Suppr超能文献

神经元促进实验性自身免疫性脑脊髓炎中致脑炎的 CD4 淋巴细胞浸润。

Neurons promote encephalitogenic CD4 lymphocyte infiltration in experimental autoimmune encephalomyelitis.

机构信息

Department of Molecular Neuroscience, Graduate School of Medicine, Osaka University, Osaka, Japan.

Department of Internal Medicine, Division of Neurology, Respirology, Endocrinology, and Metabolism, Department of Internal Medicine, Faculty of Medicine, University of Miyazaki, Miyazaki, Japan.

出版信息

Sci Rep. 2020 Apr 30;10(1):7354. doi: 10.1038/s41598-020-64363-z.

Abstract

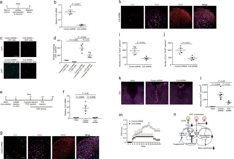
Multiple sclerosis (MS) is an autoimmune disease of the central nervous system characterized by neuroinflammation, leading to demyelination and axonal degeneration. Neuronal excitotoxity mediated by Ca/calmodulin-dependent protein kinase IIα (CaMKIIα) results in neuronal damage in experimental autoimmune encephalitis (EAE), an animal model of MS. Here, we define a critical role of excitatory neurons in the pathogenesis of CD4 lymphocyte accumulation in EAE. We silenced the activity of excitatory neurons in a mouse model of targeted EAE using inhibitory designer receptors exclusively activated by designer drugs (DREADD) under a CaMKIIα promoter. Neuronal silencing mitigated clinical disease scores in EAE, reduced the expression of c-fos, Tnfα, Ccl2, and Ccr2 mRNAs in targeted EAE lesions, and prevented the migration of CD4 lymphocytes towards neurons. Ccl2 shRNA treatment of targeted EAE suppressed the migration of CD4 lymphocytes and alleviated the motor deficits of EAE. Our findings indicate that neuronal activation in EAE promotes the migration of CCR2 CD4 lymphocytes and that neuronal silencing with an inhibitory DREADD alleviates clinical and molecular markers of disease. Neuronal CCL2 is thought to be involved in promoting lymphocytes migration.

摘要

多发性硬化症(MS)是一种中枢神经系统自身免疫性疾病,其特征是神经炎症,导致脱髓鞘和轴突变性。钙/钙调蛋白依赖性蛋白激酶 IIα(CaMKIIα)介导的神经元兴奋性毒性导致实验性自身免疫性脑脊髓炎(EAE),即 MS 的动物模型中的神经元损伤。在这里,我们定义了兴奋性神经元在 EAE 中 CD4 淋巴细胞积聚发病机制中的关键作用。我们使用在 CaMKIIα 启动子下仅由设计药物(DREADD)激活的抑制性设计受体,在靶向 EAE 的小鼠模型中沉默兴奋性神经元的活性。神经元沉默减轻了 EAE 的临床疾病评分,降低了靶向 EAE 病变中 c-fos、Tnfα、Ccl2 和 Ccr2 mRNA 的表达,并阻止了 CD4 淋巴细胞向神经元迁移。靶向 EAE 的 Ccl2 shRNA 治疗抑制了 CD4 淋巴细胞的迁移,并缓解了 EAE 的运动功能障碍。我们的研究结果表明,EAE 中的神经元激活促进了 CCR2 CD4 淋巴细胞的迁移,并且使用抑制性 DREADD 进行神经元沉默减轻了疾病的临床和分子标志物。神经元 CCL2 被认为参与促进淋巴细胞迁移。

https://cdn.ncbi.nlm.nih.gov/pmc/blobs/06e5/7192891/990bb18b9d5c/41598_2020_64363_Fig1_HTML.jpg

文献AI研究员

20分钟写一篇综述,助力文献阅读效率提升50倍。

立即体验

用中文搜PubMed

大模型驱动的PubMed中文搜索引擎

马上搜索

文档翻译

学术文献翻译模型,支持多种主流文档格式。

立即体验