• 文献检索
  • 文档翻译
  • 深度研究
  • 学术资讯
  • Suppr Zotero 插件Zotero 插件
  • 邀请有礼
  • 套餐&价格
  • 历史记录
应用&插件
Suppr Zotero 插件Zotero 插件浏览器插件Mac 客户端Windows 客户端微信小程序
定价
高级版会员购买积分包购买API积分包
服务
文献检索文档翻译深度研究API 文档MCP 服务
关于我们
关于 Suppr公司介绍联系我们用户协议隐私条款
关注我们

Suppr 超能文献

核心技术专利:CN118964589B侵权必究
粤ICP备2023148730 号-1Suppr @ 2026

文献检索

告别复杂PubMed语法,用中文像聊天一样搜索,搜遍4000万医学文献。AI智能推荐,让科研检索更轻松。

立即免费搜索

文件翻译

保留排版,准确专业,支持PDF/Word/PPT等文件格式,支持 12+语言互译。

免费翻译文档

深度研究

AI帮你快速写综述,25分钟生成高质量综述,智能提取关键信息,辅助科研写作。

立即免费体验

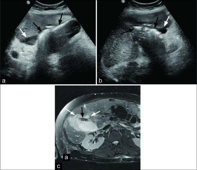
经皮胆囊造瘘术治疗气肿性胆囊炎的安全性和有效性

Safety and Efficacy of Percutaneous Cholecystostomy for Emphysematous Cholecystitis.

作者信息

Imanzadeh Amir, Kokabi Nima, Pourjabbar Sarvenaz, Latich Igor, Pollak Jeffrey, Kim Hyun, Gunabushanam Gowthaman

机构信息

Department of Radiology and Biomedical Imaging, Yale University School of Medicine, New Haven, Connecticut.

Department of Interventional Radiology, Emory University Hospital Midtown, Atlanta, Georgia.

出版信息

J Clin Imaging Sci. 2020 Mar 27;10:9. doi: 10.25259/JCIS_145_2019. eCollection 2020.

DOI:10.25259/JCIS_145_2019
PMID:32257585
原文链接:https://pmc.ncbi.nlm.nih.gov/articles/PMC7110106/
Abstract

OBJECTIVE

The objective of the study was to evaluate the safety and efficacy of percutaneous cholecystostomy (PC) in treating critically ill patients with emphysematous cholecystitis who were deemed poor surgical candidates.

MATERIALS AND METHODS

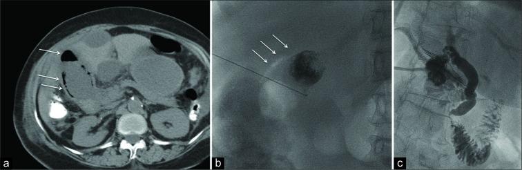
The Institutional Review Board exemption was obtained for this retrospective study. Patients with emphysematous cholecystitis who were deemed to be poor operative candidates by the treating surgeon and underwent PC placement between May 2008 and April 2017 at a single institution were identified through a medical records search. Demographics, laboratory values, imaging data, procedural technique, complications, hospitalization course, clinical outcome, and survival data were obtained.

RESULTS

Ten consecutive patients were included, with a mean age of 75.0 ± 12.2 years, including six men and four women. The most common comorbidity was diabetes (60%, 6/10) followed by hypertension (40%, 4/10). Intraluminal or intramural gas as well as gallbladder wall thickening were noted in all patients. Procedure technical success rate was 100%. There was a complete resolution of symptoms in 90% (9/10) of patients at a mean of 2.9 ± 1.4 days post-procedure. Thirty-day survival rate was 90% (9/10); one patient died on the 6 post- procedure day from sepsis. Two more deaths occurred within a year after PC from unrelated causes. About 50% (5/10) of patients underwent elective cholecystectomy at a median interval of 69 days post-procedure. In 40% (4/10) of patients, cholecystostomy was the definitive treatment, with tube removal at a median of 140 days post- procedure.

CONCLUSION

PC appears to be a safe and generally effective alternative management option in patients with emphysematous cholecystitis that is considered very high risk for surgery.

