Department of Surgery and Cancer, Imperial College, London, UK.
Eli Lilly and Company, Indianapolis, IN, USA.
EMBO Mol Med. 2020 Aug 7;12(8):e12697. doi: 10.15252/emmm.202012697. Epub 2020 Jun 24.
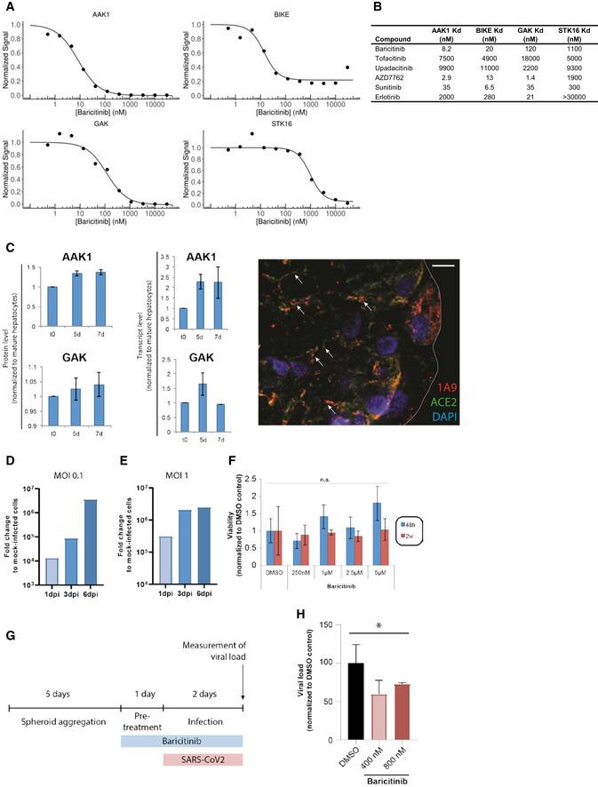
Baricitinib is an oral Janus kinase (JAK)1/JAK2 inhibitor approved for the treatment of rheumatoid arthritis (RA) that was independently predicted, using artificial intelligence (AI) algorithms, to be useful for COVID-19 infection via proposed anti-cytokine effects and as an inhibitor of host cell viral propagation. We evaluated the in vitro pharmacology of baricitinib across relevant leukocyte subpopulations coupled to its in vivo pharmacokinetics and showed it inhibited signaling of cytokines implicated in COVID-19 infection. We validated the AI-predicted biochemical inhibitory effects of baricitinib on human numb-associated kinase (hNAK) members measuring nanomolar affinities for AAK1, BIKE, and GAK. Inhibition of NAKs led to reduced viral infectivity with baricitinib using human primary liver spheroids. These effects occurred at exposure levels seen clinically. In a case series of patients with bilateral COVID-19 pneumonia, baricitinib treatment was associated with clinical and radiologic recovery, a rapid decline in SARS-CoV-2 viral load, inflammatory markers, and IL-6 levels. Collectively, these data support further evaluation of the anti-cytokine and anti-viral activity of baricitinib and support its assessment in randomized trials in hospitalized COVID-19 patients.
巴瑞替尼是一种口服 Janus 激酶(JAK)1/JAK2 抑制剂,已被批准用于治疗类风湿关节炎(RA)。它通过拟议的抗细胞因子作用和作为宿主细胞病毒增殖抑制剂,被人工智能(AI)算法独立预测对 COVID-19 感染有用。我们评估了巴瑞替尼在相关白细胞亚群中的体外药理学特性及其体内药代动力学,并表明它抑制了 COVID-19 感染相关细胞因子的信号传导。我们验证了 AI 预测的巴瑞替尼对人类 NUMB 相关激酶(hNAK)成员的生化抑制作用,其对 AAK1、BIKE 和 GAK 的亲和力达到纳摩尔水平。使用人原代肝球体,巴瑞替尼抑制 NAKs 可降低病毒感染力。这些作用发生在临床上观察到的暴露水平。在双侧 COVID-19 肺炎患者的病例系列中,巴瑞替尼治疗与临床和影像学恢复、SARS-CoV-2 病毒载量、炎症标志物和 IL-6 水平的快速下降相关。总的来说,这些数据支持进一步评估巴瑞替尼的抗细胞因子和抗病毒活性,并支持其在 COVID-19 住院患者的随机试验中的评估。