• 文献检索
  • 文档翻译
  • 深度研究
  • 学术资讯
  • Suppr Zotero 插件Zotero 插件
  • 邀请有礼
  • 套餐&价格
  • 历史记录
应用&插件
Suppr Zotero 插件Zotero 插件浏览器插件Mac 客户端Windows 客户端微信小程序
定价
高级版会员购买积分包购买API积分包
服务
文献检索文档翻译深度研究API 文档MCP 服务
关于我们
关于 Suppr公司介绍联系我们用户协议隐私条款
关注我们

Suppr 超能文献

核心技术专利:CN118964589B侵权必究
粤ICP备2023148730 号-1Suppr @ 2026

文献检索

告别复杂PubMed语法,用中文像聊天一样搜索,搜遍4000万医学文献。AI智能推荐,让科研检索更轻松。

立即免费搜索

文件翻译

保留排版,准确专业,支持PDF/Word/PPT等文件格式,支持 12+语言互译。

免费翻译文档

深度研究

AI帮你快速写综述,25分钟生成高质量综述,智能提取关键信息,辅助科研写作。

立即免费体验

E3泛素连接酶Cbl-b预测乳腺癌的良好预后。

The E3 Ubiquitin Ligase Cbl-b Predicts Favorable Prognosis in Breast Cancer.

作者信息

Liu Xiuming, Teng Yuee, Wu Xin, Li Zhi, Bao Bowen, Liu Yunpeng, Qu Xiujuan, Zhang Lingyun

机构信息

Department of Medical Oncology, The First Hospital of China Medical University, China Medical University, Shenyang, China.

Key Laboratory of Anticancer Drugs and Biotherapy of Liaoning Province, The First Hospital of China Medical University, Shenyang, China.

出版信息

Front Oncol. 2020 May 5;10:695. doi: 10.3389/fonc.2020.00695. eCollection 2020.

DOI:10.3389/fonc.2020.00695
PMID:32435620
原文链接:https://pmc.ncbi.nlm.nih.gov/articles/PMC7219434/
Abstract

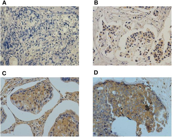
Casitas B-lineage lymphoma proto-oncogene-b (Cbl-b) is an E3 ubiquitin-protein ligase and a signal-transducing adaptor protein involved in the development and progression of cancer. Despite the known functions of Cbl-b, its role in breast cancer remains unclear. The aim of this study is to explore the prognostic value of Cbl-b in breast cancer. Cbl-b expression was analyzed by immunohistochemistry in 292 breast cancer patients from the First Hospital of China Medical University between 1999 and 2008. Kaplan-Meier curve and Cox proportional hazards regression were used to analyze the independent prognostic factors for overall survival (OS) and disease-free survival (DFS). Nomogram was constructed based on these prognostic factors. Cbl-b expression was detected in 54.1% (158/292) breast cancer tissue samples. Cbl-b expression was correlated with DFS ( = 0.033), but was not significantly associated with the known clinic-pathological factors in this study. Log-rank analysis indicated that Cbl-b expression was correlated with better OS ( = 0.013) and DFS ( = 0.016). Multivariate analysis showed that Cbl-b expression was an independent prognostic factor in breast cancer. The nomogram we built for predicting OS was integrated with Cbl-b expression, age, tumor size, lymph node metastasis and histological grade. Except tumor size, all the above factors and date of diagnosis were used to construct the DFS nomogram. The C-indexes of the nomograms were 0.735 and 0.678, respectively. Our new clinical model was superior to the TNM staging for prediction of OS. Cbl-b expression independently predicts favorable prognosis in breast cancer. Cbl-b expression, combined with other variables could be more precise clinical predictive models for predicting OS and DFS in patients with breast cancer.

