Suppr超能文献

在束手束脚的情况下治疗患者:一名耶和华见证人的急性胸部综合征

Treating a Patient with Your Hands Tied: Acute Chest Syndrome in a Jehovah's Witness.

作者信息

Vadehra Deepak, Davino Tammy, Datta Debapriya

机构信息

Internal Medicine, University of Connecticut Health Center, Farmington, USA.

Critical Care, University of Connecticut Health Center, Farmington, USA.

出版信息

Cureus. 2020 Apr 21;12(4):e7769. doi: 10.7759/cureus.7769.

Abstract

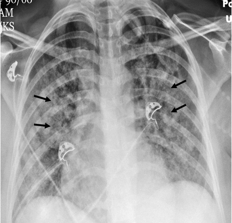
Acute chest syndrome (ACS), a vaso-occlusive crisis in patients with sickle cell anemia, is a life-threatening condition and a leading cause of death in these patients. It is treated with analgesics, antibiotics, intravenous fluid, supplemental oxygen (or ventilatory support in severe cases) with simple or exchange transfusion, being the mainstay of therapy. We report a young Jehovah's Witness (JW) patient with sickle cell anemia who presented with ACS. Her religious beliefs precluded the use of blood products. Despite concomitant hemolytic and aplastic crisis and a hemoglobin nadir of 3.1 g/dL, the patient was treated successfully with supportive care - including mechanical ventilation, sedation, paralysis, and erythropoiesis stimulation - and survived. A maximal supportive strategy consisting of ventilatory support with a high fraction of inspired oxygen, sedation, paralysis, erythropoiesis stimulation, and limitation of blood draws can result in the successful treatment of JW patients who refuse blood products.

摘要

急性胸部综合征(ACS)是镰状细胞贫血患者的一种血管闭塞性危象,是一种危及生命的病症,也是这些患者死亡的主要原因。其治疗方法包括使用镇痛药、抗生素、静脉输液、补充氧气(严重病例采用通气支持)以及简单或换血输血,这是主要的治疗手段。我们报告了一名患有镰状细胞贫血的年轻耶和华见证会(JW)患者,该患者出现了急性胸部综合征。她的宗教信仰使她不能使用血液制品。尽管同时出现了溶血性和再生障碍性危象,血红蛋白最低点为3.1g/dL,但该患者通过支持性治疗(包括机械通气、镇静、麻痹和促红细胞生成刺激)成功治愈并存活。由高浓度吸氧通气支持、镇静、麻痹、促红细胞生成刺激和限制抽血组成的最大支持策略可以成功治疗拒绝使用血液制品的JW患者。

https://cdn.ncbi.nlm.nih.gov/pmc/blobs/9337/7243639/e9cb95e16a46/cureus-0012-00000007769-i01.jpg

文献检索

告别复杂PubMed语法,用中文像聊天一样搜索,搜遍4000万医学文献。AI智能推荐,让科研检索更轻松。

立即免费搜索

文件翻译

保留排版,准确专业,支持PDF/Word/PPT等文件格式,支持 12+语言互译。

免费翻译文档

深度研究

AI帮你快速写综述,25分钟生成高质量综述,智能提取关键信息,辅助科研写作。

立即免费体验