• 文献检索
  • 文档翻译
  • 深度研究
  • 学术资讯
  • Suppr Zotero 插件Zotero 插件
  • 邀请有礼
  • 套餐&价格
  • 历史记录
应用&插件
Suppr Zotero 插件Zotero 插件浏览器插件Mac 客户端Windows 客户端微信小程序
定价
高级版会员购买积分包购买API积分包
服务
文献检索文档翻译深度研究API 文档MCP 服务
关于我们
关于 Suppr公司介绍联系我们用户协议隐私条款
关注我们

Suppr 超能文献

核心技术专利:CN118964589B侵权必究
粤ICP备2023148730 号-1Suppr @ 2026

文献检索

告别复杂PubMed语法,用中文像聊天一样搜索,搜遍4000万医学文献。AI智能推荐,让科研检索更轻松。

立即免费搜索

文件翻译

保留排版,准确专业,支持PDF/Word/PPT等文件格式,支持 12+语言互译。

免费翻译文档

深度研究

AI帮你快速写综述,25分钟生成高质量综述,智能提取关键信息,辅助科研写作。

立即免费体验

两名原发性卵巢功能不全和身材矮小的中国同胞共有的 MCM8 基因中的两个新突变。

Two novel mutations in the MCM8 gene shared by two Chinese siblings with primary ovarian insufficiency and short stature.

机构信息

Department of Endocrinology, Shanghai Children's Hospital, Shanghai Jiao Tong University, Shanghai, China.

出版信息

Mol Genet Genomic Med. 2020 Sep;8(9):e1396. doi: 10.1002/mgg3.1396. Epub 2020 Jul 11.

DOI:10.1002/mgg3.1396
PMID:32652893
原文链接:https://pmc.ncbi.nlm.nih.gov/articles/PMC7507566/
Abstract

BACKGROUND

Minichromosome maintenance complex component 8 (MCM8) is responsible for homologous recombination and DNA double-strand breaks (DSBs) repair and is the cause of primary ovarian insufficiency (POI), which is seldom diagnosed in adolescents and children.

METHODS

Whole-exome sequencing was performed in a 13-year-old girl, and Sanger sequencing was used to identify potentially pathogenic variants in her sister (aged 6 years and 7 months) and parents. To identify potential pathogenic mutations, DSBs were induced by mitomycin C (MMC), and the DNA repair capacity was evaluated by the histone H2AX phosphorylation level.

RESULTS

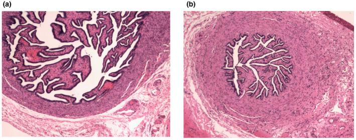
Two novel mutations of MCM8, i.e., c.724T>C (p.C242R) and c.1334C>A (p.S445*), were identified in a 13-year-old girl with POI who exhibited disappeared bilateral ovaries and short stature (height standard difference score [HtSDS] = -3.05), and her sister (aged 6 years and 7 months) with progressive POI whose ovary size decreased from normal to unclear and height growth gradually slowed. In the functional experiments, compared with the wild-type, HeLa cells overexpressing mutant p.C242R and p.S445* showed a higher sensitivity to MMC. Furthermore, the mutant p.S445* has a more deleterious effect on DNA damage repair.

CONCLUSION

Our results reveal that affected children with the novel pathogenetic mutations p.C242R and p.S445* in the MCM8 gene are characterized by POI, short stature, cancer susceptibility, and genomic instability.

摘要

背景

微小染色体维持复合物成分 8(MCM8)负责同源重组和 DNA 双链断裂(DSBs)修复,是原发性卵巢功能不全(POI)的病因,这种病症在青少年和儿童中很少被诊断。

方法

对一名 13 岁女孩进行全外显子组测序,并用 Sanger 测序对其 6 岁 7 个月大的妹妹和父母的潜在致病性变异进行鉴定。为了鉴定潜在的致病突变,用丝裂霉素 C(MMC)诱导 DSBs,并通过组蛋白 H2AX 磷酸化水平评估 DNA 修复能力。

