Suppr超能文献

肠壁积气:一例漏诊的穿孔性阑尾炎的重要影像学线索。

Pneumatosis intestinalis: An important radiological clue in a case of missed perforated appendicitis.

作者信息

Muhammad Nawawi Khairul Najmi, Abd Samat Azlan Helmy, Nik Fuad Nik Farhan, Yi Lim Li

机构信息

Department of Medicine, Gastroenterology Unit,The National University of Malaysia Medical Centre, Cheras, Kuala Lumpur, Malaysia.

Department of Emergency, Faculty of Medicine, The National University of Malaysia Medical Centre, Cheras, Kuala Lumpur, Malaysia.

出版信息

Turk J Emerg Med. 2020 Feb 17;20(2):86-89. doi: 10.4103/2452-2473.278560. eCollection 2020 Apr-Jun.

Abstract

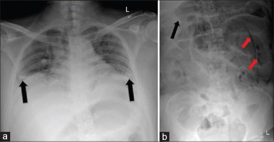
Pneumatosis intestinalis (PI) is a rare radiological finding, characterized by the presence of gas in the bowel wall. It has a wide spectrum of possible underlying diagnosis ranging from benign to life-threatening conditions. We present a case of a previously healthy male who was initially presented with missed diagnosis of acute appendicitis which had led to perforated appendix. Failure to recognize the significance of PI and its correlation with other clinical information had caused the delay in his surgical intervention. Fortunately, the patient made a steady recovery and was discharged well. It is important to have a high clinical suspicion of life-threatening conditions whenever patients presented with a radiological clue of PI. Failure to incorporate this finding with other clinical clues might lead to devastating consequences and delay the necessary treatment.

摘要

肠壁积气(PI)是一种罕见的影像学表现,其特征为肠壁内出现气体。它可能的潜在诊断范围广泛,从良性疾病到危及生命的疾病都有。我们报告一例病例,一名既往健康的男性最初被误诊为急性阑尾炎,导致阑尾穿孔。未能认识到PI的重要性及其与其他临床信息的相关性,导致了他手术干预的延迟。幸运的是,患者恢复平稳,顺利出院。当患者出现PI的影像学线索时,对危及生命的疾病保持高度的临床怀疑非常重要。未能将这一发现与其他临床线索相结合可能会导致灾难性后果,并延误必要的治疗。

https://cdn.ncbi.nlm.nih.gov/pmc/blobs/ba22/7305666/cd2d41769d36/TJEM-20-86-g001.jpg

文献检索

告别复杂PubMed语法,用中文像聊天一样搜索,搜遍4000万医学文献。AI智能推荐,让科研检索更轻松。

立即免费搜索

文件翻译

保留排版,准确专业,支持PDF/Word/PPT等文件格式,支持 12+语言互译。

免费翻译文档

深度研究

AI帮你快速写综述,25分钟生成高质量综述,智能提取关键信息,辅助科研写作。

立即免费体验