• 文献检索
  • 文档翻译
  • 深度研究
  • 学术资讯
  • Suppr Zotero 插件Zotero 插件
  • 邀请有礼
  • 套餐&价格
  • 历史记录
应用&插件
Suppr Zotero 插件Zotero 插件浏览器插件Mac 客户端Windows 客户端微信小程序
定价
高级版会员购买积分包购买API积分包
服务
文献检索文档翻译深度研究API 文档MCP 服务
关于我们
关于 Suppr公司介绍联系我们用户协议隐私条款
关注我们

Suppr 超能文献

核心技术专利:CN118964589B侵权必究
粤ICP备2023148730 号-1Suppr @ 2026

文献检索

告别复杂PubMed语法,用中文像聊天一样搜索,搜遍4000万医学文献。AI智能推荐,让科研检索更轻松。

立即免费搜索

文件翻译

保留排版,准确专业,支持PDF/Word/PPT等文件格式,支持 12+语言互译。

免费翻译文档

深度研究

AI帮你快速写综述,25分钟生成高质量综述,智能提取关键信息,辅助科研写作。

立即免费体验

COVID-19 死亡患者肺部病变的演变:一项临床关联的尸检研究。

The evolution of pulmonary pathology in fatal COVID-19 disease: an autopsy study with clinical correlation.

机构信息

Department of Pathology and Neuropathology, University Hospital Tübingen and Eberhard Karls University Tübingen, Liebermeisterstraße 8, 72076, Tübingen, Germany.

Department of Internal Medicine I, University Hospital Tübingen, Tübingen, Germany.

出版信息

Virchows Arch. 2020 Sep;477(3):349-357. doi: 10.1007/s00428-020-02881-x. Epub 2020 Jun 30.

DOI:10.1007/s00428-020-02881-x
PMID:32607684
原文链接:https://pmc.ncbi.nlm.nih.gov/articles/PMC7324489/
Abstract

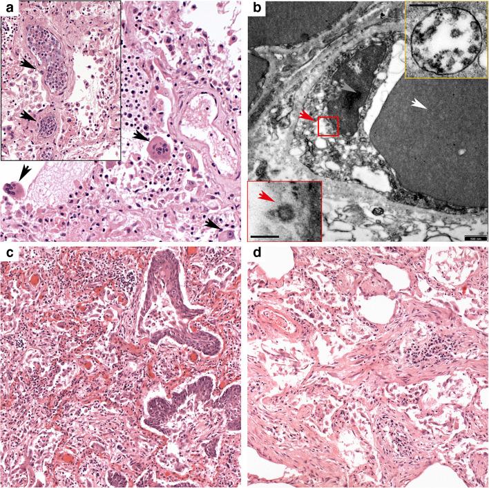
The pandemia of coronavirus disease 2019 (COVID-19) has caused more than 355,000 confirmed deaths worldwide. However, publications on postmortem findings are scarce. We present the pulmonary findings in four cases of fatal COVID-19 with a spectrum of lung pathology reflecting disease course and duration, invasive therapies, and laboratory features. Early disease is characterized by neutrophilic, exudative capillaritis with microthrombosis and high levels of IL-1beta and IL-6. Later stages are associated with diffuse alveolar damage and ongoing intravascular thrombosis in small to medium-sized pulmonary vessels, occasionally with areas of infarction equivalents, accompanied by laboratory features of disseminated intravascular coagulation. In late stages, organizing pneumonia with extensive intra-alveolar proliferation of fibroblasts and marked metaplasia of alveolar epithelium can be observed. Viral RNA is encountered in the lung, with virus particles in endothelial cells and pneumocytes. In many patients, multi-organ failure with severe liver damage sets in finally, possibly as consequence of an early-onset pro-inflammatory cytokine storm and/or thrombotic microangiopathy.

