• 文献检索
  • 文档翻译
  • 深度研究
  • 学术资讯
  • Suppr Zotero 插件Zotero 插件
  • 邀请有礼
  • 套餐&价格
  • 历史记录
应用&插件
Suppr Zotero 插件Zotero 插件浏览器插件Mac 客户端Windows 客户端微信小程序
定价
高级版会员购买积分包购买API积分包
服务
文献检索文档翻译深度研究API 文档MCP 服务
关于我们
关于 Suppr公司介绍联系我们用户协议隐私条款
关注我们

Suppr 超能文献

核心技术专利:CN118964589B侵权必究
粤ICP备2023148730 号-1Suppr @ 2026

文献检索

告别复杂PubMed语法,用中文像聊天一样搜索,搜遍4000万医学文献。AI智能推荐,让科研检索更轻松。

立即免费搜索

文件翻译

保留排版,准确专业,支持PDF/Word/PPT等文件格式,支持 12+语言互译。

免费翻译文档

深度研究

AI帮你快速写综述,25分钟生成高质量综述,智能提取关键信息,辅助科研写作。

立即免费体验

采用非增强和对比增强CT纹理分析识别表现为磨玻璃密度结节的肺腺癌:一项回顾性分析。

Pulmonary adenocarcinoma appearing as ground-glass opacity nodules identified using non-enhanced and contrast-enhanced CT texture analysis: A retrospective analysis.

作者信息

Ye Jing, Ling Jun, Lv Yan, Chen Juan, Cai Junhui, Chen Mingxiang

机构信息

Department of Medical Imaging, Yangzhou University Clinical College Subei People's Hospital, Yangzhou, Jiangsu 225002, P.R. China.

出版信息

Exp Ther Med. 2020 Apr;19(4):2483-2490. doi: 10.3892/etm.2020.8511. Epub 2020 Feb 10.

DOI:10.3892/etm.2020.8511
PMID:32256725
原文链接:https://pmc.ncbi.nlm.nih.gov/articles/PMC7086215/
Abstract

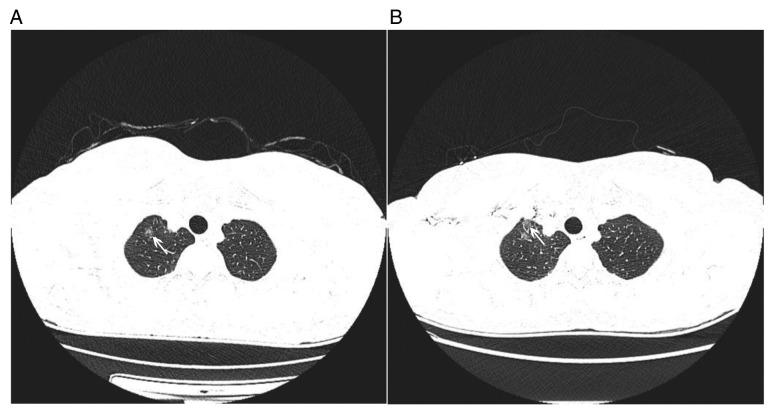
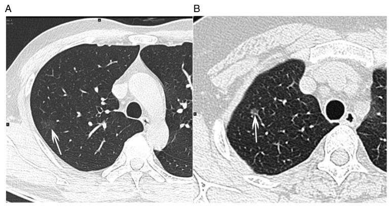
The present study aimed to investigate the ability of CT-based texture analysis to differentiate invasive adenocarcinoma (IA) from pre-invasive lesions (PIL) or minimally IA (MIA) appearing as ground-glass opacity (GGO) nodules, and to further compare the performance of non-enhanced CT (NECT) images with that of contrast-enhanced CT (CECT) images. A total of 77 patients with GGO nodules and surgically confirmed pulmonary adenocarcinoma were included in the present retrospective study. Each GGO nodule was manually segmented and its texture features were extracted from NECT and CECT images using in-house developed software coded in MATLAB (MathWorks). The independent-samples ttest was used to select the texture features with statistically significant differences between IA and MIA/PIL. Multivariate logistic regression and receiver operating characteristics (ROC) curve analyses were performed to identify predictive features. Of the 77 GGO nodules, 12 were atypical adenomatous hyperplasia or adenocarcinoma (15.6%), 36 were MIA (46.8%) and 29 were IA (37.7%). IA and MIA/PIL exhibited significant differences in most histogram features and gray-level co-occurrence matrix features (P<0.05). Multivariate logistic regression and ROC curve analyses revealed that smaller energy and higher entropy were significant differentiators of IA from MIA and PIL, irrespective of whether NECT images [area under the curve (AUC): 0.839, 0.859] or CECT images (AUC: 0.818, 0.820) are used. Texture analysis of CT images, regardless of whether NECT or CECT is used, has the potential to distinguish IA from PIL or MIA, particularly the parameters of energy and entropy. Furthermore, NECT images were simpler to obtain and no contrast agent was required; thus, analysis with NECT may be a preferred choice.

