Suppr超能文献

以穿孔性腹膜炎为表现的空肠非霍奇金淋巴瘤:一例报告。

Non-Hodgkin Lymphoma of the jejunum presenting as perforation peritonitis: A case report.

作者信息

Darmadi Suluh, Faruk Muhammad

机构信息

Division of Digestive, Department of Surgery, Faculty of Medicine, Hasanuddin University Makassar, Indonesia.

Division of Oncology, Department of Surgery, Faculty of Medicine, Hasanuddin University Makassar, Indonesia.

出版信息

Ann Med Surg (Lond). 2020 May 18;55:131-134. doi: 10.1016/j.amsu.2020.04.041. eCollection 2020 Jul.

Abstract

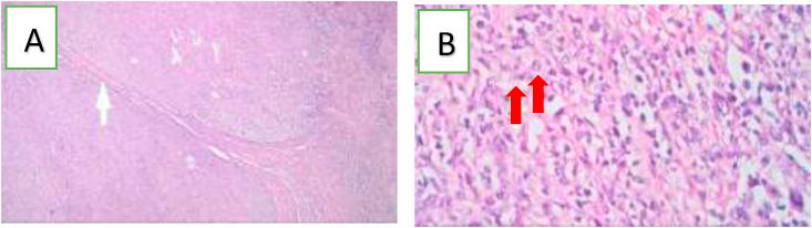
Primary gastrointestinal lymphoma is very rare compared to gastrointestinal tract lymphoma arising from secondary to primary nodal disease. Extra nodal lymphoma can involve any part of the gastrointestinal tract, most commonly being the stomach followed by small intestine and ileocecal region. They are indistinguishable from other benign and malignant conditions and are clinically non-specific. While perforation is common among patients undergoing lymphoma treatment, presentation of primary gastrointestinal lymphoma as perforation is rare and needs proper evaluation and management. Here, we describe an interesting case in which a patient presenting with peritonitis was found to have perforation and mass of the jejunum. Resection and anastomosis were performed as intervention, with subsequent histopathological examination showing Malignant Non-Hodgkin lymphoma (NHL). Postoperative follow up was provided along with the appropriate chemotherapy regimen.

摘要

与继发于原发性淋巴结疾病的胃肠道淋巴瘤相比,原发性胃肠道淋巴瘤非常罕见。结外淋巴瘤可累及胃肠道的任何部位,最常见的是胃,其次是小肠和回盲部。它们与其他良性和恶性疾病难以区分,临床症状不具有特异性。虽然穿孔在接受淋巴瘤治疗的患者中很常见,但原发性胃肠道淋巴瘤以穿孔形式出现却很罕见,需要进行适当的评估和处理。在此,我们描述了一个有趣的病例,一名表现为腹膜炎的患者被发现空肠穿孔并伴有肿块。作为干预措施,进行了切除和吻合术,随后的组织病理学检查显示为恶性非霍奇金淋巴瘤(NHL)。术后进行了随访并给予了适当的化疗方案。

https://cdn.ncbi.nlm.nih.gov/pmc/blobs/9959/7251296/f217c17162c3/gr1.jpg

文献AI研究员

20分钟写一篇综述,助力文献阅读效率提升50倍。

立即体验

用中文搜PubMed

大模型驱动的PubMed中文搜索引擎

马上搜索

文档翻译

学术文献翻译模型,支持多种主流文档格式。

立即体验