Suppr超能文献

病例报告:一名 37 岁患者的急性腹痛及其对家庭的影响。

Case report: acute abdominal pain in a 37-year-old patient and the consequences for his family.

机构信息

Department of Medical Oncology and Hematology, University Cancer Center Hamburg, University Hamburg-Eppendorf, Hamburg, Germany.

Department of Surgery, Regio Klinikum Pinneberg, Pinneberg, Germany.

出版信息

BMC Gastroenterol. 2020 May 3;20(1):129. doi: 10.1186/s12876-020-01283-2.

Abstract

BACKGROUND

Hereditary diffuse gastric cancer is a rare condition that accounts for approximately 1-3% of all gastric cancer cases. Due to its rapid and invasive growth pattern, it is associated with a very poor prognosis. As a result, comprehensive genetic testing is imperative in patients who meet the current testing criteria in order to identify relatives at risk. This case report illustrates the substantial benefit of genetic testing in the family of a patient diagnosed with hereditary diffuse gastric cancer.

CASE PRESENTATION

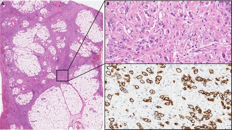
A 37-year-old patient was admitted to the emergency department with acute abdominal pain. Following explorative laparoscopy, locally advanced diffuse gastric cancer was diagnosed. The indication for genetic testing of CDH1 was given due to the patient's young age. A germline mutation in CDH1 was identified in the index patient. As a result, several family members underwent genetic testing. The patient's father, brother and one aunt were identified as carriers of the familial CDH1 mutation and subsequently received gastrectomy. In both the father and the aunt, histology of the surgical specimen revealed a diffuse growing adenocarcinoma after an unremarkable preoperative gastroscopy.

CONCLUSION

Awareness and recognition of a potential hereditary diffuse gastric cancer can provide a substantial health benefit not only for the patient but especially for affected family members.

摘要

背景

遗传性弥漫型胃癌是一种罕见的疾病,约占所有胃癌病例的 1-3%。由于其快速和侵袭性的生长模式,它与非常差的预后相关。因此,对于符合当前检测标准的患者,全面的基因检测是必要的,以便识别有风险的亲属。本病例报告说明了在遗传性弥漫型胃癌患者的家族中进行基因检测的重要性。

病例介绍

一名 37 岁的患者因急性腹痛被收入急诊室。经过腹腔镜探查,诊断为局部晚期弥漫型胃癌。由于患者年龄较轻,进行了 CDH1 基因检测的指征。在指数患者中发现了 CDH1 的种系突变。因此,对几名家庭成员进行了基因检测。患者的父亲、兄弟和一位阿姨被确定为家族性 CDH1 突变的携带者,并随后接受了胃切除术。在父亲和阿姨中,手术标本的组织学在没有明显术前胃镜检查的情况下显示弥漫性生长的腺癌。

结论

对潜在遗传性弥漫型胃癌的认识和认识不仅对患者,而且对受影响的家庭成员都有很大的健康益处。

https://cdn.ncbi.nlm.nih.gov/pmc/blobs/a7d7/7197118/145795038eab/12876_2020_1283_Fig1_HTML.jpg

文献检索

告别复杂PubMed语法,用中文像聊天一样搜索,搜遍4000万医学文献。AI智能推荐,让科研检索更轻松。

立即免费搜索

文件翻译

保留排版,准确专业,支持PDF/Word/PPT等文件格式,支持 12+语言互译。

免费翻译文档

深度研究

AI帮你快速写综述,25分钟生成高质量综述,智能提取关键信息,辅助科研写作。

立即免费体验