• 文献检索
  • 文档翻译
  • 深度研究
  • 学术资讯
  • Suppr Zotero 插件Zotero 插件
  • 邀请有礼
  • 套餐&价格
  • 历史记录
应用&插件
Suppr Zotero 插件Zotero 插件浏览器插件Mac 客户端Windows 客户端微信小程序
定价
高级版会员购买积分包购买API积分包
服务
文献检索文档翻译深度研究API 文档MCP 服务
关于我们
关于 Suppr公司介绍联系我们用户协议隐私条款
关注我们

Suppr 超能文献

核心技术专利:CN118964589B侵权必究
粤ICP备2023148730 号-1Suppr @ 2026

文献检索

告别复杂PubMed语法,用中文像聊天一样搜索,搜遍4000万医学文献。AI智能推荐,让科研检索更轻松。

立即免费搜索

文件翻译

保留排版,准确专业,支持PDF/Word/PPT等文件格式,支持 12+语言互译。

免费翻译文档

深度研究

AI帮你快速写综述,25分钟生成高质量综述,智能提取关键信息,辅助科研写作。

立即免费体验

高螺距技术在 CT 肺动脉造影中降低对比剂剂量。

Minimizing contrast media dose in CT pulmonary angiography with high-pitch technique.

机构信息

Department of Radiology, Örebro university Hospital, Region Örebro län, S-70185 Örebro, Sweden.

Department of Radiology, Faculty of Medicine and Health, Örebro University, S-70182 Örebro, Sweden.

出版信息

Br J Radiol. 2020 Jul;93(1111):20190995. doi: 10.1259/bjr.20190995. Epub 2020 May 21.

DOI:10.1259/bjr.20190995
PMID:32436788
原文链接:https://pmc.ncbi.nlm.nih.gov/articles/PMC7336071/
Abstract

OBJECTIVES

To perform CT pulmonary angiography (CTPA) using a minimal amount of iodinated contrast media.

METHODS

47 patients (25 females) with mean age 69 years (range 41-82 years) referred for contrast-enhanced chest CT were prospectively included in this Phase IV clinical drug trial. All participants underwent a study specific CTPA in addition to the chest CT. The participants received 80 mg I/kg body weight Iohexol contrast media using a preparatory saline bolus, a dual flow contrast/saline bolus and a saline flush, and a scanner protocol with 80 kVp dual source high-pitch mode. Three readers independently assessed the image quality on the 3-point scale non-diagnostic, adequate or good-excellent image quality. Additionally, the pulmonary arterial contrast opacification was measured.

RESULTS

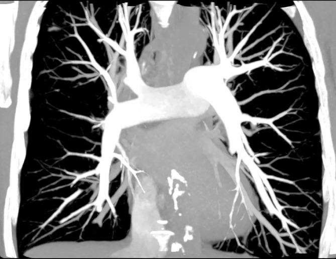
On average, the patients received 16.8 ml Iohexol 350 mg I/mL (range 12-20 ml). Mean patient weight was 71 kg (range 50-85 kg). Identically for all readers, pulmonary embolism (PE) was detected in 1/47 participants. The median number of examinations visually scored concerning pulmonary embolism as good-excellent was 47/47 (range 44-47); adequate 0/47 (0-3) and non-diagnostic 0/47 (range 0-0). The proportion adequate or better examinations was for all readers 47/47, 100% [95% confidence interval 92-100%]. The mean attenuation ± standard deviation in the pulmonary trunk was 325 ± 72 Hounsfield unit (range 165-531 Hounsfield unit).

CONCLUSIONS

Diagnostic CTPA with 17 ml contrast media is possible in non-obese patients using low kVp, high pitch and carefully designed contrast media administration.

ADVANCES IN KNOWLEDGE

By combining several procedures in a CTPA protocol, the contrast media dose can be minimized.

