Suppr超能文献

肺原发性肺动脉肉瘤采用恩度联合放疗治疗。

Primary pulmonary arterial sarcoma treated with endostar injection and radiotherapy.

机构信息

Department of Respiratory Medicine, the Second Affiliated Hospital of Wenzhou Medical University, Wenzhou, China. E-mail.

出版信息

Saudi Med J. 2020 May;41(5):532-536. doi: 10.15537/smj.2020.5.25053.

Abstract

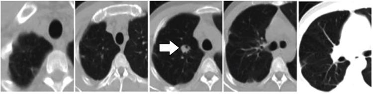
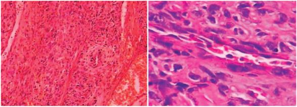
We present a case of primary pulmonary arterial sarcoma (PPAS) treated with endostatin (endostar) injection and radiotherapy  discuss the diagnosis, clinical manifestations, and pathology of PPAS. The patient complained of cough with sputum, fever, and chest pain with hemoptysis. Numerous nodules were observed in the computed tomography (CT) scan. The patient was diagnosed with pulmonary embolism (PE) by computed tomography pulmonary angiography (CTPA). The pathology and immunohistochemistry results indicated soft tissue sarcomas, indicative of angiosarcoma. The nodules shrunk after 5 courses of endostatin and one course of radiotherapy, as determined in the CT scan. Primary pulmonary arterial sarcoma is clinically rare with nonspecific symptoms. Hence, it can be easily misdiagnosed as PE, and biopsy must be performed for confirmation. Current treatment methods, including surgery, are limited. Therefore, administration of endostatin injection combined with other therapies may be an alternative treatment methods.

摘要

我们报告了一例原发性肺动脉肉瘤(PPAS)患者,该患者接受了恩度(恩替佐滨)注射液和放疗治疗。我们讨论了 PPAS 的诊断、临床表现和病理学。患者主诉咳嗽、咳痰、发热和咯血胸痛。胸部计算机断层扫描(CT)显示多发结节。计算机断层肺动脉造影(CTPA)诊断为肺栓塞(PE)。病理和免疫组织化学结果显示软组织肉瘤,提示为血管肉瘤。CT 扫描显示,患者在接受 5 个疗程的恩度和 1 个疗程的放疗后,结节缩小。原发性肺动脉肉瘤临床罕见,症状无特异性。因此,它很容易被误诊为 PE,必须进行活检以明确诊断。目前的治疗方法包括手术,但均有限。因此,注射用恩度联合其他疗法可能是一种替代治疗方法。

https://cdn.ncbi.nlm.nih.gov/pmc/blobs/0cb0/7253840/1138d4e5e9c5/SaudiMedJ-41-532-g001.jpg

文献AI研究员

20分钟写一篇综述,助力文献阅读效率提升50倍。

立即体验

用中文搜PubMed

大模型驱动的PubMed中文搜索引擎

马上搜索

文档翻译

学术文献翻译模型,支持多种主流文档格式。

立即体验