Suppr超能文献

帕博利珠单抗在非小细胞肺癌中的显著疗效:一例报告。 (注:原文中药物名称有误,正确的应该是帕博利珠单抗“pembrolizumab”,而不是“sintilimab”,这里按照给定原文翻译)

Promising response to a PD-1 inhibitor (sintilimab) in non-small cell lung cancer: A case report.

作者信息

Zhang Lin, Mai Wuqian, Hao Bo, Jiang Wenyang, Geng Qing

机构信息

Department of Thoracic Surgery, Renmin Hospital of Wuhan University.

Department of Cardiology, Union Hospital, Tongji Medical College, Huazhong University of Science and Technology, Wuhan, China.

出版信息

Medicine (Baltimore). 2020 May 22;99(21):e19790. doi: 10.1097/MD.0000000000019790.

Abstract

RATIONALE

Lung cancer is the cancer with the highest incidence and mortality in China and worldwide. Among them, 85% are non-small cell lung cancer (NSCLC). No previous reports have been published to describe the clinical effect of the immune checkpoint inhibitor (ICI) sintilimab in NSCLC yet.

PATIENT CONCERNS

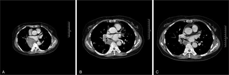
We report a case of a 64-year-old woman with a 20-day history of chest pain with computed tomography scan showing a right lower lung mass.

DIAGNOSES

Squamous NSCLC was diagnosed by bronchoscopy.

INTERVENTIONS

The patient was treated with sintilimab plus nedaplatin and paclitaxel as neoadjuvant therapy for 3 cycles, followed by right thoracotomy, right middle lobectomy, right lower lobectomy, hilar lymphadenectomy, mediastinal lymphadenectomy, and pericardiostomy.

OUTCOMES

The patient was discharged from the hospital 12 days after operation. Pathological report showed no cancer residue in the lung tissue, the bronchial stump, the anastomotic lung marginal tissue, 2nd, 4th, 7th, 9th, 10th, 11th lymph nodes or in the peribronchial lymph nodes after repeated sampling. The pathological stage was deemed T0N0M0. She remained disease free until the latest follow up in July 2019.

LESSONS

Sintilimab is a promising drug for patients with locally advanced NSCLC. However, its efficacy still requires further clinical investigations.

摘要

理论依据

肺癌是中国和全球发病率及死亡率最高的癌症。其中,85%为非小细胞肺癌(NSCLC)。此前尚无关于免疫检查点抑制剂(ICI)信迪利单抗在NSCLC中临床疗效的报道。

患者情况

我们报告一例64岁女性,有20天胸痛病史,计算机断层扫描显示右下肺肿块。

诊断

通过支气管镜检查诊断为鳞状NSCLC。

干预措施

患者接受信迪利单抗联合奈达铂和紫杉醇作为新辅助治疗3个周期,随后行右开胸手术、右中叶切除术、右下叶切除术、肺门淋巴结清扫术、纵隔淋巴结清扫术和心包造口术。

结果

患者术后12天出院。病理报告显示,经反复取样后,肺组织、支气管残端、吻合肺边缘组织、第2、4、7、9、10、1l组淋巴结或支气管周围淋巴结均无癌残留。病理分期为T0N0M0。截至2019年7月最新随访,她仍无疾病复发。

经验教训

信迪利单抗对于局部晚期NSCLC患者是一种有前景的药物。然而,其疗效仍需进一步的临床研究。

https://cdn.ncbi.nlm.nih.gov/pmc/blobs/60b9/7249863/b0ca7c0cfa12/medi-99-e19790-g001.jpg

文献AI研究员

20分钟写一篇综述,助力文献阅读效率提升50倍。

立即体验

用中文搜PubMed

大模型驱动的PubMed中文搜索引擎

马上搜索

文档翻译

学术文献翻译模型,支持多种主流文档格式。

立即体验