摘要

2019 年冠状病毒病(COVID-19)大流行已在全球范围内导致超过 35.5 万人死亡。然而,关于尸检结果的出版物却很少。我们展示了四起致命 COVID-19 病例的肺部发现,这些病例的肺部病理变化范围反映了疾病的过程和持续时间、侵袭性治疗和实验室特征。早期疾病的特征是中性粒细胞性、渗出性毛细血管炎,伴有微血栓形成和高水平的白细胞介素-1β和白细胞介素-6。后期与弥漫性肺泡损伤和中小肺血管内持续的血管内血栓形成有关,偶尔伴有梗死等价物区域,伴有弥漫性血管内凝血的实验室特征。在后期,可以观察到伴有广泛肺泡内成纤维细胞增殖和肺泡上皮明显化生的机化性肺炎。在肺中可以遇到病毒 RNA,在内皮细胞和肺泡细胞中有病毒颗粒。在许多患者中,最终会出现多器官衰竭和严重的肝损伤,这可能是由于早期炎症细胞因子风暴和/或血栓性微血管病。

https://cdn.ncbi.nlm.nih.gov/pmc/blobs/4d24/7443182/7ebb80fdedc0/428_2020_2881_Fig4_HTML.jpg
https://cdn.ncbi.nlm.nih.gov/pmc/blobs/4d24/7443182/5bfe9dae360f/428_2020_2881_Fig1_HTML.jpg
https://cdn.ncbi.nlm.nih.gov/pmc/blobs/4d24/7443182/93913987c018/428_2020_2881_Fig2_HTML.jpg
https://cdn.ncbi.nlm.nih.gov/pmc/blobs/4d24/7443182/37dd5942e679/428_2020_2881_Fig3_HTML.jpg
https://cdn.ncbi.nlm.nih.gov/pmc/blobs/4d24/7443182/7ebb80fdedc0/428_2020_2881_Fig4_HTML.jpg
https://cdn.ncbi.nlm.nih.gov/pmc/blobs/4d24/7443182/5bfe9dae360f/428_2020_2881_Fig1_HTML.jpg
https://cdn.ncbi.nlm.nih.gov/pmc/blobs/4d24/7443182/93913987c018/428_2020_2881_Fig2_HTML.jpg
https://cdn.ncbi.nlm.nih.gov/pmc/blobs/4d24/7443182/37dd5942e679/428_2020_2881_Fig3_HTML.jpg
https://cdn.ncbi.nlm.nih.gov/pmc/blobs/4d24/7443182/7ebb80fdedc0/428_2020_2881_Fig4_HTML.jpg

相似文献

1
The evolution of pulmonary pathology in fatal COVID-19 disease: an autopsy study with clinical correlation.COVID-19 死亡患者肺部病变的演变:一项临床关联的尸检研究。
Virchows Arch. 2020 Sep;477(3):349-357. doi: 10.1007/s00428-020-02881-x. Epub 2020 Jun 30.
2
Germany's first COVID-19 deceased: a 59-year-old man presenting with diffuse alveolar damage due to SARS-CoV-2 infection.德国首例 COVID-19 死亡病例:一名 59 岁男性,因 SARS-CoV-2 感染导致弥漫性肺泡损伤。
Virchows Arch. 2020 Sep;477(3):335-339. doi: 10.1007/s00428-020-02872-y. Epub 2020 Jul 4.
3
Histopathology and ultrastructural findings of fatal COVID-19 infections in Washington State: a case series.华盛顿州致命性 COVID-19 感染的组织病理学和超微结构发现:病例系列研究。
Lancet. 2020 Aug 1;396(10247):320-332. doi: 10.1016/S0140-6736(20)31305-2. Epub 2020 Jul 16.
4
Analysis of cardiopulmonary findings in COVID-19 fatalities: High incidence of pulmonary artery thrombi and acute suppurative bronchopneumonia.分析 COVID-19 死亡病例的心肺发现:肺动脉血栓和急性化脓性支气管肺炎发病率高。
Cardiovasc Pathol. 2020 Nov-Dec;49:107263. doi: 10.1016/j.carpath.2020.107263. Epub 2020 Jul 16.
5
[Pathological changes of fatal coronavirus disease 2019 (COVID-19) in the lungs: report of 10 cases by postmortem needle autopsy].[2019年新型冠状病毒肺炎(COVID-19)致死病例肺部病理改变:经皮针吸尸检10例报告]
Zhonghua Bing Li Xue Za Zhi. 2020 Jun 8;49(6):568-575. doi: 10.3760/cma.j.cn112151-20200405-00291.
6
Pathogenesis and Treatment Strategies of COVID-19-Related Hypercoagulant and Thrombotic Complications.新型冠状病毒相关高凝及血栓并发症的发病机制与治疗策略。
Clin Appl Thromb Hemost. 2020 Jan-Dec;26:1076029620944497. doi: 10.1177/1076029620944497.
7
The emerging spectrum of cardiopulmonary pathology of the coronavirus disease 2019 (COVID-19): Report of 3 autopsies from Houston, Texas, and review of autopsy findings from other United States cities.新型冠状病毒病 2019(COVID-19)的心肺病理学:来自德克萨斯州休斯顿的 3 例尸检报告,并回顾了美国其他城市的尸检结果。
Cardiovasc Pathol. 2020 Sep-Oct;48:107233. doi: 10.1016/j.carpath.2020.107233. Epub 2020 May 7.
8
Diffuse alveolar damage (DAD) resulting from coronavirus disease 2019 Infection is Morphologically Indistinguishable from Other Causes of DAD.新型冠状病毒疾病 2019 感染导致的弥漫性肺泡损伤(DAD)在形态上与其他 DAD 病因无法区分。
Histopathology. 2020 Oct;77(4):570-578. doi: 10.1111/his.14180. Epub 2020 Sep 12.
9
Gross and histopathological pulmonary findings in a COVID-19 associated death during self-isolation.在隔离期间,与 COVID-19 相关的死亡病例的大体和组织病理学肺部观察结果。
Int J Legal Med. 2020 Jul;134(4):1285-1290. doi: 10.1007/s00414-020-02319-8. Epub 2020 Jun 5.
10
[Comparison of clinical and pathological features between severe acute respiratory syndrome and coronavirus disease 2019].严重急性呼吸综合征与2019冠状病毒病的临床和病理特征比较
Zhonghua Jie He He Hu Xi Za Zhi. 2020 Jun 12;43(6):496-502. doi: 10.3760/cma.j.cn112147-20200311-00312.

