• 文献检索
  • 文档翻译
  • 深度研究
  • 学术资讯
  • Suppr Zotero 插件Zotero 插件
  • 邀请有礼
  • 套餐&价格
  • 历史记录
应用&插件
Suppr Zotero 插件Zotero 插件浏览器插件Mac 客户端Windows 客户端微信小程序
定价
高级版会员购买积分包购买API积分包
服务
文献检索文档翻译深度研究API 文档MCP 服务
关于我们
关于 Suppr公司介绍联系我们用户协议隐私条款
关注我们

Suppr 超能文献

核心技术专利:CN118964589B侵权必究
粤ICP备2023148730 号-1Suppr @ 2026

文献检索

告别复杂PubMed语法,用中文像聊天一样搜索,搜遍4000万医学文献。AI智能推荐,让科研检索更轻松。

立即免费搜索

文件翻译

保留排版,准确专业,支持PDF/Word/PPT等文件格式,支持 12+语言互译。

免费翻译文档

深度研究

AI帮你快速写综述,25分钟生成高质量综述,智能提取关键信息,辅助科研写作。

立即免费体验

微创外科手术在肝移植和肾移植患者中是可行的。

Minimally Invasive Surgery Is Feasible in Patients with Liver and Kidney Transplantation.

机构信息

Department of Surgery, Dalin Tzu Chi Hospital, Buddhist Tzu Chi Medical Foundation, Chiayi, Taiwan.

School of Medicine, Tzu Chi University, Hualien, Taiwan.

出版信息

Ann Transplant. 2020 Jun 16;25:e922602. doi: 10.12659/AOT.922602.

DOI:10.12659/AOT.922602
PMID:32541640
原文链接:https://pmc.ncbi.nlm.nih.gov/articles/PMC7318835/
Abstract

BACKGROUND Minimally invasive surgery (MIS) has rapidly advanced, but its use in transplant patients has lagged. We share our experience of MIS for patients after kidney and liver transplantation and compare our results with similar studies in the literature. MATERIAL AND METHODS This study included 14 MIS (12 laparoscopic, 2 transvaginal) procedures for 13 transplant cases (6 liver and 7 kidney) done from May 2006 to May 2018. Gastrointestinal surgery was performed in 6 cases: appendectomy performed 8 months after liver transplant and 16 months after kidney transplant in 2 cases, radical right hemi-colectomy performed 6 weeks after liver transplant in 1 case; exploration for chylous ascites 6 months after liver transplant in 1 case, sleeve gastrectomy performed 3 years after kidney transplant in 1 case, and partial hepatectomy performed 12 years after kidney transplant in 1 case. For urological problems, 2 patients received ipsilateral right-side nephroureterectomy performed 10 and 12 years after kidney transplant, and 1 patient received contralateral left-side nephroureterectomy performed 12 years after kidney transplant. The 2 liver transplant patients with huge incisional hernias received repair approximately 3 and 2 years after liver transplant. Three patients underwent gynecological surgery: 2 transvaginal for pelvic floor reconstruction in 1 patient with liver transplant and 1 hysterectomy in a kidney transplant patient, and 1 laparoscopic-assisted hysterectomy in a kidney transplant patient. We retrospectively analyzed the clinical presentation, operative findings, operation time, postoperative complications, and length of stay. RESULTS The postoperative course was uneventful, with early resumption of oral intake, including immunosuppressants administered the same as in the non-transplant patients. All surgical procedures in these transplant patients were achieved without conversion, showed stable kidney and liver function, had better surgical outcomes in comparison with traditional surgery, and most of them were discharged within 1 week. CONCLUSIONS Laparoscopic and non-laparoscopic MIS surgery are feasible and safe for abdominal organ transplant patients and are helpful for timely intervention in cases with acute abdomen. No adjustment of immunosuppressant is usually needed, as oral intake can be resumed very soon after surgery.