摘要

目的

本研究的目的是评估经皮胆囊造瘘术(PC)在治疗被认为手术风险高的重症气肿性胆囊炎患者中的安全性和有效性。

材料与方法

本回顾性研究获得了机构审查委员会的豁免。通过病历检索,确定了2008年5月至2017年4月在单一机构接受治疗的外科医生认为手术风险高且接受了PC置管的气肿性胆囊炎患者。收集了人口统计学、实验室检查值、影像学数据、手术技术、并发症、住院过程、临床结局和生存数据。

结果

连续纳入10例患者,平均年龄75.0±12.2岁,其中男性6例,女性4例。最常见的合并症是糖尿病(60%,6/10),其次是高血压(40%,4/10)。所有患者均观察到腔内或壁内气体以及胆囊壁增厚。手术技术成功率为100%。90%(9/10)的患者在术后平均2.9±1.4天症状完全缓解。30天生存率为90%(9/10);1例患者在术后第6天死于败血症。PC术后一年内又有2例患者因无关原因死亡。约50%(5/10)的患者在术后中位间隔69天接受了择期胆囊切除术。40%(4/10)的患者中,胆囊造瘘术是最终治疗方法,术后中位140天拔除引流管。

结论

对于被认为手术风险非常高的气肿性胆囊炎患者,PC似乎是一种安全且总体有效的替代治疗选择。

https://cdn.ncbi.nlm.nih.gov/pmc/blobs/190e/7110106/7842e56bbbdd/JCIS-10-9-g003.jpg
https://cdn.ncbi.nlm.nih.gov/pmc/blobs/190e/7110106/c0606173ca25/JCIS-10-9-g001.jpg
https://cdn.ncbi.nlm.nih.gov/pmc/blobs/190e/7110106/5ef49d04e86f/JCIS-10-9-g002.jpg
https://cdn.ncbi.nlm.nih.gov/pmc/blobs/190e/7110106/7842e56bbbdd/JCIS-10-9-g003.jpg
https://cdn.ncbi.nlm.nih.gov/pmc/blobs/190e/7110106/c0606173ca25/JCIS-10-9-g001.jpg
https://cdn.ncbi.nlm.nih.gov/pmc/blobs/190e/7110106/5ef49d04e86f/JCIS-10-9-g002.jpg
https://cdn.ncbi.nlm.nih.gov/pmc/blobs/190e/7110106/7842e56bbbdd/JCIS-10-9-g003.jpg

相似文献

1
Safety and Efficacy of Percutaneous Cholecystostomy for Emphysematous Cholecystitis.经皮胆囊造瘘术治疗气肿性胆囊炎的安全性和有效性
J Clin Imaging Sci. 2020 Mar 27;10:9. doi: 10.25259/JCIS_145_2019. eCollection 2020.
2
Bedside Ultrasound-Guided Percutaneous Cholecystostomy in Critically Ill Patients-Outcomes in 51 Patients.危重症患者床边超声引导下经皮胆囊造瘘术——51例患者的结局
Indian J Radiol Imaging. 2023 Dec 28;34(2):262-268. doi: 10.1055/s-0043-1777744. eCollection 2024 Apr.
3
Percutaneous Cholecystostomy Placement in Cases of Non-operative Cholecystitis: A Retrospective Cohort Analysis.经皮胆囊造口术在非手术性胆囊炎中的应用:一项回顾性队列分析。
World J Surg. 2020 Dec;44(12):4077-4085. doi: 10.1007/s00268-020-05752-3. Epub 2020 Aug 28.
4
Clinical and operative outcomes of patients with acute cholecystitis who are treated initially with image-guided cholecystostomy.初始接受影像引导下胆囊造瘘术治疗的急性胆囊炎患者的临床及手术结局
Can J Surg. 2018 Jun;61(3):195-199. doi: 10.1503/cjs.003517.
5
Percutaneous cholecystostomy as an alternative to cholecystectomy in high risk patients with biliary sepsis: a district general hospital experience.经皮胆囊造瘘术作为高危胆源性脓毒症患者胆囊切除术的替代方法:一家地区综合医院的经验
Ann R Coll Surg Engl. 2012 Mar;94(2):99-101. doi: 10.1308/003588412X13171221501302.
6
Percutaneous Cholecystostomy in Severe Acute Cholecystitis: An Observational Study From a Single Institute.重症急性胆囊炎的经皮胆囊造瘘术:来自单一机构的观察性研究
Cureus. 2023 Feb 2;15(2):e34539. doi: 10.7759/cureus.34539. eCollection 2023 Feb.
7
Can percutaneous cholecystostomy be a definitive management for acute cholecystitis in high-risk patients?经皮胆囊造瘘术能否作为高危患者急性胆囊炎的确定性治疗方法?
Surg Laparosc Endosc Percutan Tech. 2014 Apr;24(2):187-91. doi: 10.1097/SLE.0b013e31828fa45e.
8
Treatment of acute cholecystitis in non-critically ill patients at high surgical risk: comparison of clinical outcomes after gallbladder aspiration and after percutaneous cholecystostomy.高手术风险非危重症患者急性胆囊炎的治疗:胆囊穿刺抽吸术与经皮胆囊造瘘术后临床结局比较
AJR Am J Roentgenol. 2001 Apr;176(4):1025-31. doi: 10.2214/ajr.176.4.1761025.
9
Management of acute cholecystitis in critically ill patients: contemporary role for cholecystostomy and subsequent cholecystectomy.危重症患者急性胆囊炎的管理:胆囊造瘘术及后续胆囊切除术的当代作用
Am Surg. 2010 Jul;76(7):708-12. doi: 10.1177/000313481007600724.
10
Percutaneous cholecystostomy for the treatment of acute cholecystitis in the critically ill and elderly.经皮胆囊造瘘术治疗危重症及老年患者的急性胆囊炎
Hong Kong Med J. 2004 Dec;10(6):389-93.

