Suppr超能文献

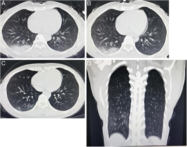
Pre- and post-treatment chest CT changes in a patient with COVID-19.

作者信息

Fu Bao, Qian Kun, Fu Xiaoyun

机构信息

Department of Critical Care Medicine, Affiliated Hospital of Zunyi Medical University, Zunyi 563000, China.

Department of Radiology, The Affiliated Hospital of Zunyi Medical University, Zunyi 563000, China.

出版信息

Med Clin (Barc). 2020 Jul 10;155(1):49. doi: 10.1016/j.medcli.2020.04.005. Epub 2020 Apr 23.

Abstract
摘要
https://cdn.ncbi.nlm.nih.gov/pmc/blobs/d501/7177058/cceae5602bbb/gr1_lrg.jpg

相似文献

1
Pre- and post-treatment chest CT changes in a patient with COVID-19.
Med Clin (Barc). 2020 Jul 10;155(1):49. doi: 10.1016/j.medcli.2020.04.005. Epub 2020 Apr 23.
2
Rare CT feature in a COVID-19 patient: cavitation.
Diagn Interv Radiol. 2020 Jul;26(4):380-381. doi: 10.5152/dir.2020.20181.
3
Changes of CT findings in a 2019 novel coronavirus (2019-nCoV) pneumonia patient.
QJM. 2020 Apr 1;113(4):271-272. doi: 10.1093/qjmed/hcaa038.
4
"Reversed halo sign" on 3D CT in COVID-19.
Diagn Interv Radiol. 2020 Jul;26(4):379. doi: 10.5152/dir.2020.20254.
5
Necessitating repeated chest CT in COVID-19 pneumonia.
J Formos Med Assoc. 2020 May;119(5):993-994. doi: 10.1016/j.jfma.2020.03.006. Epub 2020 Mar 27.
6
CT Diagnosis of Coronavirus Infection.
Curr Med Imaging. 2020;16(4):273. doi: 10.2174/157340561604200402091854.
7
Ritonavir- and lopinavir-induced eryptosis in a SARS-CoV-2-infected patient.
Blood. 2020 Aug 13;136(7):915. doi: 10.1182/blood.2020006228.
8
Brief report of the first cured 2019-nCoV pneumonia patient in West China Hospital.
Eur J Clin Microbiol Infect Dis. 2020 Aug;39(8):1593-1595. doi: 10.1007/s10096-020-03866-z. Epub 2020 Mar 27.
9
Computed tomography manifestations of COVID-19 pneumonia.
Br J Hosp Med (Lond). 2020 Apr 2;81(4):1-2. doi: 10.12968/hmed.2020.0104. Epub 2020 Mar 11.
10
The role of pulmonary CT scans for children during the COVID-19 pandemic.
BMC Med. 2020 Jun 5;18(1):171. doi: 10.1186/s12916-020-01647-1.

文献AI研究员

20分钟写一篇综述,助力文献阅读效率提升50倍。

立即体验

用中文搜PubMed

大模型驱动的PubMed中文搜索引擎

马上搜索

文档翻译

学术文献翻译模型,支持多种主流文档格式。

立即体验