摘要

背景

微创外科(MIS)发展迅速,但在移植患者中的应用却滞后。我们分享了我们对肾移植和肝移植后患者进行 MIS 的经验,并将我们的结果与文献中的类似研究进行了比较。

材料和方法

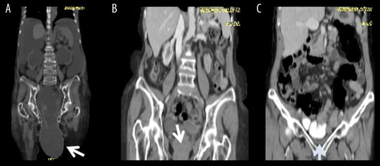
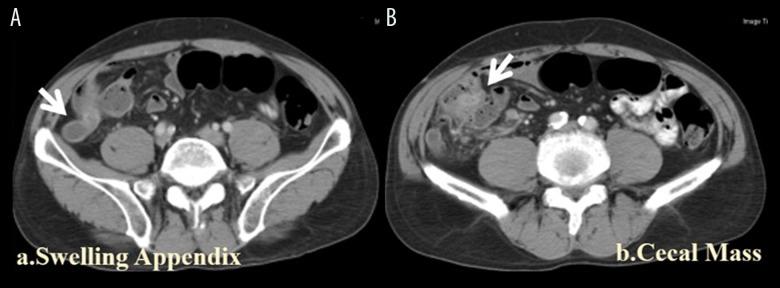
这项研究包括了 14 例 MIS(12 例腹腔镜,2 例经阴道)手术,涉及 13 例移植病例(6 例肝移植,7 例肾移植),手术时间为 2006 年 5 月至 2018 年 5 月。胃肠道手术 6 例:2 例肝移植后 8 个月和 16 个月行阑尾切除术,1 例肝移植后 6 周行根治性右半结肠切除术;1 例肝移植后 6 个月因乳糜性腹水行探查术,1 例肾移植后 3 年行袖状胃切除术,1 例肾移植后 12 年行部分肝切除术。对于泌尿外科问题,2 例患者接受了同侧右侧肾输尿管切除术,分别在肾移植后 10 年和 12 年进行,1 例患者接受了对侧左侧肾输尿管切除术,在肾移植后 12 年进行。2 例肝移植后巨大切口疝的患者在肝移植后约 3 年和 2 年接受了修复。3 例患者接受了妇科手术:2 例经阴道用于肝移植患者的盆底重建,1 例肾移植患者行子宫切除术,1 例肾移植患者行腹腔镜辅助子宫切除术。我们回顾性分析了临床症状、手术发现、手术时间、术后并发症和住院时间。

结果

术后过程顺利,早期恢复口服饮食,包括与非移植患者相同的免疫抑制剂。这些移植患者的所有手术均无需转换,显示出稳定的肾功能和肝功能,与传统手术相比具有更好的手术结果,大多数患者在 1 周内出院。

结论

腹腔镜和非腹腔镜 MIS 手术对腹部器官移植患者是可行且安全的,有助于及时干预急腹症。通常不需要调整免疫抑制剂,因为手术后很快就能恢复口服饮食。

https://cdn.ncbi.nlm.nih.gov/pmc/blobs/9988/7318835/5beb08df45ff/anntransplant-25-e922602-g009.jpg
https://cdn.ncbi.nlm.nih.gov/pmc/blobs/9988/7318835/dd46b951b9ae/anntransplant-25-e922602-g001.jpg
https://cdn.ncbi.nlm.nih.gov/pmc/blobs/9988/7318835/1106362e34c9/anntransplant-25-e922602-g002.jpg
https://cdn.ncbi.nlm.nih.gov/pmc/blobs/9988/7318835/3e1eaaa7e35a/anntransplant-25-e922602-g003.jpg
https://cdn.ncbi.nlm.nih.gov/pmc/blobs/9988/7318835/0a11493ed791/anntransplant-25-e922602-g004.jpg
https://cdn.ncbi.nlm.nih.gov/pmc/blobs/9988/7318835/614abe3764de/anntransplant-25-e922602-g005.jpg
https://cdn.ncbi.nlm.nih.gov/pmc/blobs/9988/7318835/19856572decd/anntransplant-25-e922602-g006.jpg
https://cdn.ncbi.nlm.nih.gov/pmc/blobs/9988/7318835/69766e392541/anntransplant-25-e922602-g007.jpg
https://cdn.ncbi.nlm.nih.gov/pmc/blobs/9988/7318835/6410f20a18c1/anntransplant-25-e922602-g008.jpg
https://cdn.ncbi.nlm.nih.gov/pmc/blobs/9988/7318835/5beb08df45ff/anntransplant-25-e922602-g009.jpg
https://cdn.ncbi.nlm.nih.gov/pmc/blobs/9988/7318835/dd46b951b9ae/anntransplant-25-e922602-g001.jpg
https://cdn.ncbi.nlm.nih.gov/pmc/blobs/9988/7318835/1106362e34c9/anntransplant-25-e922602-g002.jpg
https://cdn.ncbi.nlm.nih.gov/pmc/blobs/9988/7318835/3e1eaaa7e35a/anntransplant-25-e922602-g003.jpg
https://cdn.ncbi.nlm.nih.gov/pmc/blobs/9988/7318835/0a11493ed791/anntransplant-25-e922602-g004.jpg
https://cdn.ncbi.nlm.nih.gov/pmc/blobs/9988/7318835/614abe3764de/anntransplant-25-e922602-g005.jpg
https://cdn.ncbi.nlm.nih.gov/pmc/blobs/9988/7318835/19856572decd/anntransplant-25-e922602-g006.jpg
https://cdn.ncbi.nlm.nih.gov/pmc/blobs/9988/7318835/69766e392541/anntransplant-25-e922602-g007.jpg
https://cdn.ncbi.nlm.nih.gov/pmc/blobs/9988/7318835/6410f20a18c1/anntransplant-25-e922602-g008.jpg
https://cdn.ncbi.nlm.nih.gov/pmc/blobs/9988/7318835/5beb08df45ff/anntransplant-25-e922602-g009.jpg