摘要

本研究旨在探讨基于CT的纹理分析区分表现为磨玻璃密度(GGO)结节的浸润性腺癌(IA)与癌前病变(PIL)或微浸润性腺癌(MIA)的能力,并进一步比较平扫CT(NECT)图像与增强CT(CECT)图像的性能。本项回顾性研究共纳入77例有GGO结节且经手术证实为肺腺癌的患者。每个GGO结节均进行手动分割,并使用在MATLAB(MathWorks)中编写的内部开发软件从NECT和CECT图像中提取其纹理特征。采用独立样本t检验选择IA与MIA/PIL之间具有统计学显著差异的纹理特征。进行多变量逻辑回归和受试者操作特征(ROC)曲线分析以识别预测特征。在77个GGO结节中,12个为非典型腺瘤样增生或腺癌(15.6%),36个为MIA(46.8%),29个为IA(37.7%)。IA与MIA/PIL在大多数直方图特征和灰度共生矩阵特征方面存在显著差异(P<0.05)。多变量逻辑回归和ROC曲线分析显示,无论使用NECT图像[曲线下面积(AUC):0.839,0.859]还是CECT图像(AUC:0.818,0.820),较小的能量和较高的熵都是IA与MIA和PIL的显著区分因素。CT图像的纹理分析,无论使用NECT还是CECT,都有可能区分IA与PIL或MIA,特别是能量和熵参数。此外,NECT图像获取更简单且无需使用造影剂;因此,使用NECT进行分析可能是首选。

https://cdn.ncbi.nlm.nih.gov/pmc/blobs/7e48/7086215/1b083396229b/etm-19-04-2483-g02.jpg
https://cdn.ncbi.nlm.nih.gov/pmc/blobs/7e48/7086215/c95d74d5fa3a/etm-19-04-2483-g00.jpg
https://cdn.ncbi.nlm.nih.gov/pmc/blobs/7e48/7086215/1a4deb84662b/etm-19-04-2483-g01.jpg
https://cdn.ncbi.nlm.nih.gov/pmc/blobs/7e48/7086215/1b083396229b/etm-19-04-2483-g02.jpg
https://cdn.ncbi.nlm.nih.gov/pmc/blobs/7e48/7086215/c95d74d5fa3a/etm-19-04-2483-g00.jpg
https://cdn.ncbi.nlm.nih.gov/pmc/blobs/7e48/7086215/1a4deb84662b/etm-19-04-2483-g01.jpg
https://cdn.ncbi.nlm.nih.gov/pmc/blobs/7e48/7086215/1b083396229b/etm-19-04-2483-g02.jpg

