Mello Renan Bernardes de, Moreira Dalton Nogueira, Pereira Ana Carolina Gomes, Lustosa Nicole Ramalho
Postgraduate Program in Health Sciences, Faculdade de Medicina, Hospital das Clínicas, Universidade Federal de Minas Gerais, Belo Horizonte, MG, Brazil.
Orestes Diniz Training and Reference Center for Infectious and Parasitic Diseases, Hospital das Clínicas, Universidade Federal de Minas Gerais, Belo Horizonte, MG, Brazil.
An Bras Dermatol. 2020 Jul-Aug;95(4):511-513. doi: 10.1016/j.abd.2019.11.013. Epub 2020 May 13.
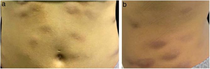
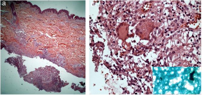
The incidence of nontuberculous mycobacterial infections is increasing worldwide; by 2017, more than 190 species and subspecies have been documented. Although classically associated with immunosuppression, the recognition of these etiological agents in diseases affecting immunocompetent individuals and in healthcare-associated infections, such as after surgical and cosmetic procedures, makes the study of the epidemiology and pathogenesis of these microorganisms relevant in medical practice. Mycobacterium lentiflavum is slow-growing and rarely affects the skin. A case of cutaneous mycobacteriosis caused by M. lentiflavum is reported in an immunocompetent patient after subcutaneous injection of a lipolytic compound, treated with clarithromycin and levofloxacin.
非结核分枝杆菌感染的发病率在全球范围内呈上升趋势;截至2017年,已记录的种类和亚种超过190种。尽管传统上与免疫抑制有关,但在影响免疫功能正常个体的疾病以及医疗保健相关感染(如外科手术和美容手术后)中发现这些病原体,使得对这些微生物的流行病学和发病机制的研究在医学实践中具有重要意义。淡黄分枝杆菌生长缓慢,很少累及皮肤。本文报告了1例免疫功能正常的患者在皮下注射一种溶脂化合物后发生淡黄分枝杆菌引起的皮肤分枝杆菌病,并接受了克拉霉素和左氧氟沙星治疗。