相似文献

1
Minimally Invasive Surgery Is Feasible in Patients with Liver and Kidney Transplantation.微创外科手术在肝移植和肾移植患者中是可行的。
Ann Transplant. 2020 Jun 16;25:e922602. doi: 10.12659/AOT.922602.
2
Laparoscopy-assisted abdominal aortic aneurysm repair: early and middle-term results of a consecutive series of 122 cases.腹腔镜辅助腹主动脉瘤修复术:122例连续病例的早期和中期结果
J Vasc Surg. 2006 Apr;43(4):695-700. doi: 10.1016/j.jvs.2005.12.056.
3
Sleeve gastrectomy surgery in obese patients post-organ transplantation.肥胖器官移植受者的袖状胃切除术
Surg Obes Relat Dis. 2016 Mar-Apr;12(3):528-534. doi: 10.1016/j.soard.2015.11.030. Epub 2015 Dec 2.
4
Is the use of minimally invasive fusion technologies associated with improved outcomes after elective interbody lumbar fusion? Analysis of a nationwide prospective patient-reported outcomes registry.选择性腰椎椎间融合术后使用微创融合技术是否与更好的疗效相关?一项全国性前瞻性患者报告结局登记研究的分析。
Spine J. 2017 Jul;17(7):922-932. doi: 10.1016/j.spinee.2017.02.003. Epub 2017 Feb 27.
5
Laparoscopic-Assisted Resection for Advanced Colorectal Cancer in Solid Organ Transplant Recipients.实体器官移植受者晚期结直肠癌的腹腔镜辅助切除术
J Invest Surg. 2018 Dec;31(6):483-490. doi: 10.1080/08941939.2017.1359707. Epub 2017 Sep 19.
6
Minimally invasive surgery and liver transplantation: is it a safe, feasible, and effective approach?微创外科与肝移植:是否安全、可行且有效?
Updates Surg. 2023 Jun;75(4):807-816. doi: 10.1007/s13304-023-01506-7. Epub 2023 Apr 4.
7
Minimally invasive surgery as a treatment option for gastric cancer with liver metastasis: a comparison with open surgery.微创外科作为胃癌伴肝转移的治疗选择:与开放性手术的比较。
Surg Endosc. 2018 Mar;32(3):1422-1433. doi: 10.1007/s00464-017-5826-0. Epub 2017 Oct 26.
8
Minimally Invasive, Laparoscopic, and Robotic-assisted Techniques Versus Open Techniques for Kidney Transplant Recipients: A Systematic Review.微创、腹腔镜和机器人辅助技术与开放式技术在肾移植受者中的比较:系统评价。
Eur Urol. 2017 Aug;72(2):205-217. doi: 10.1016/j.eururo.2017.02.020. Epub 2017 Mar 3.
9
Laparoscopic sleeve gastrectomy is safe and efficacious for pretransplant candidates.腹腔镜袖状胃切除术对移植候选者是安全有效的。
Surg Obes Relat Dis. 2013 Sep-Oct;9(5):653-8. doi: 10.1016/j.soard.2013.02.013. Epub 2013 Mar 21.
10
Emergency Department Visits After Kidney, Liver, and Heart Transplantation in a Hospital of a University in Turkey: A Retrospective Study.土耳其一所大学医院肾、肝和心脏移植后的急诊科就诊情况:一项回顾性研究
Exp Clin Transplant. 2019 Jan;17(Suppl 1):264-269. doi: 10.6002/ect.MESOT2018.P120.