引用本文的文献

1
Neutrophil Extracellular Trap Markers in Post Mortem Lung Biopsies from COVID-19 Patients.新冠病毒肺炎患者尸检肺活检中的中性粒细胞胞外诱捕网标志物
Int J Mol Sci. 2025 Aug 20;26(16):8059. doi: 10.3390/ijms26168059.
2
COVID-19 patient serum-derived extracellular vesicles deliver miR-20b-5p induces neutrophil extracellular traps.新冠病毒病(COVID-19)患者血清来源的细胞外囊泡递送的微小核糖核酸-20b-5p(miR-20b-5p)可诱导中性粒细胞胞外诱捕网形成。
Cell Commun Signal. 2025 Feb 17;23(1):93. doi: 10.1186/s12964-025-02095-1.
3
Mechanisms of Pulmonary Vasculopathy in Acute and Long-Term COVID-19: A Review.

本文引用的文献

1
Pulmonary Vascular Endothelialitis, Thrombosis, and Angiogenesis in Covid-19.新型冠状病毒肺炎的肺血管内皮细胞炎症、血栓形成和血管生成。
N Engl J Med. 2020 Jul 9;383(2):120-128. doi: 10.1056/NEJMoa2015432. Epub 2020 May 21.
2
SARS-CoV-2 Receptor ACE2 Is an Interferon-Stimulated Gene in Human Airway Epithelial Cells and Is Detected in Specific Cell Subsets across Tissues.SARS-CoV-2 受体 ACE2 是人类气道上皮细胞中的一种干扰素刺激基因,可在组织中的特定细胞亚群中检测到。
Cell. 2020 May 28;181(5):1016-1035.e19. doi: 10.1016/j.cell.2020.04.035. Epub 2020 Apr 27.
3
Autopsy Findings and Venous Thromboembolism in Patients With COVID-19: A Prospective Cohort Study.
急性和长期 COVID-19 中的肺血管病机制:综述。
Int J Mol Sci. 2024 Apr 30;25(9):4941. doi: 10.3390/ijms25094941.
4
Taming the SARS-CoV-2-mediated proinflammatory response with BromAc.用 BromAc 抑制 SARS-CoV-2 介导的促炎反应
Front Immunol. 2023 Dec 13;14:1308477. doi: 10.3389/fimmu.2023.1308477. eCollection 2023.
5
COVID-19 in Children: Molecular Profile and Pathological Features.儿童 COVID-19:分子特征和病理特征。
Int J Mol Sci. 2023 Nov 25;24(23):16750. doi: 10.3390/ijms242316750.
6
Injury mechanism of COVID-19-induced cardiac complications.新型冠状病毒肺炎所致心脏并发症的损伤机制
Cardiol Plus. 2023 Jul-Sep;8(3):159-166. doi: 10.1097/CP9.0000000000000055. Epub 2023 Jun 23.
7
The Stereotypic Response of the Pulmonary Vasculature to Respiratory Viral Infections: Findings in Mouse Models of SARS-CoV-2, Influenza A and Gammaherpesvirus Infections.呼吸道病毒感染对肺血管的刻板反应:SARS-CoV-2、甲型流感病毒和γ疱疹病毒感染的小鼠模型中的发现。
Viruses. 2023 Jul 27;15(8):1637. doi: 10.3390/v15081637.
8
CYP19A1 mediates severe SARS-CoV-2 disease outcome in males.CYP19A1 介导男性严重的 SARS-CoV-2 疾病结局。
