• 文献检索
  • 文档翻译
  • 深度研究
  • 学术资讯
  • Suppr Zotero 插件Zotero 插件
  • 邀请有礼
  • 套餐&价格
  • 历史记录
应用&插件
Suppr Zotero 插件Zotero 插件浏览器插件Mac 客户端Windows 客户端微信小程序
定价
高级版会员购买积分包购买API积分包
服务
文献检索文档翻译深度研究API 文档MCP 服务
关于我们
关于 Suppr公司介绍联系我们用户协议隐私条款
关注我们

Suppr 超能文献

核心技术专利:CN118964589B侵权必究
粤ICP备2023148730 号-1Suppr @ 2026

文献检索

告别复杂PubMed语法,用中文像聊天一样搜索,搜遍4000万医学文献。AI智能推荐,让科研检索更轻松。

立即免费搜索

文件翻译

保留排版,准确专业,支持PDF/Word/PPT等文件格式,支持 12+语言互译。

免费翻译文档

深度研究

AI帮你快速写综述,25分钟生成高质量综述,智能提取关键信息,辅助科研写作。

立即免费体验

正常犬三叉神经的低场磁共振成像测量

Low Field MRI Measurements of the Normal Canine Trigeminal Nerve.

作者信息

Swain Charlotte E, Cherubini Giunio B, Mantis Panagiotis

机构信息

Dick White Referrals, Six Mile Bottom, Cambridgeshire, United Kingdom.

出版信息

Front Vet Sci. 2020 May 19;7:274. doi: 10.3389/fvets.2020.00274. eCollection 2020.

DOI:10.3389/fvets.2020.00274
PMID:32509809
原文链接:https://pmc.ncbi.nlm.nih.gov/articles/PMC7249853/
Abstract

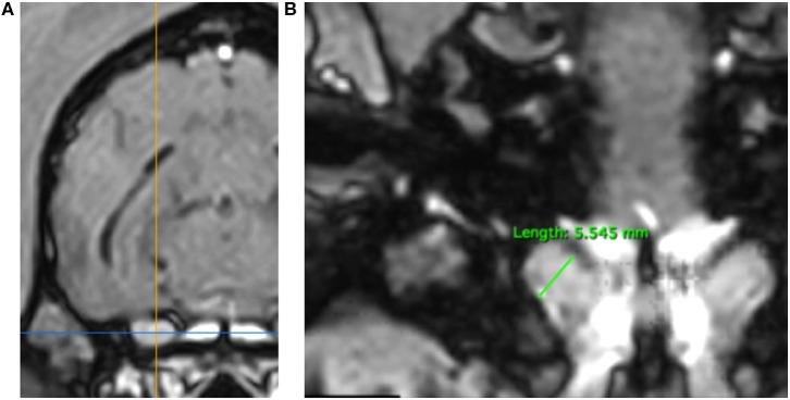
There is no available measuring protocol and reference range for the normal canine trigeminal nerve. This can be problematic in cases of suspected bilateral trigeminal neuropathy since contralateral nerves cannot be a usefully compared. Trigeminal nerves and brain measurements were retrospectively assessed via multiplanar reconstruction (MPR) of 3DT1 post-contrast MR sequences from 137 dogs with no signs or diagnosis of trigeminal disease. Direct measurements of vertical brain height (BH), trigeminal nerves transverse height (TTH) and trigeminal nerves width in dorsal reconstruction (TDW) were made in a plane immediately caudal to the foramen ovale and used to derive trigeminal nerve-to-brain (NB) ratios, including height-to-brain ratio (HBR) and width-to-brain ratio (WBR). HBR (0.09, IQR = 0.08-0.09) and WBR (0.10, IQR = 0.09-0.11) maintained more consistent values across the study population compared to direct measurements of TTH (3.72, IQR = 3.42-4.07) and TDW (4.35 +/- 0.63). Calculated normal reference intervals for HBR and WBR were 0.07-0.11 and 0.08-0.13, respectively and the largest NB ratios recorded in normal dogs were 0.13 and 0.14 for HBR and WBR, respectively. All measurements varied proportionally with weight, including HBR ( = 0.41, < 0.0001) and small dogs had a significantly smaller HBRs compared to medium ( = 0.0294), large ( < 0.0049) and giant dogs ( < ). Median HBR was the same across skull types (0.09), however analysis detected significantly smaller HBRs in brachycephalic compared to mesaticephalic dogs ( = 0.0494). In conclusion, trigeminal NB ratios may allow for accurate, objective assessment of the canine trigeminal nerves on MRI but further quantification of the effects of weight and skull type on suggested reference intervals is needed.

