• 文献检索
  • 文档翻译
  • 深度研究
  • 学术资讯
  • Suppr Zotero 插件Zotero 插件
  • 邀请有礼
  • 套餐&价格
  • 历史记录
应用&插件
Suppr Zotero 插件Zotero 插件浏览器插件Mac 客户端Windows 客户端微信小程序
定价
高级版会员购买积分包购买API积分包
服务
文献检索文档翻译深度研究API 文档MCP 服务
关于我们
关于 Suppr公司介绍联系我们用户协议隐私条款
关注我们

Suppr 超能文献

核心技术专利:CN118964589B侵权必究
粤ICP备2023148730 号-1Suppr @ 2026

文献检索

告别复杂PubMed语法,用中文像聊天一样搜索,搜遍4000万医学文献。AI智能推荐,让科研检索更轻松。

立即免费搜索

文件翻译

保留排版,准确专业,支持PDF/Word/PPT等文件格式,支持 12+语言互译。

免费翻译文档

深度研究

AI帮你快速写综述,25分钟生成高质量综述,智能提取关键信息,辅助科研写作。

立即免费体验

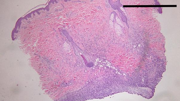
Myxoid dermatofibrosarcoma protuberans treated with Mohs micrographic surgery.

作者信息

Edminister John, Antia Camila, Kouba David J

机构信息

College of Medicine & Life Sciences, University of Toledo, Toledo, Ohio.

The Facial Plastics and Dermatology Department, The Toledo Clinic, Toledo, Ohio.

出版信息

JAAD Case Rep. 2020 May 1;6(6):558-560. doi: 10.1016/j.jdcr.2020.03.017. eCollection 2020 Jun.

DOI:10.1016/j.jdcr.2020.03.017
PMID:32509947
原文链接:https://pmc.ncbi.nlm.nih.gov/articles/PMC7265059/
Abstract
摘要
https://cdn.ncbi.nlm.nih.gov/pmc/blobs/a844/7265059/635cb5ef82a3/gr4.jpg
https://cdn.ncbi.nlm.nih.gov/pmc/blobs/a844/7265059/18ed4a36f27d/gr1.jpg
https://cdn.ncbi.nlm.nih.gov/pmc/blobs/a844/7265059/472f1a302d8d/gr2.jpg
https://cdn.ncbi.nlm.nih.gov/pmc/blobs/a844/7265059/d9288f10c6fb/gr3.jpg
https://cdn.ncbi.nlm.nih.gov/pmc/blobs/a844/7265059/635cb5ef82a3/gr4.jpg
https://cdn.ncbi.nlm.nih.gov/pmc/blobs/a844/7265059/18ed4a36f27d/gr1.jpg
https://cdn.ncbi.nlm.nih.gov/pmc/blobs/a844/7265059/472f1a302d8d/gr2.jpg
https://cdn.ncbi.nlm.nih.gov/pmc/blobs/a844/7265059/d9288f10c6fb/gr3.jpg
https://cdn.ncbi.nlm.nih.gov/pmc/blobs/a844/7265059/635cb5ef82a3/gr4.jpg

