• 文献检索
  • 文档翻译
  • 深度研究
  • 学术资讯
  • Suppr Zotero 插件Zotero 插件
  • 邀请有礼
  • 套餐&价格
  • 历史记录
应用&插件
Suppr Zotero 插件Zotero 插件浏览器插件Mac 客户端Windows 客户端微信小程序
定价
高级版会员购买积分包购买API积分包
服务
文献检索文档翻译深度研究API 文档MCP 服务
关于我们
关于 Suppr公司介绍联系我们用户协议隐私条款
关注我们

Suppr 超能文献

核心技术专利:CN118964589B侵权必究
粤ICP备2023148730 号-1Suppr @ 2026

文献检索

告别复杂PubMed语法,用中文像聊天一样搜索,搜遍4000万医学文献。AI智能推荐,让科研检索更轻松。

立即免费搜索

文件翻译

保留排版,准确专业,支持PDF/Word/PPT等文件格式,支持 12+语言互译。

免费翻译文档

深度研究

AI帮你快速写综述,25分钟生成高质量综述,智能提取关键信息,辅助科研写作。

立即免费体验

腹腔镜引流术作为腰大肌脓肿的微创治疗方法:单中心病例系列研究及文献综述

Laparoscopic drainage as a minimally invasive treatment for a psoas abscess: A single-center case series and literature review.

作者信息

Hong Chang Hwa, Hong Yong Cheol, Bae Sang Ho, Son Myoung Won, Won Sung Hun, Ryu Aeli, Kim Chang Hyun, Chang Hee Jun, Kim Woo Jong

机构信息

Department of Orthopaedic Surgery.

Department of Surgery, Soonchunhyang University Hospital Cheonan, Dongnam-gu, Cheonan.

出版信息

Medicine (Baltimore). 2020 Apr;99(14):e19640. doi: 10.1097/MD.0000000000019640.

DOI:10.1097/MD.0000000000019640
PMID:32243394
原文链接:https://pmc.ncbi.nlm.nih.gov/articles/PMC7440240/
Abstract

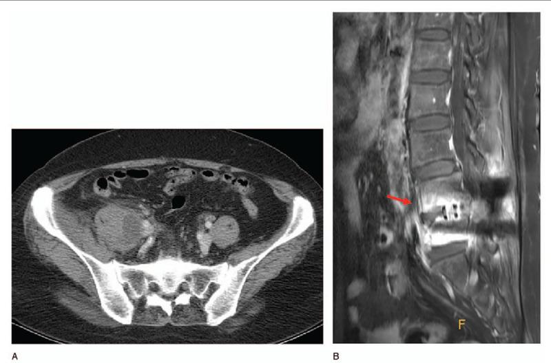
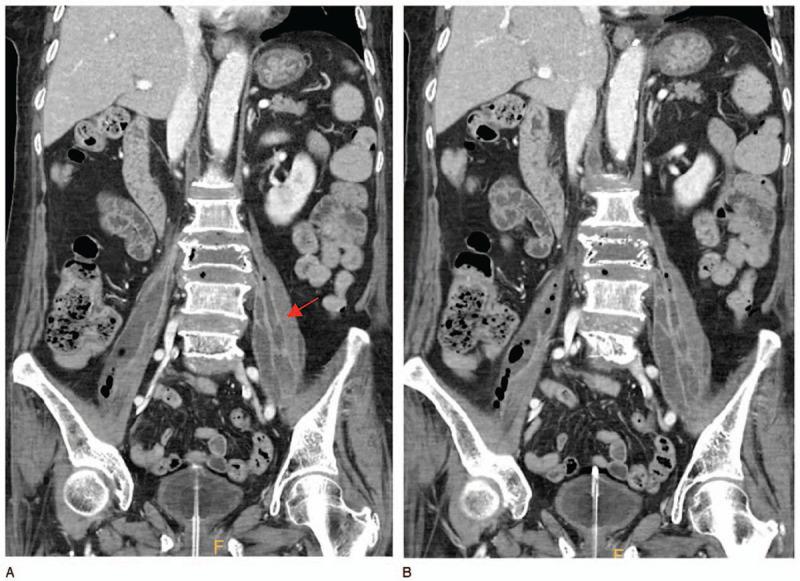
A psoas abscess is a rare but potentially devastating condition that is associated with risks of neurological deficits, septic shock, and even death. The current first-line treatment is percutaneous catheter drainage (PCD) under imaging guidance, combined with broad-spectrum antibiotics. Surgical drainage should be considered if PCD fails or is impossible.Although many studies on PCD and open surgical drainage have appeared, the outcomes of laparoscopic drainage have rarely been reported. Thus, we laparoscopically drained the psoas abscesses of 6 patients; drainage was complete and we encountered no recurrence or complication. All patients were evaluated by plain radiography, contrast-enhanced computed tomography, and laboratory tests; all were followed-up for 1 year. Laparoscopic drainage is a good treatment option when PCD fails, affording all the advantages of open surgery (complete drainage, resection of infected tissue, and contermporaneous treatment of concomitant lesions). Also, laparoscopic drainage is minimally invasive, requires a smaller incision, and allows rapid recovery.