摘要

卡氏B淋巴细胞瘤原癌基因b(Cbl-b)是一种E3泛素蛋白连接酶,也是一种参与癌症发生和发展的信号转导衔接蛋白。尽管Cbl-b的功能已为人所知,但其在乳腺癌中的作用仍不清楚。本研究旨在探讨Cbl-b在乳腺癌中的预后价值。对1999年至2008年期间来自中国医科大学附属第一医院的292例乳腺癌患者的Cbl-b表达进行了免疫组织化学分析。采用Kaplan-Meier曲线和Cox比例风险回归分析总生存(OS)和无病生存(DFS)的独立预后因素。基于这些预后因素构建了列线图。在54.1%(158/292)的乳腺癌组织样本中检测到Cbl-b表达。Cbl-b表达与DFS相关(P = 0.033),但在本研究中与已知的临床病理因素无显著相关性。对数秩分析表明,Cbl-b表达与更好的OS(P = 0.013)和DFS(P = 0.016)相关。多因素分析显示,Cbl-b表达是乳腺癌的独立预后因素。我们构建的用于预测OS的列线图整合了Cbl-b表达、年龄、肿瘤大小、淋巴结转移和组织学分级。除肿瘤大小外,上述所有因素及诊断日期用于构建DFS列线图。列线图的C指数分别为0.735和0.678。我们的新临床模型在预测OS方面优于TNM分期。Cbl-b表达独立预测乳腺癌的良好预后。Cbl-b表达与其他变量相结合可为预测乳腺癌患者的OS和DFS提供更精确的临床预测模型。

https://cdn.ncbi.nlm.nih.gov/pmc/blobs/b64c/7219434/5c10cb56894b/fonc-10-00695-g0006.jpg
https://cdn.ncbi.nlm.nih.gov/pmc/blobs/b64c/7219434/3f388f85a727/fonc-10-00695-g0001.jpg
https://cdn.ncbi.nlm.nih.gov/pmc/blobs/b64c/7219434/886298185011/fonc-10-00695-g0002.jpg
https://cdn.ncbi.nlm.nih.gov/pmc/blobs/b64c/7219434/dc9111d538d5/fonc-10-00695-g0003.jpg
https://cdn.ncbi.nlm.nih.gov/pmc/blobs/b64c/7219434/c64f5ba9062d/fonc-10-00695-g0004.jpg
https://cdn.ncbi.nlm.nih.gov/pmc/blobs/b64c/7219434/fd7276fe19c7/fonc-10-00695-g0005.jpg
https://cdn.ncbi.nlm.nih.gov/pmc/blobs/b64c/7219434/5c10cb56894b/fonc-10-00695-g0006.jpg
https://cdn.ncbi.nlm.nih.gov/pmc/blobs/b64c/7219434/3f388f85a727/fonc-10-00695-g0001.jpg
https://cdn.ncbi.nlm.nih.gov/pmc/blobs/b64c/7219434/886298185011/fonc-10-00695-g0002.jpg
https://cdn.ncbi.nlm.nih.gov/pmc/blobs/b64c/7219434/dc9111d538d5/fonc-10-00695-g0003.jpg
https://cdn.ncbi.nlm.nih.gov/pmc/blobs/b64c/7219434/c64f5ba9062d/fonc-10-00695-g0004.jpg
https://cdn.ncbi.nlm.nih.gov/pmc/blobs/b64c/7219434/fd7276fe19c7/fonc-10-00695-g0005.jpg
https://cdn.ncbi.nlm.nih.gov/pmc/blobs/b64c/7219434/5c10cb56894b/fonc-10-00695-g0006.jpg

