• 文献检索
  • 文档翻译
  • 深度研究
  • 学术资讯
  • Suppr Zotero 插件Zotero 插件
  • 邀请有礼
  • 套餐&价格
  • 历史记录
应用&插件
Suppr Zotero 插件Zotero 插件浏览器插件Mac 客户端Windows 客户端微信小程序
定价
高级版会员购买积分包购买API积分包
服务
文献检索文档翻译深度研究API 文档MCP 服务
关于我们
关于 Suppr公司介绍联系我们用户协议隐私条款
关注我们

Suppr 超能文献

核心技术专利:CN118964589B侵权必究
粤ICP备2023148730 号-1Suppr @ 2026

文献检索

告别复杂PubMed语法,用中文像聊天一样搜索,搜遍4000万医学文献。AI智能推荐,让科研检索更轻松。

立即免费搜索

文件翻译

保留排版,准确专业,支持PDF/Word/PPT等文件格式,支持 12+语言互译。

免费翻译文档

深度研究

AI帮你快速写综述,25分钟生成高质量综述,智能提取关键信息,辅助科研写作。

立即免费体验

近期颅内出血合并大面积肺栓塞:吸入一氧化氮改善预后的病例报告

Massive Pulmonary Embolism in a Recent Intracranial Hemorrhage: A Case Report of Inhaled Nitric Oxide to Improve Outcomes.

作者信息

Mittal Abhinav, Mittal Anne P, Rojas Edward, Al-Jaroushi Hatim

机构信息

Pulmonary, Critical Care & Sleep Medicine, West Virginia University, Morgantown, USA.

Neurocritical Care, West Virginia University, Morgantown, USA.

出版信息

Cureus. 2020 May 21;12(5):e8218. doi: 10.7759/cureus.8218.

DOI:10.7759/cureus.8218
PMID:32582479
原文链接:https://pmc.ncbi.nlm.nih.gov/articles/PMC7306673/
Abstract

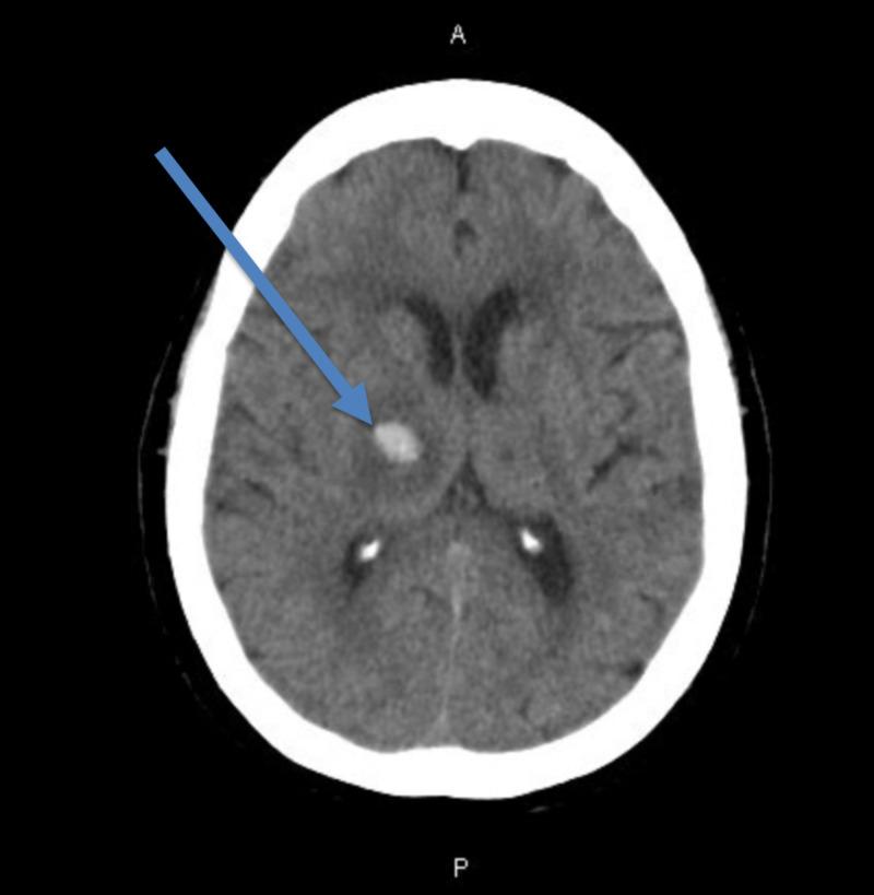
Acute massive pulmonary embolism (PE) has a high mortality if left untreated. The mainstay of treatment is systemic thrombolysis which has some absolute contraindications like intracranial hemorrhage (ICH). Inhaled nitric oxide (iNO) is a selective pulmonary vasodilator that decreases pulmonary artery pressure (PAP) and allows the right ventricle of the heart to pump against less resistance. We present a case of iNO use to improve hemodynamics in a patient with a recent ICH. We believe this to be the first such case reported. A 70-year-old female with a history of PE on Eliquis initially presented for weakness and was found to have right-sided ICH. She was discharged with instructions to hold Eliquis given ICH but was readmitted eight days later in florid cardiogenic shock requiring vasopressors and hypoxic respiratory failure refractory to intubation. CT showed bilateral PE with evidence of right heart strain and IV heparin was started. Due to her history of a recent ICH, she had an absolute contraindication prohibiting the use of systemic tissue plasminogen activator (tPA). Interventional radiology (IR) consult determined that the patient was not a candidate for catheter-directed tPA due to the recent ICH, mechanical ventilation, and hemodynamic instability based on pressor requirement. Vascular surgery and extracorporeal membrane oxygenation (ECMO) consults deemed the patient not operable. The patient was then started on iNO with immediate improvement in her blood pressure. Once vitally stable, IR consult performed pulmonary angiogram and completed a thrombectomy. The patient was eventually extubated and she restarted her Eliquis. She continues to do well 16 months after discharge. In patients with massive PE with contraindications to systemic thrombolytics, providers are left with very few therapeutic interventions. A handful of case reports show that iNO improves systemic hemodynamics in postoperative patients with massive PE. This case highlights the potential for iNO to be a potential adjuvant in patients with absolute contraindications to systemic thrombolysis.