结果

在一名患有 POI 的 13 岁女孩中发现了 MCM8 的两个新突变,即 c.724T>C(p.C242R)和 c.1334C>A(p.S445*),该女孩表现为双侧卵巢消失和身材矮小(身高标准差评分 [HtSDS] = -3.05),其 6 岁 7 个月大的妹妹也患有进行性 POI,其卵巢大小从正常变为不清楚,身高增长逐渐缓慢。在功能实验中,与野生型相比,过表达突变 p.C242R 和 p.S445的 HeLa 细胞对 MMC 更敏感。此外,突变 p.S445对 DNA 损伤修复的影响更具破坏性。

结论

我们的研究结果表明,携带 MCM8 基因新致病突变 p.C242R 和 p.S445*的受影响儿童表现为 POI、身材矮小、癌症易感性和基因组不稳定性。

https://cdn.ncbi.nlm.nih.gov/pmc/blobs/6ca6/7507566/12a19be99a1b/MGG3-8-e1396-g004.jpg
https://cdn.ncbi.nlm.nih.gov/pmc/blobs/6ca6/7507566/b34025a11dff/MGG3-8-e1396-g001.jpg
https://cdn.ncbi.nlm.nih.gov/pmc/blobs/6ca6/7507566/521c9226b9d6/MGG3-8-e1396-g002.jpg
https://cdn.ncbi.nlm.nih.gov/pmc/blobs/6ca6/7507566/34f575e769e5/MGG3-8-e1396-g003.jpg
https://cdn.ncbi.nlm.nih.gov/pmc/blobs/6ca6/7507566/12a19be99a1b/MGG3-8-e1396-g004.jpg
https://cdn.ncbi.nlm.nih.gov/pmc/blobs/6ca6/7507566/b34025a11dff/MGG3-8-e1396-g001.jpg
https://cdn.ncbi.nlm.nih.gov/pmc/blobs/6ca6/7507566/521c9226b9d6/MGG3-8-e1396-g002.jpg
https://cdn.ncbi.nlm.nih.gov/pmc/blobs/6ca6/7507566/34f575e769e5/MGG3-8-e1396-g003.jpg
https://cdn.ncbi.nlm.nih.gov/pmc/blobs/6ca6/7507566/12a19be99a1b/MGG3-8-e1396-g004.jpg

