• 文献检索
  • 文档翻译
  • 深度研究
  • 学术资讯
  • Suppr Zotero 插件Zotero 插件
  • 邀请有礼
  • 套餐&价格
  • 历史记录
应用&插件
Suppr Zotero 插件Zotero 插件浏览器插件Mac 客户端Windows 客户端微信小程序
定价
高级版会员购买积分包购买API积分包
服务
文献检索文档翻译深度研究API 文档MCP 服务
关于我们
关于 Suppr公司介绍联系我们用户协议隐私条款
关注我们

Suppr 超能文献

核心技术专利:CN118964589B侵权必究
粤ICP备2023148730 号-1Suppr @ 2026

文献检索

告别复杂PubMed语法,用中文像聊天一样搜索,搜遍4000万医学文献。AI智能推荐,让科研检索更轻松。

立即免费搜索

文件翻译

保留排版,准确专业,支持PDF/Word/PPT等文件格式,支持 12+语言互译。

免费翻译文档

深度研究

AI帮你快速写综述,25分钟生成高质量综述,智能提取关键信息,辅助科研写作。

立即免费体验

β-碳酸酐酶的阴离子抑制研究。

Anion Inhibition Studies of the Beta-Carbonic Anhydrase from .

机构信息

Institute of Biosciences and Bioresources, CNR, Via Pietro Castellino 111, 80131 Napoli, Italy.

Proteomics &amp.

出版信息

Molecules. 2020 May 31;25(11):2564. doi: 10.3390/molecules25112564.

DOI:10.3390/molecules25112564
PMID:32486444
原文链接:https://pmc.ncbi.nlm.nih.gov/articles/PMC7321114/
Abstract

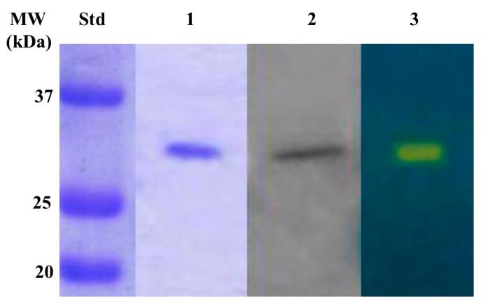
The interconversion of CO and HCO is catalyzed by a superfamily of metalloenzymes, known as carbonic anhydrases (CAs, EC 4.2.1.1), which maintain the equilibrium between dissolved inorganic CO and HCO. In the genome of , a Gram-negative bacterium typically colonizing the lower intestine of warm-blooded organisms, the cyn operon gene includes the CynT gene, encoding for a β-CA, and CynS gene, encoding for the cyanase. CynT (β-CA) prevents the depletion of the cellular bicarbonate, which is further used in the reaction catalyzed by cyanase. A second β-CA (CynT2 or Can or yadF), as well as a γ and ι-CAs were also identified in the genome. CynT2 is essential for bacterial growth at atmospheric CO concentration. Here, we characterized the kinetic properties and the anion inhibition profiles of recombinant CynT2. The enzyme showed a good activity for the physiological CO hydratase reaction with the following parameters: k = 5.3 × 10 s and k/K = of 4.1 × 10 M s. Sulfamide, sulfamate, phenylboronic acid, phenylarsonic acid, and diethyldithiocarbamate were the most effective CynT2 inhibitors (K = 2.5 to 84 µM). The anions allowed for a detailed understanding of the interaction of inhibitors with the amino acid residues surrounding the catalytic pocket of the enzyme and may be used as leads for the design of more efficient and specific inhibitors.

