Suppr超能文献

经蝶窦肿瘤切除术后的症状性脑血管痉挛:两例病例报告及系统文献综述

Symptomatic Cerebral Vasospasm After Transsphenoidal Tumor Resection: Two Case Reports and Systematic Literature Review.

作者信息

Budnick Hailey C, Tomlinson Samuel, Savage Jesse, Cohen-Gadol Aaron

机构信息

Neurological Surgery, Indiana University, Indianapolis, USA.

Neurological Surgery, School of Medicine and Dentistry, University of Rochester Medical Center, Rochester, USA.

出版信息

Cureus. 2020 May 17;12(5):e8171. doi: 10.7759/cureus.8171.

Abstract

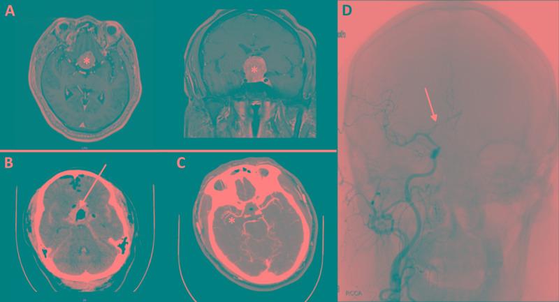
Cerebral vasospasm is a rare life-threatening complication of transsphenoidal surgery (TSS). We report our experience with two cases of symptomatic vasospasm after endoscopic TSS, alongside a systematic review of published cases. Two patients who underwent endoscopic TSS for resection of a tuberculum sella meningioma (case 1) and pituitary adenoma (case 2) developed symptomatic vasospasm. Clinical variables, including demographics, histopathology, the extent of subarachnoid hemorrhage (SAH), diabetes insipidus (DI), day of vasospasm, vasospasm symptoms, vessels involved, management, and clinical outcome, were retrospectively extracted. We subsequently reviewed published cases of symptomatic post-TSS vasospasm. Including our two cases, we identified 34 reported cases of TSS complicated by symptomatic vasospasm. Female patients accounted for 20 (58.8%) of 34 cases. The average age was 48.1 ± 12.9 years. The majority of patients exhibited postoperative SAH (70.6%). The average delay to vasospasm presentation was 8.5 ± 3.6 days. The majority of patients exhibited vasospasm in multiple vessels, typically involving the anterior circulation. Hemodynamic augmentation with hemodilution, hypertension, and hypervolemia was the most common treatment. Death occurred in six (17.6%) of 34 patients. Common deficits included residual extremity weakness (17.6%), pituitary insufficiency (8.8%), and cognitive deficits (8.8%). Symptomatic vasospasm is a rare, potentially fatal complication of TSS. The most consistent risk factor is SAH. Early diagnosis requires a high index of suspicion when confronted with intractable DI, acute mental status change, or focal deficits in the days after TSS. Morbidity and death are significant risks in patients with this complication.

摘要

脑血管痉挛是经蝶窦手术(TSS)罕见的危及生命的并发症。我们报告了两例内镜下TSS术后出现症状性血管痉挛的经验,并对已发表病例进行了系统回顾。两名因切除鞍结节脑膜瘤(病例1)和垂体腺瘤(病例2)而接受内镜下TSS的患者出现了症状性血管痉挛。回顾性提取了临床变量,包括人口统计学、组织病理学、蛛网膜下腔出血(SAH)程度、尿崩症(DI)、血管痉挛发生日期、血管痉挛症状、受累血管、治疗方法及临床结局。随后,我们回顾了已发表的TSS术后症状性血管痉挛病例。包括我们的两例在内,我们共识别出34例报告的TSS合并症状性血管痉挛病例。34例患者中女性占20例(58.8%)。平均年龄为48.1±12.9岁。大多数患者术后出现SAH(70.6%)。血管痉挛出现的平均延迟时间为8.5±3.6天。大多数患者多支血管出现血管痉挛,通常累及前循环。血液稀释、高血压和高血容量的血流动力学强化是最常见的治疗方法。34例患者中有6例(17.6%)死亡。常见的后遗症包括肢体残留无力(17.6%)、垂体功能不全(8.8%)和认知缺陷(8.8%)。症状性血管痉挛是TSS罕见的、潜在致命的并发症。最一致的危险因素是SAH。TSS术后数天内,当面对难治性DI、急性精神状态改变或局灶性缺陷时,早期诊断需要高度的怀疑指数。这种并发症患者的发病率和死亡率风险很高。

https://cdn.ncbi.nlm.nih.gov/pmc/blobs/ca9e/7299537/ae30ccfbeac2/cureus-0012-00000008171-i01.jpg

