial tube advanced into the left bronchus could have helped difficult airway management resulting from suspected postpneumonectomy syndrome as suggested by CXR. Higher tidal volumes were also unsuccessful in alleviating hypoxia and led to persistently elevated plateau pressures and driving pressures as high as 23, which was inconsistent with our goal of lung protective ventilation. Few case reports describe the successful use of prone positioning ventilation or ECMO in postpneumonectomy patients with ARDS. Although not well studied, low tidal volumes supported with ECMO may have been a favorable strategy for our patient.

摘要

肺切除术后综合征包括纵隔移位,通过压迫主支气管和远端气管导致动态气道阻塞。少数病例报告描述了肺切除术后综合征患者发生急性呼吸窘迫综合征(ARDS)的情况。里布等人(2017年)描述了肺切除术后ARDS的死亡率在33%至88%之间。由于基于理想体重的参数可能不适用,在插管和通气方面可能会遇到困难。俯卧位通气和体外膜肺氧合(ECMO)已在个别病例中成功应用。我们介绍这样一个病例,并强调管理中的挑战。一名70岁的男性越南退伍军人,30年前有右肺切除史,现出现发热、咳嗽和呼吸困难。体格检查显示体温36.3°C,血压162/73,心率145次/分钟,呼吸频率22次/分钟,身高1.72米,体重78公斤,右肺有传导音,左肺有干啰音。实验室检查显示白细胞计数23.92/微升,降钙素原0.84纳克/毫升。胸部X线片显示左肺浸润,右半胸混浊,伴有右纵隔移位。心电图显示心房颤动。他因肺炎开始使用广谱抗生素,但病情恶化,因ARDS导致呼吸窘迫而插管。因休克开始使用血管活性药物。鉴于有肺切除史,最初给予较低潮气量(320毫升)通气。然而,逐渐增加潮气量,并多次重新调整气管内插管位置以改善缺氧。还开始使用依前列醇和顺式阿曲库铵。体位改变会导致突然的血氧饱和度下降;因此,未进行俯卧位通气。由于他的肺切除状态,未考虑使用ECMO。不幸的是,他的病情逐渐恶化,最终死亡。ARDS的指南已经很完善。然而,正如我们的患者所示,肺切除术后患者有其独特之处。正如胸部X线片所示,将支气管内导管推进左支气管是否有助于处理疑似肺切除术后综合征导致的困难气道管理尚不清楚。较高的潮气量也未能缓解缺氧,导致平台压持续升高,驱动压高达23,这与我们的肺保护性通气目标不一致。少数病例报告描述了在肺切除术后ARDS患者中成功使用俯卧位通气或ECMO的情况。虽然研究不足,但对于我们的患者,用ECMO支持的低潮气量可能是一种有利的策略。

https://cdn.ncbi.nlm.nih.gov/pmc/blobs/c1b2/7086437/fca9b0675636/CRIPU2020-5476794.001.jpg

文献AI研究员

20分钟写一篇综述,助力文献阅读效率提升50倍。

立即体验

用中文搜PubMed

大模型驱动的PubMed中文搜索引擎

马上搜索

文档翻译

学术文献翻译模型,支持多种主流文档格式。

立即体验