相似文献

1
The E3 Ubiquitin Ligase Cbl-b Predicts Favorable Prognosis in Breast Cancer.E3泛素连接酶Cbl-b预测乳腺癌的良好预后。
Front Oncol. 2020 May 5;10:695. doi: 10.3389/fonc.2020.00695. eCollection 2020.
2
The E3 ubiquitin ligase Cbl-b improves the prognosis of RANK positive breast cancer patients by inhibiting RANKL-induced cell migration and metastasis.E3泛素连接酶Cbl-b通过抑制RANKL诱导的细胞迁移和转移,改善RANK阳性乳腺癌患者的预后。
Oncotarget. 2015 Sep 8;6(26):22918-33. doi: 10.18632/oncotarget.4382.
3
Preoperative Breast Immune Prognostic Index as Prognostic Factor Predicts the Clinical Outcomes of Breast Cancer Patients Receiving Neoadjuvant Chemotherapy.术前乳腺免疫预后指数作为预后因素预测接受新辅助化疗的乳腺癌患者的临床结局。
Front Immunol. 2022 Mar 7;13:831848. doi: 10.3389/fimmu.2022.831848. eCollection 2022.
4
Cbl-b predicts postoperative survival in patients with resectable pancreatic ductal adenocarcinoma.Cbl-b可预测可切除性胰腺导管腺癌患者的术后生存率。
Oncotarget. 2017 Jun 27;8(34):57163-57173. doi: 10.18632/oncotarget.18714. eCollection 2017 Aug 22.
5
Prediction of postoperative survival of triple-negative breast cancer based on nomogram model combined with expression of HIF-1α and c-myc.基于列线图模型联合HIF-1α和c-myc表达预测三阴性乳腺癌术后生存率
Medicine (Baltimore). 2019 Oct;98(40):e17370. doi: 10.1097/MD.0000000000017370.
6
High c-Cbl expression in gliomas is associated with tumor progression and poor prognosis.胶质瘤中高c-Cbl表达与肿瘤进展及预后不良相关。
Oncol Lett. 2016 Apr;11(4):2787-2791. doi: 10.3892/ol.2016.4318. Epub 2016 Mar 9.
7
Nomogram Based on Systemic Immune-Inflammation Index to Predict Survival of Tongue Cancer Patients Who Underwent Cervical Dissection.基于全身免疫炎症指数的列线图预测接受颈清扫术的舌癌患者的生存情况
Front Oncol. 2020 Mar 11;10:341. doi: 10.3389/fonc.2020.00341. eCollection 2020.
8
E3 Ubiquitin Ligase Cbl-b Prevents Tumor Metastasis by Maintaining the Epithelial Phenotype in Multiple Drug-Resistant Gastric and Breast Cancer Cells.E3泛素连接酶Cbl-b通过维持多药耐药胃癌和乳腺癌细胞的上皮表型来预防肿瘤转移。
Neoplasia. 2017 Apr;19(4):374-382. doi: 10.1016/j.neo.2017.01.011. Epub 2017 Mar 20.
9
Mutant p53 and Twist1 Co-Expression Predicts Poor Prognosis and Is an Independent Prognostic Factor in Breast Cancer.突变型p53与Twist1共表达预示乳腺癌预后不良且是独立预后因素。
Front Oncol. 2021 Jun 24;11:628814. doi: 10.3389/fonc.2021.628814. eCollection 2021.
10
Prognostic Value of Hepatitis B Virus Infection in Very Young Patients With Curatively Resected Breast Cancer: Analyses From an Endemic Area in China.乙肝病毒感染对接受根治性切除的极低龄乳腺癌患者的预后价值:来自中国某流行地区的分析
Front Oncol. 2020 Aug 7;10:1403. doi: 10.3389/fonc.2020.01403. eCollection 2020.

引用本文的文献

1
E3 ubiquitin-protein ligase CBL inhibits non-small cell lung cancer progression via ubiquitination and degradation of KDR.E3泛素蛋白连接酶CBL通过对KDR进行泛素化和降解来抑制非小细胞肺癌的进展。
Cell Div. 2025 Jun 28;20(1):17. doi: 10.1186/s13008-025-00159-9.
2
The role of CBL family ubiquitin ligases in cancer progression and therapeutic strategies.CBL家族泛素连接酶在癌症进展中的作用及治疗策略。
Front Pharmacol. 2024 Jul 26;15:1432545. doi: 10.3389/fphar.2024.1432545. eCollection 2024.
3
Construction of the prognostic model for small-cell lung cancer based on inflammatory markers: A real-world study of 612 cases with eastern cooperative oncology group performance score 0-1.