摘要

腰大肌脓肿是一种罕见但可能具有毁灭性的疾病,与神经功能缺损、感染性休克甚至死亡风险相关。目前的一线治疗方法是在影像引导下进行经皮导管引流(PCD),并联合使用广谱抗生素。如果PCD失败或无法进行,则应考虑手术引流。尽管已经出现了许多关于PCD和开放手术引流的研究,但腹腔镜引流的结果很少被报道。因此,我们对6例患者的腰大肌脓肿进行了腹腔镜引流;引流彻底,未出现复发或并发症。所有患者均通过X线平片、增强CT和实验室检查进行评估;所有患者均随访1年。当PCD失败时,腹腔镜引流是一种很好的治疗选择,具有开放手术的所有优点(彻底引流、切除感染组织以及同时治疗伴发病变)。此外,腹腔镜引流微创,切口小,恢复快。

https://cdn.ncbi.nlm.nih.gov/pmc/blobs/bc13/7440240/fd794dbbc5c9/medi-99-e19640-g005.jpg
https://cdn.ncbi.nlm.nih.gov/pmc/blobs/bc13/7440240/094d864afaf9/medi-99-e19640-g001.jpg
https://cdn.ncbi.nlm.nih.gov/pmc/blobs/bc13/7440240/e24efb2dcea9/medi-99-e19640-g003.jpg
https://cdn.ncbi.nlm.nih.gov/pmc/blobs/bc13/7440240/d516d571f0f1/medi-99-e19640-g004.jpg
https://cdn.ncbi.nlm.nih.gov/pmc/blobs/bc13/7440240/fd794dbbc5c9/medi-99-e19640-g005.jpg
https://cdn.ncbi.nlm.nih.gov/pmc/blobs/bc13/7440240/094d864afaf9/medi-99-e19640-g001.jpg
https://cdn.ncbi.nlm.nih.gov/pmc/blobs/bc13/7440240/e24efb2dcea9/medi-99-e19640-g003.jpg
https://cdn.ncbi.nlm.nih.gov/pmc/blobs/bc13/7440240/d516d571f0f1/medi-99-e19640-g004.jpg
https://cdn.ncbi.nlm.nih.gov/pmc/blobs/bc13/7440240/fd794dbbc5c9/medi-99-e19640-g005.jpg

相似文献

1
Laparoscopic drainage as a minimally invasive treatment for a psoas abscess: A single-center case series and literature review.腹腔镜引流术作为腰大肌脓肿的微创治疗方法:单中心病例系列研究及文献综述
Medicine (Baltimore). 2020 Apr;99(14):e19640. doi: 10.1097/MD.0000000000019640.
2
Retroperitoneoscopic drainage of bilateral psoas abscesses under intraoperative laparoscopic ultrasound guidance.术中腹腔镜超声引导下双侧腰大肌脓肿的腹膜后腔镜引流术
Asian J Endosc Surg. 2014 May;7(2):179-81. doi: 10.1111/ases.12091.
3
Retroperitoneoscopic drainage of a psoas abscess.腰大肌脓肿的后腹腔镜引流术
J Pediatr Surg. 2004 Sep;39(9):e4-5. doi: 10.1016/j.jpedsurg.2004.05.033.
4
Laparoscopic drainage of bilateral tuberculous psoas abscesses.双侧结核性腰大肌脓肿的腹腔镜引流术
Surg Laparosc Endosc Percutan Tech. 2005 Dec;15(6):380-2. doi: 10.1097/01.sle.0000191590.92108.c4.
5
Laparoscopic drainage of a recurrent psoas abscess.复发性腰大肌脓肿的腹腔镜引流术。
Ann Ital Chir. 2014 Mar 28;85(ePub):S2239253X14021847.
6
[CT-guided percutaneous drainage in the management of psoas abscesses].[CT引导下经皮引流术治疗腰大肌脓肿]
Orv Hetil. 1994 Nov 20;135(47):2597-602.
7
Computed tomography-guided percutaneous catheter drainage of primary and secondary iliopsoas abscesses.计算机断层扫描引导下经皮导管引流原发性和继发性髂腰肌脓肿
Clin Radiol. 2003 Oct;58(10):811-5. doi: 10.1016/s0009-9260(03)00274-5.
8
Percutaneous drainage of iliopsoas abscess: an effective option in cases not suitable for surgery.经皮引流髂腰肌脓肿:不适于手术病例的有效选择。
Einstein (Sao Paulo). 2018 Sep 21;16(3):eRC4254. doi: 10.1590/S1679-45082018RC4254.
9
Minimally invasive surgery for paravertebral or psoas abscess with spinal tuberculosis - a long-term retrospective study of 106 cases.经皮微创置管引流术治疗脊柱结核椎旁或腰大肌脓肿:一项 106 例的长期回顾性研究
BMC Musculoskelet Disord. 2020 Jun 6;21(1):353. doi: 10.1186/s12891-020-03344-9.
10
Psoas abscess in pregnancy: a review of the literature and suggestion of minimally invasive treatment options.妊娠合并腰大肌脓肿:文献回顾与微创治疗方案建议。
Arch Gynecol Obstet. 2024 Mar;309(3):987-992. doi: 10.1007/s00404-023-06970-5. Epub 2023 Feb 25.