相似文献

1
Pulmonary adenocarcinoma appearing as ground-glass opacity nodules identified using non-enhanced and contrast-enhanced CT texture analysis: A retrospective analysis.采用非增强和对比增强CT纹理分析识别表现为磨玻璃密度结节的肺腺癌:一项回顾性分析。
Exp Ther Med. 2020 Apr;19(4):2483-2490. doi: 10.3892/etm.2020.8511. Epub 2020 Feb 10.
2
Value of TSCT Features for Differentiating Preinvasive and Minimally Invasive Adenocarcinoma From Invasive Adenocarcinoma Presenting as Subsolid Nodules Smaller Than 3 cm.TSCT 特征在区分直径小于 3cm 的表现为亚实性结节的浸润前腺癌和微浸润性腺癌与浸润性腺癌中的价值。
Acad Radiol. 2020 Mar;27(3):395-403. doi: 10.1016/j.acra.2019.05.005. Epub 2019 Jun 11.
3
Can texture features improve the differentiation of infiltrative lung adenocarcinoma appearing as ground glass nodules in contrast-enhanced CT?在增强 CT 上呈磨玻璃结节样表现的浸润性肺腺癌,纹理特征能否改善其鉴别诊断?
Eur J Radiol. 2019 Aug;117:126-131. doi: 10.1016/j.ejrad.2019.06.010. Epub 2019 Jun 12.
4
HRCT texture analysis for pure or part-solid ground-glass nodules: distinguishability of adenocarcinoma in situ or minimally invasive adenocarcinoma from invasive adenocarcinoma.纯磨玻璃结节或部分实性磨玻璃结节的HRCT纹理分析:原位腺癌或微浸润腺癌与浸润性腺癌的鉴别
Jpn J Radiol. 2018 Feb;36(2):113-121. doi: 10.1007/s11604-017-0711-2. Epub 2017 Dec 22.
5
Whole-Lesion Computed Tomography-Based Entropy Parameters for the Differentiation of Minimally Invasive and Invasive Adenocarcinomas Appearing as Pulmonary Subsolid Nodules.基于全病灶计算机断层扫描的熵参数在鉴别表现为肺磨玻璃结节的微浸润性腺癌和浸润性腺癌中的应用
J Comput Assist Tomogr. 2019 Sep/Oct;43(5):817-824. doi: 10.1097/RCT.0000000000000889.
6
Computer-aided diagnosis of ground-glass opacity pulmonary nodules using radiomic features analysis.基于放射组学特征分析的磨玻璃密度肺结节计算机辅助诊断
Phys Med Biol. 2019 Jul 5;64(13):135015. doi: 10.1088/1361-6560/ab2757.
7
Artificial intelligence system-based histogram analysis of computed tomography features to predict tumor invasiveness of ground-glass nodules.基于人工智能系统的计算机断层扫描特征直方图分析以预测磨玻璃结节的肿瘤侵袭性
Quant Imaging Med Surg. 2023 Sep 1;13(9):5783-5795. doi: 10.21037/qims-23-31. Epub 2023 Jul 31.
8
Incremental value of contrast enhanced computed tomography on diagnostic accuracy in evaluation of small pulmonary ground glass nodules.对比增强计算机断层扫描在评估小肺磨玻璃结节诊断准确性方面的增量价值。
J Thorac Dis. 2015 Sep;7(9):1606-15. doi: 10.3978/j.issn.2072-1439.2015.09.37.
9
CT Texture Analysis for Differentiating Bronchiolar Adenoma, Adenocarcinoma , and Minimally Invasive Adenocarcinoma of the Lung.CT纹理分析在鉴别细支气管腺瘤、腺癌及肺微浸润腺癌中的应用
Front Oncol. 2021 Apr 26;11:634564. doi: 10.3389/fonc.2021.634564. eCollection 2021.
10
A Comparative Texture Analysis Based on NECT and CECT Images to Differentiate Lung Adenocarcinoma from Squamous Cell Carcinoma.基于NECT 和 CECT 图像的对比纹理分析鉴别肺腺癌与鳞状细胞癌。
J Med Syst. 2019 Feb 1;43(3):59. doi: 10.1007/s10916-019-1175-y.

引用本文的文献

1
A nomogram based on CT texture features to predict the response of patients with advanced pancreatic cancer treated with chemotherapy.基于 CT 纹理特征的列线图预测接受化疗的晚期胰腺癌患者的反应。
BMC Gastroenterol. 2023 Aug 10;23(1):274. doi: 10.1186/s12876-023-02902-4.

