Suppr超能文献

手部血管平滑肌瘤一例罕见病例

A Rare Case of Angioleiomyoma of the Hand.

作者信息

Taj Hiffsa, Comba Isin, Vasquez Jonathan, Zayat Vania

机构信息

Internal Medicine, University of Central Florida College of Medicine, Orlando, USA.

Pathology, Orlando Veterans Affairs Medical Center, Orlando, USA.

出版信息

Cureus. 2020 Apr 3;12(4):e7530. doi: 10.7759/cureus.7530.

Abstract

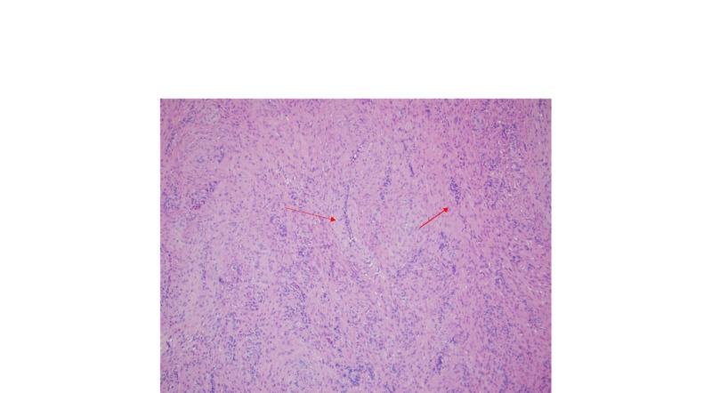
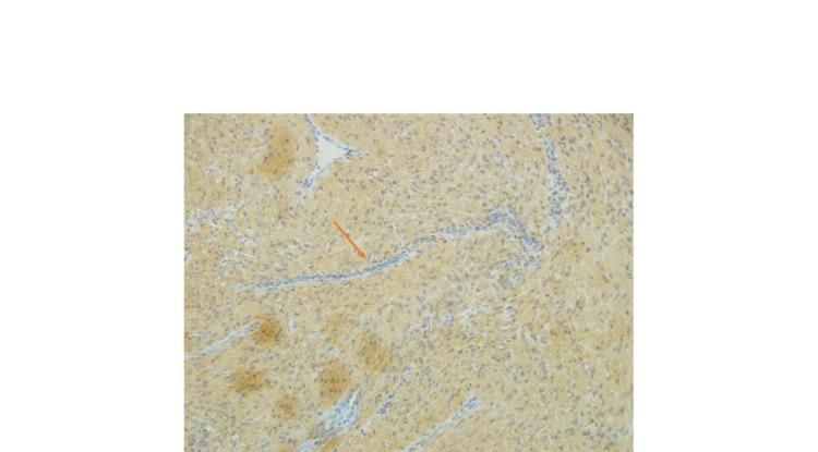
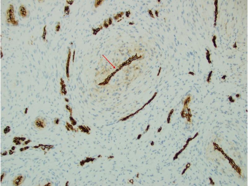
Angioleiomyoma is a benign tumor of the vascular system that is often not considered in the differential diagnosis of a painless subcutaneous nodule of the body. In this report, we present a rare case of angioleiomyoma of the phalanx in the left hand in a middle aged man. He underwent surgical excision of the mass with no complications. Given the nonspecific and indolent presentation, our case had a broad differential diagnosis including ganglion cyst and histopathological examination was warranted for definite diagnosis. At 9-month follow-up, the patient was asymptomatic with no signs of recurrence.

摘要

血管平滑肌瘤是一种血管系统的良性肿瘤,在身体无痛性皮下结节的鉴别诊断中常常未被考虑。在本报告中,我们呈现了一例中年男性左手指骨血管平滑肌瘤的罕见病例。他接受了肿物的手术切除,无并发症发生。鉴于其非特异性和惰性表现,我们的病例鉴别诊断范围广泛,包括腱鞘囊肿,明确诊断需要进行组织病理学检查。在9个月的随访中,患者无症状,无复发迹象。

https://cdn.ncbi.nlm.nih.gov/pmc/blobs/8037/7198086/cace308d6dbf/cureus-0012-00000007530-i01.jpg

文献检索

告别复杂PubMed语法,用中文像聊天一样搜索,搜遍4000万医学文献。AI智能推荐,让科研检索更轻松。

立即免费搜索

文件翻译

保留排版,准确专业,支持PDF/Word/PPT等文件格式,支持 12+语言互译。

免费翻译文档

深度研究

AI帮你快速写综述,25分钟生成高质量综述,智能提取关键信息,辅助科研写作。

立即免费体验