摘要

CO 和 HCO 的相互转化由碳酸酐酶(CA,EC 4.2.1.1)超家族金属酶催化,该酶维持溶解无机 CO 和 HCO 之间的平衡。在革兰氏阴性菌的基因组中,通常定植于温血动物的下肠道, Cyn 操纵子基因包括 CynT 基因,编码β-CA,以及 CynS 基因,编码氰酶。CynT(β-CA)防止细胞碳酸氢盐的耗尽,进一步用于氰酶催化的反应中。在基因组中还鉴定了第二种β-CA(CynT2 或 Can 或 yadF)以及γ和ι-CA。CynT2 对于细菌在大气 CO 浓度下的生长是必需的。在这里,我们表征了重组 CynT2 的动力学特性和阴离子抑制特性。该酶对生理 CO 水合酶反应表现出良好的活性,其参数为:k = 5.3×10 s 和 k/K = 4.1×10 M s。磺胺、磺胺酸盐、苯硼酸、苯胂酸和二乙二硫代氨基甲酸盐是 CynT2 最有效的抑制剂(K = 2.5 至 84µM)。阴离子允许详细了解抑制剂与酶催化口袋周围氨基酸残基的相互作用,并可作为设计更有效和更特异抑制剂的先导。

https://cdn.ncbi.nlm.nih.gov/pmc/blobs/0f36/7321114/697991a56d37/molecules-25-02564-g004.jpg
https://cdn.ncbi.nlm.nih.gov/pmc/blobs/0f36/7321114/5be2f05a1ef8/molecules-25-02564-g001.jpg
https://cdn.ncbi.nlm.nih.gov/pmc/blobs/0f36/7321114/9523b0dbe8bf/molecules-25-02564-g002.jpg
https://cdn.ncbi.nlm.nih.gov/pmc/blobs/0f36/7321114/335e87e20ec5/molecules-25-02564-g003.jpg
https://cdn.ncbi.nlm.nih.gov/pmc/blobs/0f36/7321114/697991a56d37/molecules-25-02564-g004.jpg
https://cdn.ncbi.nlm.nih.gov/pmc/blobs/0f36/7321114/5be2f05a1ef8/molecules-25-02564-g001.jpg
https://cdn.ncbi.nlm.nih.gov/pmc/blobs/0f36/7321114/9523b0dbe8bf/molecules-25-02564-g002.jpg
https://cdn.ncbi.nlm.nih.gov/pmc/blobs/0f36/7321114/335e87e20ec5/molecules-25-02564-g003.jpg
https://cdn.ncbi.nlm.nih.gov/pmc/blobs/0f36/7321114/697991a56d37/molecules-25-02564-g004.jpg

相似文献

1
Anion Inhibition Studies of the Beta-Carbonic Anhydrase from .β-碳酸酐酶的阴离子抑制研究。
Molecules. 2020 May 31;25(11):2564. doi: 10.3390/molecules25112564.
2
Cloning, characterization and anion inhibition study of a β-class carbonic anhydrase from the caries producing pathogen Streptococcus mutans.来自致龋病原体变形链球菌的β类碳酸酐酶的克隆、特性分析及阴离子抑制研究。
Bioorg Med Chem. 2015 Jul 1;23(13):2995-3001. doi: 10.1016/j.bmc.2015.05.007. Epub 2015 May 13.
3
The Effect of Substituted Benzene-Sulfonamides and Clinically Licensed Drugs on the Catalytic Activity of CynT2, a Carbonic Anhydrase Crucial for Life Cycle.取代苯磺酰胺类化合物和临床许可药物对生命循环中关键的碳酸酐酶 CynT2 的催化活性的影响。
