• 文献检索
  • 文档翻译
  • 深度研究
  • 学术资讯
  • Suppr Zotero 插件Zotero 插件
  • 邀请有礼
  • 套餐&价格
  • 历史记录
应用&插件
Suppr Zotero 插件Zotero 插件浏览器插件Mac 客户端Windows 客户端微信小程序
定价
高级版会员购买积分包购买API积分包
服务
文献检索文档翻译深度研究API 文档MCP 服务
关于我们
关于 Suppr公司介绍联系我们用户协议隐私条款
关注我们

Suppr 超能文献

核心技术专利:CN118964589B侵权必究
粤ICP备2023148730 号-1Suppr @ 2026

文献检索

告别复杂PubMed语法,用中文像聊天一样搜索,搜遍4000万医学文献。AI智能推荐,让科研检索更轻松。

立即免费搜索

文件翻译

保留排版,准确专业,支持PDF/Word/PPT等文件格式,支持 12+语言互译。

免费翻译文档

深度研究

AI帮你快速写综述,25分钟生成高质量综述,智能提取关键信息,辅助科研写作。

立即免费体验

发育性髋关节发育不良的三维计算机断层扫描及多平面成像

Three-dimensional Computerized Tomography and Multiplanar Imaging of Developmental Hip Dysplasia.

作者信息

Bankaoğlu Müjdat

机构信息

Department of Radiology, Sisli Hamidiye Etfal Training and Research Hospital, Istanbul, Turkey.

出版信息

Sisli Etfal Hastan Tip Bul. 2019 Apr 25;53(2):103-109. doi: 10.14744/SEMB.2019.79095. eCollection 2019.

DOI:10.14744/SEMB.2019.79095
PMID:32377066
原文链接:https://pmc.ncbi.nlm.nih.gov/articles/PMC7199829/
Abstract

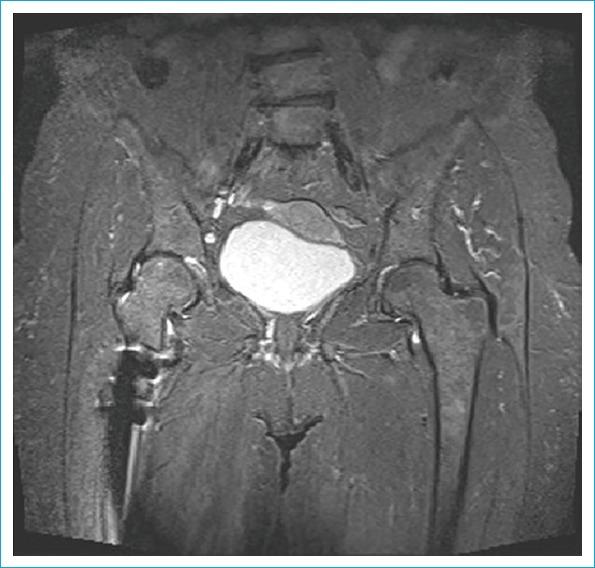
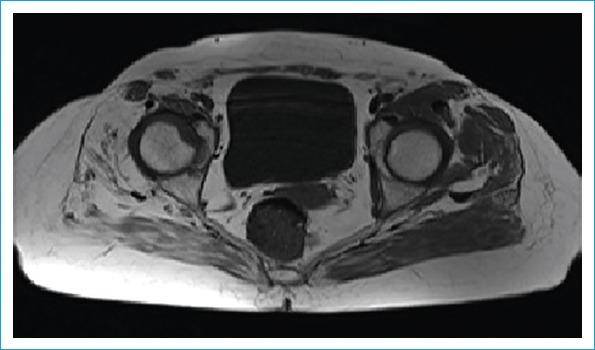
Developmental dysplasia of the hip (DDH) is still one of the biggest orthopedic problems in the world. Global poverty and refugee crises have led to it becoming a greater issue even in developed nations. Early diagnosis and effective treatment of DDH are required to prevent the possibility of arthrosis, limb shortening, pelvic asymmetry, and vertebral scoliosis. In late cases, surgery is the only choice for correction. Direct radiography has been used for many years and continues to have an important role, though ultrasonography is the primary source for early postnatal screening. Although magnetic resonance imaging (MRI) has become an important modality to provide sectional imaging in many cases, in late-period dysplasia, computed tomography (CT) and three-dimensional (3D) CT are preferred because it can more effectively demonstrate the cortical bony structures. The aim of this review was to demonstrate the effectiveness of 3D CT and multiplanar reconstruction based on previous studies.