相似文献

1
Two novel mutations in the MCM8 gene shared by two Chinese siblings with primary ovarian insufficiency and short stature.两名原发性卵巢功能不全和身材矮小的中国同胞共有的 MCM8 基因中的两个新突变。
Mol Genet Genomic Med. 2020 Sep;8(9):e1396. doi: 10.1002/mgg3.1396. Epub 2020 Jul 11.
2
Minichromosome maintenance complex component 8 mutations cause primary ovarian insufficiency.微小染色体维持复合体组分8突变导致原发性卵巢功能不全。
Fertil Steril. 2016 Nov;106(6):1485-1489.e2. doi: 10.1016/j.fertnstert.2016.08.018. Epub 2016 Sep 9.
3
New MCM8 mutation associated with premature ovarian insufficiency and chromosomal instability in a highly consanguineous Tunisian family.在一个高度近亲结婚的突尼斯家庭中,与卵巢早衰和染色体不稳定相关的新MCM8突变
Fertil Steril. 2017 Oct;108(4):694-702. doi: 10.1016/j.fertnstert.2017.07.015. Epub 2017 Aug 30.
4
Novel loss-of-function mutation in MCM8 causes premature ovarian insufficiency.MCM8 中的新型功能丧失突变导致卵巢早衰。
Mol Genet Genomic Med. 2020 Apr;8(4):e1165. doi: 10.1002/mgg3.1165. Epub 2020 Feb 11.
5
A Novel Phenotype Combining Primary Ovarian Insufficiency Growth Retardation and Pilomatricomas With MCM8 Mutation.一种新表型,结合原发性卵巢功能不全生长迟缓与毛母质瘤,伴 MCM8 突变。
J Clin Endocrinol Metab. 2020 Jun 1;105(6). doi: 10.1210/clinem/dgaa155.
6
MCM9 mutations are associated with ovarian failure, short stature, and chromosomal instability.MCM9 突变与卵巢衰竭、身材矮小和染色体不稳定性有关。
Am J Hum Genet. 2014 Dec 4;95(6):754-62. doi: 10.1016/j.ajhg.2014.11.002.
7
Novel pathogenic mutations in minichromosome maintenance complex component 9 (MCM9) responsible for premature ovarian insufficiency.导致卵巢早衰的微小染色体维持复合体成分 9(MCM9)新型致病突变。
Fertil Steril. 2020 Apr;113(4):845-852. doi: 10.1016/j.fertnstert.2019.11.015. Epub 2020 Mar 4.
8
Minichromosome maintenance complex component 8 and 9 gene expression in the menstrual cycle and unexplained primary ovarian insufficiency.在月经周期和不明原因的原发性卵巢功能不全中,微小染色体维持复合物成分 8 和 9 基因的表达。
J Assist Reprod Genet. 2019 Jan;36(1):57-64. doi: 10.1007/s10815-018-1325-z. Epub 2018 Oct 1.
9
MCM8 and MCM9 Nucleotide Variants in Women With Primary Ovarian Insufficiency.原发性卵巢功能不全女性中MCM8和MCM9核苷酸变异
J Clin Endocrinol Metab. 2017 Feb 1;102(2):576-582. doi: 10.1210/jc.2016-2565.
10
Exome sequencing reveals MCM8 mutation underlies ovarian failure and chromosomal instability.外显子组测序揭示MCM8突变是卵巢功能衰竭和染色体不稳定的基础。
J Clin Invest. 2015 Jan;125(1):258-62. doi: 10.1172/JCI78473. Epub 2014 Dec 1.

引用本文的文献

1
Clinical syndromes linked to biallelic germline variants in MCM8 and MCM9.与MCM8和MCM9双等位基因种系变异相关的临床综合征。
HGG Adv. 2025 Jul 18;6(4):100480. doi: 10.1016/j.xhgg.2025.100480.
2
Pharmacogenomic studies of fertility outcomes in pediatric cancer survivors - A systematic review.儿科癌症幸存者生育结局的药物基因组学研究——系统综述。
Clin Transl Sci. 2024 Jun;17(6):e13827. doi: 10.1111/cts.13827.
3
MCM8 interacts with DDX5 to promote R-loop resolution.MCM8 与 DDX5 相互作用以促进 R 环的解决。