Int J Mol Sci. 2020 Jun 11;21(11):4175. doi: 10.3390/ijms21114175.
4
Anion inhibition studies of the β-carbonic anhydrase from the pathogenic bacterium Vibrio cholerae.对致病性细菌霍乱弧菌的β-碳酸酐酶的阴离子抑制研究。
Bioorg Med Chem Lett. 2016 Mar 1;26(5):1406-10. doi: 10.1016/j.bmcl.2016.01.072. Epub 2016 Jan 27.
5
Anion inhibition studies of the α-carbonic anhydrase from the pathogenic bacterium Vibrio cholerae.霍乱弧菌α-碳酸酐酶的阴离子抑制研究。
Bioorg Med Chem Lett. 2013 Mar 15;23(6):1636-8. doi: 10.1016/j.bmcl.2013.01.084. Epub 2013 Jan 29.
6
Anion inhibition profiles of α-, β- and γ-carbonic anhydrases from the pathogenic bacterium Vibrio cholerae.霍乱弧菌致病细菌中α-、β-和γ-碳酸酐酶的阴离子抑制谱
Bioorg Med Chem. 2016 Aug 15;24(16):3413-7. doi: 10.1016/j.bmc.2016.05.029. Epub 2016 May 18.
7
Anion inhibition studies of the Zn(II)-bound ι-carbonic anhydrase from the Gram-negative bacterium .革兰氏阴性菌中锌结合的 ι-碳酸酐酶的阴离子抑制研究。
J Enzyme Inhib Med Chem. 2021 Dec;36(1):372-376. doi: 10.1080/14756366.2020.1867122.
8
Cloning, characterization and anion inhibition studies of a γ-carbonic anhydrase from the Antarctic bacterium Colwellia psychrerythraea.南极嗜冷红杆菌γ-碳酸酐酶的克隆、表征及阴离子抑制研究
Bioorg Med Chem. 2016 Feb 15;24(4):835-40. doi: 10.1016/j.bmc.2016.01.005. Epub 2016 Jan 6.
9
Anion inhibition studies of two α-carbonic anhydrases from Lotus japonicus, LjCAA1 and LjCAA2.对来自日本百脉根的两种α-碳酸酐酶LjCAA1和LjCAA2的阴离子抑制研究。
J Inorg Biochem. 2014 Jul;136:67-72. doi: 10.1016/j.jinorgbio.2014.03.014. Epub 2014 Apr 8.
10
Cloning, characterization and anion inhibition studies of a new γ-carbonic anhydrase from the Antarctic bacterium Pseudoalteromonas haloplanktis.南极嗜盐浮游假交替单胞菌新型γ-碳酸酐酶的克隆、表征及阴离子抑制研究
Bioorg Med Chem. 2015 Aug 1;23(15):4405-4409. doi: 10.1016/j.bmc.2015.06.021. Epub 2015 Jun 16.