摘要

发育性髋关节发育不良(DDH)仍然是全球最严重的骨科问题之一。全球贫困和难民危机导致即使在发达国家,这一问题也日益严重。为预防关节病、肢体缩短、骨盆不对称和脊柱侧弯的发生,需要对DDH进行早期诊断和有效治疗。在晚期病例中,手术是唯一的矫正选择。直接X线摄影已使用多年且仍发挥着重要作用,不过超声检查是出生后早期筛查的主要手段。尽管磁共振成像(MRI)在许多情况下已成为提供断层成像的重要方式,但在晚期发育不良中,计算机断层扫描(CT)和三维(3D)CT更受青睐,因为它们能更有效地显示皮质骨结构。本综述的目的是基于以往研究展示3D CT和多平面重建的有效性。

https://cdn.ncbi.nlm.nih.gov/pmc/blobs/aad2/7199829/9d04c70734e4/MBSEH-53-103-g008.jpg
https://cdn.ncbi.nlm.nih.gov/pmc/blobs/aad2/7199829/44b23210f69f/MBSEH-53-103-g001.jpg
https://cdn.ncbi.nlm.nih.gov/pmc/blobs/aad2/7199829/ef18d47b92fe/MBSEH-53-103-g002.jpg
https://cdn.ncbi.nlm.nih.gov/pmc/blobs/aad2/7199829/bdab0288c108/MBSEH-53-103-g003.jpg
https://cdn.ncbi.nlm.nih.gov/pmc/blobs/aad2/7199829/0f90e9c97a78/MBSEH-53-103-g004.jpg
https://cdn.ncbi.nlm.nih.gov/pmc/blobs/aad2/7199829/53c2b914d88e/MBSEH-53-103-g005.jpg
https://cdn.ncbi.nlm.nih.gov/pmc/blobs/aad2/7199829/61b546c129c7/MBSEH-53-103-g006.jpg
https://cdn.ncbi.nlm.nih.gov/pmc/blobs/aad2/7199829/968076b2c664/MBSEH-53-103-g007.jpg
https://cdn.ncbi.nlm.nih.gov/pmc/blobs/aad2/7199829/9d04c70734e4/MBSEH-53-103-g008.jpg
https://cdn.ncbi.nlm.nih.gov/pmc/blobs/aad2/7199829/44b23210f69f/MBSEH-53-103-g001.jpg
https://cdn.ncbi.nlm.nih.gov/pmc/blobs/aad2/7199829/ef18d47b92fe/MBSEH-53-103-g002.jpg
https://cdn.ncbi.nlm.nih.gov/pmc/blobs/aad2/7199829/bdab0288c108/MBSEH-53-103-g003.jpg
https://cdn.ncbi.nlm.nih.gov/pmc/blobs/aad2/7199829/0f90e9c97a78/MBSEH-53-103-g004.jpg
https://cdn.ncbi.nlm.nih.gov/pmc/blobs/aad2/7199829/53c2b914d88e/MBSEH-53-103-g005.jpg
https://cdn.ncbi.nlm.nih.gov/pmc/blobs/aad2/7199829/61b546c129c7/MBSEH-53-103-g006.jpg
https://cdn.ncbi.nlm.nih.gov/pmc/blobs/aad2/7199829/968076b2c664/MBSEH-53-103-g007.jpg
https://cdn.ncbi.nlm.nih.gov/pmc/blobs/aad2/7199829/9d04c70734e4/MBSEH-53-103-g008.jpg

