• 文献检索
  • 文档翻译
  • 深度研究
  • 学术资讯
  • Suppr Zotero 插件Zotero 插件
  • 邀请有礼
  • 套餐&价格
  • 历史记录
应用&插件
Suppr Zotero 插件Zotero 插件浏览器插件Mac 客户端Windows 客户端微信小程序
定价
高级版会员购买积分包购买API积分包
服务
文献检索文档翻译深度研究API 文档MCP 服务
关于我们
关于 Suppr公司介绍联系我们用户协议隐私条款
关注我们

Suppr 超能文献

核心技术专利:CN118964589B侵权必究
粤ICP备2023148730 号-1Suppr @ 2026

文献检索

告别复杂PubMed语法,用中文像聊天一样搜索,搜遍4000万医学文献。AI智能推荐,让科研检索更轻松。

立即免费搜索

文件翻译

保留排版,准确专业,支持PDF/Word/PPT等文件格式,支持 12+语言互译。

免费翻译文档

深度研究

AI帮你快速写综述,25分钟生成高质量综述,智能提取关键信息,辅助科研写作。

立即免费体验

口服舒必利可促进布朗-挪威大鼠前列腺的增殖。

Oral exposure of sulpiride promotes the proliferation of Brown-Norway rat prostates.

作者信息

Zheng Chengcheng, Luo Yongwei, Chen Ying, Chen Dingshi, Shao Congcong, Huang Dongyan, Zhu Jing, Mao Xiaoyan, Li Lei, Sun Zuyue

机构信息

School of Pharmacy, Fudan University, Shanghai 200433, P.R. China.

National Evaluation Centre for The Toxicology of Fertility Regulating Drugs, Shanghai Institute of Planned Parenthood Research, Shanghai 200032, P.R. China.

出版信息

Exp Ther Med. 2020 Apr;19(4):2551-2562. doi: 10.3892/etm.2020.8521. Epub 2020 Feb 11.

DOI:10.3892/etm.2020.8521
PMID:32256734
原文链接:https://pmc.ncbi.nlm.nih.gov/articles/PMC7086227/
Abstract

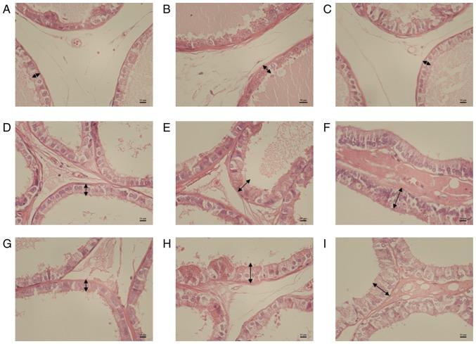
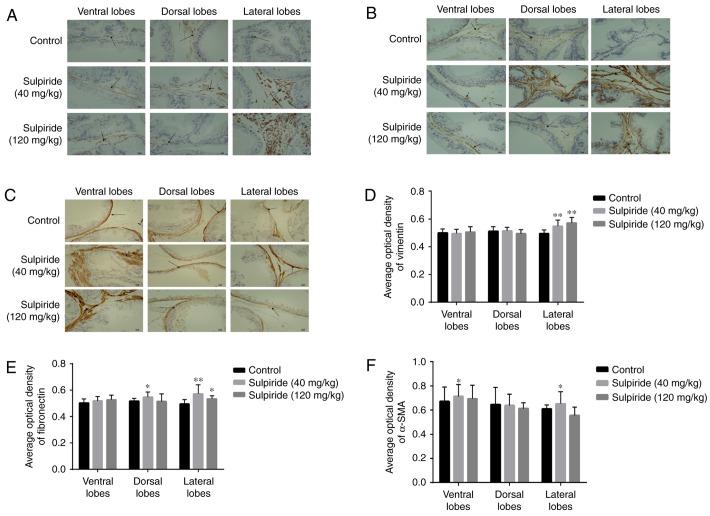
The aim of the present study was to establish an animal model of prostatic hyperplasia to explore the mechanisms of this disease. Sulpiride, a specific type 2 dopamine receptor antagonist, causes prostate toxicity by stimulating prolactin (PRL) production. Male Brown-Norway (BN) rats were treated intragastrically (i.g.) with sulpiride (40 and 120 mg/kg daily) and vehicle (i.g., daily) for 4 weeks. The results demonstrated that sulpiride-treatment resulted in increased prostate size, prostate lobe weight, epithelial height and acinar luminal area. Furthermore, prostate lobe weight, epithelial height and acinar luminal area of lateral lobes (LP) significantly increased. These effects were dose dependent. Sulpiride treatment increased serum PRL, follicle-stimulating hormone and testosterone levels, while serum luteinizing hormone levels were reduced. Immunohistochemical analysis revealed that proliferating cell nuclear antigen and B-cell lymphoma-2 were significantly increased in certain sulpiride treated groups. Furthermore, estrogen receptor (ER)-α and androgen receptors were upregulated, while ERβ was downregulated in LP. The expression of stromal cell biomarkers, including vimentin, fibronectin and α-smooth muscle actin were significantly increased in LP following 40 mg/kg sulpiride administration. These results suggest that sulpiride causes LP hyperplasia in BN rats by promoting proliferation and inhibiting prostate cell apoptosis via ERα and AR signaling.

