Suppr超能文献

恒河猴骨髓和脂肪组织来源的间充质干细胞向肝细胞样细胞的分化

differentiation of rhesus macaque bone marrow- and adipose tissue-derived MSCs into hepatocyte-like cells.

作者信息

Wang Junfeng, Fu Xufeng, Yan Yaping, Li Shanshan, Duan Yanchao, Marie Inglis Briauna, Si Wei, Zheng Bingrong

机构信息

Department of Hepatic and Bile Duct Surgery, The First People's Hospital of Yunnan Province, Kunhua Hospital Affiliated to Kunming University of Science and Technology, Kunming, Yunnan 650032, P.R. China.

Yunnan Key Laboratory of Primate Biomedical Research, Institute of Primate Translational Medicine, Kunming University of Science and Technology, Kunming, Yunnan 650500, P.R. China.

出版信息

Exp Ther Med. 2020 Jul;20(1):251-260. doi: 10.3892/etm.2020.8676. Epub 2020 Apr 22.

Abstract

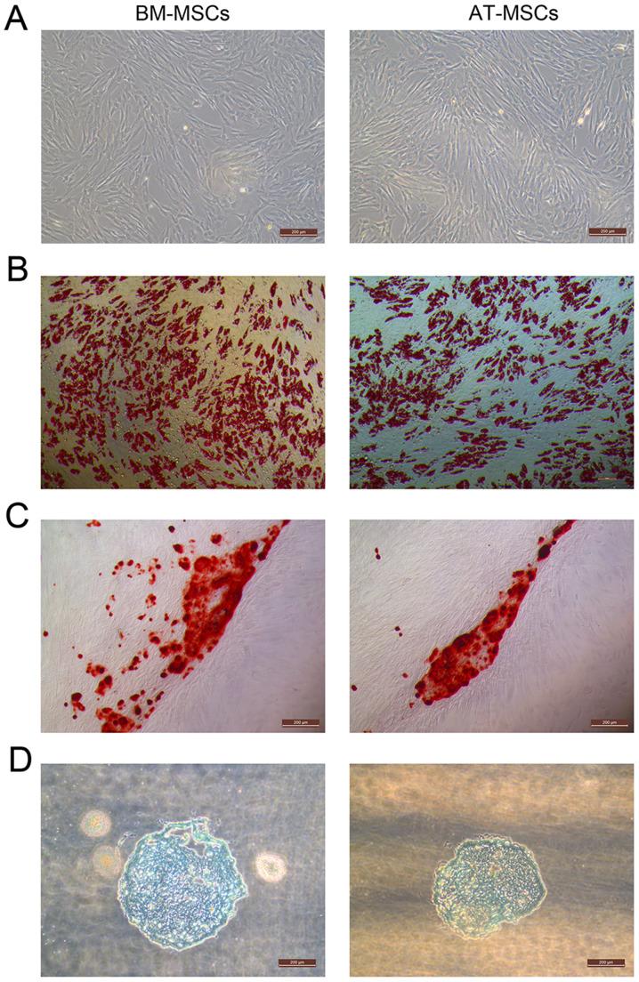
Orthotopic liver or hepatocyte transplantation is effective for the treatment of acute liver injury and end-stage chronic liver disease. However, both of these therapies are hampered by the extreme shortage of organ donors. The clinical application of cell therapy through the substitution of hepatocytes with mesenchymal stem cells (MSCs) that have been differentiated into hepatocyte-like cells (HLCs) for liver disease treatment is expected to overcome this shortage. Bone marrow and adipose tissue are two major sources of MSCs [bone marrow-derived MSCs (BM-MSCs) and adipose tissue-derived MSCs (AT-MSCs), respectively]. However, knowledge about the variability in the differentiation potential between BM-MSCs and AT-MSCs is lacking. In the present study, the hepatogenic differentiation potential of rhesus macaque BM-MSCs and AT-MSCs was compared with the evaluation of morphology, immunophenotyping profiles, differentiation potential, glycogen deposition, urea secretion and hepatocyte-specific gene expression. The results indicated that BM-MSCs and AT-MSCs shared similar characteristics in terms of primary morphology, surface markers and trilineage differentiation potential (adipogenesis, osteogenesis and chondrogenesis). Subsequently, the hepatogenic differentiation potential of BM-MSCs and AT-MSCs was evaluated by morphology, glycogen accumulation, urea synthesis and expression of hepatocyte marker genes. The results indicated that rhesus BM-MSCs and AT-MSCs had hepatogenic differentiation ability. To the best of our knowledge, this is the first report to detect the hepatogenic differentiation potential of rhesus macaque BM-MSCs and AT-MSCs. The present study provides the basis for the selection of seed cells that can trans-differentiate into HLCs for cytotherapy of acute or chronic liver injuries in either clinical or veterinary practice.

摘要

原位肝移植或肝细胞移植对于治疗急性肝损伤和终末期慢性肝病是有效的。然而,这两种疗法都受到器官供体极度短缺的阻碍。通过用已分化为肝样细胞(HLCs)的间充质干细胞(MSCs)替代肝细胞进行细胞治疗以治疗肝病的临床应用有望克服这种短缺。骨髓和脂肪组织是MSCs的两个主要来源(分别为骨髓来源的MSCs(BM-MSCs)和脂肪组织来源的MSCs(AT-MSCs))。然而,关于BM-MSCs和AT-MSCs之间分化潜能变异性的知识尚缺乏。在本研究中,通过形态学、免疫表型分析、分化潜能、糖原沉积、尿素分泌和肝细胞特异性基因表达评估,比较了恒河猴BM-MSCs和AT-MSCs的肝源性分化潜能。结果表明,BM-MSCs和AT-MSCs在原代形态、表面标志物和三系分化潜能(脂肪生成、成骨和成软骨)方面具有相似的特征。随后,通过形态学、糖原积累、尿素合成和肝细胞标志物基因表达评估BM-MSCs和AT-MSCs的肝源性分化潜能。结果表明,恒河猴BM-MSCs和AT-MSCs具有肝源性分化能力。据我们所知,这是首次检测恒河猴BM-MSCs和AT-MSCs肝源性分化潜能的报告。本研究为选择可转分化为HLCs的种子细胞用于临床或兽医实践中急性或慢性肝损伤的细胞治疗提供了依据。

https://cdn.ncbi.nlm.nih.gov/pmc/blobs/0caa/7273898/25d924f1ec47/etm-20-01-0251-g00.jpg

文献AI研究员

20分钟写一篇综述,助力文献阅读效率提升50倍。

立即体验

用中文搜PubMed

大模型驱动的PubMed中文搜索引擎

马上搜索

文档翻译

学术文献翻译模型,支持多种主流文档格式。

立即体验