摘要

目的

使用最小剂量的碘造影剂进行 CT 肺动脉造影(CTPA)。

方法

本项 IV 期临床试验前瞻性纳入了 47 例(25 名女性)年龄 69 岁(41-82 岁)的患者,这些患者因怀疑患有胸部疾病而接受对比增强胸部 CT 检查。所有患者均接受特定的 CTPA 检查和胸部 CT 检查。患者使用 80mgI/kg 体重的碘海醇造影剂,采用预备盐水团注、双流速造影剂/盐水团注和盐水冲洗,以及 80kVp 双源高管电压高螺距模式的扫描仪方案。三位观察者独立对 3 分制(非诊断、充分、良好-优秀)的图像质量进行评估。此外,还对肺动脉对比度进行了测量。

结果

平均每位患者接受 16.8ml 碘海醇 350mgI/ml(范围为 12-20ml)。患者平均体重为 71kg(范围为 50-85kg)。所有观察者均在 1/47 名患者中发现了肺栓塞(PE)。对所有观察者而言,47/47(范围 44-47)个肺动脉栓塞评估为良好-优秀,0/47(0-3)个为充分,0/47(0-0)个为非诊断。对于所有观察者,充分或更好的检查比例为 47/47,100%(95%置信区间 92-100%)。肺动脉干的平均衰减值±标准差为 325±72 亨氏单位(范围为 165-531 亨氏单位)。

结论

在非肥胖患者中,通过结合 CTPA 方案中的多个步骤,使用低 kVp、高管电压和精心设计的造影剂给药方案,可实现 17ml 造影剂的诊断性 CTPA。

知识进步

通过在 CTPA 方案中组合多个程序,可以最小化造影剂剂量。

https://cdn.ncbi.nlm.nih.gov/pmc/blobs/fd8e/7336071/df7fd10c3e30/bjr.20190995.g004.jpg
https://cdn.ncbi.nlm.nih.gov/pmc/blobs/fd8e/7336071/1a5664d978c9/bjr.20190995.g001.jpg
https://cdn.ncbi.nlm.nih.gov/pmc/blobs/fd8e/7336071/2866fa185622/bjr.20190995.g002.jpg
https://cdn.ncbi.nlm.nih.gov/pmc/blobs/fd8e/7336071/326613e1cbc1/bjr.20190995.g003.jpg
https://cdn.ncbi.nlm.nih.gov/pmc/blobs/fd8e/7336071/df7fd10c3e30/bjr.20190995.g004.jpg
https://cdn.ncbi.nlm.nih.gov/pmc/blobs/fd8e/7336071/1a5664d978c9/bjr.20190995.g001.jpg
https://cdn.ncbi.nlm.nih.gov/pmc/blobs/fd8e/7336071/2866fa185622/bjr.20190995.g002.jpg
https://cdn.ncbi.nlm.nih.gov/pmc/blobs/fd8e/7336071/326613e1cbc1/bjr.20190995.g003.jpg
https://cdn.ncbi.nlm.nih.gov/pmc/blobs/fd8e/7336071/df7fd10c3e30/bjr.20190995.g004.jpg

相似文献

1
Minimizing contrast media dose in CT pulmonary angiography with high-pitch technique.高螺距技术在 CT 肺动脉造影中降低对比剂剂量。
Br J Radiol. 2020 Jul;93(1111):20190995. doi: 10.1259/bjr.20190995. Epub 2020 May 21.
2
Feasibility of a Single Contrast Bolus High-Pitch Pulmonary CT Angiography Protocol Followed by Low-Dose Retrospectively ECG-Gated Cardiac CT in Patients with Suspected Pulmonary Embolism.对疑似肺栓塞患者采用单期对比剂团注高螺距肺CT血管造影方案,随后进行低剂量回顾性心电图门控心脏CT的可行性研究。
Rofo. 2018 Jun;190(6):542-550. doi: 10.1055/s-0044-100725. Epub 2018 Feb 1.
3