摘要

本研究的目的是建立前列腺增生动物模型,以探索该疾病的发病机制。舒必利是一种特异性2型多巴胺受体拮抗剂,通过刺激催乳素(PRL)分泌导致前列腺毒性。将雄性布朗-挪威(BN)大鼠分别用舒必利(每日40和120 mg/kg)和赋形剂(每日灌胃)处理4周。结果表明,舒必利处理导致前列腺体积、前列腺叶重量、上皮高度和腺泡腔面积增加。此外,外侧叶(LP)的前列腺叶重量、上皮高度和腺泡腔面积显著增加。这些效应呈剂量依赖性。舒必利处理可提高血清PRL、促卵泡激素和睾酮水平,而血清黄体生成素水平降低。免疫组织化学分析显示,在某些舒必利处理组中,增殖细胞核抗原和B细胞淋巴瘤-2显著增加。此外,LP中雌激素受体(ER)-α和雄激素受体上调,而ERβ下调。给予40 mg/kg舒必利后,LP中包括波形蛋白、纤连蛋白和α-平滑肌肌动蛋白在内的基质细胞生物标志物表达显著增加。这些结果表明,舒必利通过ERα和AR信号通路促进增殖并抑制前列腺细胞凋亡,从而导致BN大鼠的LP增生。

https://cdn.ncbi.nlm.nih.gov/pmc/blobs/c819/7086227/2a68dffd06cc/etm-19-04-2551-g05.jpg
https://cdn.ncbi.nlm.nih.gov/pmc/blobs/c819/7086227/291abee4033d/etm-19-04-2551-g00.jpg
https://cdn.ncbi.nlm.nih.gov/pmc/blobs/c819/7086227/2b33880b28da/etm-19-04-2551-g01.jpg
https://cdn.ncbi.nlm.nih.gov/pmc/blobs/c819/7086227/e41e26ebd4e0/etm-19-04-2551-g02.jpg
https://cdn.ncbi.nlm.nih.gov/pmc/blobs/c819/7086227/7454cba9e245/etm-19-04-2551-g03.jpg
https://cdn.ncbi.nlm.nih.gov/pmc/blobs/c819/7086227/aa65f7c53e7b/etm-19-04-2551-g04.jpg
https://cdn.ncbi.nlm.nih.gov/pmc/blobs/c819/7086227/2a68dffd06cc/etm-19-04-2551-g05.jpg
https://cdn.ncbi.nlm.nih.gov/pmc/blobs/c819/7086227/291abee4033d/etm-19-04-2551-g00.jpg
https://cdn.ncbi.nlm.nih.gov/pmc/blobs/c819/7086227/2b33880b28da/etm-19-04-2551-g01.jpg
https://cdn.ncbi.nlm.nih.gov/pmc/blobs/c819/7086227/e41e26ebd4e0/etm-19-04-2551-g02.jpg
https://cdn.ncbi.nlm.nih.gov/pmc/blobs/c819/7086227/7454cba9e245/etm-19-04-2551-g03.jpg
https://cdn.ncbi.nlm.nih.gov/pmc/blobs/c819/7086227/aa65f7c53e7b/etm-19-04-2551-g04.jpg
https://cdn.ncbi.nlm.nih.gov/pmc/blobs/c819/7086227/2a68dffd06cc/etm-19-04-2551-g05.jpg