摘要

目前尚无针对正常犬三叉神经的可用测量方案和参考范围。在疑似双侧三叉神经病变的病例中,这可能会成为问题,因为无法对侧神经进行有效比较。对137只无三叉神经疾病体征或诊断的犬,通过对3D T1增强后磁共振序列进行多平面重建(MPR),回顾性评估三叉神经和脑部测量数据。在紧挨着卵圆孔尾侧的平面上,直接测量垂直脑高(BH)、三叉神经横向高度(TTH)和背侧重建时三叉神经宽度(TDW),并用于得出三叉神经与脑(NB)的比率,包括高度与脑比率(HBR)和宽度与脑比率(WBR)。与TTH(3.72,IQR = 3.42 - 4.07)和TDW(4.35 +/- 0.63)的直接测量值相比,HBR(0.09,IQR = 0.08 - 0.09)和WBR(0.10,IQR = 0.09 - 0.11)在整个研究群体中保持了更一致的值。HBR和WBR的计算正常参考区间分别为0.07 - 0.11和0.08 - 0.13,正常犬中记录到的最大NB比率,HBR和WBR分别为0.13和0.14。所有测量值均与体重成比例变化,包括HBR( = 0.41, < 0.0001),与中型犬( = 0.0294)、大型犬( < 0.0049)和巨型犬( < )相比,小型犬的HBR明显更小。不同头骨类型的HBR中位数相同(0.09),然而,分析发现与中头型犬相比,短头型犬的HBR明显更小( = 0.0494)。总之,三叉神经NB比率可能有助于在MRI上对犬三叉神经进行准确、客观的评估,但需要进一步量化体重和头骨类型对建议参考区间的影响。

https://cdn.ncbi.nlm.nih.gov/pmc/blobs/8436/7249853/05cc629e97f8/fvets-07-00274-g0006.jpg
https://cdn.ncbi.nlm.nih.gov/pmc/blobs/8436/7249853/d03fcb1b0526/fvets-07-00274-g0001.jpg
https://cdn.ncbi.nlm.nih.gov/pmc/blobs/8436/7249853/a424632eef32/fvets-07-00274-g0002.jpg
https://cdn.ncbi.nlm.nih.gov/pmc/blobs/8436/7249853/138e163ff6c1/fvets-07-00274-g0003.jpg
https://cdn.ncbi.nlm.nih.gov/pmc/blobs/8436/7249853/a7f4ea9a3901/fvets-07-00274-g0004.jpg
https://cdn.ncbi.nlm.nih.gov/pmc/blobs/8436/7249853/dcb09ee98464/fvets-07-00274-g0005.jpg
https://cdn.ncbi.nlm.nih.gov/pmc/blobs/8436/7249853/05cc629e97f8/fvets-07-00274-g0006.jpg
https://cdn.ncbi.nlm.nih.gov/pmc/blobs/8436/7249853/d03fcb1b0526/fvets-07-00274-g0001.jpg
https://cdn.ncbi.nlm.nih.gov/pmc/blobs/8436/7249853/a424632eef32/fvets-07-00274-g0002.jpg
https://cdn.ncbi.nlm.nih.gov/pmc/blobs/8436/7249853/138e163ff6c1/fvets-07-00274-g0003.jpg
https://cdn.ncbi.nlm.nih.gov/pmc/blobs/8436/7249853/a7f4ea9a3901/fvets-07-00274-g0004.jpg
https://cdn.ncbi.nlm.nih.gov/pmc/blobs/8436/7249853/dcb09ee98464/fvets-07-00274-g0005.jpg
https://cdn.ncbi.nlm.nih.gov/pmc/blobs/8436/7249853/05cc629e97f8/fvets-07-00274-g0006.jpg