High-pitch CT pulmonary angiography (CTPA) with ultra-low contrast medium volume for the detection of pulmonary embolism: a comparison with standard CTPA.高分辨率 CT 肺动脉造影(CTPA)联合超低对比剂用量在肺动脉栓塞中的诊断价值:与标准 CTPA 的对比研究。
Eur Radiol. 2024 Mar;34(3):1921-1931. doi: 10.1007/s00330-023-10101-8. Epub 2023 Sep 1.
4
CT pulmonary angiography: simultaneous low-pitch dual-source acquisition mode with 70 kVp and 40 ml of contrast medium and comparison with high-pitch spiral dual-source acquisition with automated tube potential selection.CT肺血管造影:采用70 kVp和40 ml对比剂的同步低螺距双源采集模式,并与自动管电压选择的高螺距螺旋双源采集进行比较。
Br J Radiol. 2016 Jun;89(1062):20151059. doi: 10.1259/bjr.20151059. Epub 2016 Mar 23.
5
Minimizing Contrast Media Dose in CT Pulmonary Angiography with Clinical Photon Counting Using High Pitch Technique.使用高螺距技术通过临床光子计数在CT肺血管造影中最小化对比剂剂量
Acad Radiol. 2024 Feb;31(2):686-692. doi: 10.1016/j.acra.2023.05.018. Epub 2023 Jun 29.
6
Weight-Adjusted Contrast Administration in the Computed Tomography Evaluation of Pulmonary Embolism.体重调整对比剂在计算机断层扫描评估肺栓塞中的应用。
J Med Imaging Radiat Sci. 2020 Sep;51(3):451-461. doi: 10.1016/j.jmir.2020.06.002. Epub 2020 Jun 30.
7
Intravenous contrast medium administration at 128 multidetector row CT pulmonary angiography: bolus tracking versus test bolus and the implications for diagnostic quality and effective dose.128 层多排 CT 肺动脉造影时的静脉对比剂给药:团注追踪与测试团注及其对诊断质量和有效剂量的影响。
Clin Radiol. 2012 Nov;67(11):1053-60. doi: 10.1016/j.crad.2012.02.010. Epub 2012 Apr 19.
8
Impact of iodine delivery rate with varying flow rates on image quality in dual-energy CT of patients with suspected pulmonary embolism.不同流速下碘输送率对疑似肺栓塞患者双能 CT 图像质量的影响。
Acad Radiol. 2013 Aug;20(8):962-71. doi: 10.1016/j.acra.2013.02.013. Epub 2013 Jun 6.
9
Submillisievert standard-pitch CT pulmonary angiography with ultra-low dose contrast media administration: A comparison to standard CT imaging.低剂量对比剂行亚毫伏准直螺距 CT 肺动脉造影:与标准 CT 成像的对比。
PLoS One. 2017 Oct 18;12(10):e0186694. doi: 10.1371/journal.pone.0186694. eCollection 2017.
10
Individually tailored contrast enhancement in CT pulmonary angiography.CT肺血管造影术中的个体化定制对比增强
Br J Radiol. 2016;89(1061):20150850. doi: 10.1259/bjr.20150850. Epub 2016 Jan 22.