本文引用的文献

1
Percutaneous Cholecystostomy: Long-Term Outcomes in 324 Patients.经皮胆囊造瘘术:324例患者的长期预后
Cardiovasc Intervent Radiol. 2018 Jun;41(6):928-934. doi: 10.1007/s00270-018-1884-5. Epub 2018 Jan 29.
2
Expanding role of percutaneous cholecystostomy and interventional radiology for the management of acute cholecystitis: An analysis of 144 patients.经皮胆囊造口术和介入放射学在急性胆囊炎治疗中的作用不断扩大:144 例患者分析。
Diagn Interv Imaging. 2018 Jan;99(1):15-21. doi: 10.1016/j.diii.2017.04.006. Epub 2017 May 12.
3
Outcomes of percutaneous cholecystostomy and predictors of eventual cholecystectomy.
经皮胆囊造瘘术的结局及最终胆囊切除术的预测因素。
J Hepatobiliary Pancreat Sci. 2016 Jan;23(1):65-73. doi: 10.1002/jhbp.304. Epub 2015 Dec 10.
4
Percutaneous cholecystostomy: single centre experience in 111 patients with an acute cholecystitis.经皮胆囊造瘘术:111例急性胆囊炎患者的单中心经验
JBR-BTR. 2014 Jul-Aug;97(4):197-201. doi: 10.5334/jbr-btr.101.
5
Percutaneous cholecystostomy is an effective definitive treatment option for acute acalculous cholecystitis.经皮胆囊造瘘术是急性非结石性胆囊炎的一种有效的确定性治疗选择。
Scand J Surg. 2015 Dec;104(4):238-43. doi: 10.1177/1457496914564107. Epub 2015 Jan 7.
6
The gallbladder: uncommon gallbladder conditions and unusual presentations of the common gallbladder pathological processes.胆囊:罕见的胆囊疾病及常见胆囊病理过程的不寻常表现。
Abdom Imaging. 2015 Feb;40(2):385-99. doi: 10.1007/s00261-014-0203-0.
7
Can percutaneous cholecystostomy be a definitive management for acute cholecystitis in high-risk patients?经皮胆囊造瘘术能否作为高危患者急性胆囊炎的确定性治疗方法?
Surg Laparosc Endosc Percutan Tech. 2014 Apr;24(2):187-91. doi: 10.1097/SLE.0b013e31828fa45e.
8
Multidetector CT of emergent biliary pathologic conditions.多排 CT 急诊胆道病变。
Radiographics. 2013 Nov-Dec;33(7):1867-88. doi: 10.1148/rg.337125038.
9
Addendum of newer anticoagulants to the SIR consensus guideline.SIR共识指南中新型抗凝剂的附录
J Vasc Interv Radiol. 2013 May;24(5):641-5. doi: 10.1016/j.jvir.2012.12.007.
10
Consensus guidelines for periprocedural management of coagulation status and hemostasis risk in percutaneous image-guided interventions.经皮影像引导介入治疗中凝血状态和止血风险围手术期管理的共识指南。
J Vasc Interv Radiol. 2012 Jun;23(6):727-36. doi: 10.1016/j.jvir.2012.02.012. Epub 2012 Apr 17.