相似文献

1
Oral exposure of sulpiride promotes the proliferation of Brown-Norway rat prostates.口服舒必利可促进布朗-挪威大鼠前列腺的增殖。
Exp Ther Med. 2020 Apr;19(4):2551-2562. doi: 10.3892/etm.2020.8521. Epub 2020 Feb 11.
2
Increased androgen receptor expression correlates with development of age-dependent, lobe-specific spontaneous hyperplasia of the brown Norway rat prostate.雄激素受体表达增加与棕色挪威大鼠前列腺年龄依赖性、叶特异性自发性增生的发展相关。
Endocrinology. 2001 Sep;142(9):4066-75. doi: 10.1210/endo.142.9.8376.
3
Neonatal estrogen exposure induces lobe-specific alterations in adult rat prostate androgen receptor expression.新生儿期暴露于雌激素会诱导成年大鼠前列腺雄激素受体表达出现叶特异性改变。
Endocrinology. 1992 Jun;130(6):3703-14. doi: 10.1210/endo.130.6.1597166.
4
Neonatal estrogen exposure induces lobe-specific alterations in adult rat prostate androgen receptor expression.新生儿期暴露于雌激素会诱导成年大鼠前列腺雄激素受体表达出现叶特异性改变。
Endocrinology. 1992 Apr;130(4):2401-12. doi: 10.1210/endo.130.4.1547747.
5
Morphological and Biochemical Characteristics of Prostate Hyperplasia during Sulpiride Treatment.舒必利治疗前列腺增生的形态学和生化特征。
Bull Exp Biol Med. 2020 Feb;168(4):533-537. doi: 10.1007/s10517-020-04748-2. Epub 2020 Mar 9.
6
Which play a more important role in the development of large-sized prostates (≥80 ml), androgen receptors or oestrogen receptors? A comparative study.在大体积前列腺(≥80毫升)的发育过程中,雄激素受体还是雌激素受体发挥着更重要的作用?一项对比研究。
Int Urol Nephrol. 2016 Mar;48(3):325-33. doi: 10.1007/s11255-015-1181-z. Epub 2015 Dec 19.
7
Castration-induced apoptotic cell death in the Brown Norway rat prostate decreases as a function of age.阉割诱导的雄性挪威大鼠前列腺细胞凋亡随年龄增长而减少。
Endocrinology. 2000 Feb;141(2):821-32. doi: 10.1210/endo.141.2.7339.
8
Age-dependent and lobe-specific spontaneous hyperplasia in the brown Norway rat prostate.棕色挪威大鼠前列腺中年龄依赖性和叶特异性自发性增生。
Biol Reprod. 1998 Nov;59(5):1163-70. doi: 10.1095/biolreprod59.5.1163.
9
Cynomorium songaricum Rupr demonstrates phytoestrogenic or phytoandrogenic like activities that attenuates benign prostatic hyperplasia via regulating steroid 5-α-reductase.锁阳表现出类植物雌激素或类植物雄激素活性,通过调节类固醇 5-α-还原酶来减轻良性前列腺增生。
J Ethnopharmacol. 2019 May 10;235:65-74. doi: 10.1016/j.jep.2019.01.038. Epub 2019 Jan 29.
10
Effects of neonatal estrogen exposure on prostatic secretory genes and their correlation with androgen receptor expression in the separate prostate lobes of the adult rat.新生期雌激素暴露对成年大鼠各前列腺叶中前列腺分泌基因的影响及其与雄激素受体表达的相关性
Endocrinology. 1993 Jun;132(6):2387-98. doi: 10.1210/endo.132.6.8504743.