引用本文的文献

1
Impact of arm position on low dose dual-source CT one-step aortic and cerebral-carotid artery angiography image quality and radiation dose.手臂位置对低剂量双源CT一站式主动脉及脑颈动脉血管造影图像质量和辐射剂量的影响
BMC Med Imaging. 2025 May 30;25(1):198. doi: 10.1186/s12880-025-01742-w.
2
A randomised controlled trial comparing three clinical administration strategies in spectral detector CT pulmonary angiography with low contrast medium dose.一项比较三种临床给药策略在低对比剂剂量光谱探测器CT肺血管造影中的随机对照试验。
Eur Radiol. 2025 Feb 19. doi: 10.1007/s00330-025-11420-8.
3
Low KV-low contrast medium dose one-stop dual source CT high pitch integrated coronary-carotid-cerebral-aortic CTA improves image quality and reduces both radiation and contrast medium doses.

本文引用的文献

1
Ultra-low dose contrast CT pulmonary angiography in oncology patients using a high-pitch helical dual-source technology.采用高螺旋双源技术的肿瘤患者超低剂量对比 CT 肺动脉造影。
Diagn Interv Radiol. 2019 May;25(3):195-203. doi: 10.5152/dir.2019.17498.
2
Post-contrast acute kidney injury - Part 1: Definition, clinical features, incidence, role of contrast medium and risk factors : Recommendations for updated ESUR Contrast Medium Safety Committee guidelines.对比剂后急性肾损伤-第 1 部分:定义、临床特征、发生率、对比剂的作用及危险因素:对 ESUR 对比剂安全委员会指南更新的建议。
Eur Radiol. 2018 Jul;28(7):2845-2855. doi: 10.1007/s00330-017-5246-5. Epub 2018 Feb 9.
3
低千伏-低对比剂剂量一站式双源CT高螺距一体化冠状动脉-颈动脉-脑动脉-主动脉CT血管造影术可提高图像质量,并降低辐射剂量和对比剂剂量。
Eur J Radiol Open. 2025 Jan 29;14:100637. doi: 10.1016/j.ejro.2025.100637. eCollection 2025 Jun.
4
Individualized Scan Protocol Based on Body Mass Index in Dual-Energy Computed Tomography Pulmonary Angiography to Reduce Radiation and Contrast Doses with Improved Image Quality.基于体质量指数的双能 CT 肺动脉造影个体化扫描方案在降低辐射和对比剂剂量的同时提高图像质量。
Med Sci Monit. 2023 Apr 28;29:e939234. doi: 10.12659/MSM.939234.
5
Optimizing low contrast volume thoracic CT angiography: From the basics to the advanced.优化低对比剂用量胸部CT血管造影:从基础到进阶
J Clin Imaging Sci. 2022 Jul 29;12:41. doi: 10.25259/JCIS_51_2022. eCollection 2022.
6
Comparative Study of Diagnostic Efficacy of Single Phase-Computed Tomography Pulmonary Angiography and Dual Phase-Computed Tomography Pulmonary Angiography in the Diagnosis of Pulmonary Embolism.单相计算机断层扫描肺动脉造影与双相计算机断层扫描肺动脉造影在诊断肺栓塞中的诊断效能比较研究
Front Cardiovasc Med. 2022 Feb 25;9:846805. doi: 10.3389/fcvm.2022.846805. eCollection 2022.
7
Acute Pulmonary Embolism: Prognostic Role of Computed Tomography Pulmonary Angiography (CTPA).急性肺栓塞:计算机断层扫描肺动脉造影(CTPA)的预后作用
Tomography. 2022 Feb 14;8(1):529-539. doi: 10.3390/tomography8010042.
8
The ultrafast, high-pitch turbo FLASH mode of third-generation dual-source CT: Effect of different pitch and corresponding SFOV on image quality in a phantom study.第三代双源 CT 的超快速、高转速 turbo FLASH 模式:在体模研究中不同螺距和相应的 SFOV 对图像质量的影响。
J Appl Clin Med Phys. 2021 Dec;22(12):158-167. doi: 10.1002/acm2.13466. Epub 2021 Nov 9.
CT pulmonary angiography in patients with acute or chronic renal insufficiency: Evaluation of a low dose contrast material protocol.
CT 肺动脉造影在急性或慢性肾功能不全患者中的应用:低剂量对比剂方案的评估。
Sci Rep. 2018 Jan 31;8(1):1995. doi: 10.1038/s41598-018-20254-y.
4
Submillisievert standard-pitch CT pulmonary angiography with ultra-low dose contrast media administration: A comparison to standard CT imaging.低剂量对比剂行亚毫伏准直螺距 CT 肺动脉造影:与标准 CT 成像的对比。
PLoS One. 2017 Oct 18;12(10):e0186694. doi: 10.1371/journal.pone.0186694. eCollection 2017.
5
CT pulmonary angiography: simultaneous low-pitch dual-source acquisition mode with 70 kVp and 40 ml of contrast medium and comparison with high-pitch spiral dual-source acquisition with automated tube potential selection.CT肺血管造影:采用70 kVp和40 ml对比剂的同步低螺距双源采集模式,并与自动管电压选择的高螺距螺旋双源采集进行比较。
Br J Radiol. 2016 Jun;89(1062):20151059. doi: 10.1259/bjr.20151059. Epub 2016 Mar 23.
6
High-Pitch CT Pulmonary Angiography in Third Generation Dual-Source CT: Image Quality in an Unselected Patient Population.第三代双源CT的高分辨率CT肺血管造影:未选择患者群体的图像质量
PLoS One. 2016 Feb 12;11(2):e0146949. doi: 10.1371/journal.pone.0146949. eCollection 2016.
7
Anticoagulant treatment for subsegmental pulmonary embolism.亚段肺栓塞的抗凝治疗
Cochrane Database Syst Rev. 2016 Jan 12(1):CD010222. doi: 10.1002/14651858.CD010222.pub3.
8
70-kVp High-pitch Computed Tomography Pulmonary Angiography with 40 mL Contrast Agent: Initial Experience.使用40毫升造影剂的70千伏峰值高螺距计算机断层扫描肺血管造影:初步经验
Acad Radiol. 2015 Dec;22(12):1562-70. doi: 10.1016/j.acra.2015.08.026. Epub 2015 Oct 1.
9
[2014 ESC Guidelines on the diagnosis and management of acute pulmonary embolism].[2014年欧洲心脏病学会急性肺栓塞诊断和管理指南]
Kardiol Pol. 2014;72(11):997-1053. doi: 10.5603/KP.2014.0211.
10
High-pitch computed tomography pulmonary angiography with iterative reconstruction at 80 kVp and 20 mL contrast agent volume.80kVp 及 20 毫升对比剂用量下的高频率 CT 肺动脉造影及迭代重建技术。
Eur Radiol. 2014 Dec;24(12):3260-8. doi: 10.1007/s00330-014-3365-9. Epub 2014 Aug 7.