Suppr超能文献

一名13岁女性的伴有环状小管的卵巢性索肿瘤:病例报告

Ovarian sex cord tumour with annular tubules in a 13-year-old female: a case report.

作者信息

Yahaya James J, Mshana Daudi, Mremi Alex

机构信息

Department of Pathology, Makerere College of Health Sciences, Kampala, Uganda.

Department of Biomedical Science, College of Health Science (CHS), The University of Dodoma, Dodoma, Tanzania.

出版信息

Oxf Med Case Reports. 2020 May 23;2020(4):omaa024. doi: 10.1093/omcr/omaa024. eCollection 2020 Apr.

Abstract

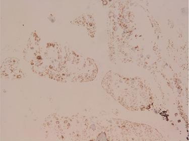
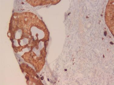
Sex cord tumour with annular tubules (SCTAT) is uncommon and distinctive type of sex cord-stromal tumours of the ovary which develops from sex cord cells. Most of SCTATs are strongly associated with Peutz-Jeghers syndrome (PJS) and have low malignancy potential; however, 20% of non-PJS-associated SCTATs have been reported to have high malignancy potential. Herein, we present a 13-year-old female who presented with severe abdominal pain localized in the right lower side, associated with nausea. Based on histopathological and immunohistochemical findings, the diagnosis was confirmed to be SCTAT. SCTAT of the ovary is extremely rare in the paediatric population as compared to the general population. Its occurrence among paediatrics as it was the case in the patient described in this paper may pose diagnostic challenges due to lack of clinical suspicion and therefore resulting in delay of diagnosis.

摘要

伴有环状小管的性索肿瘤(SCTAT)是一种罕见且独特的卵巢性索间质肿瘤,由性索细胞发展而来。大多数SCTAT与黑斑息肉综合征(PJS)密切相关,恶性潜能较低;然而,据报道,20%的非PJS相关SCTAT具有较高的恶性潜能。在此,我们报告一名13岁女性,她出现严重腹痛,局限于右下腹,并伴有恶心。根据组织病理学和免疫组化结果,确诊为SCTAT。与普通人群相比,卵巢SCTAT在儿科人群中极为罕见。由于缺乏临床怀疑,其在儿科中的发生情况(如本文所述患者)可能会带来诊断挑战,从而导致诊断延迟。

https://cdn.ncbi.nlm.nih.gov/pmc/blobs/bad1/7243713/4325d5d58fef/omaa024f1.jpg

文献检索

告别复杂PubMed语法,用中文像聊天一样搜索,搜遍4000万医学文献。AI智能推荐,让科研检索更轻松。

立即免费搜索

文件翻译

保留排版,准确专业,支持PDF/Word/PPT等文件格式,支持 12+语言互译。

免费翻译文档

深度研究

AI帮你快速写综述,25分钟生成高质量综述,智能提取关键信息,辅助科研写作。

立即免费体验