Suppr超能文献

An Unusual Cause of Mediastinal Mass and Chylothorax.

作者信息

Sattavarapu Laxma Reddy, Narahari Narendra Kumar, Balaram Deepika Shree, Kapoor Anu, Paramjyothi G K

机构信息

Department of Pulmonary Medicine, Nizam's Institute of Medical Sciences, Hyderabad, Telangana, India.

Department of Radiology and Imaging, Nizam's Institute of Medical Sciences, Hyderabad, Telangana, India.

出版信息

Int J Appl Basic Med Res. 2020 Apr-Jun;10(2):143-146. doi: 10.4103/ijabmr.IJABMR_6_19. Epub 2020 Apr 2.

Abstract

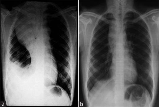
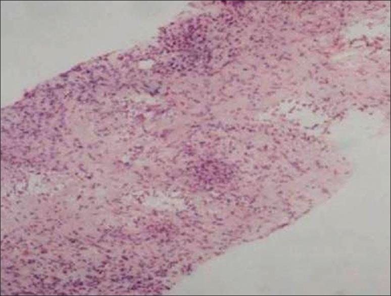
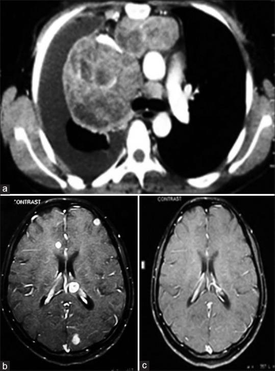
Mediastinal masses are commonly encountered in clinical practice. The commonly encountered anterior mediastinal masses include those of thymic or thyroid origin, teratomas, and lymphoma. Establishing the diagnosis by histopathology is essential considering the wide range of differential diagnosis and to exclude malignancies. Here, we present an unusual case of large mediastinal mass with chylothorax in a young immunocompetent female.

摘要
https://cdn.ncbi.nlm.nih.gov/pmc/blobs/4cbd/7289211/3365be2525b1/IJABMR-10-143-g001.jpg

文献AI研究员

20分钟写一篇综述,助力文献阅读效率提升50倍。

立即体验

用中文搜PubMed

大模型驱动的PubMed中文搜索引擎

马上搜索

文档翻译

学术文献翻译模型,支持多种主流文档格式。

立即体验