相似文献

1
Myxoid dermatofibrosarcoma protuberans treated with Mohs micrographic surgery.用莫氏显微外科手术治疗的黏液样隆突性皮肤纤维肉瘤。
JAAD Case Rep. 2020 May 1;6(6):558-560. doi: 10.1016/j.jdcr.2020.03.017. eCollection 2020 Jun.
2
Mohs Micrographic Surgery for Dermatofibrosarcoma Protuberans in 15 Patients: The University of Arkansas for Medical Sciences Experience.15例隆突性皮肤纤维肉瘤的莫氏显微外科手术:阿肯色大学医学科学部的经验
Cureus. 2022 Apr 14;14(4):e24147. doi: 10.7759/cureus.24147. eCollection 2022 Apr.
3
Dermatofibrosarcoma protuberans: a report on 29 patients treated by Mohs micrographic surgery with long-term follow-up and review of the literature.隆突性皮肤纤维肉瘤:29例采用莫氏显微外科手术治疗患者的报告及长期随访与文献复习
Cancer. 2004 Jul 1;101(1):28-38. doi: 10.1002/cncr.20316.
4
Rare myxoid dermatofibrosarcoma protuberans masquerading as a pilar cyst in a child.罕见的黏液样隆突性皮肤纤维肉瘤在儿童中伪装成毛囊囊肿。
JAAD Case Rep. 2015 May 4;1(3):129-31. doi: 10.1016/j.jdcr.2015.02.012. eCollection 2015 May.
5
Mohs micrographic surgery for dermatofibrosarcoma protuberans: University of Miami and NYU experience.用于隆突性皮肤纤维肉瘤的莫氏显微外科手术:迈阿密大学和纽约大学的经验。
Dermatol Surg. 2002 Nov;28(11):1060-4; discussion 1064. doi: 10.1046/j.1524-4725.2002.02084.x.
6
Dermatofibrosarcoma protuberans: margins reduction using slow-Mohs micrographic surgery. Experience with 35 patients.隆突性皮肤纤维肉瘤:使用慢速莫氏显微外科手术缩小切缘。35例患者的经验
Ann Chir Plast Esthet. 2014 Aug;59(4):219-25. doi: 10.1016/j.anplas.2013.11.001. Epub 2014 Jan 7.
7
Mohs micrographic surgery for the treatment of dermatofibrosarcoma protuberans. Results of a multiinstitutional series with an analysis of the extent of microscopic spread.用于治疗隆突性皮肤纤维肉瘤的莫氏显微外科手术。多机构系列研究结果及显微镜下扩散范围分析
J Am Acad Dermatol. 1997 Oct;37(4):600-13. doi: 10.1016/s0190-9622(97)70179-8.
8
A comparison between Mohs micrographic surgery and wide surgical excision for the treatment of dermatofibrosarcoma protuberans.莫氏显微外科手术与广泛手术切除治疗隆突性皮肤纤维肉瘤的比较。
J Am Acad Dermatol. 1996 Jul;35(1):82-7.
9
Efficacy of Mohs micrographic surgery for the treatment of dermatofibrosarcoma protuberans: systematic review.莫氏显微外科手术治疗隆突性皮肤纤维肉瘤的疗效:系统评价
Arch Dermatol. 2012 Sep;148(9):1055-63. doi: 10.1001/archdermatol.2012.1440.
10
Dermatofibrosarcoma protuberans: 35 patients treated with Mohs micrographic surgery using paraffin sections.隆突性皮肤纤维肉瘤:35 例采用石蜡切片行 Mohs 显微外科手术治疗的患者。
Br J Dermatol. 2011 Feb;164(2):363-6. doi: 10.1111/j.1365-2133.2010.10095.x.

本文引用的文献

1
Guidelines for Diagnosis and Treatment of Cutaneous Sarcomas: Dermatofibrosarcoma Protuberans.皮肤肉瘤的诊断与治疗指南:隆突性皮肤纤维肉瘤
Actas Dermosifiliogr (Engl Ed). 2018 Dec;109(10):868-877. doi: 10.1016/j.ad.2018.05.006. Epub 2018 Jul 4.
2
Rare myxoid dermatofibrosarcoma protuberans masquerading as a pilar cyst in a child.罕见的黏液样隆突性皮肤纤维肉瘤在儿童中伪装成毛囊囊肿。
JAAD Case Rep. 2015 May 4;1(3):129-31. doi: 10.1016/j.jdcr.2015.02.012. eCollection 2015 May.
3
Mohs micrographic surgery and dermatofibrosarcoma protuberans: a multidisciplinary approach in 44 patients.
莫氏显微外科手术与隆突性皮肤纤维肉瘤:44例患者的多学科治疗方法
Ann Plast Surg. 2008 Jun;60(6):667-72. doi: 10.1097/SAP.0b013e31813376a5.
4
Myxoid dermatofibrosarcoma protuberans: clinicopathologic, immunohistochemical, and molecular analysis of eight cases.黏液样隆突性皮肤纤维肉瘤:8例临床病理、免疫组化及分子分析
Am J Dermatopathol. 2007 Oct;29(5):443-8. doi: 10.1097/DAD.0b013e318145413c.
5
Myxoid dermatofibrosarcoma protuberans: a rare variant analyzed in a series of 23 cases.黏液样隆突性皮肤纤维肉瘤:对23例病例系列分析的一种罕见变体
Am J Surg Pathol. 2007 Sep;31(9):1371-7. doi: 10.1097/PAS.0b013e31802ff7e7.