• 文献检索
  • 文档翻译
  • 深度研究
  • 学术资讯
  • Suppr Zotero 插件Zotero 插件
  • 邀请有礼
  • 套餐&价格
  • 历史记录
应用&插件
Suppr Zotero 插件Zotero 插件浏览器插件Mac 客户端Windows 客户端微信小程序
定价
高级版会员购买积分包购买API积分包
服务
文献检索文档翻译深度研究API 文档MCP 服务
关于我们
关于 Suppr公司介绍联系我们用户协议隐私条款
关注我们

Suppr 超能文献

核心技术专利:CN118964589B侵权必究
粤ICP备2023148730 号-1Suppr @ 2026

文献检索

告别复杂PubMed语法,用中文像聊天一样搜索,搜遍4000万医学文献。AI智能推荐,让科研检索更轻松。

立即免费搜索

文件翻译

保留排版,准确专业,支持PDF/Word/PPT等文件格式,支持 12+语言互译。

免费翻译文档

深度研究

AI帮你快速写综述,25分钟生成高质量综述,智能提取关键信息,辅助科研写作。

立即免费体验

自发性小脑坏死性肉芽肿:一例报告。

Spontaneous necrotizing granuloma of the cerebellum: a case report.

机构信息

Virginia Tech Carilion School of Medicine, 2 Riverside Circle, Roanoke, VA, 24016, USA.

Department of Neuroscience, Medical University of South Carolina, 171 Ashley Ave, Charleston, SC, 29425, USA.

出版信息

BMC Neurol. 2020 Jun 5;20(1):230. doi: 10.1186/s12883-020-01814-0.

DOI:10.1186/s12883-020-01814-0
PMID:32503453
原文链接:https://pmc.ncbi.nlm.nih.gov/articles/PMC7273654/
Abstract

BACKGROUND

Intracranial necrotizing granulomatous space-occupying lesions are sparsely reported in literature. Variability in presenting symptomatology and radiographic features makes diagnostic work-up difficult.

CASE PRESENTATION

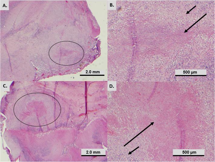
This report presents the case of a 77-year-old female with sinusitis and fatigue who underwent an MRI revealing a posterior fossa lesion compressing the fourth ventricle. Subsequent contrast CT of the chest, abdomen, and pelvis was negative for primary malignancy. Histopathologic examination of the lesion following biopsy showed it to be a necrotizing granuloma in an antineutrophil cytoplasmic antibody (ANCA) negative patient. The most likely diagnosis was determined to be spontaneous necrotizing granuloma, a rare entity with only one previous report noted.

CONCLUSIONS

Spontaneous necrotizing granuloma of the CNS is a rare entity that represents an important differential consideration in the work-up of space occupying lesions of the CNS.

摘要

背景

颅内坏死性肉芽肿性占位病变在文献中报道较少。临床表现和影像学特征的多样性使得诊断变得困难。

病例介绍

本报告介绍了一例 77 岁女性患者,有鼻窦炎和疲劳症状,行 MRI 检查显示后颅窝病变压迫第四脑室。随后进行的胸部、腹部和骨盆对比 CT 检查未发现原发性恶性肿瘤。活检后的组织病理学检查显示,该病变为抗中性粒细胞胞质抗体(ANCA)阴性患者的坏死性肉芽肿。最可能的诊断为自发性坏死性肉芽肿,这是一种罕见的疾病,此前仅有一例报道。

结论

中枢神经系统自发性坏死性肉芽肿是一种罕见的疾病,在中枢神经系统占位性病变的诊断中需要考虑到这一重要的鉴别诊断。

https://cdn.ncbi.nlm.nih.gov/pmc/blobs/7524/7273654/bd95d53bc530/12883_2020_1814_Fig3_HTML.jpg
https://cdn.ncbi.nlm.nih.gov/pmc/blobs/7524/7273654/0e26277579d6/12883_2020_1814_Fig1_HTML.jpg
https://cdn.ncbi.nlm.nih.gov/pmc/blobs/7524/7273654/1f8a29f0d401/12883_2020_1814_Fig2_HTML.jpg
https://cdn.ncbi.nlm.nih.gov/pmc/blobs/7524/7273654/bd95d53bc530/12883_2020_1814_Fig3_HTML.jpg
https://cdn.ncbi.nlm.nih.gov/pmc/blobs/7524/7273654/0e26277579d6/12883_2020_1814_Fig1_HTML.jpg
https://cdn.ncbi.nlm.nih.gov/pmc/blobs/7524/7273654/1f8a29f0d401/12883_2020_1814_Fig2_HTML.jpg
https://cdn.ncbi.nlm.nih.gov/pmc/blobs/7524/7273654/bd95d53bc530/12883_2020_1814_Fig3_HTML.jpg