相似文献

2
Cerebral vasospasm following subarachnoid hemorrhage: a rare complication after transsphenoidal surgery for pituitary macroadenoma.
Endocrinol Diabetes Metab Case Rep. 2023 Jan 9;2023(1):22-0334. doi: 10.1530/EDM-22-0334.
3
Postoperative Cerebral Vasospasm Following Transsphenoidal Pituitary Adenoma Surgery.
World Neurosurg. 2016 Aug;92:7-14. doi: 10.1016/j.wneu.2016.04.099. Epub 2016 May 4.
4
Cerebral vasospasm after transsphenoidal resection of pituitary macroadenomas: report of 3 cases and review of the literature.
Neurosurgery. 2012 Sep;71(1 Suppl Operative):173-80; discussion 180-1. doi: 10.1227/NEU.0b013e31824aae21.
7
Cerebral vasospasm occurring immediately after endoscopic transsphenoidal resection of a pituitary adenoma: A case report.
Surg Neurol Int. 2024 Jun 14;15:201. doi: 10.25259/SNI_342_2024. eCollection 2024.
8
Cerebral vasospasm as a consequence of pituitary apoplexy: illustrative case.
J Neurosurg Case Lessons. 2023 Feb 13;5(7). doi: 10.3171/CASE22349.

引用本文的文献

2
Cerebral arterial vasospasm complicating supratentorial meningioma resection: illustrative cases.
J Neurosurg Case Lessons. 2024 Jan 22;7(4). doi: 10.3171/CASE23650.
3
Unilateral caudate infarct following pituitary adenoma resection.
J Cerebrovasc Endovasc Neurosurg. 2024 Jun;26(2):210-215. doi: 10.7461/jcen.2023.E2023.08.005. Epub 2023 Nov 29.
5
Management of postoperative cerebral vasospasm in skull base surgeries: A systematic review of case reports and series.
Surg Neurol Int. 2023 Jun 23;14:214. doi: 10.25259/SNI_441_2023. eCollection 2023.
6
Cerebral vasospasm as a consequence of pituitary apoplexy: illustrative case.
J Neurosurg Case Lessons. 2023 Feb 13;5(7). doi: 10.3171/CASE22349.
7
Endocrinological outcomes after transcranial resection of tuberculum sellae meningiomas: a systematic review and meta-analysis.
Neurosurg Rev. 2022 Jun;45(3):1965-1975. doi: 10.1007/s10143-022-01744-0. Epub 2022 Feb 12.
8
Internal carotid artery false aneurysm as a fatal complication of transsphenoidal surgery.
J Surg Case Rep. 2021 Apr 22;2021(4):rjab146. doi: 10.1093/jscr/rjab146. eCollection 2021 Apr.

本文引用的文献

4
Symptomatic Vasospasms as a Life-Threatening Complication After Transsphenoidal Surgery.
World Neurosurg. 2018 Feb;110:180-188. doi: 10.1016/j.wneu.2017.10.027. Epub 2017 Oct 16.
6
Delayed Complications After Transsphenoidal Surgery for Pituitary Adenomas.
World Neurosurg. 2018 Jan;109:233-241. doi: 10.1016/j.wneu.2017.09.192. Epub 2017 Oct 5.
7
Cerebral vasospasm after transsphenoidal surgery for pituitary adenoma: Case report and review of the literature.
Neurochirurgie. 2017 Mar;63(1):25-27. doi: 10.1016/j.neuchi.2016.12.002. Epub 2017 Mar 8.
8
Predictors of Acute Vertebrobasilar Vasospasm following Tumor Resection in the Foramen Magnum Region.
PLoS One. 2016 Sep 28;11(9):e0163908. doi: 10.1371/journal.pone.0163908. eCollection 2016.
9
Management strategy for treatment of vasospasm following transsphenoidal excision of craniopharyngioma.
Acta Neurochir (Wien). 2016 Nov;158(11):2105-2108. doi: 10.1007/s00701-016-2956-4. Epub 2016 Sep 14.
10
Cerebral Vasospasm Following Transsphenoidal Hypophysectomy in the Treatment of Lymphocytic Hypophysitis.
J Craniofac Surg. 2016 Jun;27(4):988-91. doi: 10.1097/SCS.0000000000002672.

文献AI研究员

20分钟写一篇综述,助力文献阅读效率提升50倍。

立即体验

用中文搜PubMed

大模型驱动的PubMed中文搜索引擎

马上搜索

文档翻译

学术文献翻译模型,支持多种主流文档格式。

立即体验