引用本文的文献

1
Critical considerations for the management of acute abdomen in transplant patients.移植患者急腹症管理的关键考量因素。
World J Transplant. 2024 Jun 18;14(2):93944. doi: 10.5500/wjt.v14.i2.93944.

本文引用的文献

1
Bariatric surgery in solid organ transplant patients: Long-term follow-up results of outcome, safety, and effect on immunosuppression.实体器官移植患者的减重手术:结局、安全性和对免疫抑制影响的长期随访结果。
Am J Transplant. 2018 Nov;18(11):2772-2780. doi: 10.1111/ajt.14739. Epub 2018 Apr 14.
2
The management of acute appendicitis in liver transplant patients: How effective is the Alvarado score?肝移植患者急性阑尾炎的管理:阿尔瓦拉多评分的效果如何?
North Clin Istanb. 2017 Oct 24;4(3):262-266. doi: 10.14744/nci.2017.24381. eCollection 2017.
3
Surgical procedures in liver transplant patients: A monocentric retrospective cohort study.
肝移植患者的手术过程:一项单中心回顾性队列研究。
Int J Surg. 2017 May;41:58-64. doi: 10.1016/j.ijsu.2017.03.058. Epub 2017 Mar 24.
4
Cholecystectomy for Acute Cholecystitis After Renal Transplantation.肾移植术后急性胆囊炎的胆囊切除术
Transplant Proc. 2016 Jul-Aug;48(6):2072-5. doi: 10.1016/j.transproceed.2016.02.079.
5
The usefulness of laparoscopic hernia repair in the management of incisional hernia following liver transplantation.腹腔镜疝修补术在肝移植术后切口疝管理中的应用价值。
J Minim Access Surg. 2016 Jan-Mar;12(1):58-62. doi: 10.4103/0972-9941.152102.
6
Bilateral native nephrectomy for refractory hypertension in kidney transplant and kidney pancreas transplant patients.肾移植和肾胰联合移植患者因难治性高血压行双侧自体肾切除术。
Int J Surg Case Rep. 2015;15:127-9. doi: 10.1016/j.ijscr.2015.08.001. Epub 2015 Aug 21.
7
OPTN/SRTR 2013 Annual Data Report: kidney.OPTN/SRTR 2013 年度数据报告:肾脏。
Am J Transplant. 2015 Jan;15 Suppl 2:1-34. doi: 10.1111/ajt.13195.
8
An audit of laparoscopic cholecystectomy in renal transplant patients.肾移植患者腹腔镜胆囊切除术的一项审计。
Ann Med Health Sci Res. 2014 Jan;4(1):48-50. doi: 10.4103/2141-9248.123508.
9
Single-lobe living donor liver transplant in a morbidly obese cirrhotic patient preceded by laparoscopic sleeve gastrectomy.在病态肥胖的肝硬化患者中,先进行腹腔镜袖状胃切除术,然后进行单叶活体供肝移植。
Case Rep Transplant. 2013;2013:279651. doi: 10.1155/2013/279651. Epub 2013 Dec 10.
10
Laparoscopically assisted vaginal hysterectomy in a patient with micro-invasive cervical cancer after two liver transplantations.一名接受过两次肝移植的微侵袭性宫颈癌患者的腹腔镜辅助阴道子宫切除术。
J Obstet Gynaecol Can. 2012 Apr;34(4):363-366. doi: 10.1016/S1701-2163(16)35218-5.