Agarwal Khushboo K, Douedi Steven, Alshami Abbas, DeJene Brook, Kayser Robert G
Department of Medicine, Jersey Shore University Medical Center, Neptune, NJ 07753, USA.
Department of Cardiothoracic Surgery, Jersey Shore University Medical Center, Neptune, NJ 07753, USA.
Cardiol Res. 2020 Apr;11(2):134-137. doi: 10.14740/cr1030. Epub 2020 Mar 10.
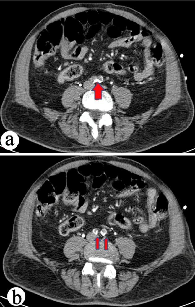
Left ventricular thrombus (LVT) is a well-known complication of myocardial infarction (MI) leading to significant morbidity and mortality. LVT can also lead to systemic thromboembolic events causing threatening limb ischemia. We report a rare case of critical bilateral limb ischemia that resulted from peripheral embolization of LVT post MI, which was managed successfully by emergent surgical intervention and anticoagulation. A 74-year-old male with a medical history of hypertension, diabetes, hyperlipidemia and coronary artery disease status post stenting of the left anterior descending and left circumflex arteries presented to the emergency department with typical chest pain and progressive shortness of breath. Cardiac troponin levels on admission were 35 ng/mL of blood. The patient subsequently underwent emergent cardiac catheterization which revealed significant triple vessel disease, and was referred for coronary artery bypass grafting (CABG) surgery. Transthoracic and transesophageal echocardiograms revealed the presence of an apical aneurysm with chronic organized mobile thrombus at the apex. Post CABG, the patient complained of excruciating right leg pain. Computed tomography (CT) angiogram of the abdominal aorta and lower extremities revealed a large embolus at the aortic bifurcation occluding the right and nearly occluding the left common iliac arteries and thrombus in the right popliteal artery. He underwent emergent vascular surgery with resolution of his symptoms and remained without further complications. The incidence of LVT remains high in post-MI patients, and complications of LVT are known to include thromboembolic events. Peripheral embolization of acute or chronic LVT leading to bilateral distal embolization and critical limb ischemia remains a rare occurrence. This case report aims to aid clinicians to recognize and promptly manage LVT and related arterial thromboembolic events with anticoagulation and emergent surgical intervention if limb ischemia develops.
左心室血栓(LVT)是心肌梗死(MI)的一种众所周知的并发症,可导致严重的发病率和死亡率。LVT还可导致全身血栓栓塞事件,引起威胁肢体的缺血。我们报告一例罕见的严重双侧肢体缺血病例,该病例由心肌梗死后LVT的外周栓塞引起,通过紧急手术干预和抗凝治疗成功处理。一名74岁男性,有高血压、糖尿病、高脂血症病史,左前降支和左旋支动脉支架置入术后冠心病,因典型胸痛和进行性气短就诊于急诊科。入院时心肌肌钙蛋白水平为每毫升血液35纳克。患者随后接受了紧急心脏导管检查,显示存在严重的三支血管病变,并被转诊进行冠状动脉旁路移植术(CABG)。经胸和经食管超声心动图显示心尖部有一个室壁瘤,心尖部有慢性机化的活动血栓。CABG术后,患者抱怨右腿剧痛。腹主动脉和下肢的计算机断层扫描(CT)血管造影显示主动脉分叉处有一个大栓子,阻塞了右侧并几乎阻塞了左侧髂总动脉,右侧腘动脉有血栓。他接受了紧急血管手术,症状得到缓解,且未再出现进一步并发症。心肌梗死后患者中LVT的发生率仍然很高,已知LVT的并发症包括血栓栓塞事件。急性或慢性LVT的外周栓塞导致双侧远端栓塞和严重肢体缺血仍然很少见。本病例报告旨在帮助临床医生认识并及时处理LVT以及相关的动脉血栓栓塞事件,若发生肢体缺血则采用抗凝和紧急手术干预。