相似文献

1
Low Field MRI Measurements of the Normal Canine Trigeminal Nerve.正常犬三叉神经的低场磁共振成像测量
Front Vet Sci. 2020 May 19;7:274. doi: 10.3389/fvets.2020.00274. eCollection 2020.
2
Atrophic changes in the trigeminal nerves of patients with trigeminal neuralgia due to neurovascular compression and their association with the severity of compression and clinical outcomes.神经血管压迫所致三叉神经痛患者三叉神经的萎缩性改变及其与压迫严重程度和临床结局的关联。
J Neurosurg. 2014 Jun;120(6):1484-95. doi: 10.3171/2014.2.JNS131288. Epub 2014 Apr 18.
3
Utility of magnetic resonance cisternography using three-dimensional fast asymmetric spin-echo sequences with multiplanar reconstruction: the evaluation of sites of neurovascular compression of the trigeminal nerve.使用具有多平面重建的三维快速不对称自旋回波序列进行磁共振脑池造影的效用:三叉神经血管压迫部位的评估
Oral Surg Oral Med Oral Pathol Oral Radiol Endod. 2005 Aug;100(2):215-25. doi: 10.1016/j.tripleo.2004.12.007.
4
[The contribution of "time-of-flight" MRI-angiography in the study of neurovascular interactions (hemifacial spasm and trigeminal neuralgia)].["飞行时间”磁共振血管造影在神经血管相互作用(面肌痉挛和三叉神经痛)研究中的贡献]
J Neuroradiol. 1996 Dec;23(3):149-56.
5
Anatomical study of the trigeminal and facial cranial nerves with the aid of 3.0-tesla magnetic resonance imaging.借助3.0特斯拉磁共振成像对三叉神经和面神经进行解剖学研究。
J Neurosurg. 2008 Mar;108(3):483-90. doi: 10.3171/JNS/2008/108/3/0483.
6
The impact of tongue dimension on air volume in brachycephalic dogs.短头犬舌头尺寸对气量的影响。
Vet Surg. 2020 Apr;49(3):512-520. doi: 10.1111/vsu.13302. Epub 2019 Jul 30.
7
ANATOMICAL STUDY OF CRANIAL NERVE EMERGENCE AND SKULL FORAMINA IN THE HORSE USING MAGNETIC RESONANCE IMAGING AND COMPUTED TOMOGRAPHY.利用磁共振成像和计算机断层扫描对马的颅神经出颅及颅骨孔道进行解剖学研究。
Vet Radiol Ultrasound. 2015 Jul-Aug;56(4):391-7. doi: 10.1111/vru.12256. Epub 2015 Apr 2.
8
Magnetic resonance imaging contrast enhancement of the trigeminal nerve in dogs without evidence of trigeminal neuropathy.无三叉神经病变证据的犬三叉神经磁共振成像对比增强
Vet Radiol Ultrasound. 2009 May-Jun;50(3):276-8. doi: 10.1111/j.1740-8261.2009.01533.x.
9
A Salivation Abnormality with Trigeminal Nerve Dysfunction in Dogs.犬三叉神经功能障碍伴流涎异常
J Vet Dent. 2019 Mar;36(1):8-16. doi: 10.1177/0898756419846607.
10
Assessment of computed tomography derived cricoid cartilage and tracheal dimensions to evaluate degree of cricoid narrowing in brachycephalic dogs.评估计算机断层扫描得出的环状软骨和气管尺寸,以评估短头犬环状软骨狭窄程度。
Vet Radiol Ultrasound. 2017 Nov;58(6):634-646. doi: 10.1111/vru.12526. Epub 2017 Jul 30.