相似文献

1
Spontaneous necrotizing granuloma of the cerebellum: a case report.自发性小脑坏死性肉芽肿:一例报告。
BMC Neurol. 2020 Jun 5;20(1):230. doi: 10.1186/s12883-020-01814-0.
2
Spontaneous massive bilateral peri-renal hemorrhage as a complication of ANCA-negative granulomatous vasculitis.自发性双侧大量肾周出血作为抗中性粒细胞胞浆抗体阴性肉芽肿性血管炎的一种并发症
Clin Nephrol. 2015 Apr;83(4):249-52. doi: 10.5414/CN108150.
3
Necrotizing sarcoid granulomatosis mimicking an intracranial neoplasm: clinicopathologic features and review of the literature.酷似颅内肿瘤的坏死性结节病样肉芽肿:临床病理特征及文献复习
Mod Pathol. 2000 Aug;13(8):909-13. doi: 10.1038/modpathol.3880162.
4
ANCA-associated necrotizing/granulomatous glomerulonephritis in an elderly patient; importance of the renal biopsy.一名老年患者的抗中性粒细胞胞浆抗体相关性坏死性/肉芽肿性肾小球肾炎;肾活检的重要性。
Rev Invest Clin. 2001 Jan-Feb;53(1):88-90.
5
Dysplastic gangliocytoma of the cerebellum: rare differential diagnosis in space occupying lesions of the posterior fossa.小脑发育异常性神经节细胞瘤:后颅窝占位性病变中罕见的鉴别诊断。
Acta Neurochir (Wien). 2003 Jun;145(6):509-12; discussion 512. doi: 10.1007/s00701-003-0040-3.
6
Tumoural form of cerebellar Schistosomiasis mansoni. Report of a surgically treated case.曼氏血吸虫病小脑肿瘤型。1例手术治疗病例报告。
Acta Neurochir (Wien). 1989;99(3-4):148-51. doi: 10.1007/BF01402324.
7
Stereotactic biopsy of cerebellar lesions: straight versus oblique frame positioning.小脑病变的立体定向活检:直向与斜向框架定位
Br J Neurosurg. 2018 Apr;32(2):210-213. doi: 10.1080/02688697.2017.1394444. Epub 2017 Oct 26.
8
Cholesterol granuloma of the cerebello-pontine angle.桥小脑角胆固醇肉芽肿
Clin Neurol Neurosurg. 1992;94(3):265-8. doi: 10.1016/0303-8467(92)90102-9.
9
Pulse granuloma presenting as a complex pelvic cyst.表现为复杂盆腔囊肿的脉冲肉芽肿。
J Obstet Gynaecol Res. 2019 Aug;45(8):1588-1592. doi: 10.1111/jog.13999. Epub 2019 May 20.
10
[Antineutrophil Cytoplasmic Antibody (ANCA) Negative Limited-form Granulomatosis with Polyangiitis of the Lung Diagnosed by the Thoracoscopic Lung Biopsy].[经胸腔镜肺活检诊断的抗中性粒细胞胞浆抗体(ANCA)阴性局限型肺肉芽肿性多血管炎]
Kyobu Geka. 2018 Sep;71(9):680-684.

引用本文的文献

1
A patient with primary intracranial granuloma with difficulty in differential diagnosis: A case report and literature review.一例原发性颅内肉芽肿鉴别诊断困难的患者:病例报告及文献复习
Heliyon. 2024 Sep 13;10(18):e37709. doi: 10.1016/j.heliyon.2024.e37709. eCollection 2024 Sep 30.

本文引用的文献

1
Foreign Body Granuloma After Cranial Surgery: A Systematic Review of Reported Cases.颅骨手术后的异物肉芽肿:已报道病例的系统评价
World Neurosurg. 2018 Dec;120:457-475. doi: 10.1016/j.wneu.2018.09.143. Epub 2018 Sep 27.
2
A rare lesion of the cerebellopontine angle. Diagnosis: Tuberculoma of the left cerebello-pontine angle.桥小脑角的一种罕见病变。诊断:左侧桥小脑角结核瘤。
Eur Ann Otorhinolaryngol Head Neck Dis. 2015 Feb;132(1):59-60. doi: 10.1016/j.anorl.2014.05.005. Epub 2014 Nov 18.
3
Granulomatous disease in the head and neck: developing a differential diagnosis.
头颈部肉芽肿性疾病:建立鉴别诊断。
Radiographics. 2014 Sep-Oct;34(5):1240-56. doi: 10.1148/rg.345130068.
4
Cerebral Wegener's granuloma: surgery mandatory for diagnosis and treatment.脑韦格纳肉芽肿:手术对诊断和治疗必不可少。
Case Rep Neurol Med. 2013;2013:750391. doi: 10.1155/2013/750391. Epub 2013 May 16.
5
Intracranial granuloma mimicking a brain tumor in a patient with scleroderma.硬皮病患者中酷似脑肿瘤的颅内肉芽肿。
Surg Neurol Int. 2013 Apr 18;4:54. doi: 10.4103/2152-7806.110651. Print 2013.
6
Successful Treatment of ANCA-Negative Wegener's Granulomatosis with Rituximab.利妥昔单抗成功治疗抗中性粒细胞胞浆抗体阴性的韦格纳肉芽肿病
Int J Rheumatol. 2010;2010:846063. doi: 10.1155/2010/846063. Epub 2010 Oct 26.
7
A case of granuloma in the occipital lobe of a patient with Wegener's granulomatosis.1例韦格纳肉芽肿病患者枕叶肉芽肿病例。
Mod Rheumatol. 2008;18(4):411-5. doi: 10.1007/s10165-008-0070-z. Epub 2008 Apr 19.
8
Granulomatous diseases of the central nervous system.中枢神经系统的肉芽肿性疾病。
Top Magn Reson Imaging. 2005 Apr;16(2):155-87. doi: 10.1097/01.rmr.0000189109.62899.a1.
9
Nerve granulomas and vasculitis in sarcoid peripheral neuropathy: a clinicopathological study of 11 patients.结节病周围神经病变中的神经肉芽肿和血管炎:11例患者的临床病理研究
Brain. 2002 Feb;125(Pt 2):264-75. doi: 10.1093/brain/awf027.
10
Necrotizing sarcoid granulomatosis mimicking an intracranial neoplasm: clinicopathologic features and review of the literature.酷似颅内肿瘤的坏死性结节病样肉芽肿:临床病理特征及文献复习
Mod Pathol. 2000 Aug;13(8):909-13. doi: 10.1038/modpathol.3880162.