本文引用的文献

1
Prognostic factors and survival according to tumor subtype in newly diagnosed breast cancer with liver metastases: A competing risk analysis.新诊断的伴有肝转移的乳腺癌患者根据肿瘤亚型的预后因素及生存情况:一项竞争风险分析
Mol Clin Oncol. 2019 Sep;11(3):259-269. doi: 10.3892/mco.2019.1890. Epub 2019 Jul 1.
2
Nomogram for predicting the overall survival of patients with inflammatory breast cancer: A SEER-based study.基于 SEER 数据库的炎性乳腺癌患者总生存预测列线图研究。
Breast. 2019 Oct;47:56-61. doi: 10.1016/j.breast.2019.05.015. Epub 2019 Jul 17.
3
The prognostic significance of preoperative tumor marker (CEA, CA15-3) elevation in breast cancer patients: data from the Korean Breast Cancer Society Registry.
基于炎症标志物的小细胞肺癌预后模型构建:一项 ECOG 表现状态评分为 0-1 的 612 例真实世界研究。
Cancer Med. 2023 Apr;12(8):9527-9540. doi: 10.1002/cam4.5728. Epub 2023 Apr 4.
4
Aggregation tests identify new gene associations with breast cancer in populations with diverse ancestry.聚集测试可在具有不同祖先背景的人群中识别与乳腺癌相关的新基因关联。
Genome Med. 2023 Jan 26;15(1):7. doi: 10.1186/s13073-022-01152-5.
5
ZC3H15 promotes glioblastoma progression through regulating EGFR stability.ZC3H15 通过调控 EGFR 稳定性促进胶质母细胞瘤进展。
Cell Death Dis. 2022 Jan 13;13(1):55. doi: 10.1038/s41419-021-04496-9.
6
Comparison of SYK Signaling Networks Reveals the Potential Molecular Determinants of Its Tumor-Promoting and Suppressing Functions.比较 SYK 信号网络揭示了其促进和抑制肿瘤功能的潜在分子决定因素。
Biomolecules. 2021 Feb 18;11(2):308. doi: 10.3390/biom11020308.
术前肿瘤标志物(CEA、CA15-3)升高对乳腺癌患者预后的意义:来自韩国乳腺癌学会注册中心的数据。
Breast Cancer Res Treat. 2019 Oct;177(3):669-678. doi: 10.1007/s10549-019-05357-y. Epub 2019 Jul 16.
4
Prognostic Significance of Tumor Subtypes in Women With Breast Cancer According to Stage: A Population-based Study.基于人群的研究:根据分期,乳腺癌女性肿瘤亚型的预后意义。
Am J Clin Oncol. 2019 Jul;42(7):588-595. doi: 10.1097/COC.0000000000000563.
5
Modulation of B cell activation threshold mediated by BCR/CD40 costimulation by targeting Cbl-b for ubiquitination.通过靶向Cbl-b进行泛素化来调节由BCR/CD40共刺激介导的B细胞活化阈值。
Biochem Biophys Rep. 2019 Apr 28;18:100641. doi: 10.1016/j.bbrep.2019.100641. eCollection 2019 Jul.
6
LncRNA DUXAP9-206 directly binds with Cbl-b to augment EGFR signaling and promotes non-small cell lung cancer progression.长链非编码 RNA DUXAP9-206 直接与 Cbl-b 结合,增强表皮生长因子受体信号通路,促进非小细胞肺癌进展。
J Cell Mol Med. 2019 Mar;23(3):1852-1864. doi: 10.1111/jcmm.14085. Epub 2018 Dec 4.
7
Development and validation of nomograms for predicting overall and breast cancer-specific survival among patients with triple-negative breast cancer.三阴性乳腺癌患者总生存和乳腺癌特异性生存预测列线图的开发与验证
Cancer Manag Res. 2018 Nov 19;10:5881-5894. doi: 10.2147/CMAR.S178859. eCollection 2018.
8
Global cancer statistics 2018: GLOBOCAN estimates of incidence and mortality worldwide for 36 cancers in 185 countries.全球癌症统计数据 2018:GLOBOCAN 对全球 185 个国家/地区 36 种癌症的发病率和死亡率的估计。
CA Cancer J Clin. 2018 Nov;68(6):394-424. doi: 10.3322/caac.21492. Epub 2018 Sep 12.
9
Development and Validation of Nomograms for Predicting Overall and Breast Cancer-Specific Survival in Young Women with Breast Cancer: A Population-Based Study.预测年轻乳腺癌女性总生存和乳腺癌特异性生存的列线图的开发与验证:一项基于人群的研究
Transl Oncol. 2018 Dec;11(6):1334-1342. doi: 10.1016/j.tranon.2018.08.008. Epub 2018 Sep 4.
10
E3 ubiquitin ligases Cbl-b and c-Cbl downregulate PD-L1 in EGFR wild-type non-small cell lung cancer.E3 泛素连接酶 Cbl-b 和 c-Cbl 下调 EGFR 野生型非小细胞肺癌中的 PD-L1。
FEBS Lett. 2018 Feb;592(4):621-630. doi: 10.1002/1873-3468.12985. Epub 2018 Feb 4.