引用本文的文献

1
Pathological Study on Trigeminal Ganglionitis Among Rabid Dogs in the Philippines.菲律宾狂犬病犬三叉神经节炎的病理学研究
Vet Sci. 2025 Mar 24;12(4):299. doi: 10.3390/vetsci12040299.
2
Microanatomical findings with relevance to trigeminal ganglion enhancement on post-contrast T1-weighted magnetic resonance images in dogs.犬对比增强T1加权磁共振图像上与三叉神经节强化相关的显微解剖学发现。
Front Vet Sci. 2023 Sep 13;10:1256947. doi: 10.3389/fvets.2023.1256947. eCollection 2023.

本文引用的文献

1
Significant Neuroanatomical Variation Among Domestic Dog Breeds.家犬品种间存在显著的神经解剖学差异。
J Neurosci. 2019 Sep 25;39(39):7748-7758. doi: 10.1523/JNEUROSCI.0303-19.2019. Epub 2019 Sep 2.
2
Low-field MRI: An MR physics perspective.低场 MRI:磁共振物理视角。
J Magn Reson Imaging. 2019 Jun;49(6):1528-1542. doi: 10.1002/jmri.26637. Epub 2019 Jan 13.
3
Clinical findings and outcome of dogs with unilateral masticatory muscle atrophy.单侧咀嚼肌萎缩犬的临床发现与预后
J Vet Intern Med. 2019 Mar;33(2):735-742. doi: 10.1111/jvim.15373. Epub 2018 Dec 17.
4
Morphogenesis of Canine Chiari Malformation and Secondary Syringomyelia: Disorders of Cerebrospinal Fluid Circulation.犬 Chiari 畸形与继发性脊髓空洞症的形态发生:脑脊液循环障碍
Front Vet Sci. 2018 Jul 27;5:171. doi: 10.3389/fvets.2018.00171. eCollection 2018.
5
Correlation between nerve atrophy, brain grey matter volume and pain severity in patients with primary trigeminal neuralgia.原发性三叉神经痛患者神经萎缩、脑灰质体积与疼痛严重程度的相关性。
Cephalalgia. 2019 Apr;39(4):515-525. doi: 10.1177/0333102418793643. Epub 2018 Aug 7.
6
Evaluation of the facial nerve and internal auditory canal cross-sectional areas on three-dimensional fast imaging employing steady-state acquisition magnetic resonance imaging in Bell’s palsy.采用稳态采集磁共振成像的三维快速成像技术评估贝尔面瘫患者的面神经及内听道横截面积
Turk J Med Sci. 2018 Jun 14;48(3):525-530. doi: 10.3906/sag-1707-142.
7
Focal atrophy of the unilateral masticatory muscles caused by pure trigeminal motor neuropathy: case report.纯三叉神经运动神经病导致的单侧咀嚼肌局灶性萎缩:病例报告
Clin Case Rep. 2018 Mar 30;6(5):939-943. doi: 10.1002/ccr3.1495. eCollection 2018 May.
8
MRI measurements of the normal pediatric optic nerve pathway.正常小儿视神经通路的磁共振成像测量
J Clin Neurosci. 2018 Feb;48:209-213. doi: 10.1016/j.jocn.2017.11.015. Epub 2017 Dec 6.
9
Clinical and imaging findings, treatments, and outcomes in 27 dogs with imaging diagnosed trigeminal nerve sheath tumors: A multi-center study.27只经影像学诊断为三叉神经鞘瘤犬的临床及影像学表现、治疗方法和预后:一项多中心研究
Vet Radiol Ultrasound. 2017 Nov;58(6):679-689. doi: 10.1111/vru.12535. Epub 2017 Jul 31.
10
Evaluation of interthalamic adhesion size as an indicator of brain atrophy in dogs with and without cognitive dysfunction.评估丘脑间黏连大小作为有无认知功能障碍犬脑萎缩指标的研究。
Vet Radiol Ultrasound. 2017 Sep;58(5):581-587. doi: 10.1111/vru.12528. Epub 2017 Jul 13.