摘要

急性大面积肺栓塞(PE)若不治疗,死亡率很高。治疗的主要方法是全身溶栓,但存在一些绝对禁忌证,如颅内出血(ICH)。吸入一氧化氮(iNO)是一种选择性肺血管扩张剂,可降低肺动脉压(PAP),使心脏右心室能以较小阻力泵血。我们报告一例在近期发生ICH的患者中使用iNO改善血流动力学的病例。我们认为这是首例此类报道的病例。一名70岁女性,有服用阿哌沙班治疗PE的病史,最初因身体虚弱就诊,被发现有右侧ICH。因ICH,她出院时被告知停用阿哌沙班,但8天后因严重的心源性休克再次入院,需要血管加压药,且插管后出现难治性低氧性呼吸衰竭。CT显示双侧PE并有右心劳损迹象,遂开始静脉注射肝素。由于她近期有ICH病史,存在绝对禁忌证,禁止使用全身组织型纤溶酶原激活剂(tPA)。介入放射科(IR)会诊确定,鉴于近期的ICH、机械通气以及基于血管加压药需求的血流动力学不稳定,该患者不适合进行导管定向tPA治疗。血管外科和体外膜肺氧合(ECMO)会诊认为该患者无法进行手术。然后该患者开始使用iNO,血压立即得到改善。生命体征一旦稳定,IR会诊进行了肺血管造影并完成了血栓切除术。患者最终拔管,并重新开始服用阿哌沙班。出院16个月后她情况一直良好。对于有全身溶栓禁忌证的大面积PE患者,医生的治疗干预手段非常有限。一些病例报告显示,iNO可改善大面积PE术后患者的全身血流动力学。本病例突出了iNO在有全身溶栓绝对禁忌证的患者中作为潜在辅助治疗手段的可能性。

https://cdn.ncbi.nlm.nih.gov/pmc/blobs/3a9a/7306673/bac15ba55e20/cureus-0012-00000008218-i02.jpg
https://cdn.ncbi.nlm.nih.gov/pmc/blobs/3a9a/7306673/9f33b699693a/cureus-0012-00000008218-i01.jpg
https://cdn.ncbi.nlm.nih.gov/pmc/blobs/3a9a/7306673/bac15ba55e20/cureus-0012-00000008218-i02.jpg
https://cdn.ncbi.nlm.nih.gov/pmc/blobs/3a9a/7306673/9f33b699693a/cureus-0012-00000008218-i01.jpg
https://cdn.ncbi.nlm.nih.gov/pmc/blobs/3a9a/7306673/bac15ba55e20/cureus-0012-00000008218-i02.jpg