相似文献

1
Three-dimensional Computerized Tomography and Multiplanar Imaging of Developmental Hip Dysplasia.发育性髋关节发育不良的三维计算机断层扫描及多平面成像
Sisli Etfal Hastan Tip Bul. 2019 Apr 25;53(2):103-109. doi: 10.14744/SEMB.2019.79095. eCollection 2019.
2
Morphological characteristics of the bony birth canal in patients with developmental dysplasia of the hip (DDH): investigation by three-dimensional CT.发育性髋关节发育不良(DDH)患者骨性产道的形态学特征:三维CT研究
J Orthop Sci. 2001;6(3):217-22. doi: 10.1007/s007760100037.
3
Application of three-dimensional computerised tomography reconstruction and image processing technology in individual operation design of developmental dysplasia of the hip patients.三维计算机断层扫描重建与图像处理技术在发育性髋关节发育不良患者个体化手术设计中的应用
Int Orthop. 2016 Feb;40(2):255-65. doi: 10.1007/s00264-015-2994-1. Epub 2015 Sep 25.
4
Cochrane Review: Screening programmes for developmental dysplasia of the hip in newborn infants.Cochrane系统评价:新生儿髋关节发育不良的筛查项目
Evid Based Child Health. 2013 Jan;8(1):11-54. doi: 10.1002/ebch.1891.
5
[Evaluation of screening for developmental dysplasia of the hip in the Liberec region in 1984-2005].[1984 - 2005年利贝雷茨地区髋关节发育不良筛查评估]
Acta Chir Orthop Traumatol Cech. 2009 Jun;76(3):218-24.
6
Can Computed Tomography Accurately Measure Acetabular Anterversion in Developmental Dysplasia of the Hip? Verification and Characterization Using 3D Printing Technology.计算机断层扫描能否准确测量发育性髋关节发育不良中的髋臼前倾角?使用3D打印技术进行验证和特征分析。
J Pediatr Orthop. 2018 Apr;38(4):e180-e185. doi: 10.1097/BPO.0000000000001141.
7
Spatial changes of the peri-acetabular pelvic in developmental dysplasia of the hip---a combined 3-dimentional computed tomography (3D-CT) study in patients and experimental study in rats.发育性髋关节发育不良中髋臼周围骨盆的空间变化——一项针对患者的三维计算机断层扫描(3D-CT)联合研究及大鼠实验研究
Int J Clin Exp Med. 2014 Dec 15;7(12):4983-9. eCollection 2014.
8
The consistency between measurements of the femoral neck anteversion angle in DDH on three-dimensional CT and MRI.三维CT和MRI测量发育性髋关节发育不良中股骨颈前倾角的一致性。
Acta Radiol. 2016 Jun;57(6):716-20. doi: 10.1177/0284185115603244. Epub 2015 Sep 18.
9
Imaging of developmental dysplasia of the hip.发育性髋关节发育不良的影像学检查
Pediatr Clin North Am. 1997 Jun;44(3):591-614. doi: 10.1016/s0031-3955(05)70495-8.
10
Developmental dysplasia of the hip: What has changed in the last 20 years?发育性髋关节发育不良:过去20年有哪些变化?
World J Orthop. 2015 Dec 18;6(11):886-901. doi: 10.5312/wjo.v6.i11.886.

引用本文的文献

1
Can Pre-operative MRI Predict the Need for Salter's Osteotomy in DDH Children Undergoing Open Reduction?术前MRI能否预测行切开复位术的发育性髋关节发育不良儿童对Salter截骨术的需求?
Malays Orthop J. 2025 Mar;19(1):77-85. doi: 10.5704/MOJ.2503.010.

本文引用的文献

1
Computed Tomography Dose in Paediatric Care: Simple Dose Estimation Using Dose Length Product Conversion Coefficients.儿科护理中的计算机断层扫描剂量:使用剂量长度乘积转换系数进行简单剂量估算
Malays J Med Sci. 2018 Jul;25(4):82-91. doi: 10.21315/mjms2018.25.4.8. Epub 2018 Aug 30.
2
Does 3DMR provide equivalent information as 3DCT for the pre-operative evaluation of adult Hip pain conditions of femoroacetabular impingement and Hip dysplasia?对于成人股骨髋臼撞击症和髋关节发育不良引起的髋关节疼痛状况,在术前评估中,三维磁共振成像(3DMR)能否提供与三维计算机断层扫描(3DCT)等效的信息?
Br J Radiol. 2018 Dec;91(1092):20180474. doi: 10.1259/bjr.20180474. Epub 2018 Aug 7.
3
Developmental dysplasia of the hip: an update on diagnosis and management from birth to 6 months.
发育性髋关节发育不良:从出生到 6 个月的诊断和管理更新。
Curr Opin Pediatr. 2018 Feb;30(1):84-92. doi: 10.1097/MOP.0000000000000574.
4
Acetabular dysplasia in the adolescent and young adult.青少年及年轻成人的髋臼发育不良
Clin Orthop Relat Res. 1993 Jan(286):308-10.
5
[Pemberton's pelvic osteotomy in the management of residual dysplasias of the socket].[潘伯顿骨盆截骨术治疗髋臼残余发育不良]
Chir Pediatr. 1980;21(3):225-30.
6
Medial displacement osteotomy of the pelvis.骨盆内移截骨术
Clin Orthop Relat Res. 1974 Jan-Feb(98):55-71. doi: 10.1097/00003086-197401000-00008.
7
Preoperative and postoperative assessment of rotational acetabular osteotomy for dysplastic hips in children by three-dimensional surface reconstruction computed tomography imaging.
J Pediatr Orthop. 1990 Jan-Feb;10(1):33-8.
8
Performing dynamic sonography of the infant hip.
AJR Am J Roentgenol. 1990 Oct;155(4):837-44. doi: 10.2214/ajr.155.4.2119119.
9
Magnetic resonance imaging in acetabular residual dysplasia.髋臼残余发育不良的磁共振成像
Clin Orthop Relat Res. 1991 Apr(265):207-17.
10
Assessment of complex hip deformity using three-dimensional CT image.使用三维CT图像评估复杂髋关节畸形
J Pediatr Orthop. 1991 Jan-Feb;11(1):13-9. doi: 10.1097/01241398-199101000-00004.