Cell Rep Med. 2023 Sep 19;4(9):101152. doi: 10.1016/j.xcrm.2023.101152. Epub 2023 Aug 12.
9
Organophosphorus Poisoning: Acute Respiratory Distress Syndrome (ARDS) and Cardiac Failure as Cause of Death in Hospitalized Patients.有机磷中毒:急性呼吸窘迫综合征(ARDS)和心力衰竭是住院患者死亡的原因。
Int J Mol Sci. 2023 Apr 3;24(7):6658. doi: 10.3390/ijms24076658.
10
Oxygen Therapy in Pulmonary Vascular Disease: A Systematic Review, Meta-Analysis, and Comment.肺血管疾病中的氧疗:系统评价、荟萃分析及述评
Heart Fail Clin. 2023 Jan;19(1S):e1-e11. doi: 10.1016/j.hfc.2022.11.001. Epub 2023 Feb 26.
COVID-19 患者的尸检结果与静脉血栓栓塞:一项前瞻性队列研究。
Ann Intern Med. 2020 Aug 18;173(4):268-277. doi: 10.7326/M20-2003. Epub 2020 May 6.
4
Postmortem examination of COVID-19 patients reveals diffuse alveolar damage with severe capillary congestion and variegated findings in lungs and other organs suggesting vascular dysfunction.对新冠病毒疾病(COVID-19)患者的尸检显示,肺部出现弥漫性肺泡损伤,伴有严重的毛细血管充血,肺部及其他器官呈现出多样化的表现,提示存在血管功能障碍。
Histopathology. 2020 Aug;77(2):198-209. doi: 10.1111/his.14134. Epub 2020 Jul 5.
5
Cardiovascular Disease, Drug Therapy, and Mortality in Covid-19.心血管疾病、药物治疗与新冠病毒感染相关死亡率
N Engl J Med. 2020 Jun 18;382(25):e102. doi: 10.1056/NEJMoa2007621. Epub 2020 May 1.
6
COVID-19 and its implications for thrombosis and anticoagulation.新型冠状病毒肺炎及其对血栓形成和抗凝的影响。
Blood. 2020 Jun 4;135(23):2033-2040. doi: 10.1182/blood.2020006000.
7
Endothelial cell infection and endotheliitis in COVID-19.新型冠状病毒肺炎中的内皮细胞感染与内皮炎
Lancet. 2020 May 2;395(10234):1417-1418. doi: 10.1016/S0140-6736(20)30937-5. Epub 2020 Apr 21.
8
High incidence of venous thromboembolic events in anticoagulated severe COVID-19 patients.抗凝治疗的重症 COVID-19 患者中静脉血栓栓塞事件发生率高。
J Thromb Haemost. 2020 Jul;18(7):1743-1746. doi: 10.1111/jth.14869. Epub 2020 May 27.
9
COVID-19-Related Severe Hypercoagulability in Patients Admitted to Intensive Care Unit for Acute Respiratory Failure.COVID-19 相关严重高凝状态与急性呼吸衰竭入住重症监护病房患者。
Thromb Haemost. 2020 Jun;120(6):998-1000. doi: 10.1055/s-0040-1710018. Epub 2020 Apr 21.
10
SARS-CoV-2 and viral sepsis: observations and hypotheses.SARS-CoV-2 与病毒败血症:观察与假说。
Lancet. 2020 May 9;395(10235):1517-1520. doi: 10.1016/S0140-6736(20)30920-X. Epub 2020 Apr 17.