引用本文的文献

1
L. Extract Attenuated Benign Prostatic Hyperplasia in Rat Model: Effect on Oxidative Stress, Apoptosis, and Proliferation.L. 大鼠模型中提取的减毒良性前列腺增生:对氧化应激、细胞凋亡和增殖的影响
Antioxidants (Basel). 2022 Jun 11;11(6):1149. doi: 10.3390/antiox11061149.

本文引用的文献

1
Inhibition of lymphocyte proliferation: An ability shared by murine mesenchymal stem cells, dermal fibroblasts and chondrocytes.淋巴细胞增殖的抑制:小鼠间充质干细胞、真皮成纤维细胞和软骨细胞共有的一种能力。
Transpl Immunol. 2018 Apr;47:55-61. doi: 10.1016/j.trim.2018.02.008. Epub 2018 Feb 20.
2
Roles of autophagy in androgen-induced benign prostatic hyperplasia in castrated rats.自噬在去势大鼠雄激素诱导的良性前列腺增生中的作用。
Exp Ther Med. 2018 Mar;15(3):2703-2710. doi: 10.3892/etm.2018.5772. Epub 2018 Jan 19.
3
Oral exposure of low-dose bisphenol A promotes proliferation of dorsolateral prostate and induces epithelial-mesenchymal transition in aged rats.
低剂量双酚 A 的经口暴露促进老龄大鼠外侧前列腺的增殖,并诱导上皮-间充质转化。
Sci Rep. 2018 Jan 11;8(1):490. doi: 10.1038/s41598-017-18869-8.
4
Psychotropics and Male Reproduction.精神药物与男性生殖
Adv Exp Med Biol. 2017;1034:63-101. doi: 10.1007/978-3-319-69535-8_8.
5
Chrysin attenuates testosterone-induced benign prostate hyperplasia in rats.白杨素可减轻睾酮诱导的大鼠良性前列腺增生。
Food Chem Toxicol. 2018 Jan;111:650-659. doi: 10.1016/j.fct.2017.12.017. Epub 2017 Dec 14.
6
Estradiol promotes epithelial-to-mesenchymal transition in human benign prostatic epithelial cells.雌二醇促进人良性前列腺上皮细胞的上皮-间质转化。
Prostate. 2017 Oct;77(14):1424-1437. doi: 10.1002/pros.23404. Epub 2017 Aug 29.
7
The prevention of benign prostatic hyperplasia (bph).良性前列腺增生(BPH)的预防
Med Hypotheses. 2017 Mar;100:4-9. doi: 10.1016/j.mehy.2016.12.013. Epub 2016 Dec 29.
8
Methyl Jasmonate Ameliorates Testosterone Propionate-induced Prostatic Hyperplasia in Castrated Wistar Rats.茉莉酸甲酯可改善丙酸睾酮诱导的去势 Wistar 大鼠前列腺增生。
Phytother Res. 2017 Apr;31(4):647-656. doi: 10.1002/ptr.5778. Epub 2017 Feb 16.
9
Efficacy of switching therapy of luteinizing hormone-releasing hormone analogue for advanced prostate cancer.促黄体生成素释放激素类似物转换疗法治疗晚期前列腺癌的疗效
Kaohsiung J Med Sci. 2016 Nov;32(11):567-571. doi: 10.1016/j.kjms.2016.09.005. Epub 2016 Nov 4.
10
A comparative study on the efficacies of gonadotropin-releasing hormone (GnRH) agonist and GnRH antagonist in neoadjuvant androgen deprivation therapy combined with transperineal prostate brachytherapy for localized prostate cancer.促性腺激素释放激素(GnRH)激动剂与GnRH拮抗剂在新辅助雄激素剥夺疗法联合经会阴前列腺近距离放疗治疗局限性前列腺癌中的疗效比较研究。
BMC Cancer. 2016 Sep 1;16(1):708. doi: 10.1186/s12885-016-2737-8.