引用本文的文献

1
Silent Shadows: Unveiling the Psoas Abscess and Its Treatment.隐匿的阴影:揭开腰大肌脓肿及其治疗的面纱。
Cureus. 2024 Oct 21;16(10):e71993. doi: 10.7759/cureus.71993. eCollection 2024 Oct.
2
Catheter-Directed Retrieval of an Infected Fragment in a Vietnam War Veteran.越南战争退伍军人感染碎片的导管引导取出术
Fed Pract. 2022 Sep;39(9):372-375. doi: 10.12788/fp.0312. Epub 2022 Sep 13.
3
Ultrasound-Guided Percutaneous Drainage of Iliopsoas Abscess With Septicemia in an Adolescent: A Case Report and Literature Review.超声引导下经皮穿刺引流青少年髂腰肌脓肿伴败血症:一例报告及文献复习

本文引用的文献

1
Epidemiology of and risk factors for iliopsoas abscess in a large community-based study.一项基于大型社区研究的髂腰肌脓肿流行病学及危险因素
Am J Emerg Med. 2019 Jan;37(1):158-159. doi: 10.1016/j.ajem.2018.05.021. Epub 2018 May 18.
2
An easily overlooked presentation of malignant psoas abscess: hip pain.恶性腰大肌脓肿一种容易被忽视的表现:髋关节疼痛。
Case Rep Orthop. 2015;2015:410872. doi: 10.1155/2015/410872. Epub 2015 Jan 22.
3
Retroperitoneoscopic drainage of bilateral psoas abscesses.
Front Surg. 2022 Jun 27;9:871292. doi: 10.3389/fsurg.2022.871292. eCollection 2022.
Asian J Endosc Surg. 2014 Nov;7(4):345. doi: 10.1111/ases.12117.
4
Laparoscopic drainage of a recurrent psoas abscess.复发性腰大肌脓肿的腹腔镜引流术。
Ann Ital Chir. 2014 Mar 28;85(ePub):S2239253X14021847.
5
Iliopsoas abscess--a review and update on the literature.髂腰肌脓肿——文献回顾与更新。
Int J Surg. 2012;10(9):466-9. doi: 10.1016/j.ijsu.2012.08.016. Epub 2012 Sep 5.
6
Retroperitoneoscopic drainage of complicated psoas abscesses in patients with tuberculous lumbar spondylitis.经腹膜后镜引流术治疗结核性腰椎脊柱炎合并复杂腰大肌脓肿。
Eur Spine J. 2012 Mar;21(3):470-3. doi: 10.1007/s00586-011-2049-2. Epub 2011 Oct 21.
7
Management and treatment of iliopsoas abscess.髂腰肌脓肿的管理与治疗
Arch Surg. 2009 Oct;144(10):946-9. doi: 10.1001/archsurg.2009.144.
8
Microbiology and outcome of iliopsoas abscess in 124 patients.124例髂腰肌脓肿的微生物学及转归
Medicine (Baltimore). 2009 Mar;88(2):120-130. doi: 10.1097/MD.0b013e31819d2748.
9
Psoas abscess rarely requires surgical intervention.腰大肌脓肿很少需要手术干预。
Am J Surg. 2008 Aug;196(2):223-7. doi: 10.1016/j.amjsurg.2007.07.032. Epub 2008 May 7.
10
Laparoscopic drainage of bilateral tuberculous psoas abscesses.双侧结核性腰大肌脓肿的腹腔镜引流术
Surg Laparosc Endosc Percutan Tech. 2005 Dec;15(6):380-2. doi: 10.1097/01.sle.0000191590.92108.c4.