本文引用的文献

1
Identification and functional characterization of mutations in LPL gene causing severe hypertriglyceridaemia and acute pancreatitis.鉴定并功能表征导致严重高甘油三酯血症和急性胰腺炎的 LPL 基因突变。
J Cell Mol Med. 2020 Jan;24(2):1286-1299. doi: 10.1111/jcmm.14768. Epub 2020 Jan 4.
2
Whole exome sequencing identified a homozygous novel variant in CEP290 gene causes Meckel syndrome.全外显子测序鉴定出 CEP290 基因中的一个纯合新型变异导致梅克尔综合征。
J Cell Mol Med. 2020 Jan;24(2):1906-1916. doi: 10.1111/jcmm.14887. Epub 2019 Dec 15.
3
Minichromosome maintenance complex component 8 and 9 gene expression in the menstrual cycle and unexplained primary ovarian insufficiency.
EMBO J. 2024 Jul;43(14):3044-3071. doi: 10.1038/s44318-024-00134-0. Epub 2024 Jun 10.
4
DNA double-strand break genetic variants in patients with premature ovarian insufficiency.早发性卵巢功能不全患者的 DNA 双链断裂遗传变异。
J Ovarian Res. 2023 Jul 10;16(1):135. doi: 10.1186/s13048-023-01221-2.
5
Molecular functions of MCM8 and MCM9 and their associated pathologies.MCM8和MCM9的分子功能及其相关病理学
iScience. 2023 Apr 27;26(6):106737. doi: 10.1016/j.isci.2023.106737. eCollection 2023 Jun 16.
6
Selected Genetic Factors Associated with Primary Ovarian Insufficiency.与原发性卵巢功能不全相关的部分遗传因素。
Int J Mol Sci. 2023 Feb 23;24(5):4423. doi: 10.3390/ijms24054423.
7
High MCM8 expression correlates with unfavorable prognosis and induces immune cell infiltration in hepatocellular carcinoma.MCM8 高表达与肝癌不良预后相关,并诱导免疫细胞浸润。
Aging (Albany NY). 2022 Dec 27;14(24):10027-10049. doi: 10.18632/aging.204440.
8
REC drives recombination to repair double-strand breaks in animal mtDNA.REC 驱动重组修复动物 mtDNA 的双链断裂。
J Cell Biol. 2023 Jan 2;222(1). doi: 10.1083/jcb.202201137. Epub 2022 Nov 10.
9
Genetics of Azoospermia.无精子症的遗传学。
Int J Mol Sci. 2021 Mar 23;22(6):3264. doi: 10.3390/ijms22063264.
10
Meiotic Recombination Defects and Premature Ovarian Insufficiency.减数分裂重组缺陷与卵巢早衰
Front Cell Dev Biol. 2021 Mar 8;9:652407. doi: 10.3389/fcell.2021.652407. eCollection 2021.
在月经周期和不明原因的原发性卵巢功能不全中,微小染色体维持复合物成分 8 和 9 基因的表达。
J Assist Reprod Genet. 2019 Jan;36(1):57-64. doi: 10.1007/s10815-018-1325-z. Epub 2018 Oct 1.
4
[Biomarkers of radiation-induced DNA repair processes].[辐射诱导DNA修复过程的生物标志物]
Bull Cancer. 2017 Nov;104(11):981-987. doi: 10.1016/j.bulcan.2017.09.004. Epub 2017 Nov 10.
5
New MCM8 mutation associated with premature ovarian insufficiency and chromosomal instability in a highly consanguineous Tunisian family.在一个高度近亲结婚的突尼斯家庭中,与卵巢早衰和染色体不稳定相关的新MCM8突变
Fertil Steril. 2017 Oct;108(4):694-702. doi: 10.1016/j.fertnstert.2017.07.015. Epub 2017 Aug 30.
6
Evaluation and Management of Primary Ovarian Insufficiency in Adolescents and Young Adults.青少年和青年女性原发性卵巢功能不全的评估与管理
J Pediatr Adolesc Gynecol. 2018 Feb;31(1):13-18. doi: 10.1016/j.jpag.2017.07.005. Epub 2017 Aug 4.
7
MCM8 and MCM9 Nucleotide Variants in Women With Primary Ovarian Insufficiency.原发性卵巢功能不全女性中MCM8和MCM9核苷酸变异
J Clin Endocrinol Metab. 2017 Feb 1;102(2):576-582. doi: 10.1210/jc.2016-2565.
8
Premature Ovarian Insufficiency: New Perspectives on Genetic Cause and Phenotypic Spectrum.卵巢早衰:遗传病因和表型谱的新视角。
Endocr Rev. 2016 Dec;37(6):609-635. doi: 10.1210/er.2016-1047. Epub 2016 Oct 3.
9
Minichromosome maintenance complex component 8 mutations cause primary ovarian insufficiency.微小染色体维持复合体组分8突变导致原发性卵巢功能不全。
Fertil Steril. 2016 Nov;106(6):1485-1489.e2. doi: 10.1016/j.fertnstert.2016.08.018. Epub 2016 Sep 9.
10
Staining Against Phospho-H2AX (γ-H2AX) as a Marker for DNA Damage and Genomic Instability in Cancer Tissues and Cells.以磷酸化H2AX(γ-H2AX)为标记物检测癌症组织和细胞中的DNA损伤与基因组不稳定
Adv Exp Med Biol. 2016;899:1-10. doi: 10.1007/978-3-319-26666-4_1.