相似文献

1
Massive Pulmonary Embolism in a Recent Intracranial Hemorrhage: A Case Report of Inhaled Nitric Oxide to Improve Outcomes.近期颅内出血合并大面积肺栓塞:吸入一氧化氮改善预后的病例报告
Cureus. 2020 May 21;12(5):e8218. doi: 10.7759/cureus.8218.
2
Is there a place for inhaled nitric oxide in the therapy of acute pulmonary embolism?吸入一氧化氮在急性肺栓塞治疗中是否有一席之地?
Am J Respir Med. 2002;1(3):167-76. doi: 10.1007/BF03256606.
3
Inhaled Nitric Oxide (iNO) With a Massive Pulmonary Embolism: A Case Report.吸入一氧化氮治疗大面积肺栓塞:一例报告
Cureus. 2022 Jul 21;14(7):e27122. doi: 10.7759/cureus.27122. eCollection 2022 Jul.
4
Inhaled nitric oxide in acute pulmonary embolism: a systematic review.急性肺栓塞中吸入一氧化氮的系统评价
Rev Cardiovasc Med. 2015;16(1):1-8. doi: 10.3909/ricm0718.
5
VA-ECMO-assisted aspiration thrombectomy in a patient presenting with acute massive PE with absolute contraindications to thrombolytics.VA-ECMO 辅助下急性大面积肺栓塞伴溶栓绝对禁忌患者血栓抽吸术。
Catheter Cardiovasc Interv. 2022 Oct;100(4):705-709. doi: 10.1002/ccd.30329. Epub 2022 Jul 8.
6
Current Controversies in Thrombolytic Use in Acute Pulmonary Embolism.急性肺栓塞溶栓治疗的当前争议
J Emerg Med. 2016 Jul;51(1):37-44. doi: 10.1016/j.jemermed.2016.02.024. Epub 2016 Apr 9.
7
Should thrombolysis be contraindicated in patients with cerebral arteriovenous malformations?患有脑动静脉畸形的患者是否应禁忌溶栓治疗?
Crit Care Med. 2002 Oct;30(10):2359-62. doi: 10.1097/00003246-200210000-00028.
8
Inhaled Nitric Oxide as an Adjunct to Thrombolytic Therapy in a Patient with Submassive Pulmonary Embolism and Severe Hypoxemia.吸入一氧化氮作为辅助治疗手段用于一名亚大面积肺栓塞合并严重低氧血症患者的溶栓治疗。
Case Rep Crit Care. 2019 Mar 28;2019:5184702. doi: 10.1155/2019/5184702. eCollection 2019.
9
Case report: AngioJet thrombectomy with extracorporeal membrane oxygenation support for acute massive pulmonary embolism in a severe multiple trauma patient.病例报告:在一名严重多发伤患者中,使用AngioJet血栓切除术并联合体外膜肺氧合支持治疗急性大面积肺栓塞
Front Med (Lausanne). 2022 Oct 14;9:989613. doi: 10.3389/fmed.2022.989613. eCollection 2022.
10
Life-threatening massive pulmonary embolism rescued by venoarterial-extracorporeal membrane oxygenation.静脉-动脉体外膜肺氧合抢救危及生命的大面积肺栓塞
Crit Care. 2017 Mar 28;21(1):76. doi: 10.1186/s13054-017-1655-8.

本文引用的文献

1
Inhaled nitric oxide as salvage therapy in massive pulmonary embolism: a case series.吸入一氧化氮作为巨大肺栓塞的挽救性治疗:病例系列。
Respir Care. 2012 Mar;57(3):444-8. doi: 10.4187/respcare.01373. Epub 2011 Oct 12.
2
Inhaled nitric oxide improves pulmonary functions following massive pulmonary embolism: a report of four patients and review of the literature.吸入一氧化氮可改善大面积肺栓塞后的肺功能:4例报告及文献复习
Lung. 2006 Jan-Feb;184(1):1-5. doi: 10.1007/s00408-005-2550-7.
3
Inhaled nitric oxide selectively decreases pulmonary artery pressure and pulmonary vascular resistance following acute massive pulmonary microembolism in piglets.
Chest. 1996 Oct;110(4):1041-7. doi: 10.1378/chest.110.4.1041.
4
Nitric oxide: mediator, murderer, and medicine.一氧化氮:介质、杀手与药物。
Lancet. 1994 May 14;343(8907):1199-206. doi: 10.1016/s0140-6736(94)92405-8.
5
Prevalence of acute pulmonary embolism among patients in a general hospital and at autopsy.综合医院患者及尸检中急性肺栓塞的患病率
Chest. 1995 Oct;108(4):978-81. doi: 10.1378/chest.108.4.978.
6
The hemodynamic response to pulmonary embolism in patients without prior cardiopulmonary disease.无既往心肺疾病患者对肺栓塞的血流动力学反应。
Am J Cardiol. 1971 Sep;28(3):288-94. doi: 10.1016/0002-9149(71)90116-0.