Al-Obaida Mohammad
Department of Restorative Dental Sciences, King Saud University, Riyadh, Saudi Arabia.
Case Rep Dent. 2020 Mar 26;2020:3974829. doi: 10.1155/2020/3974829. eCollection 2020.
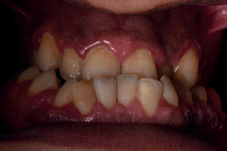
Radiculomegaly is a rare condition involving elongated tooth roots. This condition has significant clinical implications and has been associated with syndromes such as oculofaciocardiodental syndrome. However, only a few nonsyndromic cases of radiculomegaly have been reported. Here, we report a case of nonsyndromic radiculomegaly in a Saudi individual. A subsequent review of the literature suggests endodontic management modalities for individuals with the dental findings demonstrated in the present case.
牙根粗大是一种涉及牙根过长的罕见病症。这种病症具有重要的临床意义,并与眼面心脏牙综合征等综合征相关。然而,仅有少数非综合征性牙根粗大病例被报道。在此,我们报告一例沙特个体的非综合征性牙根粗大病例。随后的文献回顾提出了针对具有本病例所示牙齿表现个体的牙髓治疗方式。