引用本文的文献

1
May Sulfonamide Inhibitors of Carbonic Anhydrases from Prevent Antimicrobial Resistance Due to Gene Transfer to Other Harmful Staphylococci?磺胺类碳酸酐酶抑制剂是否可以防止由于基因转移到其他有害葡萄球菌而产生的抗菌耐药性?
Int J Mol Sci. 2022 Nov 10;23(22):13827. doi: 10.3390/ijms232213827.
2
The gram-negative bacterium as a model for testing the effect of carbonic anhydrase inhibition on bacterial growth.将革兰氏阴性菌作为模型来测试碳酸酐酶抑制对细菌生长的影响。
J Enzyme Inhib Med Chem. 2022 Dec;37(1):2092-2098. doi: 10.1080/14756366.2022.2101644.
3
Cloning, purification, kinetic and anion inhibition studies of a recombinant β-carbonic anhydrase from the Atlantic salmon parasite platyhelminth .

本文引用的文献

1
Antibacterial activity of ethoxzolamide against strains SS1 and 26695.乙氧唑胺对SS1和26695菌株的抗菌活性。
Gut Pathog. 2020 Apr 15;12:20. doi: 10.1186/s13099-020-00358-5. eCollection 2020.
2
Bacterial ι-carbonic anhydrase: a new active class of carbonic anhydrase identified in the genome of the Gram-negative bacterium .细菌 ι-碳酸酐酶:在革兰氏阴性菌基因组中发现的碳酸酐酶的新活性类别。
J Enzyme Inhib Med Chem. 2020 Dec;35(1):1060-1068. doi: 10.1080/14756366.2020.1755852.
3
inhibition of -carbonic anhydrase 3 with Mono- and dithiocarbamates and evaluation of their toxicity using zebrafish developing embryos.
克隆、纯化、动力学及阴离子抑制研究大西洋三文鱼寄生虫扁形动物重组β-碳酸酐酶。
J Enzyme Inhib Med Chem. 2022 Dec;37(1):1577-1586. doi: 10.1080/14756366.2022.2080818.
4
Biological investigation of -methyl thiosemicarbazones as antimicrobial agents and bacterial carbonic anhydrases inhibitors.-甲基硫代缩氨基脲类化合物作为抗菌剂和细菌碳酸酐酶抑制剂的生物研究。
J Enzyme Inhib Med Chem. 2022 Dec;37(1):986-993. doi: 10.1080/14756366.2022.2055009.
5
Carbonic Anhydrases: New Perspectives on Protein Functional Role and Inhibition in .碳酸酐酶:关于蛋白质功能作用及抑制作用的新视角
Front Microbiol. 2021 Mar 19;12:629163. doi: 10.3389/fmicb.2021.629163. eCollection 2021.
6
Evaluating the efficiency of enzyme accelerated CO capture: chemical kinetics modelling for interpreting measurement results.评估酶加速 CO 捕获的效率:用于解释测量结果的化学动力学建模。
J Enzyme Inhib Med Chem. 2021 Dec;36(1):394-401. doi: 10.1080/14756366.2020.1864631.
7
Anion inhibition studies of the Zn(II)-bound ι-carbonic anhydrase from the Gram-negative bacterium .革兰氏阴性菌中锌结合的 ι-碳酸酐酶的阴离子抑制研究。
J Enzyme Inhib Med Chem. 2021 Dec;36(1):372-376. doi: 10.1080/14756366.2020.1867122.
8
-carbonic anhydrase: characterisation and effects of simple aromatic/heterocyclic sulphonamide inhibitors.碳酸酐酶:简单芳香族/杂环磺酰胺抑制剂的特性和影响。
J Enzyme Inhib Med Chem. 2020 Dec;35(1):1545-1554. doi: 10.1080/14756366.2020.1800670.
用单硫代和二硫代氨基甲酸盐抑制 -碳酸酐酶 3 及其对斑马鱼胚胎发育毒性的评估。
J Enzyme Inhib Med Chem. 2020 Dec;35(1):65-71. doi: 10.1080/14756366.2019.1683007.
4
Pseudomonas aeruginosa β-carbonic anhydrase, psCA1, is required for calcium deposition and contributes to virulence.铜绿假单胞菌β-碳酸酐酶 psCA1 对于钙沉积是必需的,并有助于毒力。
Cell Calcium. 2019 Dec;84:102080. doi: 10.1016/j.ceca.2019.102080. Epub 2019 Sep 27.
5
Anti- activity of ethoxzolamide.乙氧唑胺的抗活性。
J Enzyme Inhib Med Chem. 2019 Dec;34(1):1660-1667. doi: 10.1080/14756366.2019.1663416.
6
Cloning, Purification, and Characterization of a β-Carbonic Anhydrase from , an Opportunistic Pathogen Involved in Dandruff and Seborrheic Dermatitis.从引起头皮屑和脂溢性皮炎的机会性病原体 中克隆、纯化和表征一种β-碳酸酐酶。
Int J Mol Sci. 2019 May 17;20(10):2447. doi: 10.3390/ijms20102447.
7
A new widespread subclass of carbonic anhydrase in marine phytoplankton.海洋浮游植物中碳酸酐酶的一个新的广泛分布的亚类。
ISME J. 2019 Aug;13(8):2094-2106. doi: 10.1038/s41396-019-0426-8. Epub 2019 Apr 25.
8
Identification and characterization of the α-CA in the outer membrane vesicles produced by Helicobacter pylori.鉴定和表征幽门螺杆菌外膜囊泡中的α-CA。
J Enzyme Inhib Med Chem. 2019 Dec;34(1):189-195. doi: 10.1080/14756366.2018.1539716.
9
Catalysis Concepts in Medicinal Inorganic Chemistry.催化概念在药物无机化学中的应用
Chemistry. 2019 May 10;25(27):6651-6660. doi: 10.1002/chem.201806341. Epub 2019 Feb 25.
10
Pathogenic and non-pathogenic colonization and host inflammatory response in a defined microbiota mouse model.在一个特定的微生物群小鼠模型中,致病性和非致病性定植与宿主炎症反应。
Dis Model Mech. 2018 Nov 16;11(11):dmm035063. doi: 10.1242/dmm.035063.