本文引用的文献

1
Radiomic analysis of pulmonary ground-glass opacity nodules for distinction of preinvasive lesions, invasive pulmonary adenocarcinoma and minimally invasive adenocarcinoma based on quantitative texture analysis of CT.基于CT定量纹理分析的肺磨玻璃结节的放射组学分析,以区分浸润前病变、浸润性肺腺癌和微浸润腺癌
Chin J Cancer Res. 2018 Aug;30(4):415-424. doi: 10.21147/j.issn.1000-9604.2018.04.04.
2
Tumor heterogeneity assessed by texture analysis on contrast-enhanced CT in lung adenocarcinoma: association with pathologic grade.通过对比增强CT纹理分析评估肺腺癌的肿瘤异质性:与病理分级的关联
Oncotarget. 2017 Feb 16;8(32):53664-53674. doi: 10.18632/oncotarget.15399. eCollection 2017 Aug 8.
3
Assessment of Heterogeneity Difference Between Edge and Core by Using Texture Analysis: Differentiation of Malignant From Inflammatory Pulmonary Nodules and Masses.
利用纹理分析评估边缘与核心之间的异质性差异:鉴别恶性与炎性肺结节及肿块。
Acad Radiol. 2016 Sep;23(9):1115-22. doi: 10.1016/j.acra.2016.04.009. Epub 2016 Jun 11.
4
Computerized texture analysis of persistent part-solid ground-glass nodules: differentiation of preinvasive lesions from invasive pulmonary adenocarcinomas.计算机化的实性成分持续存在的磨玻璃结节纹理分析:从浸润性肺腺癌中鉴别出癌前病变。
Radiology. 2014 Oct;273(1):285-93. doi: 10.1148/radiol.14132187. Epub 2014 Aug 1.
5
Quantitative CT analysis of pulmonary ground-glass opacity nodules for the distinction of invasive adenocarcinoma from pre-invasive or minimally invasive adenocarcinoma.用于区分浸润性腺癌与浸润前或微浸润性腺癌的肺磨玻璃密度结节的定量CT分析
PLoS One. 2014 Aug 7;9(8):e104066. doi: 10.1371/journal.pone.0104066. eCollection 2014.
6
Entropy of T2-weighted imaging combined with apparent diffusion coefficient in prediction of uterine leiomyoma volume response after uterine artery embolization.T2加权成像熵联合表观扩散系数预测子宫动脉栓塞术后子宫平滑肌瘤体积反应
Acad Radiol. 2014 Apr;21(4):437-44. doi: 10.1016/j.acra.2013.12.007.
7
Usefulness of texture analysis in differentiating transient from persistent part-solid nodules(PSNs): a retrospective study.纹理分析在区分一过性与持续性部分实性结节(PSNs)中的作用:一项回顾性研究。
PLoS One. 2014 Jan 8;9(1):e85167. doi: 10.1371/journal.pone.0085167. eCollection 2014.
8
Why do pathological stage IA lung adenocarcinomas vary from prognosis?: a clinicopathologic study of 176 patients with pathological stage IA lung adenocarcinoma based on the IASLC/ATS/ERS classification.为什么病理分期 IA 期肺腺癌的预后不同?:一项基于 IASLC/ATS/ERS 分类的 176 例病理分期 IA 期肺腺癌的临床病理研究。
J Thorac Oncol. 2013 Sep;8(9):1196-202. doi: 10.1097/JTO.0b013e31829f09a7.
9
Texture analysis of advanced non-small cell lung cancer (NSCLC) on contrast-enhanced computed tomography: prediction of the response to the first-line chemotherapy.对比增强 CT 下晚期非小细胞肺癌(NSCLC)的纹理分析:预测一线化疗的反应。
Eur Radiol. 2013 Dec;23(12):3450-5. doi: 10.1007/s00330-013-2965-0. Epub 2013 Jul 9.
10
Persistent pure ground-glass opacity lung nodules ≥ 10 mm in diameter at CT scan: histopathologic comparisons and prognostic implications.CT 扫描直径≥10mm 的持续性纯磨玻璃密度肺结节:组织病理学比较和预后意义。
Chest. 2013 Oct;144(4):1291-1299. doi: 10.1378/chest.12-2987.