Department of Nephrology, Third Hospital, Hebei Medical University, Shijiazhuang, China.
The Third Hospital, Hebei Medical University, Shijiazhuang, China.
J Cell Mol Med. 2020 Jun;24(11):6426-6437. doi: 10.1111/jcmm.15288. Epub 2020 May 5.
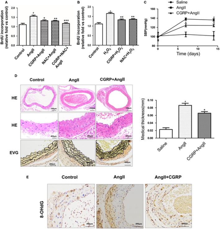
We had previously demonstrated that the calcitonin gene-related peptide (CGRP) suppresses the oxidative stress and vascular smooth muscle cell (VSMC) proliferation induced by vascular injury. A recent study also indicated that CGRP protects against the onset and development of angiotensin II (Ang II)-induced hypertension, vascular hypertrophy and oxidative stress. However, the mechanism behind the effects of CGRP on Ang II-induced oxidative stress is unclear. CGRP significantly suppressed the level of reactive oxygen species (ROS) generated by NADPH oxidase in Ang II-induced VSMCs. The Ang II-stimulated activation of both Src and the downstream transcription factor, STAT3, was abrogated by CGRP. However, the antioxidative effect of CGRP was lost following the expression of constitutively activated Src or STAT3. Pre-treatment with H-89 or CGRP also blocked the CGRP inhibitory effects against Ang II-induced oxidative stress. Additionally, both in vitro and in vivo analyses show that CGRP treatment inhibited Ang II-induced VSMC proliferation and hypertrophy, accompanied by a reduction in ROS generation. Collectively, these results demonstrate that CGRP exhibits its antioxidative effect by blocking the Src/STAT3 signalling pathway that is associated with Ang II-induced VSMC hypertrophy and hyperplasia.
我们之前已经证明,降钙素基因相关肽(CGRP)可抑制血管损伤引起的氧化应激和血管平滑肌细胞(VSMC)增殖。最近的一项研究还表明,CGRP 可预防血管紧张素 II(Ang II)诱导的高血压、血管肥大和氧化应激的发生和发展。然而,CGRP 对 Ang II 诱导的氧化应激影响的机制尚不清楚。CGRP 可显著抑制 Ang II 诱导的 VSMC 中 NADPH 氧化酶产生的活性氧(ROS)水平。CGRP 可阻断 Ang II 刺激的 Src 和下游转录因子 STAT3 的激活。然而,在表达组成型激活的 Src 或 STAT3 后,CGRP 的抗氧化作用丧失。用 H-89 或 CGRP 预处理也可阻断 CGRP 对 Ang II 诱导的氧化应激的抑制作用。此外,体内外分析均表明,CGRP 可抑制 Ang II 诱导的 VSMC 增殖和肥大,同时减少 ROS 的产生。综上所述,这些结果表明,CGRP 通过阻断与 Ang II 诱导的 VSMC 肥大和增生相关的Src/STAT3 信号通路发挥其抗氧化作用。